Análisis con resonancia magnética de la posición de la amígdala cerebelosa antes de la corrección instrumentada por vía posterior y después de ella en pacientes con escoliosis idiopática del adolescente. [Magnetic resonance imaging evaluation of the position of the cerebellar tonsil before and after posterior spinal fusion in adolescent idiopathic scoliosis].
Resumen
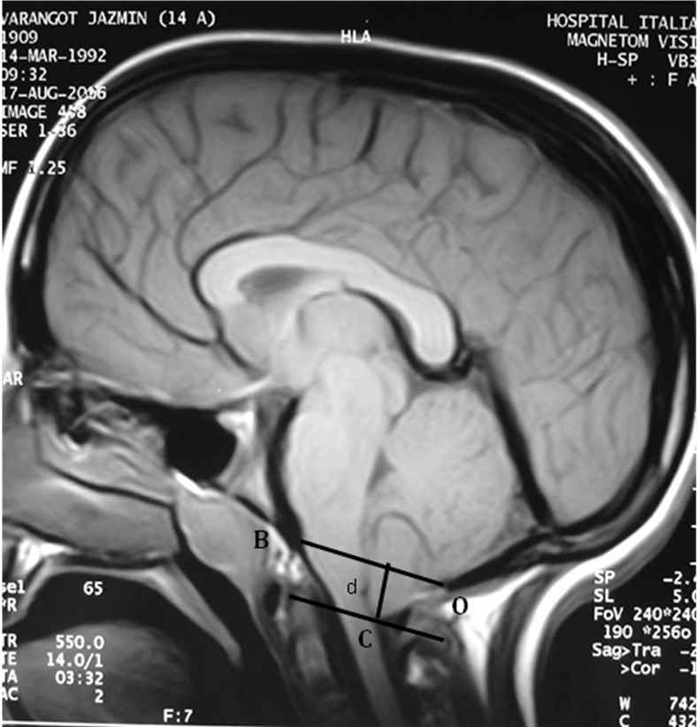
Introducción: El objetivo de este estudio fue analizar las variaciones de posición de la Amígdala Cerebelosa, con resonancia nuclear magnética, antes y después de la corrección de la deformidad espinal mediante una artrodesis vertebral posterior instrumentada (AVP) en pacientes con escoliosis idiopática del adolescente (EIA) que no presentaban sintomatología neurológica.Materiales y métodos: Se evaluaron retrospectivamente 40 pacientes con EIA que no presentaban síntomas neurológicos y a los cuales se les realizó una AVP instrumentada para corregir la deformidad espinal. Se realizó RNM de la fosa cerebral posterior y de la columna cervical en todos los pacientes antes y después de la cirugía espinal. El nivel de la amígdala cerebelosa con respecto al foramen magnum se midió con el método descripto por Aboulezz et al 3.Resultados: La magnitud pre-operatoria promedio de la curva escoliótica fue de 53,15° (DS 10,46°) y de la cifosis torácica fue de 35,42º (DS 12,38°). En el post-operatorio inmediato la magnitud promedio fue de 7,45º (DS 7,33°) y de 27,87º (DS 9,03°), respectivamente. La corrección promedio lograda con la AVP fue de 86% en el plano coronal (p<0.00001). El valor promedio de la longitud de la columna en el plano coronal fue de 44,5 cm (SD 5,25 cm) en el pre-operatorio y de 48,27 cm (DS 4,40 cm) en el post-operatorio (p<0.00001). El valor promedio de la longitud de la columna vertebral en el plano sagital fue de 50,87 cm (DS 4,47 cm) en el pre-operatorio y de 55,13 cm (DS 3,27 cm) en el post-operatorio (p<0.00001). No se observó una diferencia significativa respecto de la posición de la amígdala cerebelosa en las mediciones realizadas antes y después de corregida la deformidad espinal. (p=0,6042). En 10 de los 40 pacientes, se observó un desplazamiento caudal de la amígdala cerebelosa luego de realizada la AVP. En 21 pacientes no se observó ninguna variación en la posición de la amígdala cerebelosa, y en 2 se observó un desplazamiento cefálico de la misma.Conclusión: No observamos una variación significativa de la ubicación de la amígdala cerebelosa respecto del agujero occipital en pacientes con EIA que fueron sometidos una AVP instrumentada para corregir la deformidad espinal. No se encontró correlación entre la magnitud dDescargas
Citas
Cheng J, Nash J, Meyer G. Chiari Type I Malformation Revisited: Diagnosis and Treatment. Neurologist 2002;8(6):357-362.
Eule J, Erickson M, O'Brien M, Handler M. Chiari I Malformation Associated with Syringomyelia and Scoliosis: A Twenty-Year Review of Surgical and Nonsurgical Treatment in a Pediatric Population. Spine 2002;27(13):1451-1455.
Aboulezz AO, Sartor K, Geyer CA, et al. Position of cerebellar tonsils in normal population and in patients with Chiari malformation: a quantitative approach with MR imaging. J Comput Assist Tomogr 1985;9:1033–6.
Barkovich AJ, Wippold FJ, Sherman JL, et al. Significance of cerebellar tonsilar position on MR. AJNR Am J Neuroradiol 1986;7:795–9.
Ghanem IB, Lodono C, Delalande O, et al. Chiari I malformation associated with syringomyelia and scoliosis. Spine 1997;22:1313–8.
Dyste GN, Menezes AH. Presentations and management of pediatric Chiara malformations without myelodysplasia. Neurosurgery 1988;23:589–97.
Brockmeyer D, Gollogly S, Smith J. Scoliosis associated with Chiari I malformation: the effect of suboccipital decompression on scoliosis curve progression. A preliminary study. Spine 2003;28(22):2505-2509.
Lenke L, Betz R, Harms J, et al. Adolescent idiopathic scoliosis: a new classification to determinate extent of spinal arthrodesis. J Bone Joint Surge Am 2001;83A:1169-81
Inoue M, Minami S, Nakata Y, et al. Preoperative MRI analysis of patients with idipathic Scoliosis. A prospective study. Spine 2004;30(1):108-114.
Cheng JCY, Guo X, Sher AH, et al. Correlation between curve severity, somatosensory evoked potentials, and magnetic resonance imaging in adolescent idiopathic scoliosis. Spine 1999;24:1679–84.
Porter RW, Hall-Craggs M, Walker AE, et al. The position of the cerebellar tonsils and the conus in patients with scoliosis. J Bone Joint Surg Br 2000;82(suppl 3):286 –7.
Spiegel DA, Flynn JM, Stasikelis PJ, et al. Scoliotic curve patterns in patients with Chiari I malformation and/ or syringomyelia. Spine 2003;28:2139 – 46.
Cheng JC, Chau WW, Guo X, et al. Redefining the magnetic resonance imaging reference level for the cerebellar tonsil: a study of 170 adolescents with normal versus idiopathic scoliosis. Spine 2003;28:815–8.
Sun X, Qiu Y, Zhu Z, Zhu F, et al. Variation of the position of the cerebellar tonsil in idiopathic scoliosis with Cobb angle > 40º. A magnetic resonance imaging study. Spine 2007;32(15):1680-1686.
Derechos de autor 2016 Revista de la Asociación Argentina de Ortopedia y Traumatología

Esta obra está bajo licencia internacional Creative Commons Reconocimiento-NoComercial-CompartirIgual 4.0.
La aceptación del manuscrito por parte de la revista implica la no presentación simultánea a otras revistas u órganos editoriales. La RAAOT se encuentra bajo la licencia Creative Commons 4.0. Atribución-NoComercial-CompartirIgual (http://creativecommons.org/licenses/by-nc-sa/4.0/deed.es). Se puede compartir, copiar, distribuir, alterar, transformar, generar una obra derivada, ejecutar y comunicar públicamente la obra, siempre que: a) se cite la autoría y la fuente original de su publicación (revista, editorial y URL de la obra); b) no se usen para fines comerciales; c) se mantengan los mismos términos de la licencia.
En caso de que el manuscrito sea aprobado para su próxima publicación, los autores conservan los derechos de autor y cederán a la revista los derechos de la publicación, edición, reproducción, distribución, exhibición y comunicación a nivel nacional e internacional en las diferentes bases de datos, repositorios y portales.
Se deja constancia que el referido artículo es inédito y que no está en espera de impresión en alguna otra publicación nacional o extranjera.
Por la presente, acepta/n las modificaciones que sean necesarias, sugeridas en la revisión por los pares (referato), para adaptar el trabajo al estilo y modalidad de publicación de la Revista.

