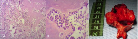
Osteosarcoma “tipo osteoblastoma” de columna cervical. A propósito de un caso. [Osteoblastoma like osteosarcoma of the cervical spine]
Contenido principal del artículo
Resumen
Descargas
Métricas
Detalles del artículo

Esta obra está bajo licencia internacional Creative Commons Reconocimiento-NoComercial-CompartirIgual 4.0.
La aceptación del manuscrito por parte de la revista implica la no presentación simultánea a otras revistas u órganos editoriales. La RAAOT se encuentra bajo la licencia Creative Commons 4.0. Atribución-NoComercial-CompartirIgual (http://creativecommons.org/licenses/by-nc-sa/4.0/deed.es). Se puede compartir, copiar, distribuir, alterar, transformar, generar una obra derivada, ejecutar y comunicar públicamente la obra, siempre que: a) se cite la autoría y la fuente original de su publicación (revista, editorial y URL de la obra); b) no se usen para fines comerciales; c) se mantengan los mismos términos de la licencia.
En caso de que el manuscrito sea aprobado para su próxima publicación, los autores conservan los derechos de autor y cederán a la revista los derechos de la publicación, edición, reproducción, distribución, exhibición y comunicación a nivel nacional e internacional en las diferentes bases de datos, repositorios y portales.
Se deja constancia que el referido artículo es inédito y que no está en espera de impresión en alguna otra publicación nacional o extranjera.
Por la presente, acepta/n las modificaciones que sean necesarias, sugeridas en la revisión por los pares (referato), para adaptar el trabajo al estilo y modalidad de publicación de la Revista.
Citas
2. Kan P, Schmidt MH. Osteoid osteoma and osteoblastoma of the spine. Neurosurg Clin N Am 2008;19:65-70. https://doi.org/10.1016/j.nec.2007.09.003
3. Zileli M, Cagli S, Basdemir G, Ersahin Y. Osteoid osteomas and osteoblastomas of the spine. Neurosurg Focus 2003;15:E5. https://doi.org/10.3171/foc.2003.15.5.5
4. Flemming DJ, Murphey MD, Carmichael BB, Bernard SA. Primary tumors of the spine. Semin Musculoskelet Radiol 2000;4:299-320. https://doi.org/10.1055/s-2000-9340
5. Bertoni F, Unni KK, McLeod R, Dahlin DC. Osteosarcoma resembling osteoblastoma. Cancer 1985;55:416-26. https://doi.org/10.1002/1097-0142(19850115)55:2<416::AID-CNCR2820550221>3.0.CO;2-5
6. Hermann G, Klein MJ, Springfield D, Abdelwahab IF. Osteoblastoma like osteosarcoma. Clin Radiol 2004;59(1):105-8. https://doi.org/10.1016/j.crad.2003.08.010
7. Bertoni F, Bacchini P, Donati D, Martini A, Picci P, Campanacci M. Osteoblastoma like osteosarcoma. The Rizzoli Institute Experience. Mod Pathol 1993;6:707-16.
8. Ilaslan H, Sundaram M, Unni KK, Shives TC. Primary vertebral osteosarcoma: imaging findings. Radiology 2004;230:697-702. https://doi.org/10.1148/radiol.2303030226
9. Mukherjee D, Chaichana KL, Gokaslan ZL, Aaronson O, Cheng JS, McGirt MJ. Survival of patients with malignant primary osseous spinal neoplasms: results from the Surveillance, Epidemiology, and End Results (SEER) database from 1973 to 2003. J Neurosurg Spine 2011;14:143-50. https://doi.org/10.3171/2010.10.SPINE10189
10. Kelley SP, Ashford RU, Rao AS, Dickson RA. Primary bone tumours of the spine: a 42- year survey from the Leeds Regional Bone Tumour Registry. Eur Spine J 2007;16:405-9. https://doi.org/10.1007/s00586-006-0188-7
11. Kozar-Hurina OM. Relationship of indices of cerebral blood flow and reflex manifestations in patients with cervicogenic vertebrobasilar insufficiency. Lik Sprava 2013;(4):76-81.
12. Katonis P, Datsis G, Karantanas A, Kampouroglou A, Lianoudakis S, Licoudis S, et al. Spinal osteosarcoma. Oncology 2013;7:199-208. https://doi.org/10.4137/CMO.S10099
13. Yamazaki T, McLoughlin GS, Patel S, Rhines LD, Fourney DR. Feasibility and safety of en bloc resection for primary spine tumors: a systematic review by the Spine Oncology Study Group. Spine 2009;34(22 Suppl):S31-8. https://doi.org/10.1097/BRS.0b013e3181b8b796
14. Lucas DR, Unni KK, McLeod RA, O’Connor M, Franklin HSM. Osteoblastoma: clinicopathologic study of 306 cases. Hum Pathol 1994;25:117-34. https://doi.org/10.1016/0046-8177(94)90267-4
15. Hoshino Y, Kurokawa T, Nakamura K, Seichi A, Mamada T, Saita K, et al. A report on the safety of unilateral vertebral artery ligation during cervical spine surgery. Spine 1996;21:1454-7. https://insights.ovid.com/pubmed?pmid=8792523
16. Abramovici L, Kenan S, Hytiroglou P, Rafii M, Steiner GC. Osteoblastoma-like osteosarcoma of the distal tibia. Skeletal Radiol 2002;31(3):179-82. https://doi.org/10.1007/s00256-001-0458-8
17. Tani T, Okada K, Shoji K, Hashimoto M, Sageshima M. Osteoblastoma like osteosarcoma. Skeletal Radiol 2000;29:656-9. doi: https://doi.org/10.1007/s002560000271
