PRESENTACIÓN DE CASOS

Infección paravertebral posacupuntura: reporte de un caso y revisión bibliográfica

 

Micaela Besse, Aníbal Sarotto, José A. Rosado Pardo, Adriana E. Cubecino

Servicio de Ortopedia y Traumatología, Unidad de Columna, Hospital “Carlos G. Durand”, Ciudad Autónoma de Buenos Aires, Argentina
Dra. Micaela Besse • m.besse@hotmail.com.ar https://orcid.org/0000-0002-4388-1384
ORCID de A. Sarotto: https://orcid.org/0000-0002-2199-5524
ORCID de J. A. Rosado Pardo: https://orcid.org/0000-0001-8467-3453
ORCID de A. E. Cubecino: https://orcid.org/0000-0002-8955-6595

http://dx.doi.org/10.15417/issn.1852-7434.2019.84.4.990

Recibido el 16-5-2019.
Aceptado luego de la evaluación el 17-6-2019


Resumen

La acupuntura es una técnica de origen chino que surge hace aproximadamente 2000 años. Es una modalidad terapéutica que ha cobrado gran importancia en el mundo occidental para el tratamiento de diversos cuadros, incluida la lumbalgia. Comunicamos el caso de un hombre de 74 años de edad, que consulta por reagudización de la lumbalgia crónica, luego de un tratamiento alternativo, a quien se le diagnostica una complicación infecciosa. Si bien, en manos experimentadas e instruidas, es una técnica con relativamente escasas complicaciones, se han publicado diversos reportes que describen complicaciones, en su mayoría, menores y asociadas a una técnica estéril insuficiente o a falta de conocimiento por parte del acupunturista. El auge de estas técnicas alternativas puso el foco en las medidas de seguridad, por lo cual entes, como la Organización Mundial de la Salud han creado guías para su correcto uso. Conocer las posibles complicaciones facilita el diagnóstico temprano y el tratamiento. Se analiza la presentación clínica y se realiza una revisión bibliográfica del cuadro.

Palabras clave: Acupuntura; Complicaciones; Medicina alternativa; Complicaciones musculoesqueléticas.

Nivel de Evidencia: IV

Abstract

Paravertebral infection after acupuncture: case report and literature review

Acupuncture originated in China approximately 2000 years ago and is a growing treatment modality worldwide. Patients resort to acupuncture for a variety of conditions, including lower back pain. We discuss the case of a 74-year-old man who received acupuncture to treat lower back pain, after which the pain increased. An infection was detected and treated. Despite the fact that acupuncture can be considered generally safe if performed by well-trained practitioners, literature from around the world reports all kinds of complications, most of which are minor and usually a result of an inappropriate technique. The popularity of this alternative treatment has driven some organizations, such as World Health Organization (WHO) to draft guidelines about its safety. Being aware of possible complications allows for an early diagnosis and treatment. On this paper, we discuss the aforementioned case and include a review of the related literature.

Keywords: Acupuncture complications; Skeletal-muscle complications; Alternative medicine.

Level of Evidence: IV


 

Introducción

“Acupuntura” deriva de las palabras latinas acus (aguja) y punctura (penetrar), ya que implica la manipulación manual de agujas finas y metálicas insertadas en la piel, para estimular puntos específicos y corregir el desequilibrio en el flujo del “qi”, concepto de energía utilizado en la medicina china. Esta técnica surgió hace aproximadamente 2000 años. Es una modalidad terapéutica que ha cobrado gran importancia en el mundo occidental para el tratamiento de diversos cuadros, como la lumbalgia.1,2
Dado que las agujas penetran varios centímetros debajo de la piel, una de las complicaciones más importantes asociadas es la transmisión de microorganismos patógenos, del ambiente al paciente o entre pacientes. En la mayoría de los casos comunicados, la bacteria fue inoculada de la flora de la piel o del ambiente por una inadecuada desinfección de la región donde se realizó la punción. El 70% de los efectos adversos comunicados con esta técnica fueron infecciones musculoesqueléticas o cutáneas y una minoría, complicaciones mayores, como endocarditis, abscesos retroperitoneales, neumotórax o meningitis.3
La prevalencia de la lumbalgia es alta y, pese a los distintos tratamientos ofrecidos por la medicina tradicional, hay quienes buscan otras opciones. La acupuntura y otras terapias alternativas se encuentran en auge, y si bien están muy difundidas en la sociedad, son poco conocidas las posibles complicaciones, que incluyen el óbito. El objetivo de nuestro estudio es comunicar un caso y realizar una revisión bibliográfica sobre las complicaciones de esta terapéutica, no tan conocida para los médicos tradicionales, pero que nos puede ayudar a aconsejar a nuestros pacientes.

Caso clínico

En julio de 2018, un hombre de 74 años de edad, argentino, médico, consulta en el Departamento de Urgencia de un centro privado, por reagudización de la lumbalgia crónica. Antecedentes personales: enolista social, extabaquista, cardiopatía isquémica en 2013, hepatitis medicamentosa, pericarditis constrictiva (2014) y discopatías en resonancia previa (2015: polidiscopatías, predominio L4-L5 y L5-S1 posterocentrales y posterolaterales). Refiere haber realizado tratamiento alternativo con acupuntura (12 de julio de 2018) y que la lumbalgia se intensificó después del procedimiento. El paciente tenía dolor al tacto paravertebral a nivel toracolumbar, no tenía fiebre ni signos de radiculopatía; por lo cual, a la semana, consulta en otro centro, donde se le administran un corticoide de depósito por vía intramuscular, tramadol y pregabalina.
Al ingresar en nuestro centro, refiere exacerbación progresiva de los síntomas, con una intensidad del dolor 9/10 en la escala analógica visual. Su estado general es bueno, no tiene fiebre, ni síntomas radiculares ni signos deficitarios. Se solicita una resonancia magnética en la que se observa una colección paravertebral. El paciente es derivado a un centro de mayor complejidad, donde se actualizan los estudios al ingreso. Los resultados de los análisis de laboratorio fueron: 17.000 leucocitos, proteína C reactiva cuantitativa 2,2 (valor normal 0,5 mg/l), eritrosedimentación 6 mm/h y hemocultivos negativos. En la resonancia magnética, se observó una colección paravertebral derecha (Figuras 1-4).


Figura 1.
Resonancia magnética de columna lumbar, corte sagital. Se observa una colección en relación con la musculatura paraespinal derecha, que se extiende de T12 a L4.


Figura 2.
Resonancia magnética de toda la columna T1, T2 y STIR, corte sagital. Se visualiza una colección hiperintensa en íntima relación con la masa muscular paraespinal derecha. Hallazgo: hiperintensidad de cuerpos de L5 y L2.


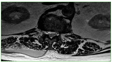
Figura 3.
Resonancia magnética, corte axial, nivel L1. Se observa una colección subaponeurótica en relación con la musculatura paraespinal derecha.


Figura 4.
Resonancia magnética a nivel de la masa muscular paravertebral, corte coronal. Se detecta una colección paraespinal derecha, cuyas dimensiones son: diámetro cefalocaudal de 79 mm x lateral de 11 mm.

Se realizan dos drenajes percutáneos (31 de julio de 2018), 20 ml y 50 ml, respectivamente, con cultivos positivos para S. aureus sensible a meticilina y resistente a gentamicina. Se inicia el tratamiento antibiótico específico. Ante la evolución tórpida, la persistencia del dolor, los registros febriles y el aumento de los parámetros de laboratorio (eritrosedimentación 30 y proteína C reactiva ultrasensible 2,77 mg/l), se decide realizar un drenaje quirúrgico (150 ml de débito). En los cultivos, se rescata el mismo germen, por lo cual se le administra un tratamiento específico por vía intravenosa, durante cuatro semanas. Continúa con tratamiento oral ambulatorio y controles en el Servicio de Infectología. Su evolución es favorable.

Discusión

La acupuntura es una práctica de la medicina alternativa que ha cobrado importancia y adeptos en el mundo occidental, por lo que la seguridad y calidad terapéuticas fueron puestas en el foco de atención. Solo en los Estados Unidos, el Instituto Nacional de Salud reportó más de 3.1 millones de adultos y alrededor de 150 mil niños que fueron sometidos a esta práctica en 2008. Esta terapéutica fue aceptada y reconocida por la Organización Mundial de la Salud y existen múltiples guías que proveen evidencia para su uso en diversos cuadros de la forma más segura posible.2,4,5
Algunas de las complicaciones más frecuentes antes de la década de 1990 eran las infecciosas, y una de las más graves era la transmisión de la hepatitis viral, otras descritas son: neumotórax, taponamiento cardíaco y lesiones medulares. Con la aplicación de las guías y el uso de agujas descartables, disminuyeron los casos infecciosos reportados. En un estudio prospectivo sobre 34 mil tratamientos, MacPherson y cols.6 sólo comunicaron 43 complicaciones menores, con una incidencia de 1,3 cada 1000 tratamientos. El grupo de Melchart informó una incidencia del 7,1% de complicaciones menores y solo cinco casos de entre casi 98 mil tratamientos realizados. Ambos concluyen en que es una técnica segura y con un porcentaje muy bajo de complicaciones.4,6,7
Es importante destacar que, a pesar de la amplia aceptación de esta medicina alternativa en Occidente (principalmente en Europa y los Estados Unidos), en China es más popular. Es por ello que se realizaron revisiones de la bibliografía china para evaluar los reportes de complicaciones. Las infecciosas parecían estar relacionadas a una técnica aséptica inapropiada y a un conocimiento insuficiente por parte del acupunturista (uso de agujas reutilizables y esterilización con alcohol). De las complicaciones traumáticas, la principal es el neumotórax, asociado, en su mayoría, a una mala técnica de aplicación (profundidad excesiva en la introducción de la aguja). Por este motivo, el grupo de Llao hace énfasis en la importancia del entrenamiento de los acupunturistas y en las técnicas de higiene.7
Con la introducción de las agujas descartables, muy rara vez, se publicaron casos de transmisión de infecciones virales, como la hepatitis. Sin embargo, en los últimos años, las infecciones bacterianas, incluidas las causadas por S. aureus resistente a meticilina, han cobrado importancia. Algunos de los microorganismos más frecuentes comunicados son: S. aureus, estreptococos grupo B, E. coli y, con menos frecuencia, M. tuberculosis. En cuanto a las complicaciones traumáticas, el neumotórax continúa siendo la lesión de órganos más común.1,4 En la bibliografía internacional, se hace hincapié, de manera uniforme, en la importancia de la instrucción sobre la anatomía y las medidas de higiene, la educación en las distintas técnicas aplicadas y el cumplimiento de las guías de seguridad, ya que estos son los puntos clave para disminuir las complicaciones evitables. A su vez, hay acuerdo en que su incidencia es baja, por lo que consideran segura a esta terapéutica.8
En nuestro país, la Sociedad Argentina de Acupuntura enseña esta terapéutica y forma a los profesionales. Actualmente existen Servicios de Dolor y Cuidados Paliativos, en el sector público y privado, donde se practica acupuntura, tanto en Buenos Aires como en el interior del país. El Ministerio de Salud, a través de la Resolución 859, de 2008, reconoce a la acupuntura como práctica o procedimiento que puede ser realizado por un profesional de la salud con grado universitario, debidamente capacitado y comprendido en dos leyes (Ley 17.132 y Ley 24.317), es decir, médicos y actividades de colaboración, como kinesiólogos y fisioterapeutas. A pesar de esta medida regulatoria, deja asentado que se sabe que hay personas que realizan la actividad sin estar debidamente habilitadas; de esta manera, dan a conocer la problemática por sus posibles complicaciones.9-11

Conclusiones

Sabemos que cualquier práctica médica puede causar daño, sobre todo cuando es realizada por profesionales insuficientemente entrenados y no calificados, o en un ambiente no regulado. Comunicamos este caso, porque no hemos encontrado publicaciones indexadas sobre este tema, en nuestro país, y consideramos oportuna la divulgación de las posibles complicaciones de la acupuntura, aunque su incidencia sea muy baja, y así aumentar el nivel de sospecha, lo que permitirá un diagnóstico precoz y facilitará el tratamiento.

Conflicto de intereses: Los autores no declaran conflictos de intereses.

Bibliografía

1. Salaheldin AY Abusin. Multi-regional abscesses caused by streptococcus milleri following acupuncture. Sudan Med J 2010;46(2):91-94. http://www.smj.eg.net/inner/jarticle.aspx?aid=132

2. Guo Y, Zhao H, Wang F, Li SN, Sun YX, Han MJ, et al. Recommendations for acupuncture in clinical practice guidelines of the national guideline clearinghouse. Chin J Integr Med 2017;23(11):864-70. https://doi.org/10.1007/s11655-016-2750-4

3. Woo PCY, Lin AWC, Lau SKP. Acupuncture transmitted infections Are underdiagnosed, so clinicians should have a high index of suspicion. BMJ 2010;340:c1268. https://doi.org/10.1136/bmj.c1268

4. Shifen Xu, Lizhen Wang, Emily Cooper, Ming Zhang, Eric Manheimer, Brian Berman, et al. Adverse events of acupuncture: a systematic review of case reports. Evid Based Complement Alternat Med 2013;2013:581203. https://doi.org/10.1155/2013/581203

5. World Health Organization. WHO traditional medicine strategy: 2014-2023. Geneva: World Health Organization; 2013:1-78.

6. MacPherson H, Thomas K, Walters S, Fitter M. TheYork acupuncture safety study: prospective survey of 34 000 treatments by traditional acupuncturists. BMJ 2001;323(7311):486-7. https://doi.org/10.1136/bmj.323.7311.486

7. Lao L, Hamilton GR, Fu J, Berman BM. Is acupuncture safe? A systematic review of case reports. Altern Ther Health Med 2003;9(1):72-83. PMID:12564354

8. Zhang J, Shang H, Gao X, Ernst E. Acupuncture-related adverse events: a systematic review of the Chinese literature. Bull World Health Organ 2010;88:915-21C. https://doi.org/10.2471/BLT.10.076737

9. Salud Pública. Boletín Oficial Nº 29.733. Ministerio de Salud. Septiembre de 2001.

10. Salud Pública. Resolución 859. Ministerio de Salud, Agosto 2008. http://servicios.infoleg.gob.ar/infolegInternet/anexos/140000-144999/144053/norma.htm

11. Sociedad Argentina de Acupuntura. http://saacupuntura.com.ar/.