Síndrome de Grebe. Reporte de un caso. [Grebe syndrome. Case report.]
Resumen
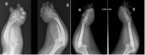
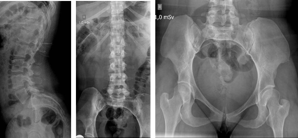
La condrodisplasia de Grebe es un trastorno raro autosómico recesivo que pertenece al grupo de las osteocondrodisplasias. Clínicamente se caracteriza por un severo dismorfismo con una marcada micromelia y deformidad de las extremidades inferiores y superiores. Conocer este tipo de síndrome orienta a dar mejores diagnósticos y permite el diagnóstico diferencial con patologías más comunes, como la acondroplasia. Se presenta una paciente de 35 años con diagnóstico de síndrome de Grebe desde los 10 años. El síndrome de Grebe tiene una muy baja incidencia; por este motivo, es poco conocido por el cuerpo médico en general y aun menos para los ortopedistas, quienes serán los encargados de tratar a estos pacientes. AbstractGrebe syndrome is a rare autosomal recessive disorder that belongs to the group of osteochondrodysplasias. Clinically, it is characterized by severe dysmorphism, marked micromelia and deformities of the lower and upper limbs. Recognition of this syndrome allows to give better diagnoses and to establish a differential diagnosis with more common pathologies, such as achondroplasia. We present a 35-year-old woman with diagnosis of Grebe syndrome at the age of 10. Grebe syndrome has a very low incidence; therefore, it is unknown by general physicians and still less by orthopedic surgeons, who will treat these patients.Descargas
Citas
Faivre L., Coermier Daire V. Acromesomelic dysplasia, Grebe type. Orphanet encyclopedia. En http://www.orpha.net/data/patho/GB/uk-grebe05.pdf; feb 2005.
Costa T, Ramsby G, Cassia F. Grebe syndrome: Clinical and radiographic findings in affected individuals and heterozygous carries. Am J Med Genet 1988: 75: 523/529.
Baraitser M, Winter RM. Oxford: Oxford University Press; 2009. London Dysmorphology Database, London Medical Databases.
Du Pan CM. Absence congenitale du perone sans deformation du tibia: Curieuses deformations congenitales des mains. Rev Orthop. 1924;11:227–34.
Langer LOE, Jr, Cervenka J, Camargo M. A severe autosomal recessive acromesomelic dysplasia, the Hunter-Thompson type, and comparison with the Grebe type. Hum Genet.1989;81:323–8.
Derechos de autor 2018 Revista de la Asociación Argentina de Ortopedia y Traumatología

Esta obra está bajo licencia internacional Creative Commons Reconocimiento-NoComercial-CompartirIgual 4.0.
La aceptación del manuscrito por parte de la revista implica la no presentación simultánea a otras revistas u órganos editoriales. La RAAOT se encuentra bajo la licencia Creative Commons 4.0. Atribución-NoComercial-CompartirIgual (http://creativecommons.org/licenses/by-nc-sa/4.0/deed.es). Se puede compartir, copiar, distribuir, alterar, transformar, generar una obra derivada, ejecutar y comunicar públicamente la obra, siempre que: a) se cite la autoría y la fuente original de su publicación (revista, editorial y URL de la obra); b) no se usen para fines comerciales; c) se mantengan los mismos términos de la licencia.
En caso de que el manuscrito sea aprobado para su próxima publicación, los autores conservan los derechos de autor y cederán a la revista los derechos de la publicación, edición, reproducción, distribución, exhibición y comunicación a nivel nacional e internacional en las diferentes bases de datos, repositorios y portales.
Se deja constancia que el referido artículo es inédito y que no está en espera de impresión en alguna otra publicación nacional o extranjera.
Por la presente, acepta/n las modificaciones que sean necesarias, sugeridas en la revisión por los pares (referato), para adaptar el trabajo al estilo y modalidad de publicación de la Revista.

