Reconstrucción del aparato extensor de la rodilla con aloinjerto: técnica quirúrgica y protocolo de rehabilitación
Resumen
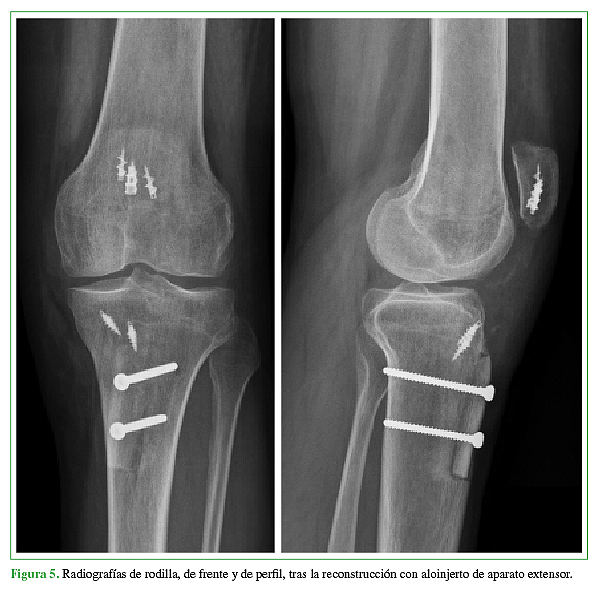
La rotura primaria del tendón rotuliano es una patología poco frecuente que afecta principalmente a adultos activos jóvenes. Aún menos frecuente, es la rotura crónica o recurrente del tendón rotuliano, y es esta última situación, la que presenta una importante dificultad técnica a la hora de realizar el debido tratamiento quirúrgico. El objetivo de este trabajo es la presentación de un caso donde se realizó la reconstrucción quirúrgica del aparato extensor mediante la utilización de aloinjerto luego de haber presentado tres cirugías fallidas para la reparación del tendón rotuliano tras sufrir una lesión traumática del mismo. Se describe tanto la técnica quirúrgica como también el protocolo de rehabilitación.Descargas
Citas
Matava MJ. Patellar Tendon Ruptures. J. Am. Acad. Orthop. Surg. 1996;4(6):287-296.
Siwek CW, Rao JP. Ruptures of the extensor mechanism of the knee joint. J. Bone Joint Surg. Am. 1981;63(6):932-937.
Costa Paz M. Reparación quirúrgica mediante tenodesis con anclajes óseos de los tendones del aparato extensor de la rodilla. Rev Asoc Argent Ortop Traumatol Año 72, pp. 70-74
de Luca CJ, Foley PJ, Erim Z. Motor unit control properties in constant-force isometric contractions. J. Neurophysiol. 1996;76(3):1503-1516.
Rosenberg AG. Management of extensor mechanism rupture after TKA. J. Bone Joint Surg. Br. 2012;94(11 Suppl A):116-119.
Thakkar SC, Hsu N, Hasenboehler EA. Knee extensor mechanism reconstruction with complete extensor allograft after failure of patellar tendon repair. Am. J. Orthop. 2015;44(6):E199-203.
Burks RT, Edelson RH. Allograft reconstruction of the patellar ligament. A case report. J. Bone Joint Surg. Am. 1994;76(7):1077-1079.
Bonnin M, Lustig S, Huten D. Extensor tendon ruptures after total knee arthroplasty. Orthop. Traumatol. Surg. Res. 2016;102(1 Suppl):S21-31.
Burnett RSJ, Berger RA, Della Valle CJ, et al. Extensor mechanism allograft reconstruction after total knee arthroplasty. J. Bone Joint Surg. Am. 2005;87 Suppl 1(Pt 2):175-194.
Brown NM, Murray T, Sporer SM, Wetters N, Berger RA, Della Valle CJ. Extensor mechanism allograft reconstruction for extensor mechanism failure following total knee arthroplasty. J. Bone Joint Surg. Am. 2015;97(4):279-283.
La aceptación del manuscrito por parte de la revista implica la no presentación simultánea a otras revistas u órganos editoriales. La RAAOT se encuentra bajo la licencia Creative Commons 4.0. Atribución-NoComercial-CompartirIgual (http://creativecommons.org/licenses/by-nc-sa/4.0/deed.es). Se puede compartir, copiar, distribuir, alterar, transformar, generar una obra derivada, ejecutar y comunicar públicamente la obra, siempre que: a) se cite la autoría y la fuente original de su publicación (revista, editorial y URL de la obra); b) no se usen para fines comerciales; c) se mantengan los mismos términos de la licencia.
En caso de que el manuscrito sea aprobado para su próxima publicación, los autores conservan los derechos de autor y cederán a la revista los derechos de la publicación, edición, reproducción, distribución, exhibición y comunicación a nivel nacional e internacional en las diferentes bases de datos, repositorios y portales.
Se deja constancia que el referido artículo es inédito y que no está en espera de impresión en alguna otra publicación nacional o extranjera.
Por la presente, acepta/n las modificaciones que sean necesarias, sugeridas en la revisión por los pares (referato), para adaptar el trabajo al estilo y modalidad de publicación de la Revista.

