PRESENTACIÓN DE CASOS

Flegmasia cerúlea dolens posquirúrgica inmediata en el tratamiento de una fractura de pelvis. Reporte de un caso

 

Mauro R. Vivas, Ezequiel Román, Pablo Bizzarri, Ariel Lias, Osvaldo Romano

Unidad de Miembro Inferior, Servicio de Ortopedia y Traumatología, Hospital El Cruce S.A.M.I.C, Buenos Aires, Argentina
Dr. Mauro R. Vivas • vivasmauro@hotmail.com http://orcid.org/0000-0002-3820-9745
ORCID de E. Román: http://orcid.org/0000-0002-0675-6787
ORCID de P. Bizzarri: http://orcid.org/0000-0002-2796-530x
ORCID de A. Lias: http://orcid.org/0000-0002-8504-2255
ORCID de O. Romano: http://orcid.org/0000-0002-3491-5538

https://doi.org/10.15417/issn.1852-7434.2020.85.2.963

Recibido el 14-2-2019.
Aceptado luego de la evaluación el 7-4-2019


Resumen

La flegmasia cerúlea dolens es una presentación poco habitual y grave de una trombosis venosa profunda producida por una obstrucción al flujo venoso de salida de la extremidad inferior, que conlleva un alto grado de morbilidad. Este cuadro no ha sido comunicado como complicación del tratamiento definitivo de una fractura de pelvis. Consideramos que una breve descripción del tema y la presentación de un caso pueden ser útiles para el cirujano ortopédico ante una situación similar.

Palabras clave: Flegmasia cerúlea dolens; Fractura; Pelvis; Complicaciones.

Nivel de Evidencia: IV

Abstract

Immediate phlegmasia cerulea dolens in the postoperative treatment of pelvic fracture. Case report

Phlegmasia cerulea dolens (PCD) is an unusual and serious presentation of deep venous thrombosis (DVT) caused by an obstruction to the venous outflow of the lower limb, which is associated with significant morbidity. To our knowledge, this complication has not yet been reported as a complication of the definitive treatment of a pelvic fracture. We believe that a brief description of the subject matter and the description of the case may be useful to Orthopedic surgeons in similar situations.

Key words: Phlegmasia cerulea dolens; Fracture; Pelvis; Complications.

Level of Evidence: IV


 

Introducción

La flegmasia cerúlea dolens es una presentación poco habitual y grave de una trombosis venosa profunda causada por una obstrucción al flujo venoso de salida de la extremidad inferior, que conlleva un alto grado de morbilidad. 1 Se ha descrito que la estasis venosa, ya sea por oclusión mecánica, inflamatoria o compresión perivenosa, también produce espasmo arterial severo, por estímulo simpático. Además, frente a flujos arteriales disminuidos, el retorno linfático se enlentece, lo que favorece la formación de edema.2
La fisiopatología de esta entidad plantea inicialmente un estado de hipercoagulabilidad seguida de una serie de eventos en forma de cascada: una trombosis masiva precoz (que compromete las venas superficiales y profundas), una marcada oclusión de la luz vascular y la estasis del flujo de la microcirculación. En los casos de un bloqueo incompleto, se produce la flegmasia cerúlea dolens (estado reversible) y, si se trata de un bloqueo completo que no se resuelve con el tratamiento adecuado, lleva a la gangrena y la eventual amputación del miembro (estado irreversible). 3-7 El diagnóstico de este cuadro suele ser clínico y se confirma mediante eco-Doppler arterial y venoso. Se llevó a cabo una búsqueda bibliográfica en PubMed y BIREME asociando como palabras Mesh “phlegmasia cerulea dolens and pelvic fracture” y “flegmasia cerúlea dolens y fractura de pelvis”, y no se obtuvieron resultados; por lo que se desprende que esta asociación es atípica y la relevancia del caso presentado.

Caso clínico

Hombre de 48 años de edad, derivado a nuestra institución desde un hospital zonal, a través de la red hospitalaria, como consecuencia de una fractura de pelvis B1 de la clasificación de Tile (Figura 1), de una semana de evolución. En la evaluación al ingresar, el paciente estaba lúcido y no tenía otro compromiso más que la fractura de pelvis no estabilizada con ningún método temporario. Dicha lesión se había producido por un accidente en la vía pública (colisión moto-auto). Como antecedente de relevancia, el paciente refirió que recibía tratamiento profiláctico con heparina subcutánea a dosis habitual desde el accidente, que era tabaquista severo (40 cigarrillos/día) de larga data, sedentario, y que trabajaba como mecánico.


Figura 1.
Radiografía panorámica y cortes tomográficos de pelvis. Se observa una fractura inestable de pelvis B1 de la clasificación de Tile.

El paciente fue operado dentro de las 24 h del ingreso en nuestra institución: reducción abierta y osteosíntesis en la sínfisis pubiana a través de un abordaje tipo Pfannenstiel (duración aproximada 50 min). Como se trató de un procedimiento abierto, solo a nivel de la sínfisis pubiana, no se utilizó mesa de tracción o tracción esquelética, ni tampoco se realizaron maniobras intempestivas para lograr la reducción obtenida, que generaran o movilizaran trombos. Al concluir la cirugía, se retiraron los campos quirúrgicos y se observó, en la piel del miembro inferior izquierdo, una coloración marmórea, con buena movilidad y sin dolor. A los 30 min, en la habitación, se constató la pérdida de movilidad por debajo de la rodilla e hipoestesia, por lo cual inmediatamente se solicitó una evaluación a los médicos de cirugía vascular, quienes sospecharon flegmasia cerúlea dolens, debido a la evolución tórpida (Figura 2). El informe del eco-Doppler indicó: “trombosis oclusiva total de vena ilíaca externa, femoral común, superficial y profunda, importante edema de tejido celular subcutáneo y permeabilidad arterial en todo su recorrido”. Una vez confirmado el diagnóstico, se inició el tratamiento anticoagulante. A las 24 h del episodio, la perfusión mejoró de forma sustancial. Al cuadro inicial se le agregó un marcado aumento del volumen del miembro como consecuencia de la estasis venosa y linfática. El paciente fue movilizado para el control radiológico posoperatorio (Figuras 3 y 4).


Figura 2.
Imagen típica de flegmasia cerúlea dolens (a los 30 min de la cirugía).


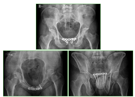
Figura 3.
Control radiológico posoperatorio.


Figura 4.
Control a las 24 h de la cirugía.

Se observa la mejoría clínica luego del tratamiento.

Evolucionó favorablemente con el tratamiento anticoagulante y fue dado de alta a los 35 días de la cirugía, con indicación de tratamiento profiláctico por seis meses. Se detectó una complicación, secreción abundante en la herida, que fue tratada con desbridamiento quirúrgico durante la internación. A los 120 días, en el control ortopédico, el paciente no tenía estigmas clínicos de la flegmasia cerúlea dolens y completaba su rehabilitación con marcha sin asistencia.

Discusión

Si bien se han publicado casos de flegmasia cerúlea dolens en pacientes de entre 7 y 86 años, suele ocurrir principalmente entre los 40 y 49 años; y afecta más a las mujeres, con una relación 4:3.2 El cuadro clínico clásico se caracteriza por dolor de inicio súbito en el 75% de los casos, seguido de edema y coloración violácea de la piel. Más del 91% de los pacientes tiene antecedentes predisponentes de trombosis venosa profunda. Se estima que es más frecuente en la pierna izquierda y que puede deberse a una compresión de la vena ilíaca izquierda por compresión de la arteria ilíaca derecha.
Según el puntaje de Riesgo de Tromboprofilaxis, el trauma mayor implica un riesgo del 40-80%,8 por lo cual, todo paciente que pertenezca a este grupo debe recibir tratamiento profiláctico. A pesar de ello, no hay recomendación especial para aquellos que, además, tienen factores de riesgo importantes agregados como en el caso descrito. Según estadísticas de episodios trombóticos venosos después de un trauma mayor, se detectaron coágulos en el 58% de los pacientes mediante el eco-Doppler realizado entre el séptimo y el vigésimo primer día,9 período en el cual nuestro paciente fue intervenido. Pero, por otro lado, demorar el tratamiento definitivo se asocia con peores resultados. Matta y Tornetta concluyeron en que la reducción abierta y una fijación interna de las lesiones del anillo pelviano inestables, cuando se realizan dentro de los 21 días, se asocian con una tasa más alta de excelentes reducciones que si se efectúan después de 21 días (70% vs. 55%).10,11

Conclusiones

La complicación descrita es una entidad no reportada en las publicaciones indexadas en los buscadores biomédicos, lo que indica la escasa experiencia que puede tener un ortopedista ante esta situación. La bibliografía médica indica que los pacientes con flegmasia cerúlea dolens tienen un riesgo de amputación del 12-25% y una tasa de mortalidad aproximada del 25%, y cerca del 30% de los casos se deben a una tromboembolia pulmonar. El paciente presentado tuvo una evolución favorable gracias al diagnóstico precoz y al tratamiento adecuado, a pesar de ello no hay una recomendación clara respecto a si operar o no a pacientes con fractura de pelvis inestable de alto riesgo trombótico entre los 7 y 21 días.

Conflicto de intereses: Los autores no declaran conflictos de intereses.

Bibliografía

1. Sarwar S, Narra S, Munir A. Phlegmasia cerulea dolens. Tex Heart Inst J 2009;36(1):76-7. PMID: 19436795

2. Stallworth JM, Bradham GB, Kletke RR, Price RG Jr. Phlegmasia cerulea dolens: a 10-year review. Ann Surg 1965;161:802-11. https://doi.org/10.1097/00000658-196505000-00018

3. Haimovici H. Cirugía vascular. Principios y técnicas, 4ª ed. Río de Janeiro: Editorial Dilibros; 1999.

4. Núñez Valdovinos B, Morales Morales M, Goic Boroevic I, Carrasco González G, Espinoza Cepeda E, González Dettoni H. Revisión a partir de un caso clínico: Flegmasia cerulea dolens. Rev Chil Med Intensiv 2009;24(2):65-70. https://pesquisa.bvsalud.org/portal/resource/pt/lil-669738

5. Cahill RA, Redmond HP. Postoperative phlegmasia caerulea dolens: a case report and consideration of potential iatrogenic factors. J Med Case Reports 2007;1:163. https://doi.org/10.1186/1752-1947-1-163

6. Tile M. Pelvic ring fractures: should they be fixed? J Bone Joint Surg Br 1988;70(1):1-12. PMID: 3276697

7. Tile M, Pennal G. Pelvic disruption: principles of management. Clin Orthop Relat Res 1980;(151):56-64. PMID: 7418324

8. Caprini JA, Arcelus JI, Reyna JJ. Effective risk stratification of surgical and nonsurgical patients for venous thromboembolic disease. Semin Hematol 2001;38(2 Suppl 5):12-9. https://doi.org/10.1016/s0037-1963(01)90094-0

9. Cabrera-Rayo A, Nellen-Hummel H. Epidemiología de la enfermedad tromboembólica venosa. Gac Méd Méx 2007;143(Supl 1):3-5. https://www.medigraphic.com/pdfs/gaceta/gm-2007/gms071b.pdf

10. Matta JM, Tornetta P 3rd. Internal fixation of unstable pelvic ring injuries. Clin Orthop Relat Res 1996;(329):129- 40. https://doi.org/10.1097/00003086-199608000-00016

11. Musso D, Vindver G, Bidolegui F. Manejo en la urgencia de las lesiones del anillo pelviano. Rev Asoc Argent Ortop Traumatol 2004;69(3):270-80. https://www.aaot.org.ar/revista/2004/n3_vol69/art14.pdf