Fracturas fisarias Salter-Harris VI de tobillo y pie. [Salter-Harris VI fractures of the foot and ankle.]
Resumen
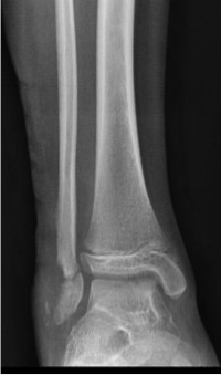
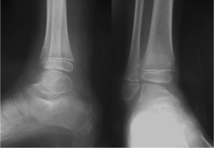
IntroducciónLas fracturas Salter-Harris VI (SHVI) son lesiones que se caracterizan por presentar ablación del anillo pericondral. Son infrecuentes en niños pero potencialmente devastadoras. El objetivo de este estudio fue evaluar el mecanismo de producción, el tratamiento y los resultados funcionales de estas lesiones localizadas en el pie y el tobillo.Material y métodosSe analizaron retrospectivamente todos los pacientes con lesiones SHVI de tobillo y pie tratadas entre Enero de 2010 y Enero de 2013. Se documentaron datos demográficos, clasificación, mecanismo de lesión, tipo de lesiones asociadas y número de cirugías que requirieron. Los pacientes fueron evaluados funcionalmente con el score de AOFAS y radiográficamente para determinar la viabilidad de la fisis, acortamiento del miembro o deformidad angular.ResultadosSe analizaron 5 fracturas en 4 pacientes (3 masculinos y 1 femenino). La edad promedio al momento de la lesión fue de 7.5 años (rango, 6 a 10 años). El seguimiento promedio fue de 26.2 meses (rango, 12 - 37 meses). De acuerdo a la subclasificación de Peterson 3 pertenecían al grupo A, 1 al B y 1 al C. 3 lesiones se produjeron como consecuencia de accidentes de moto y 2 por auto versus peatón. Todos los casos se acompañaron de pérdida de sustancia, el 75% presentaba lesiones en más de un hueso y el 50% lesiones tendinosas asociadas. Cada paciente requirió un promedio de 3.2 cirugías (rango, 2 a 5). El score AOFAS promedio fue de 79.8 puntos (rango, 62 – 100 puntos). Radiográficamente, solo el 40% de las fisis afectadas permanecían viables al último control.ConclusiónLas fracturas SHVI se acompañan de una gran variedad de lesiones asociadas, requieren múltiples cirugías y suelen producir un cierre precoz de la fisis y algún grado de discapacidad. Se requieren medidas de prevención para evitar la exposición de los niños a este tipo de lesiones. El tratamiento temprano es fundamental para prevenir el desarrollo de deformidades.Descargas
Citas
Peterson HA. Physeal fractures: part 3. Classification. J Pediatr Orthop 1994;14:439-48.
Peterson HA. Physeal fractures: part 2. Two previously unclassified types. J Pediatr Orthop 1994;14:431-8.
Rang M. The growth plate and its disorders. Edinburgh: Churchill Livingstone; 1969.
Ogden J. Skeletal growth mechanism injury patterns. J Pediatr Orthop 1982;2:371-7.
Salter RB, Harris WR. Injuries involving the epiphyseal plate. J Bone Joint Surg Am 1963;45(3):587-622.
Havranek P, Pesl T. Salter (Rang) type 6 physeal injury. Eur J Pediatr Surg 2010;20(3):174-7.
Mayr JM, Pierer GR, Linhart WE. Reconstruction of part of the distal tibial growth plate with an autologous graft from the
iliac crest. J Bone Joint Surg Br 2000;62:558-60.
Peterson HA, Jacobsen FS. Management of distal tibial medial malleolus type-6 physeal fractures. J Child Orthop 2008;2:151-
Kitaoka HB, Alexander IJ, Adelaar RS, Nunley JA, Myerson MS, Sanders M. Clinical rating systems for the ankle-hindfoot,
midfoot, hallux, and lesser toes. Foot Ankle Int 1994;15:349-53.
Toupin JM, Lechevallier J. Post-traumatic epiphysiodesis of the distal end of the tibia in children. Rev Chir Orthop Reparatrice
Appar Mot 1997;83:112-22.
Ogden JA. Injury to the growth mechanisms. En: Ogden JA (ed.) Skeletal injury in the child, 2nd ed. Philadelphia: W. B.
Saunders; 1990:97-173.
Foster BK, John B, Hasler C. Free fat interpositional graft in acute physeal injuries: the anticipatory Langenskiold procedure.
J Pediatr Orthop 2000;20:282-5.
Yamauchi T, Yajima H, Tamai S, Kizaki K. Flap transfers for the treatment of perichondral ring injuries with soft tissue
defects. Microsurgery 2000;20:262-6.
Abbo O, Accadbled F, Laffosse JM, De Gauzy JS. Reconstruction and anticipatory Langenskiöld procedure in traumatic defect
of tibial medial malleolus with type 6 physeal fracture. J Pediatr Orthop Br 2012;21(5):434-8
Derechos de autor 2016 Revista de la Asociación Argentina de Ortopedia y Traumatología

Esta obra está bajo licencia internacional Creative Commons Reconocimiento-NoComercial-CompartirIgual 4.0.
La aceptación del manuscrito por parte de la revista implica la no presentación simultánea a otras revistas u órganos editoriales. La RAAOT se encuentra bajo la licencia Creative Commons 4.0. Atribución-NoComercial-CompartirIgual (http://creativecommons.org/licenses/by-nc-sa/4.0/deed.es). Se puede compartir, copiar, distribuir, alterar, transformar, generar una obra derivada, ejecutar y comunicar públicamente la obra, siempre que: a) se cite la autoría y la fuente original de su publicación (revista, editorial y URL de la obra); b) no se usen para fines comerciales; c) se mantengan los mismos términos de la licencia.
En caso de que el manuscrito sea aprobado para su próxima publicación, los autores conservan los derechos de autor y cederán a la revista los derechos de la publicación, edición, reproducción, distribución, exhibición y comunicación a nivel nacional e internacional en las diferentes bases de datos, repositorios y portales.
Se deja constancia que el referido artículo es inédito y que no está en espera de impresión en alguna otra publicación nacional o extranjera.
Por la presente, acepta/n las modificaciones que sean necesarias, sugeridas en la revisión por los pares (referato), para adaptar el trabajo al estilo y modalidad de publicación de la Revista.

