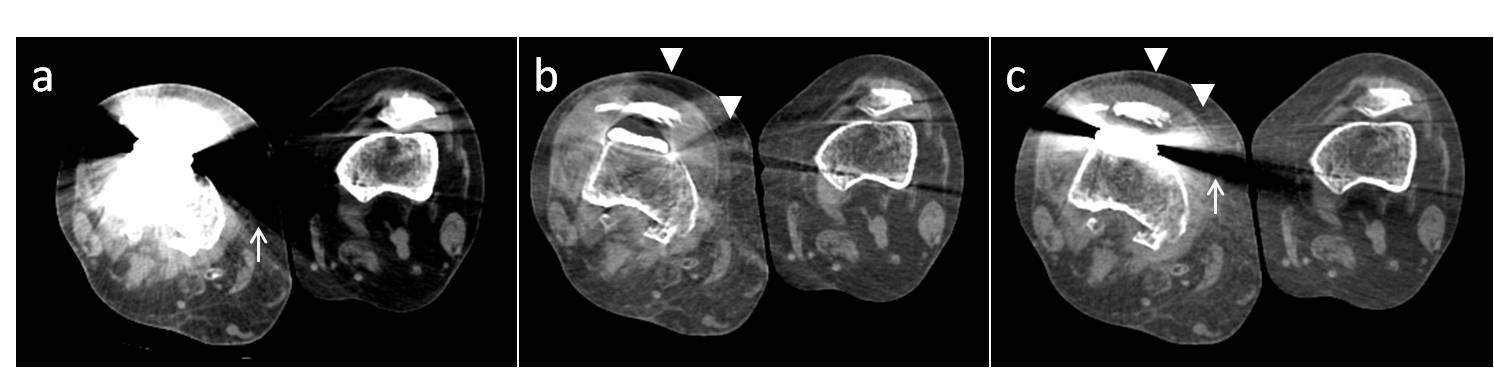
Tomografía computarizada de doble energía: nueva tecnología para la reducción de artefactos de metal. [Dual - Energy Computed Tomography: New technology for metal artifacts reduction.]
Contenido principal del artículo
Resumen
Descargas
Métricas
Detalles del artículo

Esta obra está bajo licencia internacional Creative Commons Reconocimiento-NoComercial-CompartirIgual 4.0.
La aceptación del manuscrito por parte de la revista implica la no presentación simultánea a otras revistas u órganos editoriales. La RAAOT se encuentra bajo la licencia Creative Commons 4.0. Atribución-NoComercial-CompartirIgual (http://creativecommons.org/licenses/by-nc-sa/4.0/deed.es). Se puede compartir, copiar, distribuir, alterar, transformar, generar una obra derivada, ejecutar y comunicar públicamente la obra, siempre que: a) se cite la autoría y la fuente original de su publicación (revista, editorial y URL de la obra); b) no se usen para fines comerciales; c) se mantengan los mismos términos de la licencia.
En caso de que el manuscrito sea aprobado para su próxima publicación, los autores conservan los derechos de autor y cederán a la revista los derechos de la publicación, edición, reproducción, distribución, exhibición y comunicación a nivel nacional e internacional en las diferentes bases de datos, repositorios y portales.
Se deja constancia que el referido artículo es inédito y que no está en espera de impresión en alguna otra publicación nacional o extranjera.
Por la presente, acepta/n las modificaciones que sean necesarias, sugeridas en la revisión por los pares (referato), para adaptar el trabajo al estilo y modalidad de publicación de la Revista.
Citas
2. Matsumoto K, Jinzaki M, Tanami Y, Ueno A, Yamada M, Kuribayashi S. Virtual monochromatic spectral imaging with fast kilovoltage switching: Improved image quality as compared with that obtained with conventional 120-kvp ct. Radiology. 2011;259:257-262
3. Bamberg F, Dierks A, Nikolaou K, Reiser MF, Becker CR, Johnson TR. Metal artifact reduction by dual energy computed tomography using monoenergetic extrapolation. European radiology. 2011;21:1424-1429
4. Pessis E, Campagna R, Sverzut JM, Bach F, Rodallec M, Guerini H, Feydy A, Drape JL. Virtual monochromatic spectral imaging with fast kilovoltage switching: Reduction of metal artifacts at ct. Radiographics : a review publication of the Radiological Society of North America, Inc. 2013;33:573-583
5. Mangold S, Gatidis S, Luz O, Konig B, Schabel C, Bongers MN, Flohr TG, Claussen CD, Thomas C. Single-source dual-energy computed tomography: Use of monoenergetic extrapolation for a reduction of metal artifacts. Investigative radiology. 2014;49:788-793
6. Wang Y, Qian B, Li B, Qin G, Zhou Z, Qiu Y, Sun X, Zhu B. Metal artifacts reduction using monochromatic images from spectral ct: Evaluation of pedicle screws in patients with scoliosis. European journal of radiology. 2013;82:e360-366
7. Meinel FG, Bischoff B, Zhang Q, Bamberg F, Reiser MF, Johnson TR. Metal artifact reduction by dual-energy computed tomography using energetic extrapolation: A systematically
optimized protocol. Investigative radiology. 2012;47:406-414
8. Nakamoto A, Kim T, Hori M, Onishi H, Tsuboyama T, Sakane M, Tatsumi M, Tomiyama N. Clinical evaluation of image quality and radiation dose reduction in upper abdominal computed tomography using model-based iterative reconstruction; comparison with filtered back projection and adaptive statistical iterative reconstruction. European journal of radiology. 2015;84:1715-1723
9. Morsbach F, Bickelhaupt S, Wanner GA, Krauss A, Schmidt B, Alkadhi H. Reduction of metal artifacts from hip prostheses on ct images of the pelvis: Value of iterative reconstructions. Radiology. 2013;268:237-244
10. Zhu Z, Zhao XM, Zhao YF, Wang XY, Zhou CW. Feasibility study of using gemstone spectral imaging (gsi) and adaptive statistical iterative reconstruction (asir) for reducing radiation and iodine contrast dose in abdominal ct patients with high bmi values. PloS one. 2015;10:e0129201
11. Han SC, Chung YE, Lee YH, Park KK, Kim MJ, Kim KW. Metal artifact reduction software used with abdominopelvic dual-energy ct of patients with metal hip prostheses: Assessment of image quality and clinical feasibility. AJR. American journal of roentgenology. 2014;203:788.
12. Schwahofer A, Bar E, Kuchenbecker S, Grossmann JG, Kachelriess M, Sterzing F. The application of metal artifact reduction (mar) in ct scans for radiation oncology by monoenergetic extrapolation with a dect scanner. Zeitschrift fur medizinische Physik. 2015
13. Jia Y, Zhang J, Fan J, Li C, Sun Y, Li D, Xiao X. Gemstone spectral imaging reduced artifacts from metal coils or clips after treatment of cerebral aneurysms: A retrospective study of 35 patients. The British journal of radiology. 2015:20150222
14. Lee YH, Park KK, Song HT, Kim S, Suh JS. Metal artefact reduction in gemstone spectral imaging dual-energy ct with and without metal artefact reduction software. European radiology. 2012;22:1331-1340
15. Lewis M, Reid K, Toms AP. Reducing the effects of metal artefact using high kev monoenergetic reconstruction of dual energy ct (dect) in hip replacements. Skeletal radiology. 2013;42:275-282
16. European guidelines on quality criteria for computed tomography. Available at: Http://www.Drs.Dk/guidelines/ct/quality/index.Htm. Accessed august 2015.
17. Guggenberger R, Winklhofer S, Osterhoff G, Wanner GA, Fortunati M, Andreisek G, Alkadhi H, Stolzmann P. Metallic artefact reduction with monoenergetic dual-energy ct: Systematic ex vivo evaluation of posterior spinal fusion implants from various vendors and different spine levels. European radiology. 2012;22:2357-2364
18. Schneider D, Apfaltrer P, Sudarski S, Nance JW, Jr., Haubenreisser H, Fink C, Schoenberg SO, Henzler T. Optimization of kiloelectron volt settings in cerebral and cervical dual-energy ct angiography determined with virtual monoenergetic imaging. Academic radiology. 2014;21:431-436
19. Liu PT, Pavlicek WP, Peter MB, Spangehl MJ, Roberts CC, Paden RG. Metal artifact reduction image reconstruction algorithm for ct of implanted metal orthopedic devices: A work in progress. Skeletal radiology. 2009;38:797-802
