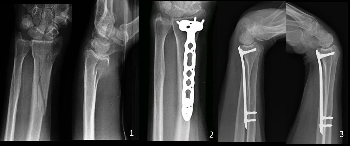
Osteosíntesis percutánea con placas volares bloqueadas en fracturas metafisarias distales de radio Descripción de la técnica y resultados preliminares. [Percutaneous volar locked plate fixation in metaphyseal fractures of distal radius: technical description and preliminary results].
Contenido principal del artículo
Resumen
Descargas
Métricas
Detalles del artículo

Esta obra está bajo licencia internacional Creative Commons Reconocimiento-NoComercial-CompartirIgual 4.0.
La aceptación del manuscrito por parte de la revista implica la no presentación simultánea a otras revistas u órganos editoriales. La RAAOT se encuentra bajo la licencia Creative Commons 4.0. Atribución-NoComercial-CompartirIgual (http://creativecommons.org/licenses/by-nc-sa/4.0/deed.es). Se puede compartir, copiar, distribuir, alterar, transformar, generar una obra derivada, ejecutar y comunicar públicamente la obra, siempre que: a) se cite la autoría y la fuente original de su publicación (revista, editorial y URL de la obra); b) no se usen para fines comerciales; c) se mantengan los mismos términos de la licencia.
En caso de que el manuscrito sea aprobado para su próxima publicación, los autores conservan los derechos de autor y cederán a la revista los derechos de la publicación, edición, reproducción, distribución, exhibición y comunicación a nivel nacional e internacional en las diferentes bases de datos, repositorios y portales.
Se deja constancia que el referido artículo es inédito y que no está en espera de impresión en alguna otra publicación nacional o extranjera.
Por la presente, acepta/n las modificaciones que sean necesarias, sugeridas en la revisión por los pares (referato), para adaptar el trabajo al estilo y modalidad de publicación de la Revista.
Citas
2- Matschke S, Marent-Huber M, Audigé L, Wentzensen A; LCP Study Group. The surgical treatment of unstable distal radius fractures by angle stable implants: a multicenter prospective study. J Orthop Trauma. 2011 May; 25(5):312-7.
3- Chen N, Jupiter J. Management of distal radial fractures. J Bone Joint Surg Am. 2007; 89: 2051-62.
4- Heim U, Pfeiffer K.M. Internal fixation of small fractures, 3rd ed. Berlin, Springer, Verlag, 1987.
5- Imatani J, Noda T, Morito Y, Sato T, Hashizume H, Inoue H. Minimally invasive plate osteosynthesis for comminuted fractures of the metaphysis of the radius. J Hand Surg Br. 2005 May; 30(2):220-5.
6- Krettek C, Schandelmaier P, Miclau T, Tscherne H: Minimally invasive percutaneous plate osteosynthesis (MIPPO) using the DCS in proximal and distal femoral fractures. Injury 1997; 28(suppl. 1): S-A20–S-A30.
7- Krettek C, Müller M, Miclau T: Evolution of minimally invasive plate osteosynthesis (MIPO) in the femur. Injury. 2001; 32(Suppl 3): SC14-SC23.
8- Collinge CA, Sanders RW. Percutaneous plating in the lower extremity. J Am Acad Orthop Surg. 2000 Jul-Aug; 8(4):211-6.
9- Perren SM: Evolution of the internal fixation of long bone fractures: The scientific basis of biological internal fixation. Choosing a new balance between stability and biology. J Bone Joint Surg Br. 2002; 84:1093-1110.
10- Ji F, Tong D, Tang H, et al. Minimally invasive percutaneous plate osteosynthesis (MIPPO) technique applied in the treatment of humeral shaft distal fractures through a lateral approach. Int Orthop. 2009; 33: 543–547.
11- Rancan M, Dietrich M, Lamdark T, Can U, Platz A. Minimal invasive long PHILOS®-plate osteosynthesis in metadiaphyseal fractures of the proximal humerus. Injury. 2010 Dec; 41(12):1277-83.
12- Apivatthakakul T, Patiyasikan S, Luevitoonvechkit S. Danger zone for locking screw placement in minimally invasive plate osteosynthesis (MIPO) of humeral shaft fractures: a cadaveric study. Injury. 2010; 41:169–172.
13- Tan JC, Kagda FH, Murphy D, Thambiah JS, Khong KS. Minimally invasive helical plating for shaft of humerus fractures: technique and outcome. Open Orthop J. 2012; 6:184-8.
14- Shin SJ, Sohn HS, Do NH. Minimally invasive plate osteosynthesis of humeral shaft fractures: a technique to aid fracture reduction and minimize complications. J Orthop Trauma. 2012 Oct; 26(10):585-9.
15- Sen MK, Strauss N, Harvey EJ. Minimally invasive plate osteosynthesis of distal radius fractures using a pronator sparing approach. Tech Hand Up Extrem Surg. 2008 Mar; 12(1):2-6.
16- Zenke Y, Sakai A, Oshige T, Moritani S, Fuse Y, Maehara T, Nakamura T. Clinical results of volar locking plate for distal radius fractures: conventional versus minimally invasive plate osteosynthesis. J Orthop Trauma. 2011 Jul; 25(7):425-31.
17- Allende C, Marangoni L, Gastaudo M, Pioli I, Gastaudo M, Paganini F. Placas volares de ángulo fijo en pacientes adultos con fracturas inestables del radio distal. Rev Asoc Argent Ortop Traumatol. 2007; 72: 110-7.
18- Kennedy CA, Beaton DE, Solway S, McConnell S, Bombardier C. Disabilities of the Arm, Shoulder and Hand (DASH). The DASH and QuickDASH Outcome Measure User’s Manual, Third Edition. Toronto, Ontario: Institute for Work & Health, 2011.
19- Downie Wn, et al. Studies with pain rating scales. Ann Rheum Dis 1979; 37: 378-81.
20- Farouk O, Krettek C, Miclau T, Schandelmaier P, Guy P, Tscherne H: Minimally invasive plate osteosynthesis: Does percutaneous plating disrupt femoral blood supply less than the traditional technique? J Orthop Trauma. 1999; 13:401-406.
21- Keast-Butler O, Schemitsch EH. Biology versus mechanics in the treatment of distal radial fractures. J Orthop Trauma. 2008 Sep; 22(8 Suppl):S91-5.
22- Rampoldi M, Palombi D, Tagliente D. Distal radius fractures with diaphyseal involvement: fixation with fixed angle volar plate. J Orthop Traumatol. 2011 Sep; 12 (3):137-43.
23- Lee SK, Seo DW, Kim KJ, Yang DS, Choy WS. Volar long locking compression plate fixation for distal radius fractures with metaphyseal and diaphyseal extension. Eur J Orthop Surg Traumatol. 2013 May; 23(4):407-15.
