Flegmasia cerúlea dolens posquirúrgica inmediata en el tratamiento de una fractura de pelvis. Reporte de Caso
Resumen
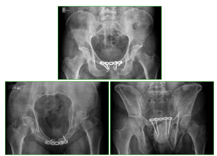
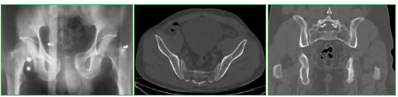
La flegmasia cerúlea dolens es una presentación poco habitual y grave de una trombosis venosa profunda producida por una obstrucción al flujo venoso de salida de la extremidad inferior, que conlleva un alto grado de morbilidad. Este cuadro no ha sido comunicado como complicación del tratamiento definitivo de una fractura de pelvis. Consideramos que una breve descripción del tema y la presentación de un caso pueden ser útiles para el cirujano ortopédico ante una situación similar.Descargas
Citas
Sarwar S, Narra S, Munir A. Phlegmasia cerulea dolens. Tex Heart Inst J 2009;36(1):76-7. PMID: 19436795
Stallworth JM, Bradham GB, Kletke RR, Price RG Jr. Phlegmasia cerulea dolens: a 10-year review. Ann Surg 1965;161:802-11. https://doi.org/10.1097/00000658-196505000-00018
Haimovici H. Cirugía vascular. Principios y técnicas, 4ª ed. Río de Janeiro: Editorial Dilibros; 1999.
Núñez Valdovinos B, Morales Morales M, Goic Boroevic I, Carrasco González G, Espinoza Cepeda E, González Dettoni H. Revisión a partir de un caso clínico: Flegmasia cerulea dolens. Rev Chil Med Intensiv 2009;24(2):65-70. https://pesquisa.bvsalud.org/portal/resource/pt/lil-669738
Cahill RA, Redmond HP. Postoperative phlegmasia caerulea dolens: a case report and consideration of potential iatrogenic factors. J Med Case Reports 2007;1:163. https://doi.org/10.1186/1752-1947-1-163
Tile M. Pelvic ring fractures: should they be fixed? J Bone Joint Surg Br 1988;70(1):1-12. PMID: 3276697
Tile M, Pennal G. Pelvic disruption: principles of management. Clin Orthop Relat Res 1980;(151):56-64. PMID: 7418324
Caprini JA, Arcelus JI, Reyna JJ. Effective risk stratification of surgical and nonsurgical patients for venous thromboembolic disease. Semin Hematol 2001;38(2 Suppl 5):12-9. https://doi.org/10.1016/s0037-1963(01)90094-0
Cabrera-Rayo A, Nellen-Hummel H. Epidemiología de la enfermedad tromboembólica venosa. Gac Méd Méx 2007;143(Supl 1):3-5. https://www.medigraphic.com/pdfs/gaceta/gm-2007/gms071b.pdf
Matta JM, Tornetta P 3rd. Internal fixation of unstable pelvic ring injuries. Clin Orthop Relat Res 1996;(329):129-40. https://doi.org/10.1097/00003086-199608000-00016
Musso D, Vindver G, Bidolegui F. Manejo en la urgencia de las lesiones del anillo pelviano. Rev Asoc Argent Ortop Traumatol 2004;69(3):270-80. https://www.aaot.org.ar/revista/2004/n3_vol69/art14.pdf
La aceptación del manuscrito por parte de la revista implica la no presentación simultánea a otras revistas u órganos editoriales. La RAAOT se encuentra bajo la licencia Creative Commons 4.0. Atribución-NoComercial-CompartirIgual (http://creativecommons.org/licenses/by-nc-sa/4.0/deed.es). Se puede compartir, copiar, distribuir, alterar, transformar, generar una obra derivada, ejecutar y comunicar públicamente la obra, siempre que: a) se cite la autoría y la fuente original de su publicación (revista, editorial y URL de la obra); b) no se usen para fines comerciales; c) se mantengan los mismos términos de la licencia.
En caso de que el manuscrito sea aprobado para su próxima publicación, los autores conservan los derechos de autor y cederán a la revista los derechos de la publicación, edición, reproducción, distribución, exhibición y comunicación a nivel nacional e internacional en las diferentes bases de datos, repositorios y portales.
Se deja constancia que el referido artículo es inédito y que no está en espera de impresión en alguna otra publicación nacional o extranjera.
Por la presente, acepta/n las modificaciones que sean necesarias, sugeridas en la revisión por los pares (referato), para adaptar el trabajo al estilo y modalidad de publicación de la Revista.

