Remodelación y deterioro en epifisiólisis de cadera después de la fijación in situ. [Slipped capital femoral epiphysis remodeling and deterioration after in situ fixation]
Resumen
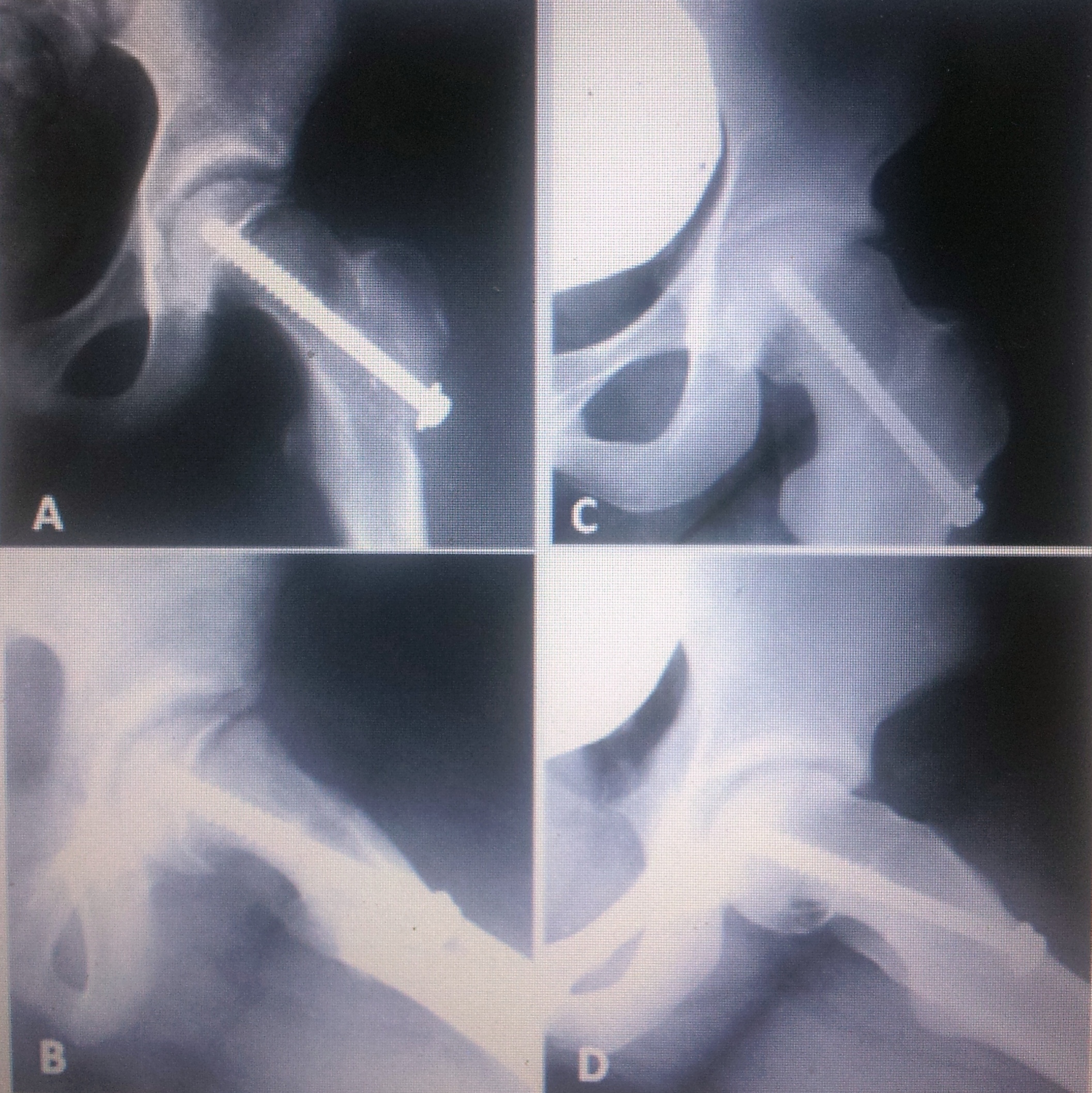
Introducción: una vez detenida la progresión del deslizamiento, las caderas experimentan un fenómeno complejo de remodelación. Mientras tanto, el choque femoro-acetabular provoca daño irreversible del cartílago articular. El propósito del trabajo es determinar si la remodelación es suficiente para impedir el deterioro articular en el corto plazo.Materiales y Métodos: se diseñó un estudio de cohorte retrospectivo de pacientes con deslizamientos moderados y graves, que recibieron como tratamiento la fijación in situ. Se evaluó la capacidad de remodelación con el ángulo de Southwick y el ángulo alfa. El deterioro funcional se evaluó con el puntaje de Harris y el radiológico, con la escala de Tonnis. Seguimiento mínimo: 4 años. Resultados: diecisiete pacientes, mediana de seguimiento: 63 meses (RI 55-81). El ángulo de Southwick prequirúrgico 57º (RI 50-72) versus el posquirúrgico 48º (RI 45-74) disminuyó significativamente (p 0,023). Lo mismo ocurrió con el ángulo alfa complementario. El deterioro radiológico evaluado con la escala de Tonnis fue estadísticamente significativo (p 0,012). Los resultados funcionales, cuantificados con el puntaje de Harris no mostraron diferencias estadísticamente significativas (p 0,49). Conclusiones: en esta serie, las epifisiólisis moderadas y graves fijadas in situ presentaron deterioro radiológico en 63 meses de seguimiento promedio. Sin embargo, la funcionalidad no se deterioró con la misma rapidez.Descargas
Citas
Carney BT, Weinstein SL, Noble J. Long-term follow-up of slipped capital femoral epiphysis. J Bone Joint Surg Am
;73:667-74.
Loder RT, O’Donnell PW, Didelot WP, Kayes KJ. Valgus slipped capital femoral epiphysis. J Pediatr Orthop 2006;26:594-600.
Muller W. Eieentstehung von coxa valga durch epiphy sen verschiebung. Beitr Z Klin Chi. 1926;137:148-64.
Hartjen CA, Koman LA. Treatment of slipped capital femoral epiphysis resulting from juvenile renal osteodysthrophy. J Pediatr
Orthop 1990;10:551-4.
Aronson DD, Carlson WE. Slipped capital femoral epiphysis. A prospective study of fixation with a single screw. J Bone Joint
Surg Am 1992;74:810-9.
Boyer DW, Mickelson MR, Ponseti IV. Slipped capital femoral epiphysis. Long-term follow-up of one hundred and twenty-one
patients. J Bone Joint Surg Am 1981;63:85-95.
Loder RT, Richards BS, Shapiro PS, Reznick LR, Aronson DD. Acute slipped capital femoral epiphysis. The importance of
physeal stability. J Bone Joint Surg Am 1993;75:1134-40.
O’Brien E, Fahey J. Remodeling of the femoral neck after in situ pinning for slipped capital femoral epiphysis. J Bone Joint
Surg Am 1977;59:62-8.
Larson AN, Sierra RJ, Yu EM, Trousdale RT, Stans AA. Outcomes of slipped capital femoral epiphysis treated with in situ
pinning. J Pediatr Orthop 2012;32:125-30.
Karol LA, Doane RM, Cornicelli SF, Zak PA, Haut RC, Manoli A 2nd. Single versus double screw fixation for treatment of
slipped capital femoral epiphysis: a biomechanical analysis. J Pediatr Orthop 1992;12:741-5.
Waldenström H. Slipping of the upper femoral epiphysis. Surg Gynecol Obstet 1940;71:198.
Fahey J, O’Brien E. Acute slipped capital femoral epiphysis. J Bone Joint Surg Am 1965;47:1105-27.
Hall JE. The results of treatment of slipped femoral epiphysis. J Bone Joint Surg Br 1957;39:659-73.
Harris WH. Traumatic arthritis of the hip after dislocation in acetabular fractures. Treatment by mould arthroplasty. J Bone Joint
Surg Am 1969;51:737-55.
Clohisy JC, Carlisle JC, Beaulé PE, Kim YJ, Trousdale RT, Sierra RJ, et al. A Systematic approach to the plain radiographic
evaluation of the young adult hip. J Bone Joint Surg Am 2008;90(Suppl 4):47-66. doi:10.2106/JBJS.H.00756.
Leunig M, Casillas MM, Hamlet M, Hersche O, Notzli H, Slongo T, Ganz R. Slipped capital femoral epiphysis: early
mechanical damage to the acetabular cartilage by a prominent femoral metaphysis. Acta Orthop Scand 2000;71:370-5.
Ganz R, Gill TJ, Gautier E, Ganz K, Krugel N, Berlemann U. Surgical dislocation of the adult hip a technique with full access
to the femoral head and acetabulum without the risk of avascular necrosis. J Bone Joint Surg Br 2001;83:1119-24.
Leunig M, Slongo T, Kleinschmidt M, Ganz R. Subcapital correction osteotomy in slipped capital femoral epiphysis by means
of surgical hip dislocation. Oper Orthop Traumatol 2007;19:389-410.
Leunig M, Slongo T, Ganz R. Subcapital realignment in slipped capital femoral epiphysis: surgical hip dislocation and trimming
of the stable trochanter to protect the perfusion of the epiphysis. Instr Course Lect 2008;57:499-507.
Ganz R, Huff T, Leunig M. Extended retinacular soft tissue flap for intraarticular surgery of the hip. Operative technique,
indications and results of its application. Clin Orthop Relat Res 2009;467(3):704-716.
Spencer S, Millis MB, Kim YJ. Early results of treatment of hip impingement syndrome in slipped capital femoral epiphysis and
pistol grip deformity of the femoral head-neck junction using the surgical dislocation technique. J Pediatr Orthop 2006;26:281-5.
Praglia F, Sueiro J, Visona Dalla Pozza D, Stefano E. Deslizamientos epifisarios femorales proximales >30°. Procedimiento
de Dunn modificado. Evaluación anatomía y funcional en una cohorte retrospectiva. Rev Asoc Argent Ortop Traumatol 2013;
(4):199-209.
Clarke NMP, Harrison MHM. Slipped upper femoral epiphysis. A potential for spontaneous recovery. J Bone Joint Surg Br
;68(4):541-4.
Siegel DB, Kasser JR, Sponseller P, Gelberman RH. Slipped capital femoral epiphysis a quantitative analysis of motion, gait,
and femoral remodeling after in situ fixation. J Bone Joint Surg Am 1991;73:659-66.
Wong-Chung J, Strong ML. Physeal remodeling after internal fixation of slipped capital femoral epiphysis. J Pediatr Orthop
;11:2-5.
Bellemans J, Fabry G, Molenaers G, Lammens J, Moens P. Slipped capital femoral epiphysis: a long-term follow-up, with
special emphasis on the capacities for remodeling. J Pediatr Orthop B 1996;5:151-7.
Slongo T, Kakaty D, Krause F, Ziebarth K. Treatment of slipped capital femoral epiphysis with a modified Dunn procedure.
J Bone Joint Surg Am 2010;92:2898-908. doi:10.2106.
Sink EL, Zaltz I, Heare T, Dayton M. Acetabular cartilage and labral damage observed during surgical hip dislocation for stable
slipped capital femoral epiphysis. J Pediatr Orthop 2010;30:26-30.
Larson AN, Sierra RJ, Yu EM, Trousdale RT, Stans AA. Outcomes of slipped capital femoral epiphysis treated with in situ
pinning. J Pediatr Orthop 2012;32:125-30.
Derechos de autor 2016 Revista de la Asociación Argentina de Ortopedia y Traumatología

Esta obra está bajo licencia internacional Creative Commons Reconocimiento-NoComercial-CompartirIgual 4.0.
La aceptación del manuscrito por parte de la revista implica la no presentación simultánea a otras revistas u órganos editoriales. La RAAOT se encuentra bajo la licencia Creative Commons 4.0. Atribución-NoComercial-CompartirIgual (http://creativecommons.org/licenses/by-nc-sa/4.0/deed.es). Se puede compartir, copiar, distribuir, alterar, transformar, generar una obra derivada, ejecutar y comunicar públicamente la obra, siempre que: a) se cite la autoría y la fuente original de su publicación (revista, editorial y URL de la obra); b) no se usen para fines comerciales; c) se mantengan los mismos términos de la licencia.
En caso de que el manuscrito sea aprobado para su próxima publicación, los autores conservan los derechos de autor y cederán a la revista los derechos de la publicación, edición, reproducción, distribución, exhibición y comunicación a nivel nacional e internacional en las diferentes bases de datos, repositorios y portales.
Se deja constancia que el referido artículo es inédito y que no está en espera de impresión en alguna otra publicación nacional o extranjera.
Por la presente, acepta/n las modificaciones que sean necesarias, sugeridas en la revisión por los pares (referato), para adaptar el trabajo al estilo y modalidad de publicación de la Revista.

