PRESENTACIÓN DE CASOS

Reconstrucción del aparato extensor de la rodilla con aloinjerto: técnica quirúrgica y protocolo de rehabilitación

 

Osvaldo Patiño, Pedro Bronenberg Victorica, Javier E. Sánchez Saba, Juan Pablo Zicaro, Carlos Yacuzzi, Matías Costa Paz

Sector de Artroscopia y Prótesis de Rodilla, Instituto de Ortopedia y Traumatología “Carlos E. Ottolenghi”, Hospital Italiano de Buenos Aires, Ciudad Autónoma de Buenos Aires, Argentina
Klgo. Osvaldo Patiño • osvaldo.patino@hospitalitaliano.org.ar http://orcid.org/0000-0002-7841-4081
ORCID de P. Bronenberg Victorica: http://orcid.org/0000-0003-0131-3124
ORCID de J. E. Sánchez Saba: https://orcid.org/0000-0001-5496-3513
ORCID de J. P. Zicaro: http://orcid.org/0000-0001-7268-741X
ORCID de C. Yacuzzi: http://orcid.org/0000-0002-7732-7883
ORCID de M. Costa Paz: http://orcid.org/0000-0002-8217-1086

https://doi.org/10.15417/issn.1852-7434.2020.85.1.959

Recibido el 4-2-2019.
Aceptado luego de la evaluación el 7-3-2019


Resumen

La rotura primaria del tendón rotuliano es un cuadro poco frecuente que afecta principalmente a adultos jóvenes activos. Aun menos frecuente es la rotura crónica o recurrente del tendón rotuliano, y es esta última situación la que plantea una importante dificultad técnica a la hora de realizar el debido tratamiento quirúrgico. El objetivo de este artículo es presentar a un paciente que fue sometido a la reconstrucción quirúrgica del aparato extensor mediante el uso de aloinjerto luego de haber pasado por tres cirugías fallidas para la reparación del tendón rotuliano tras sufrir una lesión traumática. Se describen tanto la técnica quirúrgica como el protocolo de rehabilitación.

Palabras clave: Aparato extensor; Rodilla; Rotura recurrente; Aloinjerto.

Nivel de Evidencia: IV

Knee extensor mechanism reconstruction with allograft: surgical technique and rehabilitation protocol

Abstract

Primary patellar tendon rupture is a rare condition most commonly seen in active young adults. Even less frequent is the chronic or recurrent rupture of the patellar tendon, the latter being the one which poses a greater technical challenge when performing a surgical treatment. Our objective is to present a case where the surgical reconstruction of the knee extensor mechanism was performed using an allograft. The procedure took place after three initial surgeries to repair the patellar tendon failed, following a traumatic injury. Both the surgical technique and the rehabilitation protocol are described.

Key words: Knee extensor mechanism; Recurrent rupture; Allograft.

Level of Evidence: IV


 

Introducción

El aparato extensor de la rodilla está compuesto por el músculo cuádriceps, el tendón cuadricipital, la rótula, el tendón rotuliano y la tuberosidad anterior de la tibia. La rotura primaria del tendón rotuliano es un cuadro poco frecuente que afecta principalmente a adultos jóvenes activos menores de 40 años. La incidencia es más alta en pacientes con enfermedades del colágeno. En estos casos, se puede producir por traumatismos menores. La lesión suele ocurrir ante una contracción vigorosa del cuádriceps con la rodilla en flexión.1,2
El tratamiento de la rotura completa es quirúrgico. Si la lesión es aguda, se realiza tenorrafia, es decir, sutura tendón con tendón. En algunos casos, se utilizan suturas transóseas o arpones.3 La evolución, por lo general, es favorable, y el tiempo entre la lesión y el procedimiento quirúrgico es un factor de impacto sobre la evolución. La lesión crónica o recurrente es infrecuente, y requiere de procedimientos quirúrgicos más complejos debido a la retracción de los segmentos involucrados o a la pérdida de sustancia.

Caso clínico

Un deportista de 24 años de edad, sin antecedentes de relevancia, sufrió la rotura del tendón rotuliano de su rodilla izquierda tras una caída al subir una escalera. Inicialmente fue tratado en otro centro, donde fue sometido a tres procedimientos quirúrgicos, con mala evolución posoperatoria. En primera instancia, se le realizó una reparación quirúrgica del tendón rotuliano mediante una sutura tendón-tendón utilizando un arpón. A los dos meses de la cirugía, sufrió una nueva caída y se produjo una nueva rotura del tendón rotuliano. Fue operado y, en esa oportunidad, se efectuó la reparación del tendón rotuliano utilizando dos arpones. Durante el quinto mes posoperatorio, presentó nuevamente déficit de extensión y alteración de la función de la rodilla como consecuencia de una elongación del tendón rotuliano. Por este motivo, fue sometido a una tercera cirugía: un retensado y nuevo anclaje del tendón rotuliano a la rótula. Al quinto mes de esta última operación, acudió a nuestra institución y refirió inestabilidad para subir y bajar escaleras, asociada a un déficit para lograr la extensión activa completa de la rodilla. El examen físico reveló un déficit de extensión activa de 30º junto con una rótula alta (Figura 1). En las radiografías de rodilla, de perfil, tenía un índice de Insall-Salvati de 2 (valor normal: 0,8-1,2) comparado con un valor de 1,2 de la rodilla sana. La resonancia magnética mostró la disrupción del tendón rotuliano a 3 cm de su inserción tibial, con ascenso y lateralización de la rótula (Figuras 2 y 3).


Figura 1.
Imagen clínica donde se observa un déficit de extensión activa de 30° con respecto a la rodilla contralateral.


Figura 2.
Radiografías de rodilla, de perfil, comparativas. Se observa el ascenso de la rótula en la rodilla izquierda en comparación con la altura de la rótula en la rodilla derecha (índice de Insall-Salvati de 2 y 1,2, respectivamente).


Figura 3.
Resonancia magnética. Se visualiza una disrupción del tendón rotuliano con el consiguiente ascenso de la rótula. La distancia rótula-AT es de 9 centímetros.

Debido a la imposibilidad de realizar una completa extensión, y al dolor y la inestabilidad, se indicó un nuevo tratamiento quirúrgico: reparación mediante el uso de un aloinjerto de aparato extensor.

Técnica quirúrgica
Se realizó la reconstrucción del aparato extensor mediante un trasplante óseo masivo. Utilizando el abordaje anterior de rodilla, en primera instancia, se comprobó que la lesión comprometía a todo el tendón. Se disecó el tendón rotuliano remanente a nivel proximal y se efectuó una osteotomía a nivel del tubérculo anterior de la tibia para dar lugar al aloinjerto. Posteriormente se realizó el trasplante óseo masivo, fijando a nivel distal, la tuberosidad anterior de la tibia del trasplante y fijándolo con dos tornillos de cortical de 4,5 mm y suturando el cabo distal remanente al tendón del trasplante mediante suturas reabsorbibles. A nivel proximal, se fijó el tendón mediante dos anclajes de 5 mm con sutura ultrarresistente en el polo inferior de la rótula, suturando también con sutura reabsorbible el tendón proximal remanente con el tendón del trasplante y reforzando dicha unión mediante puntos de Krackow (Figura 4). Tras la reconstrucción, se logró un descenso de 3 cm de la rótula. Se inmovilizó el miembro inferior con una férula de rodilla en extensión (Figura 5).


Figura 4. A.
Identificación de la lesión y del tendón rotuliano remanente. B. Aloinjerto de aparato extensor compuesto por tendón cuadricipital, rótula, tendón rotuliano y tubérculo anterior de la tibia. C. Se identifica el adecuado tamaño del injerto. D. Fijación del injerto utilizando dos tornillos de cortical de 4,5 mm a nivel de la tuberosidad anterior de la tibia y suturando el cabo distal remanente al tendón del trasplante mediante suturas reabsorbibles. A nivel proximal, fijación del tendón mediante dos anclajes de 5 mm con sutura ultrarresistente a nivel del polo inferior de la rótula y reforzando la unión mediante puntos de Krackow.


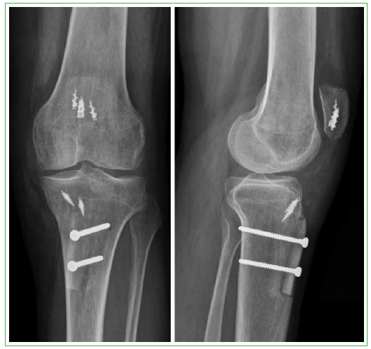
Figura 5.
Radiografías de rodilla, de frente y de perfil, tras la reconstrucción con aloinjerto de aparato extensor.

Protocolo de rehabilitación
El paciente utilizó una férula desde la raíz del muslo hasta el tobillo con la rodilla en extensión. Para deambular se indicó descarga del miembro inferior operado, utilizando muletas para deambular, por seis semanas. El protocolo de rehabilitación se dividió en cuatro fases de acuerdo con las respuestas funcionales en cada una de ellas.

Fase I (semana 1-6)
Durante esta fase, es fundamental la protección del aloinjerto mediante una férula con la rodilla en extensión, sin apoyo y el uso de muletas realizando una marcha en 2 puntos. El paciente debe usar la férula las 24 horas y, luego del primer mes, se puede retirar para dormir. Debe mantener el miembro afectado elevado varias veces por día. No se debe aplicar crioterapia sobre la zona del aloinjerto, solo aplicarla en regiones alejadas. Cuando la herida quirúrgica ha cicatrizado y se quitaron los puntos de sutura se inicia la movilización pasiva de la rótula en sentido lateral para evitar las adherencias de los tejidos blandos. Pasados los 30 días se comienza con electroestimulación del cuádriceps con ondas bifásicas simétricas colocando un electrodo en la zona proximal y otro en el vasto interno. Luego de varias sesiones, se observa la zona del injerto para evaluar su reacción.

Fase II (semana 6 -12)
El paciente comienza con descarga completa y se moviliza la rótula en todas las direcciones. Continúa con dos sesiones diarias de electroestimulación, de 20 min, en el domicilio. Luego, se agregan contracciones isométricas del cuádriceps. Esto permite el reclutamiento de unidades motoras.4 Durante esta fase, se comienza a ganar flexión de rodilla sin tensionar al injerto, con un ángulo inicial de 30°. Es muy importante enseñar al paciente todo el protocolo, así como los signos básicos de alarma, ya que lo realiza en su domicilio. Al final de esta fase, comienza con descarga mínima de peso, siempre con muletas.

Fase III (semana 12-24)
Cuando se constata una adecuada actividad del cuádriceps, se suspenden las sesiones de electroestimulación, se quita una muleta y el paciente comienza con mayor carga del miembro afectado hasta llegar a la carga completa. En este momento, no debe tener dolor tendinoso ni signos de derrame. Comienza con la terapia acuática con carga total del peso en la rodilla afectada. También se inicia el tratamiento propioceptivo, al principio, con deambulación en superficies inestables y aumentando progresivamente la dificultad. Durante esta fase, el primer objetivo es llegar a 90° de flexión y progresivamente se agregan resistencias proximales y distales en ángulos crecientes. Realiza ejercicios de cadena cerrada (prensa para miembros inferiores) y abierta. En todos los movimientos, el kinesiólogo debe evaluar la eficacia biomecánica y evitar compensaciones. Hacia el final de la semana 24, se indica marcha sin ortesis con aumento progresivo del tiempo y velocidad de la marcha. Si hay dolor o derrame, se debe retroceder al nivel inferior.

Fase IV (semana 24 en adelante)
En esta fase, se da inicio a un programa de fortalecimiento progresivo con ejercicios de cadena abierta y cerrada. Comienza con ejercicios excéntricos para cuádriceps y el resto de los músculos de los miembros inferiores. Realiza elongaciones de cuádriceps para mejorar los rangos de movilidad articular. Durante esta fase, se incluyen ejercicios pliométricos y actividades funcionales con dificultad creciente. Realiza reeducación propioceptiva y ha recuperado el rango de movilidad normal. Hacia la semana 32, comienza un plan de marcha y trote alternativo.

Resultados

A los dos años de la cirugía, se realiza una nueva evaluación. Se determinan puntajes funcionales. El paciente está asintomático. El resultado de la escala analógica visual es 0/10; el Knee Society Score (KSS), de 95 y 100; el puntaje de Lysholm, 94 y el International Knee Documentation Committee (IKDC), de 48,28. El paciente camina con una marcha biomecánicamente correcta y puede realizar las actividades de la vida diaria sin inconvenientes. Utiliza los medios de transportes habituales, puede manejar y además se desplaza en bicicleta. Puede trotar en forma normal. Se evaluaron los rangos de movilidad de ambas rodillas en extensión y flexión en decúbito con goniómetro universal y la fuerza muscular con un dinamómetro Nicholas. Los resultados no mostraron déficits en la extensión y un déficit en la flexión del 8% en comparación con la contralateral. En relación con la fuerza muscular del cuádriceps, tiene un déficit del 20% respecto al contralateral.

Discusión

El tratamiento de la rotura recidivante del tendón rotuliano representa un desafío para los cirujanos y rehabilitadores, ya que es difícil restaurar la función del mecanismo extensor. Como suelen ser pacientes adultos jóvenes, es importante lograr la extensión terminal activa con fuerza del cuádriceps similar a la del lado sano. Las lesiones crónicas traen como consecuencia la retracción de las partes blandas en conjunto con el ascenso de la rótula y es, en estos casos, donde está indicado el aloinjerto para la reparación del aparato extensor.5
Las lesiones crónicas del tendón rotuliano son poco frecuentes en pacientes jóvenes y no hay consenso en la bibliografía sobre el tratamiento quirúrgico apropiado. Solo hay reportes de casos. Savyasachi y cols. describen el uso exitoso de aloinjerto para la reparación del aparato extensor y remarcan el beneficio de este procedimiento para restaurar la adecuada extensión en pacientes jóvenes y activos.6 Burks y cols. comunican la utilización de aloinjerto para reparar el aparato extensor en un paciente que había sufrido una fractura expuesta de rótula y como consecuencia un déficit severo de su función. Tras dos años de seguimiento, tiene un adecuado rango de movilidad, sin déficit de extensión ni dolor.7
Las lesiones complejas del aparato extensor son más frecuentes en cirugías de reemplazo articular de la rodilla, sobre todo en las revisiones, y aquí sí se encuentra más bibliografía disponible sobre los posibles tratamientos quirúrgicos. Bonnin y cols. refieren una incidencia de rotura del tendón rotuliano del 0,17-1% asociada a prótesis total de rodilla y describen numerosas técnicas para su reparación, pero que están asociadas a una alta tasa de fracaso.8 Rosenberg y cols. describen que son frecuentes las complicaciones tras la reparación del tendón rotuliano y que, rara vez, se restaura la extensión normal.5 Burnett y cols. informan que, ante lesiones del aparato extensor asociadas a prótesis total de rodilla, hay múltiples técnicas de reconstrucción, pero pocas logran restaurar la función extensora completa y los mejores resultados se obtienen mediante técnicas de reconstrucción con aloinjerto.9 Brown y cols. evalúan el resultado funcional tras 50 trasplantes de aparato extensor en pacientes con una lesión de este, tras colocar inicialmente una prótesis total de rodilla, con una incidencia de falla del 38%.10
Por otro lado, en la bibliografía nacional, tampoco encontramos un adecuado protocolo de rehabilitación para indicar después de este particular procedimiento quirúrgico. En el estudio de Brown y cols., se describe un protocolo que tiene semejanzas con el propuesto por este equipo.10 Se indica la inmovilización del miembro inferior en extensión por seis semanas y, en este período, se autoriza únicamente la carga mínima y descarga con muletas. Durante esta etapa, se practican ejercicios isométricos de cuádriceps. Posteriormente se comienza con la movilización pasiva de 0° a 30° utilizando una férula articulada de rodilla y luego se aumenta semanalmente el rango de movilidad de a 10° por semana. Al alcanzar las 12 semanas posoperatorias, se permite la flexión de rodilla de 90° y se intensifican progresivamente los ejercicios de fortalecimiento del cuádriceps.
En nuestro caso, también se comienza con seis semanas de inmovilización con la rodilla en extensión. Luego la rehabilitación fue progresiva, permitiendo la integración completa del aloinjerto para evitar su rotura o elongación en etapas de inmadurez. El plan de electroestimulación diaria fue importante para recuperar la función del cuádriceps y ejercer una leve tensión en la zona intervenida. El paciente evolucionó sin complicaciones y actualmente desarrolla sus actividades de la vida cotidiana sin limitaciones y practica actividades deportivas sin contacto.

Conclusiones

La reconstrucción del aparato extensor de la rodilla con aloinjerto en un paciente joven con lesión completa del tendón rotuliano fue una satisfactoria alternativa quirúrgica luego de tres cirugías fallidas. La técnica quirúrgica precisa y un adecuado protocolo de rehabilitación son fundamentales para lograr un buen resultado de este cuadro grave e infrecuente.

Conflicto de intereses: Los autores no declaran conflictos de intereses.

Bibliografía

1. Matava MJ. Patellar tendon ruptures. J Am Acad Orthop Surg 1996;4(6):287-96. https://doi.org/10.5435/00124635-199611000-00001

2. Siwek CW, Rao JP. Ruptures of the extensor mechanism of the knee joint. J Bone Joint Surg Am 1981;63(6):932-7. PMID: 6985557

3. Costa Paz M, Makino A, Paniego G, Narváez R, Ayerza M, Muscolo DL. Reparación quirúrgica mediante tenodesis con anclajes óseos de los tendones del aparato extensor de la rodilla. Rev Asoc Argent Ortop Traumatol 2006;72(1):70-4. https://www.aaot.org.ar/revista/2007/n1_vol72/art12.pdf

4. de Luca CJ, Foley PJ, Erim Z. Motor unit control properties in constant-force isometric contractions. J Neurophysiol 1996;76(3):1503-16. https://doi.org/10.1152/jn.1996.76.3.1503

5. Rosenberg AG. Management of extensor mechanism rupture after TKA. J Bone Joint Surg Br 2012;94(11 Suppl A):116-9. https://doi.org/10.1302/0301-620X.94B11.30823

6. Thakkar SC, Hsu N, Hasenboehler EA. Knee extensor mechanism reconstruction with complete extensor allograft after failure of patellar tendon repair. Am J Orthop 2015;44(6):E199-203. PMID: 26047006

7. Burks RT, Edelson RH. Allograft reconstruction of the patellar ligament. A case report. J Bone Joint Surg Am 1994;76(7):1077-9. https://doi.org/10.2106/00004623-199407000-00019

8. Bonnin M, Lustig S, Huten D. Extensor tendon ruptures after total knee arthroplasty. Orthop Traumatol Surg Res 2016;102(1 Suppl):S21-31. https://doi.org/10.1016/j.otsr.2015.06.025

9. Burnett RSJ, Berger RA, Della Valle CJ, Sporer SM, Jacobs JJ, Paprosky WG, et al. Extensor mechanism allograft reconstruction after total knee arthroplasty. J Bone Joint Surg Am 2005;87 Suppl 1(Pt 2):175-94. https://doi.org/10.2106/JBJS.E.00442

10. Brown NM, Murray T, Sporer SM, Wetters N, Berger RA, Della Valle CJ. Extensor mechanism allograft reconstruction for extensor mechanism failure following total knee arthroplasty. J Bone Joint Surg Am 2015;97(4):279-83. https://doi.org/10.2106/JBJS.N.00759