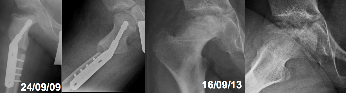
Enfermedad de Legg-Perthes-Calvé recurrente. Descripción de un caso y revisión de la literatura. [Recurrent Legg-Perthes-Calvé disease. A case report and literature review]
Contenido principal del artículo
Descargas
Métricas
Detalles del artículo

Esta obra está bajo licencia internacional Creative Commons Reconocimiento-NoComercial-CompartirIgual 4.0.
La aceptación del manuscrito por parte de la revista implica la no presentación simultánea a otras revistas u órganos editoriales. La RAAOT se encuentra bajo la licencia Creative Commons 4.0. Atribución-NoComercial-CompartirIgual (http://creativecommons.org/licenses/by-nc-sa/4.0/deed.es). Se puede compartir, copiar, distribuir, alterar, transformar, generar una obra derivada, ejecutar y comunicar públicamente la obra, siempre que: a) se cite la autoría y la fuente original de su publicación (revista, editorial y URL de la obra); b) no se usen para fines comerciales; c) se mantengan los mismos términos de la licencia.
En caso de que el manuscrito sea aprobado para su próxima publicación, los autores conservan los derechos de autor y cederán a la revista los derechos de la publicación, edición, reproducción, distribución, exhibición y comunicación a nivel nacional e internacional en las diferentes bases de datos, repositorios y portales.
Se deja constancia que el referido artículo es inédito y que no está en espera de impresión en alguna otra publicación nacional o extranjera.
Por la presente, acepta/n las modificaciones que sean necesarias, sugeridas en la revisión por los pares (referato), para adaptar el trabajo al estilo y modalidad de publicación de la Revista.
Citas
2. Katz JF. Recurrent Legg-Calve-Perthes disease. J Bone Joint Surg Am 1973;55:833-6.
3. Bjerkreim I, Hauge MF. So-called recurrent Perthes’ disease. Acta Orthop Scand 1976;47:181-5.
4. Ghanem I, Khalife R, Haddad F, Kharrat K, Dagher F. Recurrent Legg-Calvé-Perthes disease revisited: fake or reality? J
Pediatr Orthop Br 2005;14(6):422-5.
5. Burkhead WZ, Wenger DR. Recurrent Legg-Calve-Perthes disease. Iowa Orthop J 1981;1:46-9.
6. Schonecker G, Lampe R, Heimkes B. Recurrent Perthes disease in a 6-year-old boy. Z Orthop Ihre Grenzgeg 1998;136:26-9.
7. Martinez AG, Weinstein SL. Recurrent Legg-Calve-Perthes disease: case report and review of the literature. J Bone Joint Surg
Am 1991;73:1081-5.
8. Stevens DB, Tao SS, Glueck CJ. Recurrent Legg-Calvé-Perthes disease: case report and long-term follow-up. Clin Orthop Relat
Res 2001;385:124-9.
9. Kemp HB, Cholmeley JA, Baijens JK. Recurrent Perthes’ disease. Br J Radiol 1971;44:675-81.
10. Axer A, Hendel D. Recurrent Legg-Calve-Perthes’ disease. A case report. Clin Orthop Relat Res 1977;126:170-1.
