Instrumentación cervical en pacientes menores de 10 años. [Cervical Instrumentation and Fusion in Children Under 10 Years Old.]
Resumen
Objetivos: Evaluar los resultados postoperatorios de una serie de pacientes pediátricos menores de 10 años sometidos a fusión cervical instrumentada, descripción de la técnica quirúrgica y complicaciones.Introducción: La instrumentación de la columna cervical pediátrica ha ganado terreno en la última década. Las diferencias anatómicas y biomecánicas entre la columna cervical pediátrica y del adulto hacen que la cirugía requiera de una minuciosa preparación preoperatoria toda vez que se utilizan implantes diseñados para adultos.Métodos: Se evaluaron 28 pacientes con patología cervical tratados con fusión instrumentada utilizando las técnicas descriptas por Roy-Camille y Magerlpara masas laterales, de Goel-Harms para C1-C2, y las fusiones occípito-cervicales con placas occipitales o rótulas. Los criterios de inclusión: menores de 10 años, cirugía primaria con un seguimiento mínimo de 2 años.Resultados: Obtuvimos una muestra de 17 mujeres y 11 hombres con un seguimiento promedio de 3,8 años (2-10). La edad promedio fue 6,1 años (1,6-10). Existió una tasa promedio de complicaciones generales del 32.1%. Las patologías que más complicaciones registraron fueron: síndromes genéticos 6 casos (21,4%), junto a las displasias esqueléticas 3 casos (10,7%). 13 pacientes fueron menores de 6 años, 7 de ellos presentaron complicaciones (53,8%).Conclusión: La instrumentacion cervical en pacientes menores de 10 años demostró ser un procedimiento factible y seguro. Las displasias vertebrales, anomalías congénitas y sindrómicas, sumado al factor edad menores de 6 años, son las principales variables asociadas a las complicaciones obtenidas.Trabajo descriptivo retrospectivo Nivel IVDescargas
Citas
Harms J., Melcher RP. Posterior C1–C2 fusion with polyaxial screw and rod fixation. Spine 26:2467–2471
Leonard J, Wright N (2006) Pediatric atlantoaxial fixation with bilateral, crossing C-2 translaminar screws. Technical note. J Neurosurg 104:59–63
Jea A, Taylor, Dirks PB, Kulkarni AV, Rutka JT, Drake JM. Incorporation of C-1 lateral mass screws in occipitocervical and atlantoaxial fusions for children 8 years of age or younger. Technical note. J Neurosurg 107:178–183
Schmidt, R., Koller H., Wilke H., Brade J., Zenner J., Meier O. M. The Impact of Cervical Pedicle Screws for Primary Stability in Multilevel Posterior Cervical Stabilizations. Spine 2010;35:E1167–E1171
Dickman CA, Sonntag VK, Papadopoulos SM, Hadley MN (1991) The interspinous method of posterior atlantoaxial arthrodesis. J Neurosurg 74:190–198.
Gallie WE (1937) Skeletal traction in the treatment of fractures and dislocations of the cervical spine. Ann Surg 106:770–776
Hedequist D., Hresko T., Proctor M. Modern Cervical Spine Instrumentation in Children Spine.2008;33:379–383
Prakash S., William G. M., S. A. Sah., Mihir T., Colleen D., Laurens H., J. Campbell, MD. Occipitocervical Fusion in Skeletal Dysplasia. Spine 2014;39:E912–E918.
Michael C. Ain, MD, Kaisorn L. Chaichana, BS, and Joshua G. Schkrohowsky, BS. Retrospective Study of Cervical Arthrodesis in Patients With Various Types of Skeletal Dysplasia. Spine 2006;31:E169–E174
Ryoji Tauchi • Shiro Imagama • Zenya Ito • Kei Ando • Kenichi Hirano • Akio Muramoto. Complications and outcomes of posterior fusion in children with atlantoaxial instability. Eur Spine J (2012) 21:1346–1352
Doyle, J. Scott MD; Lauerman, William C. MD; Wood, Kirkham B. MD; Krause, David R. Complications and Long-Term Outcome of Upper Cervical Spine Arthrodesis in Patients With Down Syndrome. Spine Volume 21(10), 15 May 1996, p 1223–1231
Rishimugesh Kanna P, Ajoy Prasad Shetty, Rajasekaran S. Anatomical Feasibility of Pediatric Cervical Pedicle Screw Insertion by Computed Tomographic Morphometric Evaluation of 376 Pediatric Cervical Pedicles. Spine 2011 ; 36 : 1297 – 1304
Ferri-de-Barros F., Little D. G., Bridge C., Cummine J, Cree K. A. Atlantoaxial and Craniocervical Arthrodesis in Children. A Tomographic Study Comparing Suitability of C2 Pedicles and C2 Laminae for Screw Fixation. Spine 2010;35:291–293
Abdullah K.G., Steinmetz M. P., Mroz T. E. Morphometric and Volumetric Analysis of the Lateral Masses of the Lower Cervical Spine. Spine 2009;34:1476–1479
Jeanneret B, Magerl F (1992) Primary posterior fusion C1/2 in odontoid fractures: indications, technique, and results of transarticular screw fixation. J Spinal Disord 5:464–475
Roy-Camille R., Saillant G., Laville C. Treatment of lower cervical spinal injuries—C3 to C7. Spine 1992. 17(10 Suppl):S442–S446
Heller JG, Carlson GD, Abitbol JJ. Anatomic comparison of the Roy-Camille and Magerl techniques for screw placement in the lower cervical spine. Spine 1991. 16(10 Suppl):S552–S557
Grob D, Crisco JJ III, Panjabi MM, et al. Biomechanical evaluation of four different posterior atlantoaxial fixation techniques. Spine 1992;17:480–90.
Brockmeyer DL, York JE, Apfelbaum RI (2000) Anatomical suitability of C1–2 transarticular screw placement in pediatric patients. J Neurosurg 92:7–11
Heuer GG, Hardesty DA, Bhowmick DA, Bailey R, Magge SN, Storm PB (2009) Treatment of pediatric atlantoaxial instabilitywith traditional and modified Goel-Harms fusion constructs. Eur. Spine J. 2009, 18:884–892
- Artrodesis cervical pedriatrica
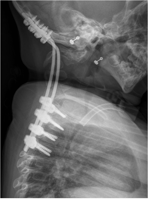
- Figura 9. Imágenes Intraoperatorias: Decompresión posterior más fusión posterior instrumentada occipito torácica
- Figura 10. Imágenes Postoperatorio inmediata: fusión occipito torácica más halo chaleco
- Figura 11. Imágenes Radiográficas 2 años postoperatoria
- Figura 12. Tomografía reconstrucción 3 D. 2 años postoperatorio
- manuscrito final 15 julio
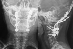
- Figura 8. Radiografías cervical AP y Lateral
- Figura 13. Cifosis cervical asociada a compresión medular
- caso clinico 2
- Figura 8 A. Resonancia Magnetica. Compresión medular severa y mielomalacia asociada.
- Figura 14. 4 meses postoperatorio. Fusión posterior instrumentada occipito - torácico
- Figura 15. 11 meses postoperatorio. Pseudoartrosis occipito -C1. sin deterioro del status neurológico
- Figura 2. Tomografia Axial. Inestabilidad Atlanto - Axial
- Figura 3. Resonancia Magnética sin evidencia de lesión medular
- Figura 4. Tomografía reconstrucción 2D. Muesta inestabilidad C1-C2. Hipoplasia de Odontoides
- Figura 5. Radiografias post. caída, muestra full out de tornillos occipitales
- Figura 6. Tomografia reconstrucción 2 D. Full out de tornillos occipitales
- Figura 7. Radiografías Post revisión AP y Lateral
- resumen en ingles
- Figura 1. Radiografias preoperatorias AP y Laterales
Derechos de autor 2017 Revista de la Asociación Argentina de Ortopedia y Traumatología

Esta obra está bajo licencia internacional Creative Commons Reconocimiento-NoComercial-CompartirIgual 4.0.
La aceptación del manuscrito por parte de la revista implica la no presentación simultánea a otras revistas u órganos editoriales. La RAAOT se encuentra bajo la licencia Creative Commons 4.0. Atribución-NoComercial-CompartirIgual (http://creativecommons.org/licenses/by-nc-sa/4.0/deed.es). Se puede compartir, copiar, distribuir, alterar, transformar, generar una obra derivada, ejecutar y comunicar públicamente la obra, siempre que: a) se cite la autoría y la fuente original de su publicación (revista, editorial y URL de la obra); b) no se usen para fines comerciales; c) se mantengan los mismos términos de la licencia.
En caso de que el manuscrito sea aprobado para su próxima publicación, los autores conservan los derechos de autor y cederán a la revista los derechos de la publicación, edición, reproducción, distribución, exhibición y comunicación a nivel nacional e internacional en las diferentes bases de datos, repositorios y portales.
Se deja constancia que el referido artículo es inédito y que no está en espera de impresión en alguna otra publicación nacional o extranjera.
Por la presente, acepta/n las modificaciones que sean necesarias, sugeridas en la revisión por los pares (referato), para adaptar el trabajo al estilo y modalidad de publicación de la Revista.

