Instrucción Ortopédica de Posgrado - Imágenes. Presentación del caso.
Resumen
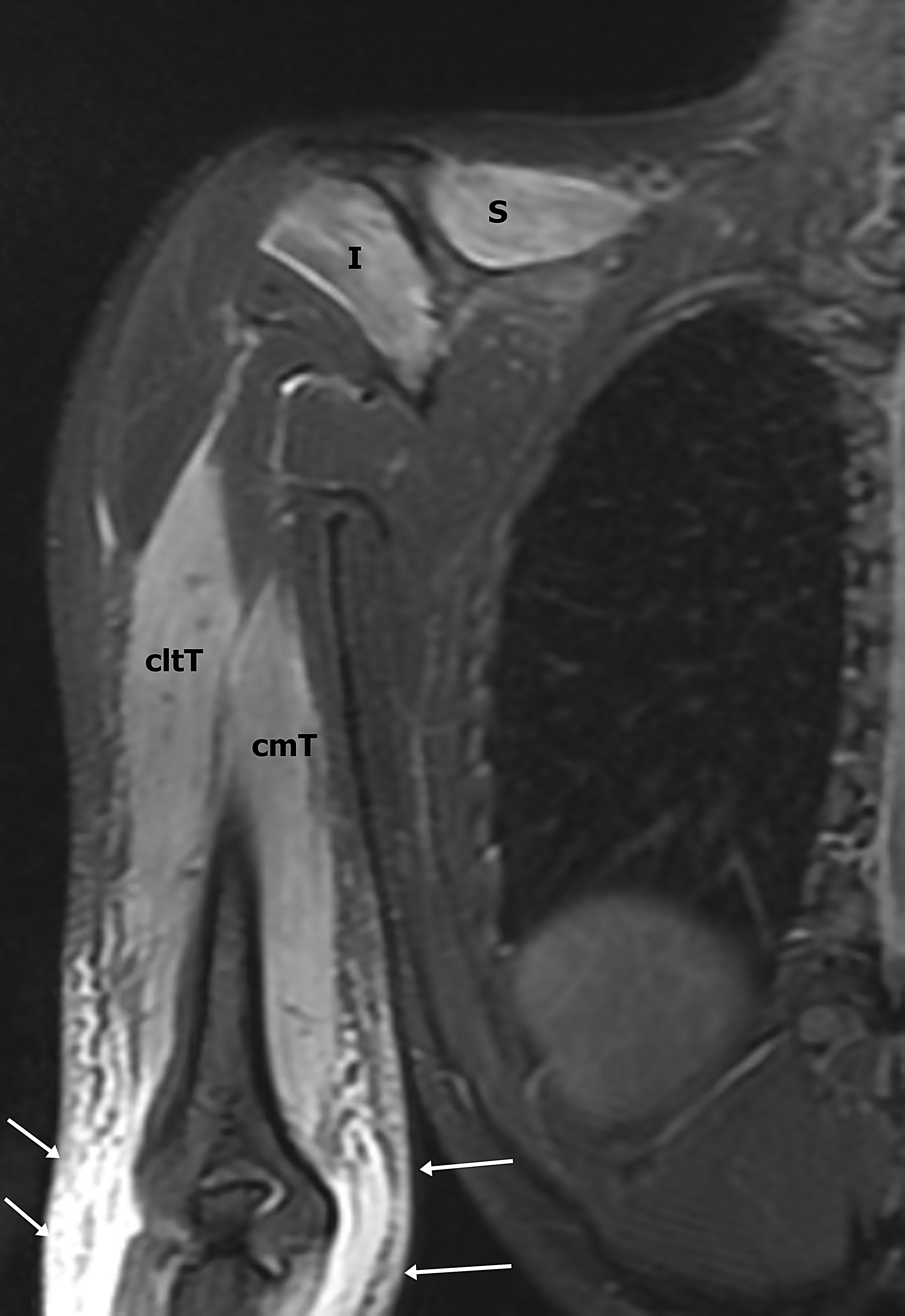
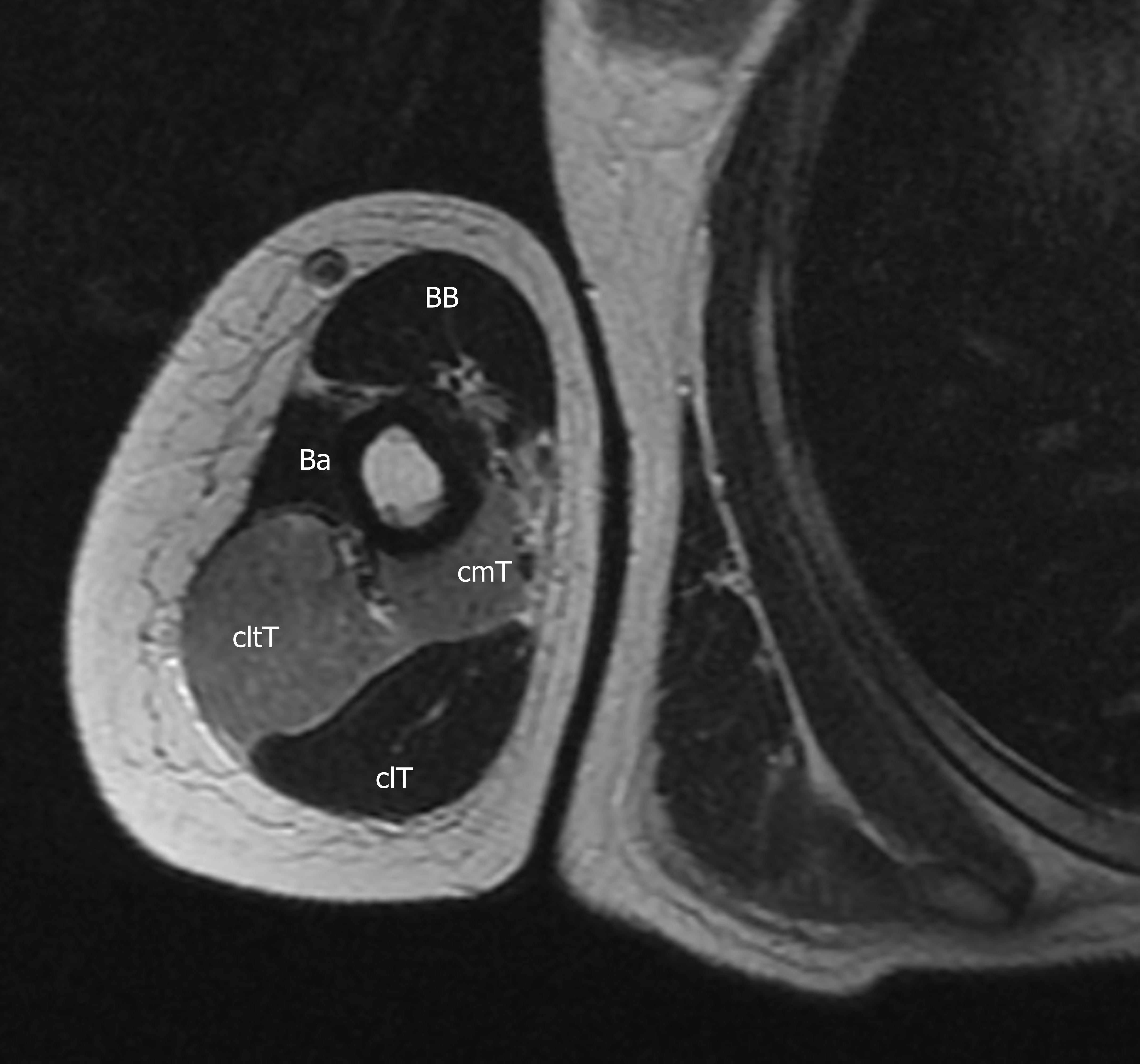
Presentación del casoMujer de 27 años de edad, con antecedentes de sepsis por estafilococo epidermidis, secundario a infección posquirúrgica de cirugía mamaria hace 3 meses, sin otros antecedentes de relevancia. Consulta en el departamento de urgencias, por presentar omalgia aguda, asociado a edema e impotencia funcional de hombro derecho, que comenzó 3 horas después de realizar actividad física intensa de CrossFit, consistente en movimientos de flexo-extensión de miembros superiores con peso.Descargas
Derechos de autor 2018 Revista de la Asociación Argentina de Ortopedia y Traumatología

Esta obra está bajo licencia internacional Creative Commons Reconocimiento-NoComercial-CompartirIgual 4.0.
La aceptación del manuscrito por parte de la revista implica la no presentación simultánea a otras revistas u órganos editoriales. La RAAOT se encuentra bajo la licencia Creative Commons 4.0. Atribución-NoComercial-CompartirIgual (http://creativecommons.org/licenses/by-nc-sa/4.0/deed.es). Se puede compartir, copiar, distribuir, alterar, transformar, generar una obra derivada, ejecutar y comunicar públicamente la obra, siempre que: a) se cite la autoría y la fuente original de su publicación (revista, editorial y URL de la obra); b) no se usen para fines comerciales; c) se mantengan los mismos términos de la licencia.
En caso de que el manuscrito sea aprobado para su próxima publicación, los autores conservan los derechos de autor y cederán a la revista los derechos de la publicación, edición, reproducción, distribución, exhibición y comunicación a nivel nacional e internacional en las diferentes bases de datos, repositorios y portales.
Se deja constancia que el referido artículo es inédito y que no está en espera de impresión en alguna otra publicación nacional o extranjera.
Por la presente, acepta/n las modificaciones que sean necesarias, sugeridas en la revisión por los pares (referato), para adaptar el trabajo al estilo y modalidad de publicación de la Revista.

