Total knee arthroplasty in patients with joint fracture sequela: Mid-term follow-up outcomes
Main Article Content
Abstract
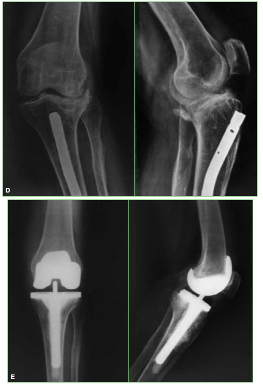
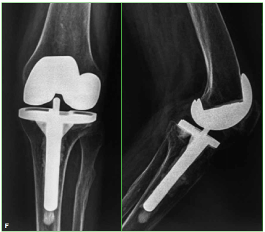
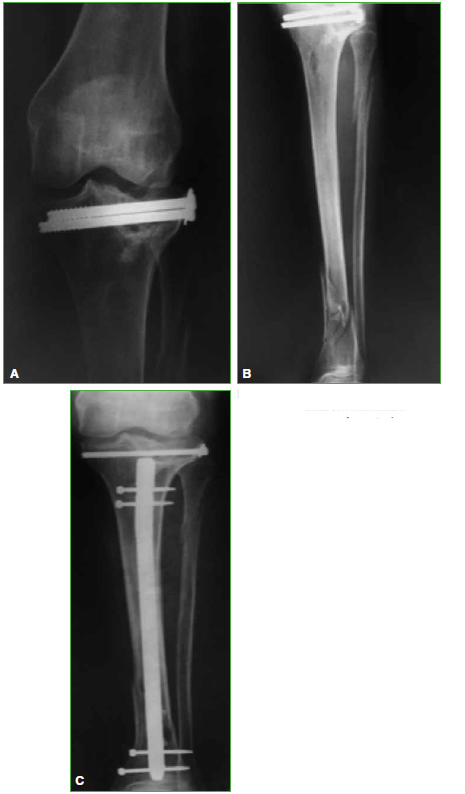
aterials and Methods: We carried out an observational, retrospective study on TKA patients treated between May 1999 and January 2013. We evaluated 25 TKAs, performed on 24 patients, with knee fracture sequela, with an average follow-up of 6.1 years and an average age of 67.1 years. Three cases (12%) had required additional surgeries before TKA. Eight cases (32%) were 2-stage surgeries. Constrained implants were used in four cases (16%). The Knee Society Score (KSS), the Functional KSS (KSSf) and the Range of Motion (ROM) were evaluated preoperatively and at the last follow-up. Prosthesis survival evaluation was documented.
Results: KSS increased from a preoperative average of 38.5 to a postoperative average of 82.8. Postoperative KSSf increased on average from 48 to 85. ROM increased on average from 7.5°-76° to 1°-102.4°. Four patients required a second surgical procedure. Prosthesis survival was 92% at a 6.1-year average follow-up.
Conclusion: TKA is an appropriate treatment for advanced PTOA, with good mid-term outcomes. If adequate postoperative alignment and correct component positioning is achieved, expected outcomes are satisfactory and similar to those with TKA in primary osteoarthritis.
Downloads
Metrics
Article Details
Manuscript acceptance by the Journal implies the simultaneous non-submission to any other journal or publishing house. The RAAOT is under the Licencia Creative Commnos Atribución-NoComercial-Compartir Obras Derivadas Igual 4.0 Internacional (CC-BY-NC.SA 4.0) (http://creativecommons.org/licences/by-nc-sa/4.0/deed.es). Articles can be shared, copied, distributed, modified, altered, transformed into a derivative work, executed and publicly communicated, provided a) the authors and the original publication (Journal, Publisher and URL) are mentioned, b) they are not used for commercial purposes, c) the same terms of the license are maintained.
In the event that the manuscript is approved for its next publication, the authors retain the copyright and will assign to the journal the rights of publication, edition, reproduction, distribution, exhibition and communication at a national and international level in the different databases. data, repositories and portals.
It is hereby stated that the mentioned manuscript has not been published and that it is not being printed in any other national or foreign journal.
The authors hereby accept the necessary modifications, suggested by the reviewers, in order to adapt the manuscript to the style and publication rules of this Journal.
References
2. Massin P. Total knee replacement in post-traumatic arthritic knees with limitation of flexion. Orthop Traumatol Surg Res [Internet]. 2011;97(1):28-33. https://doi.org/10.1016/j.otsr.2010.06.016
3. Putman S, Argenson J, Bonnevialle P, Ehlinger M, Vie P, Leclercq S, et al. Ten-year survival and complications of total knee arthroplasty for osteoarthritis secondary to trauma or surgery: A French multicentre study of 263 patients. Orthop Traumatol Surg Res 2018;104:161-4. https://doi.org/10.1016/j.otsr.2017.11.019
4. Saleh K, Sherman P, Katkin P, Windsor R, Haas S, Laskin R, Sculco P. Total knee arthroplasty after open reduction and internal fixation of fractures of the tibial plateau. J Bone Joint Surg (Am) 2001;83(8):1144-8. https://doi.org/10.2106/00004623-200108000-00002
5. Weiss NG, Parvizi J, Hanssen AD, Trousdale RT, Lewallen DG. Total knee arthroplasty in post-traumatic arthrosis of the knee. J Arthroplasty 2003;18(3):23-6. https://doi.org/10.1054/arth.2003.50068
6. El-galaly A, Haldrup S, Pedersen AB, Kappel A, Jensen MU, Nielsen PT. Increased risk of early and medium-term revision after post-fracture total knee arthroplasty. Results from the Danish Knee Arthroplasty Register. Acta Orthop 2017;88(3):263-8. https://doi.org/10.1080/17453674.2017.1290479
7. Papadopoulos EC, Parvizi J, Lai CH, Lewallen DG. Total knee arthroplasty following prior distal femoral fracture. Knee 2002;9:267-74. https://doi.org/10.1016/s0968-0160(02)00046-7
8. Elsoe R, Johansen MB, Larsen P. Tibial plateau fractures are associated with a long-lasting increased risk of total knee arthroplasty a matched cohort study of 7,950 tibial plateau fractures. Osteoarthr Cartil [Internet] 2018. https://doi.org/10.1016/j.joca.2018.12.020
9. Lonner JH, Pedlow FX, Siliski JM. Total knee arthroplasty for post-traumatic osteoarthritis. J Arthroplasty 1999;14(8):969-75. https://doi.org/10.1016/s0883-5403(99)90012-8
10. Coonse KD, Adams JD. A new operative approach for the knee joint. Surg Gynecol Obs 1943;77:344-7.
11. Weiss NG, Parvizi J, Trousdale RT, Bryce RD, Lewallen DG. Total knee arthroplasty in patients with a prior fracture of the tibial plateau. J Bone Joint Surg 2003;85(2):218-21. https://doi.org/10.2106/00004623-200302000-00006
12. Meftah M, Jhurani A, Bhat JA, Ranawat AS, Ranawat CS. The effect of patellar replacement technique on patellofemoral complications and anterior knee pain. J Arthroplasty [Internet] 2012;27(6):1075-1080.e1. http://dx.doi.org/10.1016/j.arth.2011.10.006
13. Salcedo Zunino LA, Gutierrez Olivera N, Pioli I, Bidolegui F, Vindver G, Allende BL. Reemplazo total de rodilla en secuela de fracturas alrededor de la rodilla. Rev Asoc Arg Ortop Traumatol 2017;82(2):102-8. https://doi.org/10.15417/551
14. Lizaur-Utrilla A, Collados-Maestre I, Miralles-Muñoz FA, Lopez-Prats FA. Total knee arthroplasty for osteoarthritis secondary to fracture of the tibial plateau . A prospective matched cohort study. J Arthroplasty 2015;30(8):1329-32. https://doi.org/10.1016/j.arth.2015.02.032
15. Manidakis N, Dosani A, Dimitriou R, Stengel D, Matthews S, Giannoudis P. Tibial plateau fractures: functional outcome and incidence of osteoarthritis in 125 cases. Int Orthop 2010;34(4):565-70. https://doi.org/10.1007/s00264-009-0790-5
16. Gehrke T, Parvizi J. Proceedings of the International Consensus Meeting on Periprosthetic Joint Infection. https:// www.efort.org/wp-content/uploads/2013/10/Philadelphia_Consensus.pdf
17. Khoshbin A, Stavrakis A, Sharma A, Woo P. Patient-reported outcome measures of total knee arthroplasties for post-traumatic arthritis versus osteoarthritis: A short-term (5- to 10-year) retrospective matched cohort study. J Arthroplasty 2019;34(5):P872-6. https://doi.org/10.1016/j.arth.2019.01.022
18. Lunebourg A, Parratte S, Gay A, Ollivier M, Garcia-Parra K, Argenson JN. Lower function, quality of life, and survival rate after total knee arthroplasty for posttraumatic arthritis than for primary arthritis. Acta Orthop 2015;86(2):189-94. https://doi.org/10.3109/17453674.2014.979723
19. Gaine WJ, Ramamohan NA, Hussein NA, Hullin MG, McCreath SW. Wound infection in hip and knee arthroplasty. J Bone Joint Surg Br 2000;82(4):561-5. https://doi.org/10.1302/0301-620x.82b4.10305
20. Chun KC, Kim KM, Chun CH. Infection following total knee arthroplasty. Knee Surg Relat Res 2013;25(3):93-9. https://doi.org/10.5792/ksrr.2013.25.3.93
21. Suzuki G, Saito S, Ishii T, Motojima S, Tokuhashi Y, Ryu J. Previous fracture surgery is a major risk factor of infection after total knee arthroplasty. Knee Surg Sports Traumatol Arthrosc 2011;19(12):2040-4. https://doi.org/10.1007/s00167-011-1525-x
22. Civinini R, Carulli C, Matassi F, Villano M, Innocenti ML. Total knee arthroplasty after complex tibial plateau fractures. Chir Organi Mov 2009;93(3):143-7. https://doi.org/10.1007/s12306-009-0033-3
