PRESENTACIÓN DE CASOS

Fractura del gaucho.
Mecanismo inusual de fracturas lumbares bajas de tipo estallido

 

Daniel O. Ricciardi, Guillermo A. Ricciardi, Ignacio G. Garfinkel, Gabriel G. Carrioli

Equipo de Columna, Hospital General de Agudos “Dr. Teodoro Álvarez”, Ciudad Autónoma de Buenos Aires, Argentina
Dr. Daniel O. Ricciardi • danieloscarr9@gmail.com
 http://orcid.org/0000-0002-1396-9115
ORCID de G. A. Ricciardi: http://orcid.org/0000-0002-6959-9301
ORCID de I. G. Garfinkel: http://orcid.org/0000-0001-9557-0740
ORCID de G. G. Carrioli: http://orcid.org/0000-0003-4160-9712

http://dx.doi.org/10.15417/issn.1852-7434.2019.84.4.929

Recibido el 8-12-2018.
Aceptado luego de la evaluación el 22-2-2019


Resumen

Comunicamos dos casos de fracturas lumbares bajas de tipo estallido con compromiso de la cuarta vértebra lumbar (L4), en pacientes que desarrollan la actividad conocida como “jineteada gaucha”, quienes sufrieron una caída de tipo “voleo”, en la cual el caballo cae hacia atrás sobre su dorso aprisionando al jinete contra el suelo.

Palabras clave: Fractura vertebral; Lumbar; Mecanismo lesional; Jineteada; Gaucho.

Nivel de Evidencia: IV

Abstract

“Gaucho´s fracture”. An unusual mechanism of lumbar burst fractures in horse riders

We discuss two cases of lumbar burst fractures at the fourth lumbar spine vertebra (L4), in patients engaging in a type of horseriding activity known as jineteada gaucha, in which the horse falls on its back, holding the rider against the ground.

Keywords: Vertebral fractures; Lumbar spine; Horse riders; Gaucho.

Level of Evidence: IV


 

Introducción

Las fracturas vertebrales de la columna lumbar baja son lesiones vertebrales poco frecuentes y de características particulares. La topografía principal de las fracturas vertebrales es la unión toracolumbar (T10-L2) que comprende la transición entre la columna torácica rígida y la columna lumbar móvil.1 A diferencia de la transición toracolumbar, la columna lumbar baja (L3-L5) representa <4% de las lesiones.2-4 En relación con el mecanismo de lesión de las fracturas lumbares de tipo estallido, las series publicadas hacen referencia principalmente a accidentes automovilísticos, caídas de altura y, en menor medida, trauma directo.2-8 Numerosas publicaciones mencionan a las lesiones vertebrales relacionadas con la monta y la equitación.9-18 El riesgo general de sufrir lesiones vertebrales como consecuencia de la equitación, según otras publicaciones, puede ser semejante al de las carreras de motos y los deportes de colisión, como el rugby.9
A su vez, diferentes actividades deportivas y culturales que involucran al caballo implican distintos riesgos particulares. Existen publicaciones norteamericanas relacionadas con el rodeo. Boham y O’Connell reportaron un mecanismo inusual de lesión en atletas de rodeo que provoca una fractura toracolumbar tipo Chance.10 Presentamos dos casos de fracturas de la cuarta vértebra lumbar (L4) provocadas por una caída de tipo “voleo”, en la cual el caballo cae hacia atrás sobre su dorso aprisionando al jinete contra el suelo, durante la jineteada gaucha –una actividad ecuestre característica y tradicional de la Argentina, Paraguay, Uruguay y sur del Brasil, relacionada con el folclore y la cultura del “gaucho” en estos países–.
Ambos pacientes fueron tratados por nuestro equipo, entre enero y octubre de 2016. El tratamiento quirúrgico se realizó por vía posterior única, con descompresión posterolateral directa, reparación del saco dural y artrodesis larga. Se describen las siguientes variables: 1) clasificación de la fractura vertebral (según la clasificación AO),19 2) estado neurológico al ingresar, según el puntaje de la American Spinal Injury Association (ASIA),20 3) porcentaje de ocupación del canal en un corte transversal de la tomografía computarizada (TC), considerando como referencia el área del canal en la tercera vértebra lumbar sana (ACL3), se midió el área de ocupación de los fragmentos del muro posterior retropulsados (AFL4) y se calculó su relación porcentual (porcentaje de ocupación del canal = AFL4/ ACL3 X 100%),21 4) la cifosis segmentaria a través del método de Cobb midiendo el ángulo formado entre una línea trazada paralela al platillo vertebral superior de una vértebra por encima de la fracturada y una línea trazada paralela al platillo vertebral inferior de una vértebra por debajo,22,23 5) porcentaje del colapso del cuerpo vertebral, calculado usando la relación porcentual entre la altura del muro anterior de la vértebra fracturada y el promedio de la altura del muro anterior de las dos vértebras adyacentes sanas,22 6) evolución clínica del paciente a los seis meses de la cirugía, utilizando la escala analógica visual para el dolor y el índice de Oswestry.24
Se describe, en detalle, el mecanismo de la lesión que comparten ambos pacientes y su relación con la “jineteada gaucha”.

Caso 1

Hombre de 24 años, que se desempeña como jinete en festivales de “Doma y Jineteada Gaucha”. Estaba compitiendo en un festival, en el partido de Dolores, provincia de Buenos Aires, Argentina. En el curso de la jineteada, el caballo se eleva sobre sus dos patas traseras y cae hacia atrás, lo que se conoce como “voleo” del caballo, y aprisiona al jinete contra el suelo, con compresión y flexión del tronco (Figura 1).


Figura 1.
Caso 1. Mecanismo de lesión.

El paciente es trasladado al Servicio de Urgencia del hospital regional y, de allí, es derivado a nuestro centro, a través de su obra social. Ingresa, reactivo, lúcido (escala de Glasgow 15/15), con estabilidad hemodinámica y síndrome de cauda equina incompleto (grado B según el puntaje de la ASIA).19 Se solicitan radiografías y TC de columna cervical, torácica y lumbosacra. Se constata fractura vertebral lumbar baja con compromiso de la cuarta vértebra lumbar (L4), de tipo estallido, con retropulsión de un fragmento voluminoso del muro posterior en el canal, con impronta en el saco dural. La resonancia magnética no mostró una lesión del complejo ligamentario posterior, por lo que se interpreta, según la clasificación AO, como L4: A3, N3, M0 (Figuras 2 y 3). Sin deformidad en cifosis significativa y con un colapso vertebral inferior al 50%. Se constata una lesión hepática asociada, se lo somete a una laparotomía de urgencia y queda internado en la Unidad de Terapia Intensiva.


Figura 2.
Caso 1. Tomografía computarizada, corte axial.


Figura 3.
Caso 1. Tomografía computarizada, corte sagital.

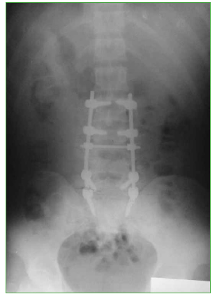
Se decide efectuar una cirugía con abordaje posterior lumbosacro, descompresión posterolateral directa por técnica de tipo eggshell, con resección del arco posterior de L4 y reducción de los fragmentos en retropulsión.25-27 Se realiza artrodesis lumbosacra larga L2-S1 (Figuras 4 y 5).


Figura 4.
Caso 1. Control radiográfico posoperatorio (perfil).


Figura 5.
Caso 1. Control radiográfico posoperatorio (frente).

El paciente evoluciona favorablemente con cicatrización de la herida quirúrgica. Comienza con rehabilitación en el posoperatorio inmediato. Se corrige la cifosis segmentaria con medición radiográfica a los seis meses de la cirugía adecuada (Cobb L3-L5 33°, lordosis lumbar 44°, incidencia pelviana 44°, IP-LL 0°, inclinación de la pelvis 18°). El paciente recupera la sensibilidad por completo y evoluciona con una secuela deficitaria parcial motora de raíz L4 izquierda, extensión activa del pie grado 3 (vence gravedad). La TC de control a los dos años muestra la consolidación (Figura 6). Vuelve a montar a caballo (Figura 7 y video).


Figura 6.
Caso 1. Control tomográfico posoperatorio.


Figura 7.
Caso 1. Retorno a la actividad.

Caso 2

Varón de 17 años, peón de campo y jinete. Ingresa en el Servicio de Urgencia derivado de otro centro por trauma vertebral provocado por un mecanismo comparable con el descrito en el Caso 1, al sufrir el “voleo” de su caballo durante una jineteada gaucha (Figura 8).


Figura 8.
Caso 2. Mecanismo de lesión.

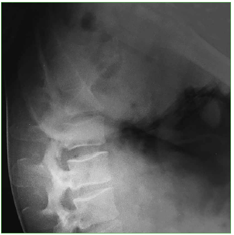
Al ingresar está reactivo y lúcido (escala de Glasgow 15/15), con estabilidad hemodinámica. El examen neurológico revela paresia de ambos miembros inferiores (grado D, según el puntaje de la ASIA). Se toman radiografías, una TC y una resonancia magnética de columna cervical, torácica y lumbar que muestran una fractura de tipo estallido del cuerpo vertebral de L4 con múltiples fragmentos voluminosos del muro posterior que ocupaban el canal medular con subluxación L3-L4. Se interpreta, según la clasificación AO, como C:L3-L4 (L4: A3, N3) (Figuras 9 y 10).


Figura 9.
Caso 2. Radiografía inicial (perfil).


Figura 10.
Caso 2. Tomografía computarizada, corte axial.

Se decide el tratamiento quirúrgico con abordaje posterior lumbosacro, reducción, descompresión posterolateral directa por técnica tipo eggshell y artrodesis lumbosacra larga L2-S1 (Figuras 11 y 12).


Figura 11.
Caso 2. Control radiográfico posoperatorio (frente).


Figura 12.
Caso 2. Control radiográfico posoperatorio (perfil).

El paciente evoluciona favorablemente, con recuperación neurológica completa. Se corrige la cifosis segmentaria con medición radiográfica a los seis meses de la cirugía adecuada (Cobb L3-L5 25°, lordosis lumbar 39°, incidencia pelviana 40°, IP-LL 1°, inclinación de la pelvis 8°). En la Tabla, se resumen los resultados en función de la clasificación, el puntaje de la ASIA, el porcentaje de ocupación del canal, el porcentaje de colapso vertebral, la cifosis segmentaria L3-L5, la escala analógica visual a los seis meses de la cirugía y el índice de Oswestry a los seis meses.

Tabla. Características de los pacientes

Mecanismo de lesión: “impactor sacropelvi ano”

En ambos casos presentados, los pacientes sufren el trauma secundario a la caída hacia atrás del binomio caballo- jinete, durante el “voleo” del animal, el caballo cae sobre su dorso aprisionando al jinete contra el suelo. El jinete queda atascado entre la cabalgadura y el suelo con la región lumbopelviana en máxima flexión hacia el zenit; de esta forma, recibe el peso del animal sobre los isquiones y el sacro. El paciente en posición de hiperflexión permanece fijo con el platillo vertebral superior de S1 paralelo al suelo (Figuras 13 y 14), la pelvis y el sacro actúan como un verdadero “impactor” que resume las fuerzas del peso del caballo y su caída en la columna lumbar baja con la consiguiente fractura de tipo estallido de la cuarta vértebra lumbar.


Figura 13.
Valoración radiográfica del mecanismo de lesión.


Figura 14.
Gráfico del mecanismo de lesión propuesto.

Discusión

La jineteada gaucha se origina en la actividad ganadera y el trabajo en el campo de los gauchos e integra las tradiciones folclóricas. Forma parte del folclore de la Argentina, Paraguay, Uruguay, Brasil y Chile, asociada a la cultura del gaucho característica de la región. En esta actividad ecuestre, el jinete debe mantenerse sobre el lomo del caballo por un período de tiempo determinado. Al cumplirse el tiempo señalado para la prueba, suena una campana. Los jueces califican cuatro aspectos: el jinete, el caballo, las espuelas y la elegancia. La vestimenta del jinete está reglamentada para mantener las tradiciones gauchas. Entre los torneos de jineteada gaucha, se destaca el “Festival Nacional e Internacional de la Doma y Folcklore de Jesús María”, que se realiza anualmente, en enero, en la provincia de Córdoba.28
Los deportes relacionados con caballos plantean un riesgo de lesiones vertebrales comparable con el motociclismo según series publicadas recientemente. Dicho riesgo estaría relacionado con la asimetría ponderal y biomecánica entre el ser humano y el caballo, este animal puede llegar a pesar alrededor de 500 kg, galopar a una velocidad de 50-65 km/h y patear con una fuerza 1,8 veces superior a su peso.9 En diversas series publicadas, se ha estimado un mayor morbimortalidad en el esqueleto axial: cráneo, tórax y columna vertebral. El porcentaje de lesiones vertebrales varía entre el 13% y el 17%. Siebenga y cols., en una serie de 32 fracturas vertebrales en jinetes, refieren la unión toracolumbar como topografía predominante y las fracturas por compresión como el mecanismo más frecuente, y solo tres casos de fracturas lumbares bajas.9
La menor frecuencia de las lesiones vertebrales en la columna lumbar baja podría asociarse a una biomecánica diferente: mayor movilidad en flexo-extensión, estabilidad proporcionada por los ligamentos iliolumbares y unión al anillo pelviano.3 El interés por este tipo de lesiones reside en el eventual daño neurológico en la cauda equina, efecto sobre la lordosis fisiológica y el potencial desequilibrio sagital.3,5 El plan terapéutico propuesto en la bibliografía incluye técnicas de reducción indirecta, fusión corta posterior, fusión larga posterior, corpectomía anterior y fusión intersomática, y se han comunicado las siguientes complicaciones: síndrome de la espalda plana, seudoartrosis y falla del implante.2,8 Por lo expuesto, consideramos de interés los casos presentados, pues representan lesiones graves con compromiso del canal y lesión dural a nivel de la cauda equina donde la vía posterior única permitió, en nuestras manos, abarcar el conjunto de la lesión: reducción de la fractura, descompresión, extracción de fragmentos del muro posterior intradurales, duroplastia, recuperación de la lordosis fisiológica y estabilización, con buena evolución a los dos años de seguimiento.29,30
Contamos con un registro fotográfico de ambos pacientes, que atestigua el mecanismo de lesión idéntico por el voleo del animal y la compresión lumbopelviana. Por este motivo, creemos que merece una descripción particular que podría ser útil para valorar el espectro de lesiones de los deportistas ecuestres que practican jineteada gaucha, así como rodeo americano. Boham y O’Connell describieron un mecanismo inusual de lesión en atletas de rodeo que produce una fractura vertebral torácica durante el corcoveo del animal y la consiguiente flexo-extensión alternante del tronco del jinete.10 Kaufman describió un mecanismo similar en fracturas lumbares de tipo estallido como consecuencia del impacto vehicular frontal horizontal, con una fuerza directa axial compresiva transmitida a través de la pelvis y el isquion a la columna lumbar del conductor sentado.31
Se debe sospechar este tipo de lesión en accidentes por voleo del animal con aprisionamiento del jinete. Es preciso llevar a cabo estudios biomecánicos que corroboren el desarrollo de una fuerza axial transmitida desde la pelvis y el sacro hasta la columna lumbar baja, y que confirme la hipótesis de los autores del “impactor sacropelviano”.

Conflicto de intereses: Los autores no declaran conflictos de intereses.

Bibliografía

1. Wood KB, Li W, Lebl DS, Ploumis A. Management of thoracolumbar spine fractures. Spine J 2014;14(1):145-64. https://doi.org/10.1016/j.spinee.2012.10.041

2. An HS, Vaccaro A, Cotler JM, Lin S. Low lumbar burst fractures: comparison among body cast, Harrington rod, Luque rod, and Steffee plate. Spine 1991;16(8 Suppl):S440-4. PMID: 1838448

3. Seybold EA, Sweeney CA, Fredrickson BE, Warhold LG, Bernini PM. Functional outcome of low lumbar burst fractures: a multicenter review of operative and nonoperative treatment of L3-L5. Spine 1999;24(20):2154-61. https://doi.org/10.1097/00007632-199910150-00016

4. Levine AM, Edwards CC. Low lumbar burst fractures reduction and stabilization using the modular spine fixation system. Orthopedics 1988;11(10):1427-32. PMID: 3226991

5. Lehman RA, Paik H, Eckel TT, Helgeson MD, Cooper PB, Bellabarba C. Low lumbar burst fractures: a unique fracture mechanism sustained in our current overseas conflicts. Spine J 2012;12(9):784-90. https://doi.org/10.1016/j.spinee.2011.09.005

6. Dai LY. Low lumbar spinal fractures: management options. Injury 2002;33(7):579-82. https://doi.org/10.1016/s0020-1383(02)00021-9

7. Butler JS, Fitzpatrick P, Mhaolain AMN, Synnott K, O’Byrne JM. The management and functional outcome of isolated burst fractures of the fifth lumbar vertebra. Spine 2007;32(4):443-7. https://doi.org/10.1097/01.brs.0000255076.45825.1e

8. Mahar A, Kim C, Wedemeyer M, Mitsunaga L, Odell T, Johnson B, et al. Short-segment fixation of lumbar burst fractures using pedicle fixation at the level of the fracture. Spine 2007;32(14):1503-7. https://doi.org/10.1097/BRS.0b013e318067dd24

9. Siebenga J, Segers MJ, Elzinga MJ, Bakker FC, Haarman HJ, Patka P. Spine fractures caused by horse riding. Eur Spine J 2006;15(4):465-71. https://doi.org/10.1007/s00586-005-1012-5

10. Boham M, O’Connell K. Unusual mechanism of injury resulting in a thoracic Chance fracture in a rodeo athlete: a case report. J Athl Train 2014;49(2):274-279. https://doi.org/10.4085/1062-6050-48.6.06

11. Papachristos A, Edwards E, Dowrick A, Gosling C. A description of the severity of equestrian-related injuries (eris) using clinical parameters and patient-reported outcomes. Injury 2014;45(9):1484-7. https://doi.org/10.1016/j.injury.2014.04.017

12. Triantafyllopoulos I, Panagopoulos A, Sapkas G. Mid-thoracic spinal injuries during horse racing: report of 3 cases and review of causative factors and prevention measurements. Case Rep Orthop 2013;2013:715409. https://doi.org/10.1155/2013/715409

13. Carrillo EH, Varnagy D, Bragg SM, Levy J, Riordan K. Traumatic injuries associated with horseback riding. Scand J Surg 2007;96(1):79-82. https://doi.org/10.1177/145749690709600115

14. Young JD, Gelbs JC, Zhu DS, Gallacher SE, Sutton KM, Blaine TA. (2015). Orthopaedic injuries in equestrian sports: A current concepts review. Orthop J Sports Med 2015;3(9):2325967115603924. https://doi.org/10.1177/2325967115603924

15. Meyers MC, Laurent CM. The Rodeo Athlete. Sports Med 2010;40(10):817-39. https://doi.org/10.2165/11535330-000000000-00000

16. Loder RT. The demographics of equestrian-related injuries in the United States: injury patterns, orthopedic specific injuries, and avenues for injury prevention. J Trauma Acute Care Surg 2008;65(2):447-60. https://doi.org/10.1097/TA.0b013e31817dac43

17. Hitchens PL, Hill AE, Stover SM. Jockey falls, injuries, and fatalities associated with Thoroughbred and Quarter Horse racing in California, 2007-2011. Orthop J Sports Med 2013;1(1):2325967113492625. https://doi.org/10.1177/2325967113492625

18. Oh J, Oh HM, Lee JI. Horseback riding-related vertebral compression fracture from walking in women with low bone mineral density: reports of two cases. Curr Sports Med Rep 2016;15(1):38-40. https://doi.org/10.1249/JSR.0000000000000221

19. Vaccaro AR, Oner C, Kepler CK, Dvorak M, Schnake K, Bellabarba C, et al. AOSpine thoracolumbar spine injury classification system: fracture description, neurological status, and key modifiers. Spine 2013;38(23):2028-37. https://doi.org/10.1097/BRS.0b013e3182a8a381

20. Kirshblum SC, Burns SP, Biering-Sorensen F, Donovan W, Graves DE, Jha A, et al. International standards for neurological classification of spinal cord injury (revised 2011). J Spinal Cord Med 2011;34(6):535-46. https://doi.org/10.1179/204577211X13207446293695

21. Hashimoto T, Kaneda K, Abumi K. Relationship between traumatic spinal canal stenosis and neurological deficits in thoracolumbar burst fractures. Spine (Phila Pa 1976) 1990;13:1268-72. https://doi.org/10.1097/00007632-198811000-00011

22. Keynan O, Fisher CG, Vaccaro A, Fehlings MG, Oner FC, Dietz J, et al. Radiographic measurement parameters in thoracolumbar fractures: a systematic review and consensus statement of the spine trauma study group. Spine 2006;31(5):E156-E165. https://doi.org/10.1097/01.brs.0000201261.94907.0d

23. Jiang SD, Wu QZ, Lan SH, Dai LY. Reliability of the measurement of thoracolumbar burst fracture kyphosis with Cobb angle, Gardner angle, and sagittal index. Arch Orthop Trauma Surg 2012;132(2):221-5. https://doi.org/10.1007/s00402-011-1394-2

24. Fairbank J, Couper J, Davies J, O´Brien JP. The Oswestry low back pain questionnaire. Physiotherapy 1980;66:271- 3. PMID: 6450426

25. Erickson DL, Lloyd L, Leider JR, Brown WE. One-stage decompression-stabilization for thoracolumbar fractures. Spine 1977;2(1):53-6.

26. Shaw B, Mansfield FL, Borges L. One-stage posterolateral decompression and stabilization for primary and metastatic vertebral tumors in the thoracic and lumbar spine. J Neurosurg 1989;70(3):405-10. https://doi.org/10.3171/jns.1989.70.3.0405

27. Heinig CA. Eggshell procedure. En: Luque ER (ed.). Segmental spinal instrumentation. Thorofare, NJ: Slack; 1984:221-30.

28. Testa, Analía H. Rincón Gaucho: Antología del Suplemento Campo de La Nación. Emecé. Buenos Aires, 2004. Testa AH (ed.). ISBN: 950-04-2538-6.

29. McCormack T, Karaikovic E, Gaines RW. The load sharing classification of spine fractures. Spine (Phila Pa 1976) 1994;19(15):1741-44. https://doi.org/10.1097/00007632-199408000-00014

30. Jeong WJ, Kim JW, Seo DK, Lee HJ, Kim JY, Yoon JP, et al. Efficiency of ligamentotaxis using PLL for thoracic and lumbar burst fractures in the load-sharing classification. Orthopedics 2013;36(5):e567-e574. https://doi.org/10.3928/01477447-20130426-17

31. Kaufman RP, Ching RP, Willis MM, Mack CD, Gross JA, Bulger EM. Burst fractures of the lumbar spine in frontal crashes. Accid Anal Prev 2013;59:153-63. https://doi.org/10.1016/j.aap.2013.05.023