INVESTIGACIÓN CLÍNICA

Ligamentoplastia del ligamento cruzado anterior monotúnel transtibial y bitúnel anatómica: estudio comparativo

 

José J. Anchuela Ocaña,* Tina C. Sieger,** Gonzalo M. Martínez,* Carlos Zorzo Godes*

* Unidad de Artroscopia, Servicio de Cirugía Ortopédica y Traumatología, Hospital El Escorial de Madrid, Madrid, España
** Departamento de Medicina, Universidad Europea de Madrid, Madrid, España
Dr. José J. Anchuela Ocaña • jjanchuela@drjjanchuela.com  https://orcid.org/0000-0001-8184-3322
ORCID de T. C. Sieger: http://orcid.org/0000-0001-6274-1507
ORCID de G. M. Martínez: http://orcid.org/0000-0003-4729-8169
ORCID de C. Zorzo Godes: http://orcid.org/0000-0001-9508-3950

http://dx.doi.org/10.15417/issn.1852-7434.2019.84.4.939

Recibido el 5-1-2019.
Aceptado luego de la evaluación el 10-6-2019


Resumen

Objetivo: Comparar dos series de pacientes sometidos a ligamentoplastia con tendones isquiotibiales autólogos mediante las dos técnicas quirúrgicas preferentes: monotúnel transtibial y bitúnel anatómica, utilizando idénticas fijaciones óseas, y establecer conclusiones funcionales. Materiales y Métodos: Estudio retrospectivo de dos series de 30 pacientes, con un seguimiento superior a un año, sometidos a ligamentoplastia del ligamento cruzado anterior con tendones isquiotibiales mediante técnicas monotúnel transtibial y bitúnel con tunelización retrógrada, utilizando fijación elástica cortical en fémur y fijación tibial mediante tornillo retrógrado. Se los evaluó con la escala del IKDC, y las pruebas de Lachman, de resalte (pivot-shift) y del salto monopodal, valorando la reincorporación a la actividad previa habitual y deportiva, y examen radiológico de la evolución de los túneles óseos. Resultados: La técnica bitúnel anatómica logra resultados significativamente mejores (p <0,05) en la evaluación subjetiva de la escala del IKDC, en las pruebas de resalte, del salto y en la recuperación de la actividad deportiva previa a la lesión, sin diferencias en la prueba de Lachman. No hubo casos de osteólisis en los túneles óseos, en ninguna de las dos series. Conclusiones: La técnica de ligamentoplastia bitúnel anatómica es mejor valorada y más eficaz que la técnica monotúnel transtibial, fundamentalmente en pacientes con actividad deportiva exigente, ya que en aquellos sin actividades de impacto, los resultados son satisfactorios de igual forma. Con el atornillado retrógrado tibial no hubo osteólisis significativa en el túnel tibial.

Palabras clave: Ligamento cruzado anterior; Ligamentoplastia; Técnica bitúnel; Anatómica; Tornillo retrógrado; Comparativo.

Nivel de Evidencia: III

Abstract

A comparison of the transtibial single-tunnel vs. the anatomical double-tunnel technique for the reconstruction of the anterior cruciate ligament

Objective: To compare two series of patients who underwent anterior cruciate ligament reconstruction using hamstring tendon autografts, identical bone fixations, and one of the two standard surgical approaches: transtibial single-tunnel and anatomical double-tunnel technique. To draw conclusions regarding functional outcomes. Materials and Methods: This was a retrospective study consisting in two series of 30 patients, followed up for more than a year, who had undergone an anterior cruciate ligament reconstruction with hamstring tendon graft placement using the transtibial single-tunnel or the anatomical double-tunnel technique. The latter employed retrograde tunneling, as well as an adjustable cortical fixation for the femur and a retrograde screw fixation for the tibia. Patients were assessed using the International Knee Documentation Committee (IKDC) Questionnaire, the Lachman Test, the Lateral Pivot-Shift Test and the Single Leg Hop Test with the aim of determining if they were ready to return to their previous daily and sports activities. Radiological examination of the bone tunnels was also performed to assess progress. Results: The anatomical double-tunnel technique yields significantly (p <0.05) better results on the IKDC Questionnaire, the Lateral Pivot- Shift Test and the Hop Test and allows patients to resume sports activities in a shorter time. The Lachman Test showed similar results with both techniques. There were no cases of tunnel osteolysis in either of the two series. Conclusions: The anatomical double-tunnel ligament reconstruction technique was better rated by patients and more efficient than the transtibial single-tunnel technique, especially in patients who engage in demanding sports activities. In patients who do not practice high-impact activities, results were equally satisfactory. The tibial retrograde screw fixation did not result in significant tunnel osteolysis.

Keywords: Anterior cruciate ligament; Ligament reconstruction; Double-tunnel technique; Anatomical; Retrograde screw; Comparative study.

Level of Evidence: III


 

Introducción

Los avances en la técnica de la ligamentoplastia constituyen un reto constante debido a que la ejecución quirúrgica y los actuales sistemas de tunelización y fijación son exigentes técnica y económicamente, el injerto disponible es limitado y no hay una evidencia determinante de que el resultado, de compleja mensuración, mejore significativamente con los avances sucesivos, por lo que la técnica monotúnel transtibial empleando injerto hueso-tendónhueso (HTH) o tendinoso y la fijación interferencial, cortical o transversal, se siguen considerando el patrón de referencia,1 con series muy amplias publicadas que comunican una tasa de éxito del 70-90%. Sin duda, el tipo de paciente, su nivel de exigencia y la evaluación de los resultados pueden hacer variar, en gran medida, el resultado de la cirugía del ligamento cruzado anterior (LCA) y dificultar la comparación de los estudios publicados, más si se tiene en cuenta que hasta un tercio de los pacientes no tratados podrían seguir realizando su actividad previa,2 por lo que se corre el riesgo de sobrevalorar los resultados obtenidos. La técnica bitúnel anatómica, que logra reconstrucciones más ajustadas a la anatomía original del ligamento, bien ejecutada, anterógrada transportal o con sistemas de fresado retrógrado, se está imponiendo, gracias a las mejoras en el instrumental y los sistemas de fijación, incluso se dio un paso más con la técnica anatómica bifascicular que trata de reproducir la división teórica en dos fascículos del LCA, pero que no ha obtenido, de forma concluyente, mejores resultados que compensen su complejidad técnica y el mayor costo.3 Es evidente que la ubicación de la plastia en la situación anatómica es un requisito fundamental al que sólo es posible aproximarse; la extracción del injerto y su preparación es siempre limitada, su fijación primaria debe ser eficiente para una recuperación funcional precoz, la reparación meniscal es deseable, el estado condral articular es determinante para el éxito de la cirugía y el futuro de la articulación, y la actividad posterior de pivote e impacto es un factor decisivo para el resultado y la supervivencia del neoligamento injertado.
Se comunica un estudio de dos series de 30 pacientes operados por el mismo cirujano, empleando el mismo tipo de injerto: isquiotibiales autólogos homolaterales; las mismas técnicas quirúrgicas: monotúnel transtibial clásica y bitúnel anatómica con tunelización retrógrada femoral, y las mismas fijaciones de la plastia: cortical elástica femoral y atornillado retrógrado transtibial, con el objetivo de comparar sus resultados.

Materiales y Métodos

Se trata de dos series de 30 pacientes operados por el mismo cirujano utilizando injerto autólogo múltiple, de tres a cinco fascículos, de tendones autólogos homolaterales semitendinoso y recto interno, y empleando, en una de ellas, la técnica monotúnel transtibial con guía over the top para la tunelización femoral y, en la otra, la técnica bitúnel con tunelización retrógrada ciega femoral mediante FlipCutter® (Arthrex, Naples, FL, EE.UU.), fijando la plastia, en ambas técnicas, con el sistema cortical ACL TightRope® (Arthrex, Naples, FL, EE.UU.) a nivel proximal y con tornillo retrógrado interferencial (Arthrex, Naples, FL, EE.UU.) a nivel distal. La inserción tibial de la plastia se ubicó en la zona posterior de la huella anatómica, por detrás del cuerno anterior del menisco externo, para evitar la fricción intercondilar, con una inclinación sagital del túnel de 55º y la femoral en disposición posterior over the top dejando pared de 4 mm en la técnica transtibial monotúnel (Figura 1) y, en situación posterior y sobre la hora 10, en rodillas derechas y la hora 2 en las izquierdas, en la técnica anatómica bitúnel (Figura 2). La estancia hospitalaria media fue de 48 h, tiempo del mantenimiento del drenaje. Se permitió la movilidad inmediata y la marcha en carga parcial desde las 48 h. La rehabilitación posoperatoria fue similar en todos los pacientes: se inició a las tres semanas y se mantuvo un mínimo de dos meses y una media de tres.


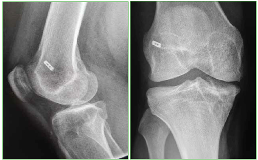
Figura 1.
Imagen radiológica de la ligamentoplastia monotúnel transtibial.


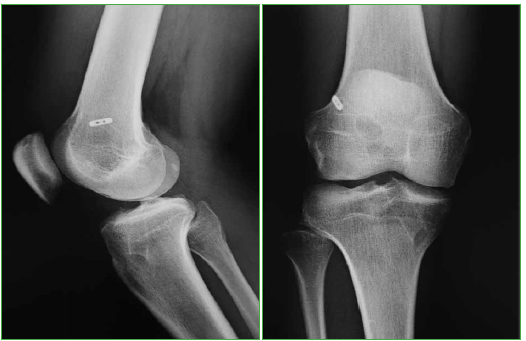
Figura 2.
Imagen radiológica de la ligamentoplastia bitúnel anatómica.

Se empleó la escala de valoración del IKDC (International Knee Documentation Committee Knee Form, última versión año 2000) mediante el formulario de valoración subjetiva (actividad, dolor, escala de dolor, tumefacción, bloqueo y fallo articular, capacidad para las actividades cotidianas y deportivas, y funcionamiento subjetivo), se interpretó que los puntos transformados en escala de 100 más elevados significaban menor limitación en las actividades de la vida diaria o deportivas, y menos síntomas. Para la valoración objetiva se emplearon las maniobras exploratorias de estabilidad: la prueba de resalte (pivot-shift) para la inestabilidad combinada rotacional y sagital,4 y la prueba de Lachman para la laxitud anterior, así como el test funcional del salto monopodal, que se consideró positivo cuando el paciente era capaz de hacerlo tres veces sin desequilibrio, y negativo cuando no era capaz de ejecutarlo y requería apoyo bipodal para equilibrarse. Las actividades deportivas consideradas de impacto fueron: fútbol, baloncesto, balonmano, tenis, squash, pádel o similares. Se analizaron los hallazgos radiológicos objetivables, como la osteólisis en los túneles óseos. Los resultados se analizaron con el test de Student-Fisher para el estudio transversal de dos muestras independientes en el caso de variables paramétricas numéricas, como el valor de la escala del IKDC, y el test de Mann- Whitney para variables ordinales, junto al estudio de correlaciones de Spearman y de Pearson. Se utilizó el sistema estadístico SPSS Statistics 22 (IBM). El nivel de significación se estableció en p <0,05.

Resultados

En la serie de 30 pacientes operados con la técnica monotúnel transtibial, el rango de edad era de 24 a 54 años (media 28 años) y el tiempo de seguimiento fue de 15 a 72 meses (media 37 meses). Quince de ellos practicaban actividad deportiva de impacto (50%), 20 tenían lesiones meniscales (67%): 14 lesiones de menisco interno y seis de menisco externo, que pudieron ser suturadas en siete ocasiones. Once (37%) tenían lesiones condrales significativas que fueron tratadas, en los casos de grado 3-4, mediante perforaciones en tres pacientes jóvenes y mediante microfracturas en tres pacientes >40 años. La media del calibre de la plastia fue de 8,5 mm (9 mm [10 casos], 8 mm [16 casos], 10 mm [3 casos] y 7 mm [1 caso]), con una mediana del tornillo retrógrado tibial de 9 mm (9 mm [19 casos], 10 mm [5 casos] y 8 mm [6 casos]), no se observó osteólisis significativa en el túnel tibial en ningún caso. El puntaje medio de la escala del IKDC fue de 82,96 (mínimo 62, máximo 100). La prueba clínica de Lachman fue negativa en cinco casos; positiva 1+ (3-5 mm con tope) en 22 casos y positiva 2+ (6-10 mm con tope blando) en tres casos (total, 83% positiva). La maniobra de resalte fue negativa en 14 casos, positiva 1+ en 11 pacientes y positiva 2+ en 5 casos (total, 53% positiva). La prueba del salto, que ofreció resultados parejos a las de la maniobra de resalte, fue positiva (capaz de ejecutarlo tres veces seguidas) en 14 casos (47%). Cuatro pacientes (13%) requirieron una nueva plastia por rotura traumática en un nuevo accidente deportivo, tres fueron con HTH autólogo rotuliano y uno con isquiotibiales contralaterales. Diecisiete pacientes (57%) pudieron recobrar el mismo nivel de actividad habitual previa a la lesión y los restantes 13 casos recuperaron un nivel de actividad inferior. Entre los 15 pacientes que practicaban actividad deportiva de impacto y pivote, sólo cinco (33%) recobraron el nivel previo a la lesión. No hubo complicaciones significativas posoperatorias.
En la serie de 30 pacientes sometidos a la técnica bitúnel anatómica, el rango de edad era de 18 a 55 (media 27 años) y el tiempo de seguimiento fue de 17 a 48 meses (media 36 meses). Veintidós pacientes (73%) practicaban actividad deportiva de impacto, 20 casos tenían lesiones meniscales (67%): 15 lesiones de menisco interno y cinco del menisco externo, que pudieron ser suturadas en nueve ocasiones, y lesiones condrales en 12 casos (40%) que se trataron, en los casos de grado 3-4, mediante perforaciones en tres pacientes jóvenes y mediante microfracturas en tres pacientes >40 años. El calibre medio de la plastia fue de 9,2 mm (9 mm [16 casos], 8 mm [4 casos] y 10 mm [10 casos]), con una mediana del tornillo retrógrado tibial de 10 mm (9 mm [10 casos] y 10 mm [20 casos]), no se detectaron casos de osteólisis significativa en el túnel tibial. El puntaje medio de la escala del IKDC fue 89,13 (mínimo 60, máximo 100). La prueba clínica de Lachman fue negativa en siete casos, positiva 1+ (3-5 mm con tope) en 21 casos y positiva 2+ (6-10 mm con tope blando) en dos casos (76% positiva). La maniobra de resalte fue negativa en 23 casos y positiva 1+ en siete casos (23% positiva). Los resultados de la prueba del salto se correlacionaron con los de la prueba de resalte, fue superada por 23 pacientes (77%). Dos pacientes (7%) requirieron una nueva plastia por rotura traumática en un accidente deportivo: uno fue operado nuevamente utilizando un injerto HTH autólogo rotuliano y otro, con isquiotibiales contralaterales. Veinticinco (83%) pudieron recobrar el mismo nivel de actividad deportiva o habitual que realizaban antes de la lesión y los restantes cinco, un nivel satisfactorio, pero inferior. De los 22 pacientes que practicaban actividad deportiva de impacto y de pivote, 14 recuperaron el nivel previo a la lesión (64%). No hubo complicaciones significativas posoperatorias (Tablas 1, 2 y 3).

Tabla 1. Resumen de los valores de las dos series estudiadas

Tabla 2. Resumen de resultados de las dos series estudiadas

Tabla 3. Resumen de los valores de calibre de la plastia, tornillo retrógrado y hallazgos radiológicos de los túneles tibiales

Los resultados de la escala del IKDC presentaron diferencias significativas entre ambas series (Tabla 4), fueron superiores en la serie de la técnica anatómica bitúnel (p <0,01), lo que indica una mejor valoración del resultado por parte del paciente. En la prueba clínica de Lachman, no se registraron diferencias significativas entre ambas series, pero sí en las maniobras de resalte y del salto monopodal (p <0,01).

Tabla 4. Estudio estadístico del puntaje en la escala IKDC en ambas series

Tampoco hubo diferencias en la recuperación del nivel de actividad anterior a la lesión globalmente, pero sí en el subgrupo de casos en el que la actividad deportiva de salto e impacto era más exigente (fútbol, baloncesto, tenis): recuperación del nivel anterior a la lesión en cinco de 15 pacientes (33%) con la técnica monotúnel y en 14 de 22 (64%) con la técnica bitúnel; los resultados fueron significativamente superiores (p <0,05) (Tabla 5). Las pruebas de resalte y del salto monopodal fueron las que se correlacionaron más con la recuperación de la actividad deportiva de impacto anterior a la lesión. La incidencia de lesiones meniscales y condrales asociadas fue similar en ambas series y no se puede considerar un factor influyente en esta diferencia de resultados, ya que no se registraron diferencias significativas entre ambas series. El calibre de la plastia utilizado fue superior en la técnica bitúnel anatómica (media 9,2 mm frente a 8,5 mm), lo cual pudo ser un factor influyente, y se debió a una tendencia a aumentar su calibre en detrimento de la longitud del injerto. La incidencia de osteólisis en el túnel tibial fue nula en ambas series, independientemente del calibre de la plastia y del tornillo retrógrado tibial empleado.

Tabla 5. Estudio estadístico comparativo de las variables en ambas series

Discusión

La técnica de ligamentoplastia del LCA ha experimentado una evolución tendiente a la reconstrucción lo más fiel posible a la anatomía original, merced a un mejor conocimiento de su función. Los datos morfológicos más significativos son bien conocidos:5,6 su estructura funcional se considera bifascicular: posterolateral y anteromedial,7 con una huella conjunta de inserción proximal ovoidea de 15-18 x 8-11 mm de diámetro, y una huella distal piriforme de 16-17 x 11 mm de diámetro,8,9 a la que llega ensanchando su calibre que llega a triplicar la parte media del ligamento,10 paradoja anatómica si tenemos en cuenta que, para evitar el efecto cíclope, debemos ubicar la plastia más posterior con el túnel tibial a nivel de la huella del fascículo posterolateral. La ubicación del túnel femoral para hacerlo anatómico debe descenderse dentro de la escotadura para horizontalizarlo y ocupar la mayor parte de la inserción anatómica,11 lo que aumentará la estabilidad rotacional y evitará la limitación de la flexión y una tasa de fallo por dicho motivo.12 La reconstrucción bifascicular considerada la aproximación más fiel a la estructura anatómica original, en la que incluso se han llegado a identificar tres bandas,6 plantea el inconveniente de su complejidad técnica, el escaso calibre de los fascículos de injerto empleados, la disponibilidad limitada de dicho injerto, el aumento de fijaciones y la sobreocupación de la huella original al tener que realizar dos túneles independientes, lo que ha llevado a simplificar en un solo túnel distal las técnicas bifasciculares.13,14 Los resultados de la técnica bifascicular han sido variables comparados con los de la técnica monofascicular y, si bien en algunos estudios son superiores,15,16 en las series más amplias, no se recogen diferencias significativas subjetivas ni objetivas con la técnica anatómica monofascicular.3,17,18 Ello ha llevado a que la técnica de banda simple sea más frecuente, realizada preferentemente por un portal anteromedial accesorio y con injerto HTH, según los registros publicados.19
En este estudio, hemos verificado que la técnica bitúnel monofascicular anatómica permite una disposición que se aproxima a la anatomía del LCA nativo20 y que mejora la estabilidad rotacional en impacto, salto y carrera; no logra esta superioridad en pacientes que no practican esta actividad exigente, en quienes la técnica monotúnel transtibial resulta igualmente satisfactoria, ya que, en grandes series, se han demostrado sus buenos resultados en la valoración subjetiva,21 el dolor residual, el tránsito por escaleras o el esfuerzo genuflexo.22-25 Según algunos autores, con esta técnica se logra la ubicación más anatómica de la plastia en un 48% de los casos,26 aunque lo habitual es que el túnel femoral sea más vertical, paralelo y profundo27 cuando se ejecuta transtibial. Incluso, en las técnicas anatómicas, es considerable la tasa de fracasos en la ubicación de la plastia, se estima un error del 40% en el lado femoral y del 56% en el lado tibial.28 Si analizamos los estudios comparativos, las plastias situadas más horizontalmente (ubicadas en la escotadura a la hora 10 u hora 2 según lateralidad) limitan más la rotación tibial que las verticales,29-34 lo que las hace más competentes para la actividad de salto, carrera y pivote, pero tienen el inconveniente de su menor isometricidad, ya que son las verticales (situadas en hora 12 en la escotadura con 2 mm de pared posterior) las más isométricas, con una variación de 2-3 mm durante la extensión35,36 y, por tanto, son muy competentes en la estabilidad anteroposterior pura.33 La isometría es un concepto relativo, porque la mayor parte de las fibras más posteriores del ligamento se insertan por debajo del punto isométrico femoral y, sin embargo, son las más eficientes en la estabilidad anterior y rotacional en la flexión de rodilla.37 No habría diferencias significativas entre la técnica anatómica y la monotúnel transtibial clásica en pacientes que no practiquen deportes con salto y apoyo monopodal; la técnica anatómica estaría indicada para pacientes cuya actividad deportiva demanda más estas exigencias. Realmente aún no disponemos de una técnica que recupere la estabilidad rotacional anterior a la lesión, como queda reflejado en estudios,38-41 ni siquiera con las técnicas de doble banda, debido a limitaciones técnicas y a que no depende exclusivamente del LCA, resultan fundamentales las condiciones anatómicas intrínsecas y los estabilizadores periféricos, lo que explica, en buena parte, las diferencias en las valoraciones objetivas y subjetivas de los estudios publicados. Es por ello que algunos autores asocian plastias externas limitadoras de la rotación tibial tipo Lemaire o más recientemente el ligamento anterolateral42 que, en cualquier caso, deben reservarse para pacientes con inestabilidad residual, laxitud excesiva, mala condición de los estabilizadores externos o cirugía de revisión. Si bien la resistencia de los autoinjertos habituales es superior a la del LCA nativo, los isquiotibiales multifascículo se adaptan mejor a las técnicas bitúnel, hay series que muestran menos fracasos que con el tendón rotuliano43,44 y menos secuela de dolor donante (11,8%), siempre que sean de un calibre >8 mm y polifasciculadas, 45,46 con el inconveniente de su integración más lenta e incompleta en los túneles.47 En nuestro estudio, el calibre de la plastia fue de 8,5 mm en la técnica monotúnel transtibial y de 9,2 mm en la técnica bitúnel anatómica, debido a la tendencia a “polifascicular” el injerto siempre limitado e inconstante,48 resulta suficiente confeccionar plastias de 6 cm de longitud. El empleo de tendón rotuliano en plastias anatómicas obliga a confeccionar pastillas óseas pequeñas para su adaptación femoral, con mayor dificultad de fijación y con los inconvenientes conocidos de dolor anterior en el 14-47% de los pacientes,49 por lo que las plastias tendinosas autólogas van sustituyendo al HTH mayoritario en las técnicas monotúnel,50,51 y otras opciones, como el tendón cuadricipital con pastilla ósea52 o los aloinjertos, son secundarias debido a su peor manejo y resultados.53 En la interfase entre injerto tendinoso y hueso epifisario, se produce una esclerosis reactiva por micromovilidad poliaxial que puede provocar un ensanchamiento del túnel, y se considera significativo cuando su área se incrementa un 50%, fenómeno más frecuente durante el primer año en el túnel tibial (50%) que en el femoral (15%) y condicionado por la verticalidad y la longitud no fijada de la plastia en el túnel.54-56 Este efecto puede reducirse al mínimo utilizando el tornillo retrógrado que bloquea la plastia en su límite articular, y tiene la ventaja de tensar la plastia durante su inserción, sellando el túnel en su salida. Para la tunelización ósea femoral en posición anatómica, nos parece adecuada la técnica transósea retrógrada, coincidiendo con otros autores,57-59 ya que permite realizar, sin restricción de portal, túneles ciegos con sistemas de broca plegable, muy favorable para la cirugía con fisis fértiles y de revisión; aunque entre la técnica retrógrada y transportal medial no se registran diferencias significativas.60,61

Conclusiones

La técnica de ligamentoplastia bitúnel anatómica es mejor valorada por el paciente, tiene la misma eficacia que la técnica monotúnel transtibial para la estabilidad anteroposterior, pero es más eficaz para proporcionar estabilidad rotatoria, como se registra en las pruebas de resalte y del salto monopodal, lo que se traduce en una tasa de recuperación más alta del nivel de actividad deportiva previo. En pacientes sin alta demanda de actividad de pivote e impacto, los resultados son similares. Con el uso del atornillado retrógrado tibial, no hubo osteólisis significativa en el túnel tibial. La fortaleza de este estudio es la comparación de dos series de pacientes similares con técnicas diferentes, pero con las mismas fijaciones de la plastia efectuadas por el mismo cirujano. La debilidad principal es que no se trata de un estudio prospectivo aleatorizado.

Conflicto de intereses: Los autores no declaran conflictos de intereses.

Bibliografía

1. Pelfort X, Torres R, Vila G, Monllau JC, Leal J, Hinarejos P, et al. Situación actual de la reconstrucción del ligamento cruzado anterior en nuestro país. Encuesta mediante formato electrónico. Rev Esp Cir Ortop Traumatol 2010;54(5):289-93. https://doi.org/10.1016/j.recot.2010.06.003

2. Noyes FR, Matthews DS, Mooar PA, Grood ES. The symptomatic anterior cruciate-deficient knee. Part II: The results of rehabilitation, activity modification and counseling of functional disability. J Bone Joint Surg 1983;12:623-34. https://doi.org/10.2106/00004623-198365020-00004

3. Meredick RB, Vance KJ, Appleby D, Lubowitz JH. Outcome of single-bundle versus double-bundle reconstruction of the anterior cruciate ligament: a meta-analysis. Am J Sports Med 2008;36:1414-21. https://doi.org/10.1177/0363546508317964

4. Lane CG, Warren R, Pearle AD. The Pivot shift. J Am Acad Orthop Surg 2008;16(12):679-88. https://doi.org/10.5435/00124635-200812000-00001

5. Odensten M, Gilquist J. Functional anatomy of the anterior cruciate ligament and a rationale for reconstruction. J Bone Joint Surg Am 1985;67:257-9. https://doi.org/10.2106/00004623-198567020-00012

6. Amis A, Scammell B. Biomechanics of intra-articular and extra-articular reconstruction of the anterior cruciate ligament. J Bone Joint Surg Br 1993;75:812-7. https://doi.org/10.1302/0301-620x.75b5.8376447

7. Girgis FJ, Marshall JL, Al Monajem ARS. The cruciate ligaments of the knee joint. Anatomical, functional and experimental analysis. Clin Orthop 1975;106:216-31. https://doi.org/10.1097/00003086-197501000-00033

8. Maestro A, Álvarez A, Del Valle M, Rodríguez L, Meana A, García P, et al. Reconstrucción bifascicular del ligamento cruzado anterior. Rev Esp Cir Ortop Traumatol 2009;53(1):13-9. https://doi.org/10.1016/j.recot.2008.07.002

9. Arnold MP, Kooloos J, Van Kampen A. Single incision technique misses the anatomical femoral anterior cruciate ligament insertion: a cadaver study. Knee Surg Sports Traumatol Arthrosc 2001;9(4):194-9. https://doi.org/10.1007/s001670100198

10. Dienst M, Burks R, Greis P. Anatomy and biomechanics of the anterior cruciate ligament. Orthop Clin North Am 2002;33:605-20. https://doi.org/10.1016/s0030-5898(02)00010-x

11. Steiner MF, Battaglia TC, Heming JF, Rand JD, Festa A, Baria M. Independent drilling outperforms conventional transtibial drilling in anterior cruciate ligament reconstruction. Am J Sports Med 2009;37(10):1912-9. https://doi.org/10.1177/0363546509340407

12. Penner DA, Daniel DM, Wood P, Mishra D. An in vitro of anterior cruciate ligament graft placement and isometry. Am J Sports Med 1988;16(3):238-43. https://doi.org/10.1177/036354658801600307

13. Mediavilla I, Margalet E, Martín C. Resultados quirúrgicos de la reconstrucción del LCA mediante la técnica de doble fascículo. Cuadernos de Artroscopia 2011;8:2(45):23-30. https://pdfs.semanticscholar.org/5476/00fea0522fd0b723574854365ed932787cab.pdf?_ga=2.7450994.1397112067.1571419297-2023356659.1569938540

14. Ferreti A, Monaco E, Labianca L, De Carli A, Maestri B, Conteduca F. Double-bundle anterior cruciate ligament reconstruction: a computer-assisted orthopaedic surgery study. Am J Sports Med 2008;36:760-6. https://doi.org/10.1177/0363546507305677

15. Alburquerque RF, Saki SU, Amatuzzi MM, Angelini FJ. Anterior cruciate ligament reconstruction with double-bundle versus single bundle: experimental study. Clinic 2007;62:335-44. https://doi.org/10.1590/s1807-59322007000300020

16. Seon JK, Park SJ, Lee KB, Yoon TR, Seo HY, Song EK. Stability comparison of anterior cruciate ligament between double and single bundle reconstructions. Int Orthop 2009;33(2):425-9. https://doi.org/10.1007/s00264-008-0530-2

17. Ho JY, Gardiner A, Shah V, Steiner ME. Equal kinematics between central anatomic single bundle and double bundle anterior cruciate ligament reconstruction. Arthroscopy 2009;25(5):464-72. https://doi.org/10.1016/j.arthro.2009.02.013

18. Misonoo G, Kanamori A, Ida H, Miyakaya S, Ochiai N. Evaluation of tibial rotational stability of single-bundle vs anatomical double-bundle anterior cruciate reconstruction during a high-demand activity -a quasi-randomized trial. Knee 2012;19:87-93. https://doi.org/10.1016/j.knee.2011.01.003

19. Grassi A, Christian Carulli C, Innocenti M, Mosca M, Zaffagnini S, Bait C and SIGASCOT Arthroscopy Committee. New trends in anterior cruciate ligament reconstruction: a systematic review of national surveys of the last 5 years. Joints 2018;6:177-87. https://doi.org/10.1055/s-0038-1672157

20. Ayala-Mejías JD, García Estrada GA, Alcócer Pérez-España L. Lesiones del ligamento cruzado anterior. Acta Ortop Mex 2014;28(1):57-67. https://pdfs.semanticscholar.org/aaf4/f4797d67829a0a43c48798b59d0df4af1702.pdf?_ga=2.111337156.1397112067.1571419297-2023356659.1569938540

21. Mendoza P, Olarte JA, Gutierrez-Guevara JC. Percepción funcional de los pacientes tras reconstrucción del ligamento cruzado anterior. Serie de casos. Rev Colomb Ortop Traumatol 2017;31(1):16-21. https://doi.org/10.1016/j.rccot.2017.01.006

22. Berchuck M, Andriacchi TP, Bach BR, Reider B. Gait adaptations by patients who have a deficient anterior cruciate ligament. J Bone Joint Surg Am 1990;72:871-7. https://doi.org/10.2106/00004623-199072060-00012

23. López Hernández G, Fernández Hortigüela L, Gutiérrez JL, Forriol F. Protocolo cinético en la rotura del ligamento cruzado anterior. Rev Esp Cir Ortop Traumatol 2011;55(1):9-18. https://doi.org/10.1016/j.recot.2010.09.003

24. Morrison JB. The mechanics of the knee in relation to normal walking. J Biomech 1970;3:51-61. https://doi.org/10.1016/0021-9290(70)90050-3

25. Bonasia DE, Amendola A. Graft choice in ACL reconstruction. En: Bonnin M, Amendola NA, Bellemans J, Mac Donald SJ, Menetrey J (eds). The knee joint surgical techniques and strategies. Paris: Springer; 2012:173-81. https://doi.org/10.1007/978-2-287-99353-4_15-Online ISBN 978-2-287-99353-4

26. Iraporda HD, Iraporda G, Puleo S, Santander J. ¿Es posible realizar una reconstrucción de ligamento cruzado anterior anatómica con técnica transtibial? Artroscopia 2017;24:28-33. https://www.revistaartroscopia.com/images/artroscopia/volumen-24-nro-1/24_01_07_Iraporda/24_01_iraporda.pdf

27. Lapera MF, Facundo G, Crifasi N, Barrera A, Rozzi A. Barrera F. Comparación entre las técnicas transportal y transtibial para la reconstrucción de doble banda del LCA. Artroscopia 2012;19:190-6. https://www.revistaartroscopia.com/images/artroscopia/volumen-19-nro-4/19_04_6.pdf

28. Achtnich A, Ranucio F, Willinger L, Pogorzelski J, Imhoff A, Braun S, et al. High incidence of partially anatomic tunnel placement in primary single-bundle ACL reconstruction. Knee Surg Sports Traumatol Arthrosc 2018;26:462- 7. https://doi.org/10.1007/s00167-017-4555-1

29. Garofalo R, Moretti B, Kombot C, Moretti L, Mouhsine E. Femoral tunnel placement in anterior cruciate ligament reconstruction: rationale of the two incision technique. J Orthop Surg 2007;2:10. https://doi.org/10.1186/1749-799x-2-10

30. Scopp JM, Jasper LE, Belkoff SM, Moorman CT 3rd. The effect of oblique femoral tunnel placement on rotational constraint of the knee reconstructed using patellar tendon autografts. Arthroscopy 2004;20:294-9. https://doi.org/10.1016/j.arthro.2004.01.001

31. Michele Venosa M, Delcogliano M, Padua R, Alviti F, Delcogliano A. Femoral tunnel positioning in anterior cruciate ligament reconstruction: anteromedial portal versus transtibial technique—A randomized clinical trial. Joints 2017;5:34-8. https://doi.org/10.1055/s-0037-1601413

32. Kato Y, Maeyama A, Lertwanich P, Wang JH, Ingham SJ, Kramer S, et al. Biomechanical comparison of different graft positions for single-bundle anterior cruciate ligament reconstruction. Knee Surg Sports Traumatol Arthrosc 2013;21(4):816-23. https://doi.org/10.1007/s00167-012-1951-4

33. Chambat P, Guier C, Sonnery-Cottet B, Fayard JM, Thaunat M. The evolution of ACL reconstruction over the last fifty years. Int Orthop 2013;37(2):181-6. https://doi.org/10.1007/s00264-012-1759-3

34. Webster KE, Palazzolo SE, McClelland JA, Feller JA. Tibial rotation during pivoting in anterior cruciate ligament reconstructed knees using a single bundle technique. Clin Biomech 2012;27:480-4. https://doi.org/10.1016/j.clinbiomech.2011.11.004

35. Sapega AA, Moyer RA, Schneck C, Komalahiranya N. Testing for isometry during reconstruction of the anterior cruciate ligament. Anatomical and biomechanical considerations. J Bone Joint Surg Am 1990;72:259-67. https://doi.org/10.2106/00004623-199072020-00015

36. Loh JC, Fukuda Y, Tsuda E, Steadman RJ, Fu FH, Woo SL. Knee stability and graft function following anterior cruciate ligament reconstruction: Comparison between 11 o’clock and 10 o’clock femoral tunnel placement. Arthroscopy 2003;19:297-304. https://doi.org/10.1053/jars.2003.50084

37. Giron F, Buzzi R, Aglietti P. Femoral tunnel position in anterior cruciate ligament reconstruction using three techniques. A cadaver study. Arthroscopy 1999;15:750-6. https://doi.org/10.1016/s0749-8063(99)70007-1

38. Ristanis S, Stergiou N, Siarava E, Ntoulia A, Mitsionis G, Georgoulis AD. Effect of femoral tunnel placement for reconstruction of the anterior cruciate ligament on tibial rotation. J Bone Joint Surg Am 2009;91:2151-8. https://doi.org/10.2106/jbjs.h.00940

39. Georgoulis AD, Ristanis S, Chouliaras V, Moraiti C, Stergiou N. Tibial rotation is not restored after ACL reconstruction with hamstring graft. Clin Orthop Relat Res 2007;454:89-94. https://doi.org/10.1097/blo.0b013e31802b4a0a

40. Lardín L. Reconstrucción de ligamento cruzado anterior. Comparación de técnica transtibial versus técnica simple banda anatómica versus doble banda. Evaluación clínica y por resonancia magnética. Artroscopia 2014;21:55-63. https://www.revistaartroscopia.com/images/artroscopia/volumen-21-nro-2/PDF/RA_21_02_07_nardin.pdf

41. Figueroa F, Figueroa D, Calvo R, Vaisman A, Morales N, Paccot D. Reconstrucción de ligamento cruzado anterior con técnica anatómica: resultado. Revisión bibliográfica y experiencia personal. Artroscopia 2015;22:71-7. https://www.revistaartroscopia.com/images/artroscopia/volumen-22-nro-3/PDF/22_03_04_Figueroa.pdf

42. Sonnery-Cottet, Daggett M, Partezani Helito C, Fayard JM. Combined anterior cruciate ligament and anterolateral ligament reconstruction. Arthrosc Tech 2016;5:1253-5. https://doi.org/10.1016/j.eats.2016.08.003

43. Freedman KB, Dámato MJ, Nedeff DD, Kaz A, Bach BR Jr. Arthroscopic anterior cruciate ligament reconstruction; a meta-analysis comparing patellar tendon and hamstring tendon autografts. Am J Sports Med 2003;31:2-11. https://doi.org/10.1177/03635465030310011501

44. Kim SJ, Kim TE, Lee DH, Oh KS. Anterior cruciate ligament reconstruction in patients who have excessive joint laxity. J Bone Joint Surg Am 1999;81:549-57. https://doi.org/10.2106/jbjs.f.01173

45. Effect of graft choice on the outcome of revision anterior cruciate ligament reconstruction in the multicenter ACL revision study (MARS) cohort. MARS Group. Am J Sports Med 2014;42:2301-10. https://doi.org/10.1177/0363546514549005

46. Calvo R, Anastasiadis R, Calvo Mena R, Figueroa D. Elección del injerto en la reconstrucción de ligamento cruzado anterior. ¿Existe un injerto ideal? Rev Esp Artrosc Cir Articul 2017;24(Supl.1):59-66. https://doi.org/10.24129/j.reaca.24e57.fs1704017

47. Sánchez Hidalgo R, Forriol F. Integración tendinosa de plastias autólogas en túneles de diferente calibre. Estudio experimental en ovejas. Rev Esp Cir Ortop Traumatol 2012;56(3):216-23. https://doi.org/10.1016/j.recot.2011.10.005

48. Calvo R, Meleán P, Figueroa D, Vaisman A, Scheu M, Figueroa F. ¿Existe correlación entre el peso y la talla del paciente con el largo y diámetro del injerto semitendinoso? Rev Esp Cir Ortop Traumatol 2011;55(1):2-8. https://doi.org/10.1016/j.recot.2010.09.002

49. Barlett RJ, Claworthy MG, Nguyen TN. Graft selection in reconstruction of the anterior cruciate ligament. J Bone Joint Surg Br 2001;83:625-34. https://doi.org/10.1302/0301-620x.83b5.12308

50. West RV, Harner CD. Graft selection in anterior cruciate ligament reconstruction. J Am Acad Surg 2005;13:197-207. PMID: 15938608

51. Lund B, Nielsen T, Fauno P, Christiansen SE, Lind M. Is quadriceps tendon a better graft choice than patellar tendon? A prospective randomized study. Arthroscopy 2014;30:593-8. https://doi.org/10.1016/j.arthro.2014.01.012

52. Pajares López M, Tercedor-Sánchez J, Prados-Olleta N, Vidal-Martín JM. Autoinjerto y aloinjerto en la reconstrucción del ligamento cruzado anterior. Rev Ortop Traumatol 2004;48:263-6. https://doi.org/10.1016/s1888-4415(04)76216-5

53. Ayala-Mejías JD. Estudio de los túneles femoral y tibial para la ligamentoplastia de LCA mediante TAC y su repercusión clínica a largo plazo (Tesis doctoral). Alcalá de Henares, Madrid, 2009. https://ebuah.uah.es/dspace/handle/10017/6401

54. Arcuri F, Barclay F, Fernández Moores M, Cavallo J. Resultados clínicos, funcionales y radiológicos de la reconstrucción de ligamento cruzado anterior con técnica por portal anteromedial con seguimiento mínimo de 2 años. Artroscopia 2016;23:55-60. https://www.revistaartroscopia.com/103-volumen-05-numero-1/volumen-23-numero-2/739-resultados-clinicos-funcionales-y-radiologicos-de-la-reconstruccion-de-ligamento-cruzado-anterior-contecnica-por-portal-antero-medial-con-seguimiento-minimo-de-2-anos

55. Ito MM, Tanaka S. Evaluation of tibial bone tunnel changes with X ray and computed tomography after ACL reconstruction using a bone-patellar tendon-bone autograft. Int Orthop 2006;30:99-103. https://doi.org/10.1007/s00264-006-0078-y

56. Figueroa D, Calvo R, Figueroa F, Ahumada X, Robles G. Reconstrucción anatómica de ligamento cruzado anterior utilizando técnica de reconstrucción con FlipCutter. Artroscopia 2013;20:122-5. https://www.revistaartroscopia.com/images/artroscopia/volumen-20-nro-4/pdf/RA_20_04_04_figueroa.pdf

57. Slullitel D, Ponzi D, Milanesio F, Galan H, Suárez E, Urbaneja R, et al. Reconstrucción del LCA “todo adentrro” con tendón cuadricipital. Perforación y fijación por vía retrógrada. Artroscopia 2008;15:52-6. https://www.revistaartroscopia.com/ediciones-anteriores/2008/volumen-15-numero-1/27-volumen-05-numero-1/volumen-15-numero-1/555-reconstruccion-del-lca-todo-adentro-con-tendon-cuadricipital-perforacion-y-fijacion-por-via-retrograda

58. Schurz M, Tiefenboeck TM, Winnisch M, Syre S, Plachel F, Steiner G, et al. Clinical and functional outcome of all-inside anterior cruciate ligament reconstruction at a minimum of 2 years’ follow-up. Arthroscopy 2016;32:332-7. https://doi.org/10.1016/j.arthro.2015.08.014

59. Sim JA, Gadikota HR, Li JS, Li G, Gill TJ. Biomechanical evaluation of knee joint laxities and graft forces after anterior cruciate ligament reconstruction by anteromedial portal, outside-in, and transtibial techniques. Am J Sports Med 2011;39:2604-10. https://doi.org/10.1177/0363546511420810

60. Driscoll MD, Isabell GP, Conditt MA, Ismaily SK, Jupiter DC, Noble PC, et al. Comparison of 2 femoral tunnel locations in anatomic single-bundle anterior cruciate ligament reconstruction: a biomechanical study. Arthroscopy 2012;28:1481-9. https://doi.org/10.1016/j.arthro.2012.03.019

61. Figueroa D, Figueroa F, Calvo R, Vaisman A, Ahumada X. Reconstrucción anatómica de ligamento cruzado anterior con banda simple a través del uso de un portal medial accesorio: resultados clínicos e imagenológicos en seguimiento a mediano plazo. Artroscopia 2014; 21:50-54. https://www.revistaartroscopia.com/edicionesanteriores/2014/volumen-21-numero-2/94-volumen-05-numero-1/volumen-21-numero-2/668-reconstruccionanatomica- de-ligamento-cruzado-anterior-con-banda-simple-a-traves-del-uso-de-un-portal-medial-accesorio-resultados-clinicos-e-imagenologicos-en-seguimiento-a-mediano-plazo