INVESTIGACIÓN CLÍNICA

¿Tardan más en consolidar las fracturas asociadas a bifosfonatos?

 

Fernando Vanoli, Luciano Gentile, Alejandra B. Juarez, Marcos S. Eluani, Ignacio Pioli, Bartolomé Luis Allende

Servicio de Traumatología y Ortopedia, Sanatorio Allende, Córdoba, Argentina
Dr. Fernando Vanoli • fer_vanoli@hotmail.com http://orcid.org/0000-0002-5667-9716

ORCID de L. Gentile: http://orcid.org/0000-0002-8291-2200
ORCID de A. B. Juarez: http://orcid.org/0000-0001-8509-8737
ORCID de M. S. Eluani: https://orcid.org/0000-0002-2594-8143
ORCID de I. Pioli: http://orcid.org/0000-0001-8697-1980
ORCID de B. L. Allende: http://orcid.org/0000-0003-2757-4381

http://dx.doi.org/10.15417/issn.1852-7434.2019.84.4.917

Recibido el 23-10-2018.
Aceptado luego de la evaluación el 4-6-2019


Resumen

Introducción: Los bifosfonatos evolucionaron como el pilar para el tratamiento de la osteoporosis, reduciendo la incidencia de fracturas. Recientemente, varias publicaciones describieron la aparición de fracturas atípicas de fémur de baja energía asociadas con el uso de bifosfonatos. El objetivo de este estudio fue evaluar el tiempo promedio de consolidación de las fracturas atípicas de fémur asociadas al tratamiento con bifosfonatos comparado con el de un grupo de control. Materiales y Métodos: Se evaluó, en forma retrospectiva, a 34 mujeres (edad promedio 74 años) con fracturas atípicas; 16 de ellas habían recibido bifosfonatos, al menos, por cinco años. Fueron tratadas entre 2006 y 2017, y estabilizadas con un clavo cefalomedular. Este grupo fue comparado con un grupo de control de similares características. Resultados: Veintidós tenían fracturas subtrocantéricas y 12, diafisarias. El 14% de las que tomaron bifosfonatos y fueron operadas requirió una revisión frente al 5,5% del grupo de control. El tiempo promedio de consolidación fue mayor en las tratadas con bifosfonatos (8.5 vs. 6 meses), con una diferencia estadísticamente significativa (p <0,001). Conclusiones: El beneficio del tratamiento con bifosfonatos en la prevención de fracturas es superior al riesgo de fracturas atípicas; sin embargo, es importante evaluar la relación riesgo-beneficio en cada paciente al comienzo y durante el tratamiento, teniendo en cuenta que, pese a esto, el tiempo de curación es más largo.

Palabras clave: Bifosfonatos; Fracturas atípicas de fémur; Osteoporosis.

Nivel de Evidencia: IV

Abstract

Does bone healing take longer in fractures treated with bisphosphonates?

Objectives: Bisphosphonates have become the gold standard treatment for osteoporosis, since they reduce the incidence of fractures. Recently, several papers described the occurrence of low-energy atypical femoral fractures associated with the use of bisphosphonates. The objective of this study was to compare the average time to healing of atypical femoral fractures in patients who received bisphosphonates and in a control group. Materials and Methods: We retrospectively evaluated 34 patients with atypical femoral fractures, 16 of whom had received treatment with bisphosphonates for at least 5 years, between 2006 and 2017, and whose fractures were stabilized with a cephalomedullary nail. They were compared with a control group of similar characteristics. Results: All the patients were female, with an average age of 74 years. Twenty-two fractures were subtrochanteric, while 12 involved the femoral shaft. Fourteen percent (14%) of the patients who received bisphosphonates and surgical management required a revision surgery, while 5.5% of the control group did not. The average time to bone healing was longer in those treated with bisphosphonates (8.5 months vs. 6 months), which was statistically significant (p <0.001). Conclusions: The benefits of using bisphosphonates for fracture prevention outweigh the risk of atypical fractures. However, it is important to evaluate the risk-benefit ratio in each patient at the beginning of the treatment and during the course of it, since, despite the benefits, healing time is longer.

Keywords: Bisphosphonates; Atypical femoral fractures; Osteoporosis.

Level of Evidence: IV


 

Introducción

Los bifosfonatos se han convertido en un pilar fundamental para el tratamiento de la osteoporosis, al aumentar la densidad mineral ósea y prevenir las fracturas por fragilidad en pacientes con dicha enfermedad.1-7 Como resultado de la inhibición de la resorción ósea (a través de la inhibición de los osteoclastos), los bifosfonatos pueden causar una disminución del remodelamiento con acumulación de microtraumatismos o microdaño que, por una falla en su reparación, alteran la calidad ósea.8-11 Esto puede comprometer las propiedades mecánicas y regenerativas del hueso, lo que da como resultado fracturas y retraso en la curación del hueso.8,10-14 Muchos estudios han documentado un mayor riesgo de fracturas de fémur atípicas relacionadas con los bifosfonatos (fracturas de baja energía).15-17
En varios estudios recientes, se han abordado el tratamiento quirúrgico, las complicaciones y las tasas de cicatrización de las fracturas femorales atípicas.18,19 Aunque todavía se desconoce el pronóstico preciso, un creciente consenso señala que el metabolismo óseo alterado causado por el uso prolongado de bifosfonatos afectaría negativamente la cicatrización ósea, incluso después de la osteosíntesis.20-22 La curación tardía o fracasada de la fractura se está convirtiendo en una preocupación importante después de la estabilización de la fractura en pacientes que reciben bifosfonatos.23
Es fundamental determinar qué factores tienen un impacto positivo o negativo en la curación de las fracturas femorales atípicas. El objetivo de este estudio fue evaluar el tiempo promedio de consolidación de las fracturas atípicas de fémur asociadas al consumo de bifosfonatos comparado con el de un grupo de control.

Materiales y Métodos

A partir de una base de datos operativa de cuatro cirujanos, se identificó, en forma retrospectiva, a pacientes que habían sido tratados inicialmente por fracturas de fémur, que abarcaban desde la región subtrocantérica hasta la región supracondílea, entre 2006 y 2017, y que estaban tomando algún bifosfonato cuando sufrieron una fractura atípica de fémur, y lo habían estado haciendo, por lo menos, cinco años; y con un antecedente de traumatismo mínimo o nulo, y se los comparó con un grupo de control, de edad y sexo similares y que habían sufrido una fractura que abarcaba desde la región subtrocantérica hasta la región supracondílea, y que no consumían bifosfonatos cuando se fracturaron. El trauma mínimo se definió como caída estando en bipedestación o de su propia altura.24 El médico interrogó a todos los pacientes con fracturas para averiguar si estaban tomando bifosfonatos o si los habían consumido, y el tiempo de consumo.
Se excluyó a aquellos con lesiones de alta energía, con cáncer en los cinco años anteriores y con enfermedades asociadas con fractura patológica (p. ej., hiperparatiroidismo, insuficiencia renal, osteodistrofia u osteomalacia). Las fracturas debían incluir, al menos, cuatro de las siguientes características: 1) fractura atraumática o de bajo trauma del fémur, 2) fractura no conminuta o mínimamente conminuta, 3) línea de fractura originada en la corteza lateral y orientada en dicha forma, aunque puede volverse oblicua a medida que pasa medialmente a través del fémur, 4) fracturas completas que se extienden a través de ambas corticales y pueden estar asociadas a una espícula medial; fracturas incompletas que afectan solo a la corteza lateral y 5) engrosamiento localizado en el periostio o en el endostio de la corteza lateral, presente en el lugar de la fractura, según los criterios de la American Society for Bone and Mineral Research.25
Se registraron, en forma retrospectiva, los datos demográficos (edad, sexo), las comorbilidades, las características de la fractura y la cirugía (inclusive el mecanismo de lesión, la localización de la fractura y el intervalo de tiempo entre la fractura y la cirugía) de cada paciente. Todas las fracturas se fijaron con un clavo cefalomedular bloqueado estáticamente como tratamiento de primera línea. La cicatrización de la fractura se definió como puente óseo en radiografías anteroposteriores y laterales.26 Se definió una consolidación exitosa cuando las fracturas consolidaron en un período <6 meses tras la cirugía, mientras que se consideró retraso de la consolidación cuando las fracturas no consolidaron en este tiempo. La consolidación fue juzgada por los cirujanos utilizando los siguientes criterios: 1) capacidad de descargar completamente peso, 2) sin dolor en el sitio de la fractura y 3) signos radiográficos de consolidación. Todos los análisis se llevaron a cabo con el programa Stata 14.0 (Statacorp LP. College Station, TX, EE.UU., 2015).

Resultados

Dieciséis de los 34 pacientes estudiados recibieron bifosfonatos, todos eran mujeres. El 50% había consumido estos agentes por más de cinco años. La edad promedio era de 74 años (desviación estándar [DE] =12), el 10% tenía <50 años, sin diferencias significativas entre los dos grupos (p = 0,502). El 14% de las pacientes que tomaron bifosfonatos y fueron operadas necesitaron una revisión, mientras que sólo el 5,5% del grupo de control requirió una nueva operación (p = 0,051). Veintidós de las 34 mujeres tenían fracturas subtrocantéricas y 12 eran diafisarias. El 68% de las pacientes con prescripción de bifosfonatos tenía una fractura de tipo diafisaria; mientras que el 88% de las que no realizaron dicho tratamiento (p = 0,001) sufrió una fractura subtrocantérica; no hubo diferencias en relación con el fémur (derecho o izquierdo, p = 0,746).
El tiempo de consolidación se asoció significativamente (p <0,001) con el tratamiento con bifosfonatos, fue aproximadamente dos veces mayor comparado con las pacientes que no recibieron la medicación (independientemente del tiempo de tratamiento). El tiempo promedio de curación en pacientes sin consumo de bifosfonatos fue de seis meses (DE 1,5) (con percentiles 25 y 75 iguales a 4 meses y 10 meses, respectivamente), mientras que, en el grupo con medicación, fue 8.5 meses (DE 1,7), un 10% de esas pacientes requirió más de 10 meses para la curación (apenas un 5%, menos de 5 meses). Esto fue independiente del período de ingesta (inferior o superior a cinco años; p = 0,791), esto es, el tiempo de curación del grupo de mujeres que tomaron el bifosfonato durante menos de cinco años fue semejante al informado, en promedio, por las que tomaron más de cinco años, ambos significativamente mayores que el del grupo sin medicamentos (p = 0,0049) (Figura 1).


Figura 1.
Diagramas de cajas del tiempo de curación (meses) para los tres grupos de pacientes: con bifosfonatos más de 5 años, menos de 5 años y sin bifosfonatos (diferencia de medias entre [grupos con medicación] versus sin bifosfonatos. (p = 0,0049).

Discusión

Los bifosfonatos son los medicamentos prescritos con más frecuencia para tratar enfermedades que se caracterizan por la resorción ósea mediada por los osteoclastos, como la osteoporosis, la enfermedad de Paget o algunos tumores primarios o metastásicos que afectan al hueso.27 Actualmente, el alendronato, el risedronato, el ibandronato y el ácido zoledrónico son los bifosfonatos más utilizados, y si bien difieren en su potencia, dosificación y modo de administración, todos han sido eficaces para prevenir fracturas, ya que reducen la resorción del hueso, aumentando su densidad y mejorando la conectividad entre las trabéculas.28,29
Se ha demostrado el beneficio a corto plazo de estos fármacos en pacientes con osteoporosis, al reducir el número de fracturas en mujeres posmenopáusicas; sin embargo, el uso prolongado está en discusión. En los últimos años, se han publicado casos de fracturas subtrocantéricas por estrés relacionadas con el uso prolongado de estos fármacos, fracturas típicamente transversales o ligeramente oblicuas, en ocasiones, bilaterales y simultáneas, que habitualmente se desplazan como consecuencia de traumatismos de baja energía o incluso espontáneamente.14,25,30-35
Si bien se desconoce su fisiopatogenia, el patrón fracturario transversal en la cara de tensión del fémur, el dolor antes de que la fractura sea radiográficamente evidente y la hipertrofia cortical lateral sugieren que se trata de fracturas por estrés y que la alteración en la remodelación ósea difícilmente permita su curación sin un tratamiento adecuado. El hecho de que la región proximal del fémur se encuentre sometida a grandes requerimientos biomecánicos podría explicar la localización de estas fracturas.32
Rio y cols.32 publicaron dos casos de fracturas desplazadas de fémur en pacientes con antecedentes de terapia con alendronato, a los que trataron con enclavado cefalomedular, con consolidación en ambos casos. En pacientes que recibían bifosfonatos en forma crónica, Weil19 reportó 17 fracturas desplazadas de fémur tratadas con enclavado endomedular y una tasa de consolidación del 54%, los casos restantes fueron sometidos a una cirugía de revisión. En nuestra serie de 34 fracturas, 18 (52,9%) consolidaron en los seis meses posteriores a la cirugía, mientras que las 16 restantes (47,1%), asociadas a bifosfonatos, tuvieron un retraso de la consolidación o no consolidaron. En un estudio previo que evaluó 41 fracturas atípicas de baja energía asociadas a más de cinco años de uso de bifosfonatos, el 98% (40 de 41) tenía consolidación radiográfica, en una media de 8.3 meses (rango 2-18).20 El tiempo promedio de cicatrización de casi ocho meses para esas fracturas parece ser más largo que el de las fracturas típicas del fémur, que cicatrizan en un promedio de 3-6 meses.
Kang22 y Thompson36 concluyeron en que el consumo más prolongado de bifosfonatos se asoció significativamente con una tasa más alta de consolidación problemática, lo cual coincide con los resultados de otros estudios. En nuestra investigación, no hallamos diferencia en el tiempo de consumo de bifosfonatos y curación exitosa o problemática. Todas las pacientes tratadas con bifosfonatos tuvieron una consolidación retrasada, sin importar el tiempo de consumo. Cabe esperar que dichas fracturas puedan terminar en seudoartrosis y consecuentemente en la falla del material de osteosíntesis. Por este motivo, estas fracturas deben tratarse en dos niveles: uno biomecánico y otro fisiopatológico. A nivel fisiopatológico, lo primero por considerar es la supresión inmediata del tratamiento antirresortivo en pacientes con fractura completa, incompleta o imágenes radiográficas que sugieran insuficiencia o fractura de estrés en evolución ante una fractura por bifosfonatos.37 Esta conducta puede disminuir hasta un 53% las posibilidades de sufrir una fractura contralateral. Mecánicamente se debe buscar una osteosíntesis que permita buen contacto de fragmentos y una rehabilitación rápida. Sin embargo, algunos estudios muestran que el 46% de los enclavados medulares requirieron revisión19 y existe la imposibilidad técnica de colocarlos cuando el canal medular está muy estrechado a causa del engrosamiento de las corticales.38
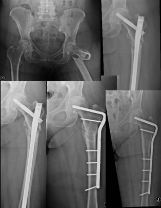
Si bien es cierto que no existen todavía estudios controlados que determinen el tipo de tratamiento quirúrgico para las fracturas, un reciente estudio de revisión39 sugiere que, en los casos de fractura atípica completa subtrocantérica o diafisaria femoral, y debido a que los bifosfonatos inhiben la remodelación osteoclástica, se recurra a un tratamiento que favorezca la curación por reparación encondral. Por ello, se recomienda, en este tipo de fracturas, el enclavado endomedular con clavo largo fresado que proteja de una posible nueva fractura de la diáfisis femoral.39 Los dispositivos tipo placa con tornillos deslizantes, al no favorecer la reparación encondral y al tener una alta tasa de fracasos, no estarían recomendados como método de osteosíntesis de este tipo de fracturas. En nuestra serie, utilizamos un clavo cefalomedular para todas las pacientes y tan solo en dos efectuamos una revisión quirúrgica, en la cual se escogió una placa de ángulo fijo como implante (Figura 2), con buenos resultados, y en el grupo de pacientes con fracturas subtrocantéricas sin asociación con bifosfonato, se efectuó la revisión con una artroplastia parcial de cadera. En la bibliografía, se han publicado casos de seudoartrosis en fracturas tratadas tanto con placas con tornillos deslizantes, como con clavos cefalomedulares. Nuestra experiencia nos revela que, para fracturas subtrocantéricas de trazo transversal u oblicuo corto, el enclavado endomedular es un diseño que otorga ventajas biomecánicas, manteniendo la biología del hematoma fracturario y, sumado a ello, permite una rehabilitación con carga precoz según tolerancia.


Figura 2.
Revisión de una fractura asociada al tratamiento con ibandronato, con clavo de ángulo fijo y curación.

A pesar de que muchos cirujanos suelen preferir el enclavado endomedular, en la actualidad, no hay un consenso sobre el tipo de tratamiento para estas fracturas. Este estudio tiene algunas limitaciones. En primer lugar, el número de pacientes fue limitado. No es fácil encontrar una gran cantidad de pacientes con una lesión que es relativamente poco frecuente. En segundo lugar, si bien analizamos ciertos factores intraoperatorios, como punto de entrada del clavo, correcta reducción, ruptura de la cortical, que son clave para la consolidación de la fractura, al momento de analizar los resultados, estos factores no fueron tenidos en cuenta.

Conclusiones

El beneficio del tratamiento con bifosfonatos en la prevención de fracturas es mayor que el riesgo de fracturas atípicas; sin embargo, es importante evaluar el riesgo-beneficio en cada paciente al inicio y durante el tratamiento. A pesar de que de los principales estudios de seguimiento a largo plazo con estos fármacos, se puede extrapolar una muy baja incidencia de fracturas atípicas subtrocantéricas y diafisarias de fémur, y que en los artículos publicados al respecto, hay muy pocos informes de casos clínicos o de revisiones que hayan demostrado un mayor riesgo de este tipo de fracturas entre los usuarios de esta medicación, su aparición ha generado, sin duda alguna, cierta alarma entre los profesionales que se dedican a este tipo de patología.

Conflicto de intereses: Los autores no declaran conflictos de intereses.

Bibliografía

1. Chrischilles EA, Dasbach EJ, Rubenstein LM, Cook JR, Tabor HK, Black DM; for the Fracture Intervention Trial Research Group. The effect of alendronate on fracture-related healthcare utilization and costs: The Fracture Intervention Trial. Osteoporos Int 2001;12:654-60. https://doi.org/10.1007/s001980170065

2. Harris ST, Watts NB, Genant HK, McKeever CD, Hangartner T, Keller M, et al. Effects of risedronate treatment on vertebral and nonvertebral fractures in women with postmenopausal osteoporosis: a randomized controlled trial. Vertebral Efficacy With Risedronate Therapy (VERT) Study Group. JAMA 1999;282:1344-52. https://doi.org/10.1001/jama.282.14.1344

3. Hosking D, Chilvers CE, Christiansen C, Ravn P, Wasnich R, Ross P, et al. Prevention of bone loss with alendronate in postmenopausal women under 60 years of age. Early Postmenopausal Intervention Cohort Study Group. N Engl J Med 1998;338:485-92. https://doi.org/10.1056/NEJM199802193380801

4. Karpf DB, Shapiro DR, Seeman E, Ensrud KE, Johnston CC Jr, Adami S, et al. Prevention of nonvertebral fractures by alendronate: a meta-analysis. Alendronate Osteoporosis Treatment Study Groups. JAMA 1997;277:1159-64. https://doi.org/10.1001/jama.1997.03540380073035

5. Liberman UA, Weiss SR, Broll J, Minne HW, Quan H, Bell NH, et al. Effect of oral alendronate on bone mineral density and the incidence of fractures in postmenopausal osteoporosis. The Alendronate Phase III Osteoporosis Treatment Study Group. N Engl J Med 1995;333:1437-43. https://doi.org/10.1056/NEJM199511303332201

6. Riggs BL, Melton LJ III. The prevention and treatment of osteoporosis. N Engl J Med 1992;327:620-7. https://doi.org/10.1056/NEJM199208273270908

7. Wells GA, Cranney A, Peterson J, Boucher M, Shea B, Robinson V, et al. Alendronate for the primary and secondary prevention of osteoporotic fractures in postmenopausal women. Cochrane Database Syst Rev 2008;CD001155. https://doi.org/10.1002/14651858.CD001155.pub2

8. Cao Y, Mori S, Mashiba T, Westmore MS, Ma L, Sato M, et al. Raloxifene, estrogen, and alendronate affect the processes of fracture repair differently in ovariectomized rats. J Bone Miner Res 2002;17:2237-46. https://doi.org/10.1359/jbmr.2002.17.12.2237

9. Isaacs JD, Shidiak L, Harris IA, Szomor ZL. Femoral insufficiency fractures associated with prolonged bisphosphonate therapy. Clin Orthop Relat Res 2010;468:3384-92. https://doi.org/10.1007/s11999-010-1535-x

10. Mashiba T, Hui S, Turner CH, Mori S, Johnston CC, Burr DB. Bone remodeling at the iliac crest can predict the changes in remodeling dynamics, microdamage accumulation, and mechanical properties in the lumbar vertebrae of dogs. Calcif Tissue Int 2005;77:180-5. https://doi.org/10.1007/s00223-005-1295-x

11. Mashiba T, Mori S, Burr DB, Komatsubara S, Cao Y, Manabe T, Norimatsu H. The effects of suppressed bone remodeling by bisphosphonates on microdamage accumulation and degree of mineralization in the cortical bone of dog rib. J Bone Miner Metab 2005;23(Suppl):36-42. https://doi.org/10.1007/BF03026321

12. Fisher JE, Rogers MJ, Halasy JM, Luckman SP, Hughes DE, Masarachia PJ, et al. Alendronate mechanism of action: geranylgeraniol, an intermediate in the mevalonate pathway, prevents inhibition of osteoclast formation, bone resorption, and kinase activation in vitro. Proc Natl Acad Sci 1999;96:133-8. https://doi.org/10.1073/pnas.96.1.133

13. Luckman SP, Hughes DE, Coxon FP, Graham R, Russell G, Rogers MJ. Nitrogen-containing bisphosphonates inhibit the mevalonate pathway and prevent post-translational prenylation of GTP-binding proteins, including Ras. J Bone Miner Res 1998;13:581-9. https://doi.org/10.1359/jbmr.1998.13.4.581

14. Odvina CV, Zerwekh JE, Rao DS, Maalouf N, Gottschalk FA, Pak CY. Severely suppressed bone turnover: a potential complication of alendronate therapy. J Clin Endocrinol Metab 2005;90:1294-1301. https://doi.org/10.1210/jc.2004-0952

15. Ahn JK, Lee J, Cha HS, Koh EM. Non-traumatic fracture of the femoral shaft in a patient taking long-term bisphosphonate therapy. Rheumatol Int 2011;31:973-5. https://doi.org/10.1007/s00296-010-1477-3

16. Aspenberg P. Bisphosphonate-induced fractures: nature strikes back? Acta Orthop 2008;79:459-60. https://doi.org/10.1080/17453670710015427

17. Goh S-K, Yang KY, Koh JS, Wong MK, Chua SY, Chua DT, Howe TS. Subtrochanteric insufficiency fractures in patients on alendronate therapy: a caution. J Bone Joint Surg Br 2007;89:349-53. https://doi.org/10.1302/0301-620X.89B3.18146

18. Chan SS, Rosenberg ZS, Chan K, Capeci C. Subtrochanteric femoral fractures in patients receiving long-term alendronate therapy: imaging features. AJR Am J Roentgenol 2010;194(6):1581-6. https://doi.org/10.2214/AJR.09.3588

19. Weil YA, Rivkin G, Safran O, Liebergall M, Foldes AJ. The outcome of surgically treated femur fractures associated with long-term bisphosphonate use. J Trauma 2011;71(1):186-90. https://doi.org/10.1097/TA.0b013e31821957e3

20. Egol KA, Park JH, Rosenberg ZS, Peck V, Tejwani NC. Healing delayed but generally reliable after bisphosphonateassociated complete femur fractures treated with IM nails. Clin Orthop Relat Res 2014;472(9):2728-34. https://doi.org/10.1007/s11999-013-2963-1

21. Prasarn ML, Ahn J, Helfet DL, Lane JM, Lorich DG. Bisphosphonate-associated femur fractures have high complication rates with operative fixation. Clin Orthop Relat Res 2012;470(8):2295-301. https://doi.org/10.1007/s11999-012-2412-6

22. Kang JS, Won YY, Kim JO, Min BW, Lee KH, Park KK, et al. Atypical femoral fractures after anti-osteoporotic medication: a Korean multicenter study. Int Orthop 2014;38(6):1247-53. https://doi.org/10.1007/s00264-013-2259-9

23. Grady MK, Watson JT, Cannada LK. Treatment of femoral fracture nonunion after long-term bisphosphonate use. Orthopedics 2012;35(6):e991-5. https://doi.org/10.3928/01477447-20120525-51

24. Sasaki S, Miyakoshi N, Hongo M, Kasukawa Y, Shimada Y. Low-energy diaphyseal femoral fractures associated with bisphosphonate use and severe curved femur: a case series. J Bone Miner Metab 2012;30(5):561-7. https://doi.org/10.1007/s00774-012-0358-0

25. Shane E, Burr D, Abrahamsen B, Adler RA, Brown TD, Cheung AM, et al. Atypical subtrochanteric and diaphyseal femoral fractures: second report of a task force of the American Society for Bone and Mineral Research. J Bone Miner Res 2014;29(1):1-23. https://doi.org/10.1002/jbmr.1998

26. Whelan DB, Bhandari M, McKee MD, Guyatt GH, Kreder HJ, Stephen D, et al. Interobserver and intraobserver variation in the assessment of the healing of tibial fractures after intramedullary fixation. J Bone Joint Surg Br 2002;84(1):15-8. https://doi.org/10.1302/0301-620x.84b1.11347

27. Morris C, Einhorn T. Bisphosphonates in Orthopaedic Surgery. J Bone Joint Surg Am 2005;87:1609-618. https://doi.org/10.2106/JBJS.D.03032

28. Gehrig L, Lane J, O’Connor M. Osteoporosis: management and treatment strategies for orthopaedic surgeons. J Bone Joint Surg Am 2008;90(6):1362-74. PMID: 18519332

29. Lyles K, Colón-Emeric C, Magaziner J, Adachi J, Pieper C. Zoledronic acid and clinical fractures and mortality after hip fracture. N Engl J Med 2007;357:1799-809. https://doi.org/10.1056/NEJMoa074941

30. Capeci C, Tejwani N. Bilateral low-energy simultaneous or sequential femoral fractures in patients on long-term Alendronate therapy. J Bone Joint Surg Am 2009;91:2556-61. https://doi.org/10.2106/JBJS.H.01774

31. Puhaindran M, Farooki A, Steensma M, Hameed M, Healey J, Boland P. Atypical sub-trochanteric femoral fractures in patients with skeletal malignant involvement treated with intravenous bisphosphonates. J Bone Joint Surg Am 2011;93:1235-42. https://doi.org/10.2106/JBJS.J.01199

32. Rio M, Salonia P, Gabas D, Gotter G, Barrera Oro F. Fracturas de fémur asociadas al consumo prolongado de alendronato. Informe de dos casos. Rev Asoc Argent Ortop Traumatol 2011;76:74-76. http://www.scielo.org.ar/pdf/raaot/v76n1/v76n1a12.pdf

33. Fowler J, Criner K, Craig M. Prophylactic intramedullary fixation for bisphosphonate-related subtrochanteric stress fracture. Orthopedics 2012;35(6):e954-7. https://doi.org/10.3928/01477447-20120525-41

34. Yoon R, Beebe K, Benevenia J. Prophylactic bilateral intramedullary femoral nails for bisphosphonate-associated signs of impending subtrochanteric hip fracture. Orthopedics 2010;33(4). https://doi.org/10.3928/01477447-20100225-21

35. Banffy M, Vrahas M, Ready J, Abraham J. Nonoperative versus prophylactic treatment of bisphosphonateassociated femoral stress fractures. Clin Orthop Relat Res 2011;469(7):2028-34. https://doi.org/10.1007/s11999-011-1828-8

36. Thompson RN, Phillips JR, McCauley SH, Elliott JR, Moran CG. Atypical femoral fractures and bisphosphonate treatment: experience in two large United Kingdom teaching hospitals. J Bone Joint Surg Br 2012;94(3):385-90. https://doi.org/10.1302/0301-620X.94B3.27999

37. Unnanuntana A, Saleh A, Mensah KA, Kleimeyer JP, Lane JM. Atypical femoral fractures: what do we know about them? AAOS Exhibit Selection. J Bone Joint Surg Am 2013;95:e8(1-13). https://doi.org/10.2106/JBJS.L.00568

38. Issack PS. Bisphosphonate-associated subtrochanteric femoral fracture with profound proximal cortical thickening and canal narrowing requiring blade-plate fixation. A report of two cases. J Bone Joint Surg Case Connect 2014;24:e87. https://doi.org/10.2106/JBJS.CC.N.00026

39. Shane E, Burr D, Ebling PR, Abrahamsen B, Adler RA, Brown TD, et al. Atypical subtrochanteric and diaphyseal femoral fractures: report of a task force of the American Society for Bone and Mineral Research. J Bone Miner Res 2010;25:2267-94. https://doi.org/10.1002/jbmr.253