Alendronato administrado en el foco de fractura. Estudio experimental en conejos. [Alendronate administered at the fracture site. Experimental study in rabbits].
Resumen
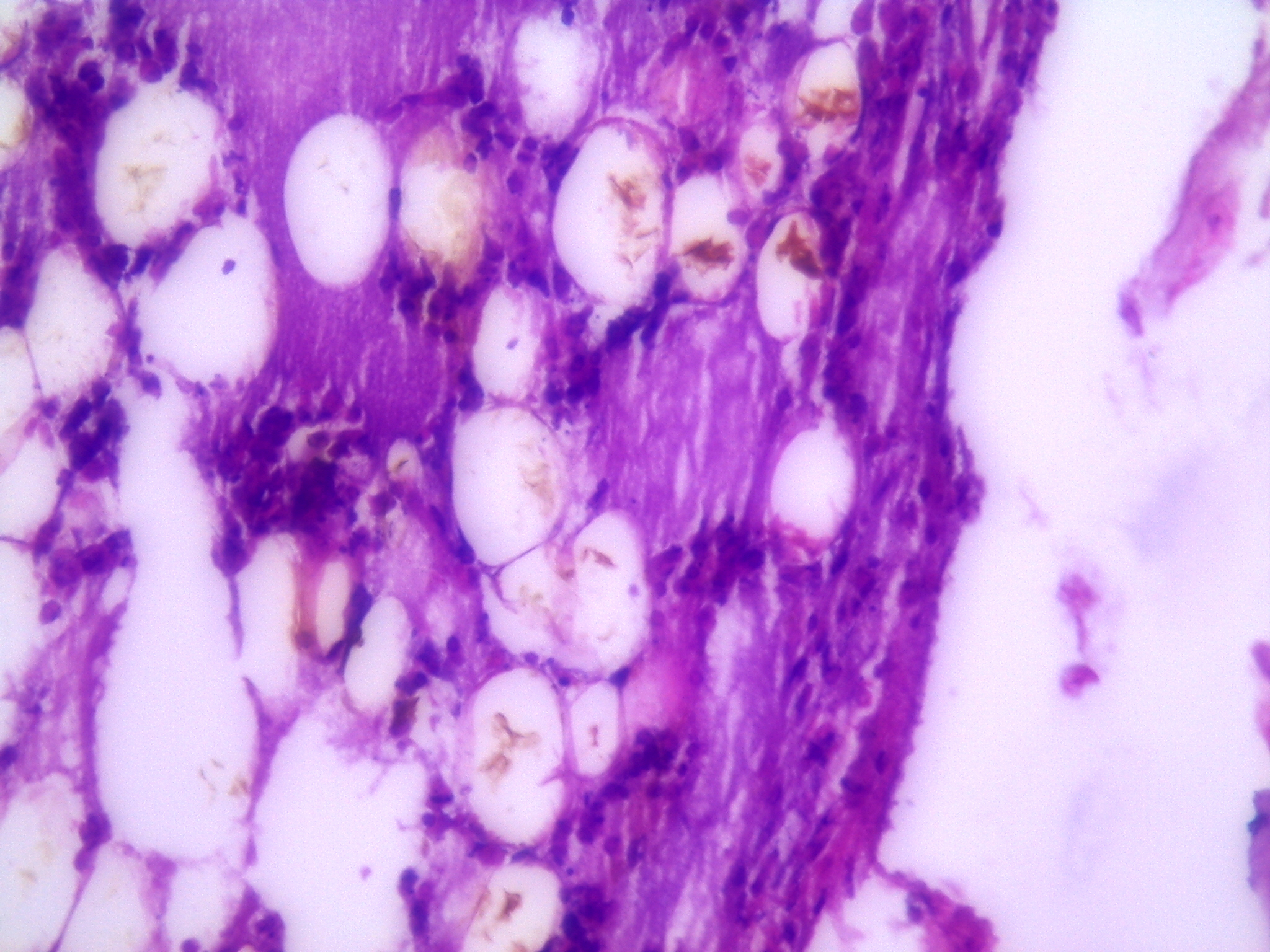
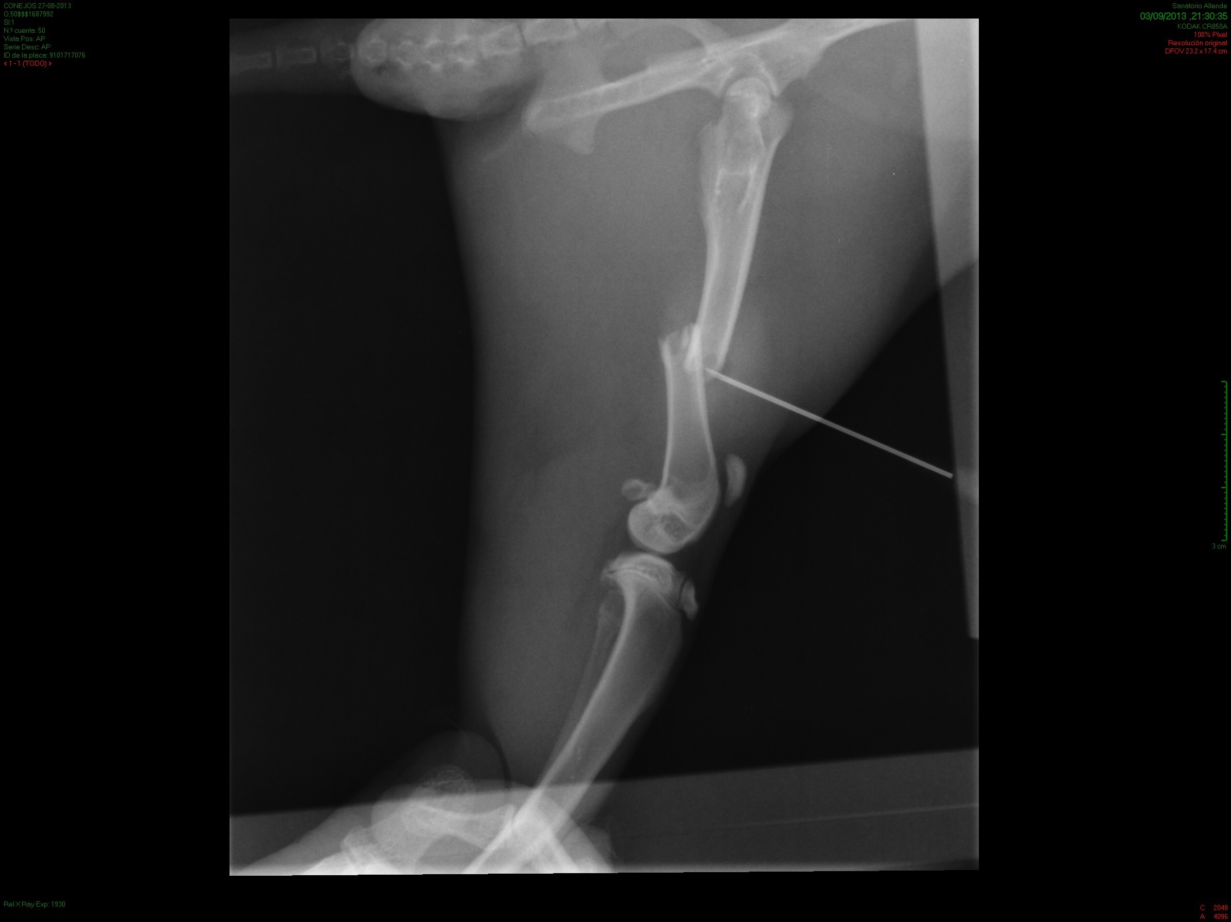
IntroducciónEl objetivo de este estudio experimental fue evaluar el resultado radiológico e histológico de la utilización de alendronato colocado localmente en el foco de fracturas de fémur en conejos.Material y métodosSe utilizaron 30 conejos a los cuales se fracturó el fémur derecho y se distribuyeron en tres grupos de 10 animales cada uno. A los conejos del grupo I se le colocó una solución con alendronato a nivel del foco de fractura, al grupo II se le realizó el mismo procedimiento a los siete días de la fractura, dejando el grupo III como control. Se realizó la evaluación radiográfica al momento de la fractura y a los 42 días del procedimiento. Se evaluó las características de callo óseo mediante anatomía patológica, radiología y tomografía axial computada.ResultadosSe evaluaron 24 conejos, por el fallecimiento de dos conejos del grupo II y cuatro del grupo III. El análisis histológico evidenció moderada formación ósea en los tres grupos sin diferencias estadísticamente significativas (p=0,8336). En cuanto a los resultados evaluados por estudios de imagen no existieron diferencias estadísticamente significativas del tamaño del callo óseo entre los grupos para los dos estudios (p= 0,777 en Rx y p=0,349 en TAC).ConclusiónLos resultados de este trabajo experimental evidenciaron que la utilización de alendronato colocado localmente en el foco de fractura no afectó de manera estadísticamente significativa, histológica ni radiológicamente, el proceso de consolidación en las primeras 6 semanas posteriores a la fractura de fémur en conejos. AbstractIntroduction: The aim of this experimental study was to evaluate the radiologic and histological results of the use of alendronate administered locally at the fractures site in rabbits.Methods: The fractured right femur of 30 rabbits was used for evaluation. The animals were distributed in three groups of 10 rabbits each. A solution with alendronate was placed at the fracture site in group 1; the same procedure was performed 7 days after the fracture in group 2, and group 3 functioned as control. Radiographic evaluation was performed at the time of the fracture and at day 42. Radiological, PA and CT-scan evaluations of bone callus characteristics in each rabbit were performed.Results: Twenty-four rabbits were evaluated (2 rabbits in group 2 and 4 in group 3 died). Histological evaluation evidenced moderate bone formation in the three groups without statistically significant differences (p=0.8336). Concerning imaging studies, there were no statistically significant differences in the size of bone callus among groups for both studies (X-rays: p=0.777 and CT: p=0.349).Conclusion: The use of alendronate administered locally at the fracture site, in the acute period and after one week, did not alter the normal consolidation process determined by PA and radiology, six weeks after femur fracture in rabbits.Descargas
Citas
-Mochida Y, Bauer T, Akisue T, Brown PR. Alendronate does not inhibit early bone apposition to hydroxyapatite-coated total joint implants. A preliminary study. J Bone Joint Surg 2002; 84-A(2): 226-35.
-.Fleisch H. Bisphosphonates: mechanism of action. Endocr Rev 1998; 19: 80-100.
- Cruess, R.L., Dumont, J. Basic fracture healing. En: Newton, C.D., Nunamaker,
D.M.:Texbook of small animal orthopaedic. Ed. Lippincotr. Philadelphia, 1985.
-Munns CFJ, Rauch F, Zeitlin L, Fassier F, Glorieux FH. Delayed osteotomy but not fracture healing in pediatric osteogenesis imperfecta patients receiving pamidronate. J Bone Miner Res 2004; 19(11): 1779-86.
-Adolphson P, Abbaszadegan H, Bodén H, Salemyr M, Henriques T. Clodronate increases mineralization of callus after Colles’ fracture. A randomized, double-blind, placebo-controlled, prospective trial in 32 patients. Acta Orthop Scand 2000; 71(2); 195-200.
-Ruchelli L, Allende C,Bruno P,Gutiérrez N,Flores O,Fernández Savoy. Integración de los Aloinjertos Óseos Impregnados con Alendronato: Estudio Experimental. Rev. Asoc. Argent. Ortop. Traumatol. 2014; 79 (4): 243-249
- Li J, Mori S, Kaji Y, Mashiba T, Kawanishi J, Norimatsu H. Effect of bisphosphonate (incadronate) on fracture healing of bones in rats. J Bone Miner Res 1999; 14(6): 969-79
-Li C, Mori S, Li J, Kaji Y, Akiyama T, Kawanishi J, Norimatsu H. Long-term effect of incadronate disodium (Ym-175) on fracture healing of femoral shaft in growing rats. J Bone Miner Res 2001; 16(3): 429-36.
-Linde F, Sorenesen HC. The effect of different storage methods on the mechanical properties of trabecular bone. J Biomech 1993; 26(10): 1249-52.
-Hyvönen PM, Karhi T, Kosma VM, Liimola-Luoma L, Hanijärvi H. The influence of dichloromethylene bisphosphonate on the healing of a long bone fracture, composition of bone mineral and histology of bone in the rat. Pharmacol Toxicol 1994; 75: 384-90.
-Koivukangas A, Tuukkanen J, KippoK, Jamsa T, Hannuniemi R, Vaananen K, Jalovaara P. Long-term administration of clodronate does not prevent fracture healing in rats. Clin Orthop 2003; 408: 268-78.
-Madsen JE, Berg-Larsen T, Kirkeby OJ, Falcch JA, Nordsletten L. No adverse effects of clodronate on fracture healing in rats. Acta Orthop Scand 1998; 69(5): 532-6.
-Nyman MT, Paavolainen P, Lindhom TS. Clodronate increases the calcium content in fracture callus. An experimental study in rats. Arch Orthop Trauma Surg 1993; 112: 228 31.
-Cao Y, Mori S, Mashiba T, Westmore MS, Ma L, Sato M, Akiyama T, Komatsubara S, Miyamoto K, Norimatsu H. Raloxifene, estrogen, and alendronate affect the processes of repair differently in ovariectomized rats. J Bone Miner Res 2002; 17(12): 2237-46.
-Chastagnier D, Barbier A, de Vernejoul MC, Geusens P, Lacheret F. Effect of two bisphosphonates (tiludronate and etidronate) on bone healing. J Bone Miner Res 1993; 8: S236.
-Flora L, Hassing GS, Cloyd CG, Bevan JA, Parfitt AM, Villanueva AR.The long term skeletal effects of EHDP in dogs. Metab Bone Dis Rel Res 1981; 3: 289-300.
-Bauss F, Schenk RK, Hört S, Müller-Beckmann B, Sponer G. New model for simulation of fracture repair in full-grown beagle dogs: model characterization and results from a long-term study with ibandronate. J Pharmacol Toxicol Methods 2004; 50: 25-34.
-Peter CP, Cook WO, Nunamaker DM, Provost MT, Seedor JG, Rodan GA. Effect of alendronate on fracture healing and bone remodeling in dogs. J Orthop Res 1996; 14(1): 74-9.
-Adolphson P, Abbaszadegan H, Bodén H, Salemyr M, Henriques T.Clodronate increases mineralization of callus after Colles’ fracture. Arandomized, double-blind, placebo-controlled, prospective trial in 32 patients. Acta Orthop Scand 2000; 71(2); 195-200.
-Van der Poest Clement E, Patka P, Vandormael K, Haarman H,Lips P. The effect of alendronate on bone mass after distal forearmfracture. J Bone Miner Res 2000; 15: 586-93.
- Van der Poest Clement E, Van England M, Ader H, Roos JC, Patka P, Lips P. Alendronate in the prevention of bone loss after afracture of the lower leg. J Bone Miner Res 2002; 17: 2247-55.
- Chastagnier D, Barbier A, de Vernejoul MC, Geusens P, Lacheret F. Effect of two bisphosphonates (tiludronate and etidronate) on bone healing. J Bone Miner Res 1993; 8: S236.
-Flora L, Hassing GS, Cloyd CG, Bevan JA, Parfitt AM, Villanueva AR. The long term skeletal effects of EHDP in dogs. Metab Bone Dis Rel Res 1981; 3: 289-300.
-Lenehan TM, Balligand M, Nunamaker DM, Wood FEJr. Effect of EHDP on fracture healing in dogs. J Orthop Res 1985; 3: 499-507.
-Goodship AE, Walker PC, McNally D, Chambers T, Green JR1994 Use of a bisphosphonate (pamidronate) to modulate fracture repair in ovine bone. Ann Oncol 5:S53–S55.
- Rozental TD, Makhni EC, Day CS, Bouxsein ML. Improving evaluation and treatment for osteoporosis following distal radial fractures. J Bone Joint Surg Am 2008; 90: 953-61.
-Li J, Mori S, Kaji Y, Mashiba T, Kawanishi J, Norimatsu H. Effect of bisphosphonate (incadronate) on fracture healing of bones in rats. J Bone Miner Res 1999; 14(6): 969-79.
- Li J, Mori S, Kaji Y, Kawanishi J, Akiyama T, Norimatsu H. Concentration of biphosphonate (incadronate) in callus areas and effects on fracture healing in rats. J Bone Miner Res 2000; 15(10):2042-51.
- Li C, Mori S, Li J, Kaji Y, Akiyama T, Kawanishi J, Norimatsu H. Long-term effect of incadronate disodium (Ym-175) on fracture healing of femoral shaft in growing rats. J Bone Miner Res 2001; 16(3): 429-36.
-Peter CP, Cook WO, Nunamaker DM, Provost MT, Seedor JG,Rodan GA. Effect of alendronate on fracture healing and bone remodeling in dogs. J Orthop Res 1996; 14(1): 74-9.
Derechos de autor 2017 Revista de la Asociación Argentina de Ortopedia y Traumatología

Esta obra está bajo licencia internacional Creative Commons Reconocimiento-NoComercial-CompartirIgual 4.0.
La aceptación del manuscrito por parte de la revista implica la no presentación simultánea a otras revistas u órganos editoriales. La RAAOT se encuentra bajo la licencia Creative Commons 4.0. Atribución-NoComercial-CompartirIgual (http://creativecommons.org/licenses/by-nc-sa/4.0/deed.es). Se puede compartir, copiar, distribuir, alterar, transformar, generar una obra derivada, ejecutar y comunicar públicamente la obra, siempre que: a) se cite la autoría y la fuente original de su publicación (revista, editorial y URL de la obra); b) no se usen para fines comerciales; c) se mantengan los mismos términos de la licencia.
En caso de que el manuscrito sea aprobado para su próxima publicación, los autores conservan los derechos de autor y cederán a la revista los derechos de la publicación, edición, reproducción, distribución, exhibición y comunicación a nivel nacional e internacional en las diferentes bases de datos, repositorios y portales.
Se deja constancia que el referido artículo es inédito y que no está en espera de impresión en alguna otra publicación nacional o extranjera.
Por la presente, acepta/n las modificaciones que sean necesarias, sugeridas en la revisión por los pares (referato), para adaptar el trabajo al estilo y modalidad de publicación de la Revista.

