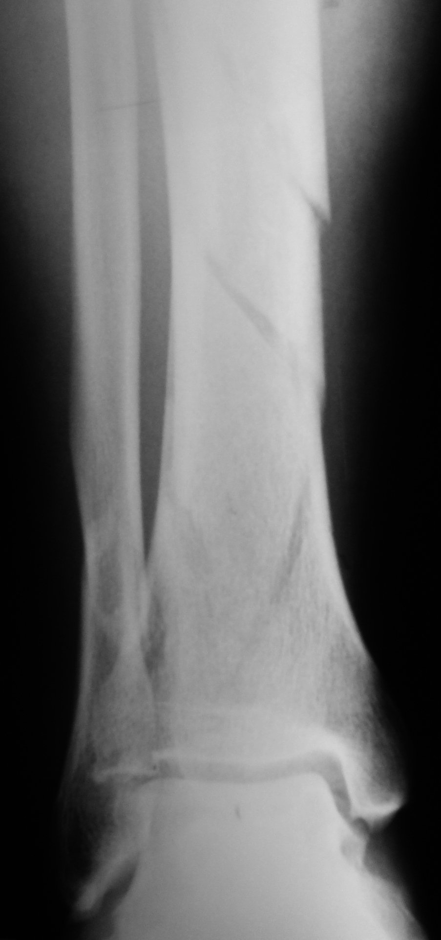
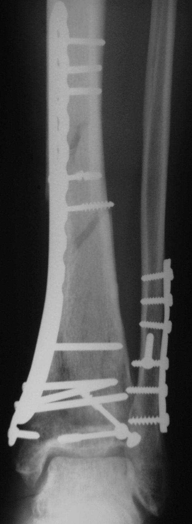
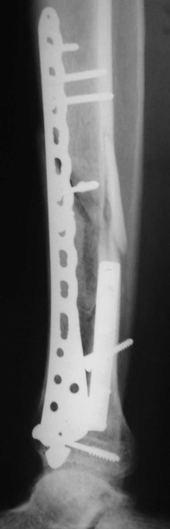
Osteosíntesis mini-invasiva con placas bloqueadas en fracturas metafisarias distales de tibia. Resultados clínico-funcionales. [Minimally invasive plate osteosynthesis in distal metaphyseal fractures of tibia. Comparison of results between fractures AO 43A and AO 43C.]
Contenido principal del artículo
Resumen
Descargas
Métricas
Detalles del artículo

Esta obra está bajo licencia internacional Creative Commons Reconocimiento-NoComercial-CompartirIgual 4.0.
La aceptación del manuscrito por parte de la revista implica la no presentación simultánea a otras revistas u órganos editoriales. La RAAOT se encuentra bajo la licencia Creative Commons 4.0. Atribución-NoComercial-CompartirIgual (http://creativecommons.org/licenses/by-nc-sa/4.0/deed.es). Se puede compartir, copiar, distribuir, alterar, transformar, generar una obra derivada, ejecutar y comunicar públicamente la obra, siempre que: a) se cite la autoría y la fuente original de su publicación (revista, editorial y URL de la obra); b) no se usen para fines comerciales; c) se mantengan los mismos términos de la licencia.
En caso de que el manuscrito sea aprobado para su próxima publicación, los autores conservan los derechos de autor y cederán a la revista los derechos de la publicación, edición, reproducción, distribución, exhibición y comunicación a nivel nacional e internacional en las diferentes bases de datos, repositorios y portales.
Se deja constancia que el referido artículo es inédito y que no está en espera de impresión en alguna otra publicación nacional o extranjera.
Por la presente, acepta/n las modificaciones que sean necesarias, sugeridas en la revisión por los pares (referato), para adaptar el trabajo al estilo y modalidad de publicación de la Revista.
Citas
2. Rakesh K, Gupta R, Rajesh K, Kapil S, Vigendra S, Saurav W. Locking plate fixation in distal metaphyseal tibial fractures:
series of 79 patients. Int Orthop 2010;34:1285-90.
3. Leunig M, Hertel R, Siebenrock KA, Ballmer FT, Mast JW, Ganz R. The evolution of indirect reduction techniques for the
treatment of fractures. Clin Orthop 2000;375:7-14.
4. Oh C-W, Kyung H-S, Park I-H, Kim P-T, Ihn JC. Distal tibia metaphyseal fractures treated by percutaneous plate osteosynthesis.
Clin Orthop 2003;408:286-91.
5. Schutz M, Sudkamp NP. Revolution in plate osteosynthesis new internal fixator systems. J Orthop Sci 2003;8(2):252-8.
6. Dogra AS, Ruiz AL, Thompson NS, Nolan PC. Diametaphyseal distal tibial fractures-treatment with a shortened intramedullary
nail: a review of 15 cases. Injury 2000;31(10):799-804.
7. Robinson CM, McLaughlan GJ, McLean IP, Court-Brown CM. Distal metaphyseal fractures of the tibia with minimal involvement
of the ankle. Classification and treatment by locked intramedullary nailing. J Bone Joint Surg 1995;77(5):781-7.
8. Kretteck C. Concepts of minimally invasive plate osteosynthesis. Injury 1997;28(Suppl 1):805-9.
9. Tornetta P, Weiner L, Bergman M, Watnik N, Steuer J, Kelley M, et al. Pilon fractures: treatment with combined internal and
external fixation. J Orthop Trauma 1993;7(6):489-96.
10. Oh C-W, Park B-C, Kyung H-S, Kim SJ, Kim HS, Lee SM, et al. Percutaneous plating for unstable tibial fractures. J Orthop Sci
2003;8(2):166-9.
11. Kitaoka HB, Alexander IJ, Adelaar RS, Nunley JA, Myerson MS, Sanders M. Clinical rating systems for the ankle-hindfoot,
midfoot, hallux, and lesser toes. Foot Ankle Int 1994;15(7):349-53.
12. Picher W, Grechening W, Tesch N. The risk of iatrogenic injury to the deep peroneal nerve in minimally invasive osteosynthesis
of the tibia with the less invasive stabilization system. J Bone Joint Surg Br 2009;91:385–7.
13. Rhinlander F. The normal microcirculation of diaphyseal cortex and its response to fracture. J Bone Joint Surg 1968;50(4):784–
800.
14. Wade R, Bruce H, Ziran M, Anglen J, Stahel P. Locking plates: Tips and tricks. J Bone Joint Surg Am 2007;89:2298-307.
15. Lau TW, Leung F, Chan CF, Chow SP. Wound complication of minimally invasive plate osteosynthesis in distal tibia fractures.
Int Orthop 2008;32:697–703.
16. Gao H, Zhang CQ, Luo CF, Zhou Z, Zeng B. Fractures of the distal tibia treated with polyaxial locking plating. Clin Orthop
Relat Res 2009;467(3):831–7.
17. Ronga M, Longo UG, Maffulli N. Minimally invasive locked plating of distal tibia fractures is safe and effective. Clin Orthop
Relat Res 2010;468:975–82.
18. Collinge C, Protzman R. Outcomes of minimally invasive plate osteosynthesis for metaphyseal distal tibia fractures. J Orthop
Trauma 2010;24(1):24-9.
19. Helfet DL, Shonnard PY, Levine D, Borrelli Jr J. Minimally invasive plate osteosynthesis of distal fractures of the tibia. Injury
1997;28(Suppl 1):A42–7.
