Experiencia inicial en un centro de alta complejidad con el injerto vascularizado de peroné en defectos óseos segmentarios del miembro superior. [Early experience in a high complexity Hospital with the vascularized fibular graft in segmental bone defects of the upper limb.]
Resumen
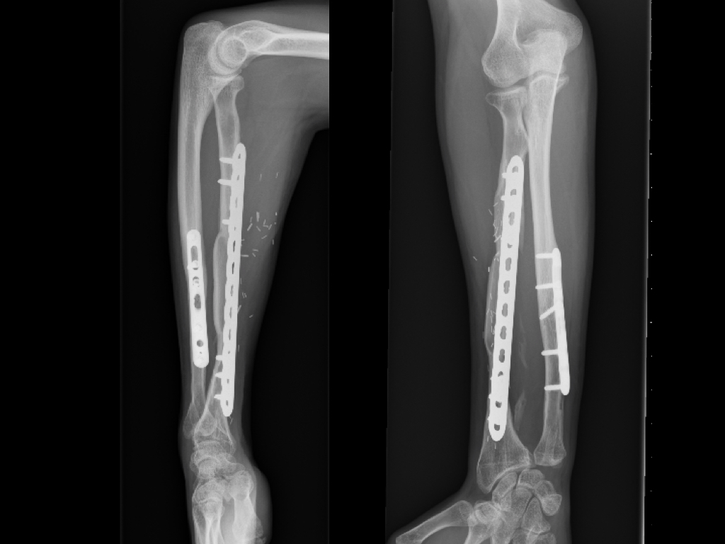
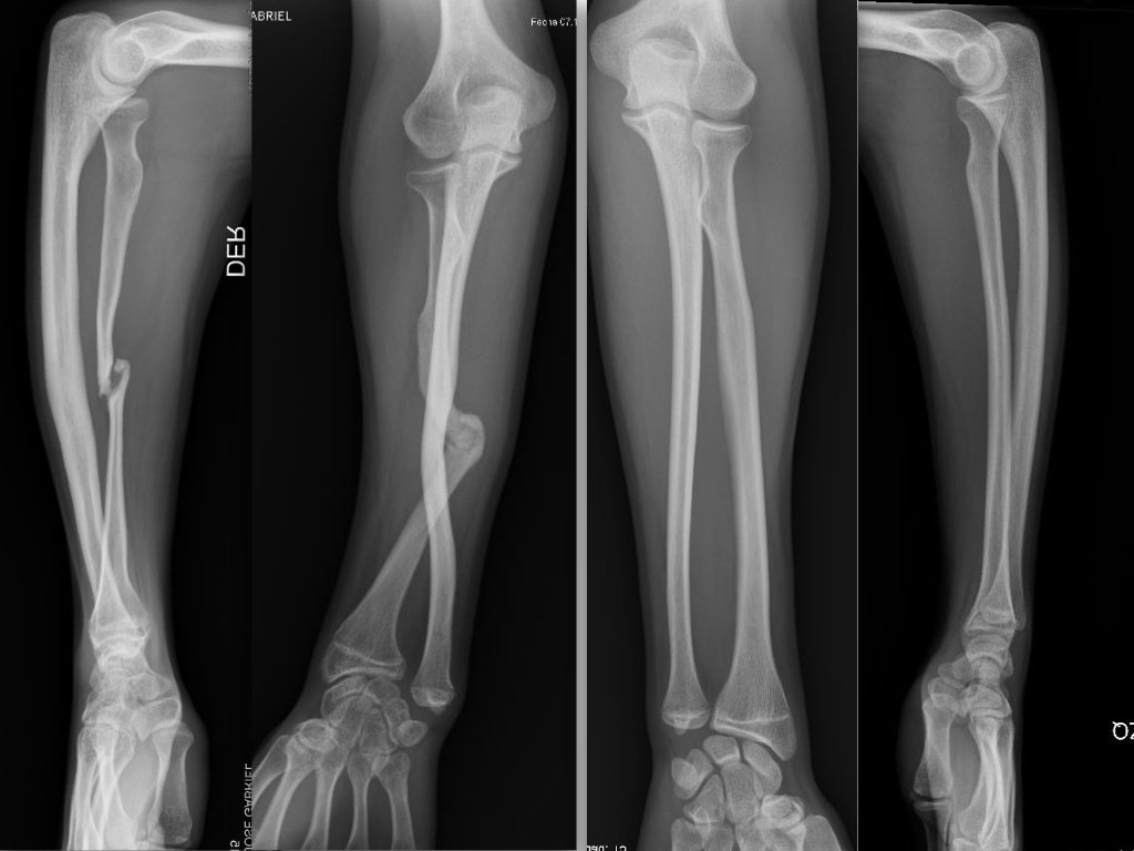
Introducción Los defectos óseos mayores a 6 cm en los huesos largos resultan en un problema difícil a reconstruir del miembro superior. Entre las opciones se encuentran: el injerto óseo alogénico, la utilización de la técnica de Masquelet y el injerto vascularizado de peroné. El peroné vascularizado se ha convertido en el principal método de reconstrucción por sus ventajas biológicas. El objetivo del presente estudio fue evaluar la tasa y el tiempo de consolidación ósea y las complicaciones asociadas en una serie continua de pacientes. Material y MétodosSe realizó una revisión del registro para identificar a todos los pacientes que se sometieron a una reconstrucción con peroné vascularizado durante un periodo de 5 años. Se incluyeron a todos los pacientes que fueron tratados por defectos mayores de 6cm en miembro superior y se excluyeron aquellos en que la reconstrucción se llevó a cabo en el miembro inferior o como técnica asociada para aumentación de la estabilidad en artrodesis de hombro. Se analizaron variables preoperatorias, intraoperatorias y postoperatorias inmediatas y alejadas. Resultados Durante el periodo de evaluación, 18 pacientes fueron sometidos a cirugías reconstructivas con IVP. Seis pacientes (4 hombres/2 mujeres) cumplían con los criterios de inclusión. La edad promedio fue de 47 años (rango 16 a 66 años). En promedio, los pacientes tenían 3 cirugías previas (rango 1 a 4). El tiempo transcurrido entre el trauma inicial y la cirugía reconstructiva varió de 2 a 21 años (promedio 7 años). Las causas del defecto fueron la secuela postraumática (pseudoartrosis) en cinco pacientes y la enfermedad oncológica en un paciente con diagnóstico de Tumor de Células Gigantes. Los segmentos óseos involucrados fueron el húmero (tres pacientes), radio (dos), y cubito (uno). El defecto óseo promedio fue de 10 cm (rango 6 a 15 cm). En cuatro casos se utilizó un injerto osteocutáneo de peroné y un caso sin colgajo fasciocutáneo asociado. En todos los casos, se utilizaron placas bloqueadas como método de fijación del injerto. El tiempo de seguimiento promedio fue de 17 meses (rango de 5 a 40 meses). La consolidación ósea fue lograda en todos los casos. La consolidación ósea llevó promedio de consolidación ósea fue de 16 semanas (rango de 8 a 22 semanas). Dos pacientes sufrieron complicaciones posoperatorias. Un paciente sufrió una exposición del material de osteosíntesis. Otro paciente evolucionó con aflojamiento del material de osteosíntesis. Ninguno de los pacientes presentó complicaciones o secuelas funcionales en la zona dadora. Conclusión El injerto óseo vascularizado de peroné es una opción válida para el tratamiento quirúrgico reconstructivo de defectos óseos segmentarios mayores a 6cm en el miembro superior con una tasa alta de consolidación, aún en casos con múltiples cirugías previas o con larga evolución de la lesión. Los detalles técnicos previenen las complicaciones en la zona dadora.Descargas
Citas
Scaglietti O, Stringa G, Mizzau M. Bone grafting in nonunion of the forearm. Clin Orthop Relat Res 1965;43:65–76.
Taylor G, Miller G, Ham F. The free vascularized bone graft: A clinical extension of microvascular techniques. Plast Reconstr Surg 1975;55:533.
Masquelet AC. The Concept of Induced Membrane for Reconstruction of Long Bone Defects. Orthop Clin N Am 41 (2010) 27–37.
Hollenbeck S, Levin LS. The current role of the vascularized-fibular osteocutaneous graft in the treatment of segmental defects of the upper extremity. Microsurgery 31:183–189, 2011.
Chen Z, Yan W. The study and clinical application of the osteocutaneous flap of fibula. Microsurgery 1983;4:11–16.
Mattar R, Azze RJ, Castro Ferreira M, Starck R, Canedo AC. Vascularized fibular graft for management of severe osteomyelitis of the upper extremity. Microsurgery 1994;15:22_27.
Heitmann C, Erdmann D, Levin L. Treatment of segmental defects of the humerus with an osteoseptocutaneous fibular transplant. J Bone Joint Surg Am 2002;84:2216–2223.
Heitmann C, Erdmann D, Levin L. Treatment of segmental defects of the humerus with an osteoseptocutaneous fibular transplant. J Bone Joint Surg Am 2002;84:2216–2223.
Wood MB. Upper extremity reconstruction by vascularized bone transfers: results and complications. J Hand Surg [Am]. 1987;12:422-7.
Guo Q, Xu Z, Wen S, Liu Q, Liu S, Wang J et al. Value of a skin island flap as a postoperative predictor of vascularized fibular graft viability in extensive diaphyseal bone defect reconstruction. Orthop Traumatol Surg Res. 2012; 98(5):582.
Gilbert A. Free vascularized bone grafts. Intern Surg 1991;66:27–31.
Jupiter JB, Gerhard HJ, Guerrero JA, Nunley J, Levin LS. Treatment segmental defects of the radius with use of the vascu vascularized osteoseptocutaneous fibular autogenous graft. J Bone Joint Surg [Am] 1997;79:542_550.
Vail TP, Urbaniak JR. Donor-site morbidity with use of vascularized autogenous fibular grafts. J Bone Joint Surg Am. 1996 Feb;78(2):204-11.
Gaskill TR, Urbaniak JR, Aldridge JM 3rd. Free vascularized fibular transfer for femoral head osteonecrosis: donor and graft site morbidity. J Bone Joint Surg Am. 2009 Aug;91(8):1861-7.
Soucacos PN, Dailiana Z, Beris AE, Johnson EO. Vascularized bone grafts for the management of nonunion. Injury 2006;37:S41–50.
Soucacos PN, Johnson EO, Babis G. An update on recent advances in bone regeneration. Injury 2008;39:S1–4.
Soucacos PN. The free vascularized fibular graft for bridging large skeletal defects of the upper extremity. Microsurgery 31:190–197, 2011.
Enneking WF, Eady JL, Burchardt H. Autogenous cortical bone graft in the reconstruction of segmental defects. J Bone Joint Surg. 1980;62-A(7):1039–58.
Obert L. Induced membrane technique (masquelet technique) to treat bone defects at upper limb prospective multicentre evaluation.Bone Joint J Dec 2014, 96-B (SUPP 19) 47.
Villa A, Paley D, Catagni MA, Bell D, Cattaneo R. Lengthening of the forearm by the Ilizarov tecnique. Clin Orthop 1990;250:125137.
Emara KM. Ilizarov technique in management of non united fracture of both bones of the orearm. J Orthop Traumatol 2002;3:177180.
Adani R. Reconstruction of large postraumatic skeletal defects of the forearm by vascularized free fibular graft. Microsurgery 24:423–429, 2004.
de Boer HH, Wood MB. Bone changes in the vascularised fibular graft. JBone Joint Surg Br. 989;71:374-8.
Del Piñal F, Innocenti M. Evolving concepts in the management of the bone gap in the upper limb. Long and small defects. J Plast Reconstr Aesthet Surg 2007;60:776–792
de Boer HH, Wood MB, Hermans J. Reconstruction of large skeletal defects by vascularized fibula transfer: factors that influenced the outcome of union in 62 cases. Int Orthop. 1990;14:121–8.
Gebert C, Hillmann A, Schwappach A, Hoffmann C, Hardes J, Kleinheinz J, Gosheger G. Free vascularized fibular grafting for reconstruction after tumor resection in the upper extremity. J Surg Oncol 2006;94:114.
Noaman H. Management of upper limb bone defects using free vascularized osteoseptocutaneous fibular bone graft. Ann Plast Surg. 2013; 71(5):503-509.
Derechos de autor 2017 Revista de la Asociación Argentina de Ortopedia y Traumatología

Esta obra está bajo licencia internacional Creative Commons Reconocimiento-NoComercial-CompartirIgual 4.0.
La aceptación del manuscrito por parte de la revista implica la no presentación simultánea a otras revistas u órganos editoriales. La RAAOT se encuentra bajo la licencia Creative Commons 4.0. Atribución-NoComercial-CompartirIgual (http://creativecommons.org/licenses/by-nc-sa/4.0/deed.es). Se puede compartir, copiar, distribuir, alterar, transformar, generar una obra derivada, ejecutar y comunicar públicamente la obra, siempre que: a) se cite la autoría y la fuente original de su publicación (revista, editorial y URL de la obra); b) no se usen para fines comerciales; c) se mantengan los mismos términos de la licencia.
En caso de que el manuscrito sea aprobado para su próxima publicación, los autores conservan los derechos de autor y cederán a la revista los derechos de la publicación, edición, reproducción, distribución, exhibición y comunicación a nivel nacional e internacional en las diferentes bases de datos, repositorios y portales.
Se deja constancia que el referido artículo es inédito y que no está en espera de impresión en alguna otra publicación nacional o extranjera.
Por la presente, acepta/n las modificaciones que sean necesarias, sugeridas en la revisión por los pares (referato), para adaptar el trabajo al estilo y modalidad de publicación de la Revista.

