Reemplazo total de cadera en un paciente con amputación supracondílea homolateral
Resumen
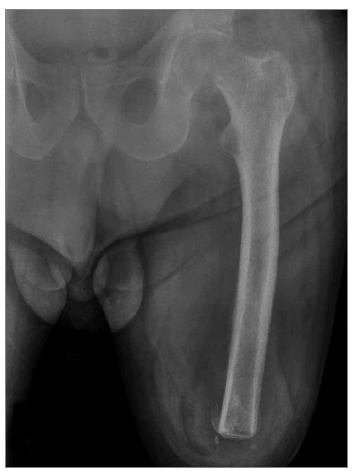
Las fracturas de cadera en pacientes con amputación del miembro homolateral son lesiones infrecuentes que representan un reto para el cirujano ortopédico. Presentamos el caso de un hombre de 63 años con amputación supracondílea izquierda, que sufre una fractura de cuello femoral izquierdo por caída de su propia altura. La colocación apropiada del implante es esencial para obtener buenos resultados clínicos posoperatorios. Para la exposición y la colocación del implante se utilizó un clavo de Steinmann en el trocánter mayor. No se observaron complicaciones clínicas ni radiográficas en un seguimiento de 15 meses. Creemos que el empleo del clavo de Steinmann colocado en una correcta posición es una buena alternativa por considerar para poder controlar el miembro al realizar una artroplastia y así disminuir los riesgos de colocar la prótesis en mala posición y el tiempo quirúrgico.Descargas
Citas
Boussakri H, Alassaf I, Hamoudi S, Elibrahimi A, Ntarataz P, ELMrini A, et al. Hip arthroplasty in a patient with transfemoral amputation: a new tip. Case Rep Orthop 2015; 2015: 593747. https://doi.org/10.1015/2015/593747
Masmoudi K, Rbai H, Fradj AB, Saâdena J, Boughattas A. Primary total hip replacement for a femoral neck fracture in a below-knee amputee. J Orthop Case Rep 2016;6(3):63-6. https://doi.org/10.13107/jocr.2250-0685.510
Pekmezci M, Nunley RM, Barrack RL. Technique for total hip arthroplasty in a patient with through-knee amputation. J Arthroplasty 2010;25(4):659.e1-3. https://doi.org/10.1016/j.arth.2009.03.011
Amanatullah DF, Trousdale RT, Sierra RH. Total hip arthroplasty after lower extremity amputation. Orthopedics 2015;38(5):e394-400. https://doi.org/10.3928/01477447-20150504-56
Nejat EJ, Meyer A, Sánchez PM, Schaefer SH, Westrich GH. Total hip arthroplasty and rehabilitation in ambulatory lower extremity amputees--a case series. Iowa Orthop J 2005;25:38-41. PMID: 16089069
Freitas A, Souto DRM, da Silva JF, Dantas BR, de Paula AP. Treatment of an acute fracture of the femoral neck in a young female adult with a transfemoral amputation: a case report. JBJS Case Connect 2015;5(3):e58. https://doi.org/10.2106/JBJS.CC.N.00119
Ma C, Lv Q, Yi C, Ma J, Zhu L. Ipsilateral total hip arthroplasty in patient with an above-knee amputee for femoral neck fracture: a case report. Int J Clin Exp Med 2015;8(2):2279-83. https://doi.org/1940-5901/IJCEM0004117
Varela-Egocheaga JR, Suárez-Suárez MA, Álvarez-Vega MA, Álvarez-Rico ME, Ferrero-Manzanal F, Montero-Díaz M, et al. Abordaje posterior vs lateral en artroplastia total de cadera. Estudio prospectivo, aleatorio y ciego. Revista Española de Cirugía Osteoarticular 2005;40(223):126-33. http://www.cirugia-osteoarticular.org/adaptingsystem/intercambio/revistas/articulos/161_126.pdf
La aceptación del manuscrito por parte de la revista implica la no presentación simultánea a otras revistas u órganos editoriales. La RAAOT se encuentra bajo la licencia Creative Commons 4.0. Atribución-NoComercial-CompartirIgual (http://creativecommons.org/licenses/by-nc-sa/4.0/deed.es). Se puede compartir, copiar, distribuir, alterar, transformar, generar una obra derivada, ejecutar y comunicar públicamente la obra, siempre que: a) se cite la autoría y la fuente original de su publicación (revista, editorial y URL de la obra); b) no se usen para fines comerciales; c) se mantengan los mismos términos de la licencia.
En caso de que el manuscrito sea aprobado para su próxima publicación, los autores conservan los derechos de autor y cederán a la revista los derechos de la publicación, edición, reproducción, distribución, exhibición y comunicación a nivel nacional e internacional en las diferentes bases de datos, repositorios y portales.
Se deja constancia que el referido artículo es inédito y que no está en espera de impresión en alguna otra publicación nacional o extranjera.
Por la presente, acepta/n las modificaciones que sean necesarias, sugeridas en la revisión por los pares (referato), para adaptar el trabajo al estilo y modalidad de publicación de la Revista.

