Sacrectomía parcial por abordaje posterior único. [Partial sacrectomy by single posterior approach.]
Resumen
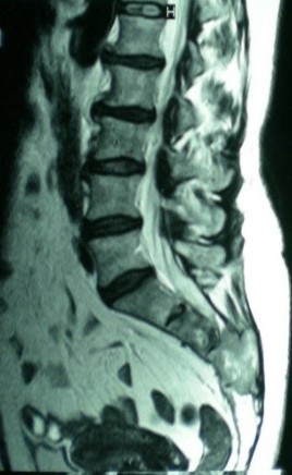
Introducción: Los tumores del sacro corresponden a menos del 7% de los tumores espinales. Prevalecen los secundarios por mieloma múltiple o carcinomas de próstata, mama, pulmón o colón. De los primarios, el cordoma es el maligno más frecuente y el tumor de células gigantes el benigno.Por su evolución, compromiso de estructuras extra óseas y la escasa respuesta a la coadyuvancia, la cirugía es el tratamiento más utilizado, la vía de abordaje y la necesidad de instrumentación dependerá del tumor a tratar.Objetivos: Los objetivos de este trabajo son: evaluar la utilización de resección parcial de sacro, analizar la técnica quirúrgica y reconocer complicaciones.Material y métodos: Cuatro pacientes con diagnóstico de tumor sacro ubicado por debajo de S1, que consulta por dolor y que las imágenes confirman la lesión. A todos se les realiza una resección en bloque por vía posterior preservando S1. Se describe la técnica.Resultados: La anatomopatológica fue: un cordoma, un tumor maligno de vaina nerviosa, un condrosarcoma y una metástasis de carcinoma prostático. Se preservo la función de S1 en todos los pacientes; uno presenta disfunción vesical permanente. Se observaron una dehiscencia de herida, una infección y fistula de líquido cefalorraquídeo. Con un seguimiento entre 6 y 24 meses todos los pacientes se encuentran libre de patología.Conclusiones: La resección parcial del sacro por abordaje único vía posterior puede ser indicada cuando la lesión comprometa desde S2 hacia distal y sin compromiso sacroilíaco. La preservación de raíces es de vital importancia para garantizar mejores resultados post operatorios y menor tasa de infección.Descargas
Citas
- Sciubba, DM; RoRy J; Pettey, SBS: Diagnosis and management of sacral tumors. A review. J Neurosurg Spine 10:000–000, 2009 244 J. Neurosurg. Spine / Volume 10 / March 2009.
- Sciubba DM, Chi JH, Rhines LD, et al. Chordoma of the spinal column. Neurosurg Clin N Am2008; 19:5–15. Review.
- Kawai A, Healey JH, Boland PJ, et al. Prognostic factors for patients with sarcomas of the pelvic bones. Cancer1998; 82:851–9.
- Park L, Delaney TF, Liebsch NJ, et al. Sacral chordomas: impact of high-dose proton/photon-beam radiation therapy combined with or without surgery for primary versus recurrent tumor. Int J Radiat Oncol Biol Phys2006; 65:1514–21.
- McLoughlin GS, Sciubba DM, Wolinsky JP. Chondroma/Chondrosarcoma of the spine. Neurosurg Clin NAm2008; 19:57–63.
- Angelini and Ruggieri. New Surgical Technique of Sacral Resection. SPINE Volume 38, Number 3, pp E185–E192.
- Fourney DR, Gokaslan ZL: Surgical approaches for the resection of sacral tumors, in Dickman CA, Fehlings MG, Gokaslan ZL (eds): Spinal Cord and Spinal Column Tumors: Principles and Practice. New York: Thieme, 2006, pp 632–648
- Tokuhashi Y, Matsuzaki H, Oda H, Oshima M, Ryu J: A revised scoring system for preoperative evaluation of metastatic spine tumor prognosis. Spine 30:2186–2191, 2005 103.
- Tokuhashi Y, Matsuzaki H, Toriyama S, Kawano H, Ohsaka S: Scoring system for the preoperative evaluation of metastatic spine tumor prognosis. Spine 15:1110–1113, 1990 104.
- Tomita K, Kawahara N, Kobayashi T, Yoshida A, Murakami H, Akamaru T: Surgical strategy for spinal metastases. Spine 26:298–306, 2001.
- FourneyDR, GokaslanZL. Current management of sacral chordoma. Neurosurg Focus2003; 15: E9. Review.
- RuggieriP, AngeliniA, UssiaG, et al. Surgical margins and local control in resection of sacral chordomas. Clin Orthop Relat Res 2010; 468:2939–47.
- Sabuncuoglu H, et al: Total Resection of Inferiorly Located Sacral Chordoma. Turkish Neurosurgery 2010, Vol: 20, No: 4, 527-532.
- Kattapuram SV, Khurana JS, Rosenthal DI: Percutaneous needle biopsy of the spine. Spine 17:561–564, 1992.
- Angelini and Ruggieri. New Surgical Technique of Sacral Resection. SPINE Volume 38, Number 3, pp E185–E192.
- Asavamongkolku, Waikakul Wide resection of sacral chordoma via a posterior approach. International Orthopaedics (SICOT) (2012) 36:607–612
- Gallia GL, Haque R, Garoznik I, Witham TF, Khavkin YA, Wolinsky JP, Suk I, Gokaslan ZL: Spinal pelvic reconstruction after total sacrectomy for en bloc resection of a giant sacral chordoma: Technical note. J Neurosurg Spine 3:501–506, 2005.
- Dasen Li, Wei Guo, Xiaodong Tang, Tao Ji, Yidan Zhang. Surgical classification of different types of en bloc resection for primary malignant sacral tumors. EurSpine J (2011) 20:2275–2281.
- Stener B and Gunterberg B: High amputation of the sacrum for extirpation of tumors: Principles and techniques. Spine 3: 351- 366, 1978.
- Rajiv Saigal, M.D., Ph.D., Daniel C. lu. Conversion of high sacral to midsacral amputation via S-2 nerve preservation during partial S-2 sacrectomy for cordoma. J Neurosurg Spine 20:421–429, 2014.
- Sciubba, M.D., Clarke Nelson, Evaluation of factors associated with postoperative infection following sacral tumor resection. J Neurosurg Spine 9:593–599, 2008.
Derechos de autor 2017 Revista de la Asociación Argentina de Ortopedia y Traumatología

Esta obra está bajo licencia internacional Creative Commons Reconocimiento-NoComercial-CompartirIgual 4.0.
La aceptación del manuscrito por parte de la revista implica la no presentación simultánea a otras revistas u órganos editoriales. La RAAOT se encuentra bajo la licencia Creative Commons 4.0. Atribución-NoComercial-CompartirIgual (http://creativecommons.org/licenses/by-nc-sa/4.0/deed.es). Se puede compartir, copiar, distribuir, alterar, transformar, generar una obra derivada, ejecutar y comunicar públicamente la obra, siempre que: a) se cite la autoría y la fuente original de su publicación (revista, editorial y URL de la obra); b) no se usen para fines comerciales; c) se mantengan los mismos términos de la licencia.
En caso de que el manuscrito sea aprobado para su próxima publicación, los autores conservan los derechos de autor y cederán a la revista los derechos de la publicación, edición, reproducción, distribución, exhibición y comunicación a nivel nacional e internacional en las diferentes bases de datos, repositorios y portales.
Se deja constancia que el referido artículo es inédito y que no está en espera de impresión en alguna otra publicación nacional o extranjera.
Por la presente, acepta/n las modificaciones que sean necesarias, sugeridas en la revisión por los pares (referato), para adaptar el trabajo al estilo y modalidad de publicación de la Revista.

