PRESENTACIÓN DE CASOS

Osteopetrosis.
Presentación de dos casos

 

Juan Carlos Caruso, Juan Martín Patiño

Servicio de Cirugía de Mano, Hospital Militar Central “Cirujano Mayor Dr. Cosme Argerich”, Ciudad Autónoma de Buenos Aires, Argentina
Dr. Juan Carlos Caruso • carusojc@hotmail.com http://orcid.org/0000-0001-6729-2771
ORCID de J. M. Patiño: http://orcid.org/0000-0002-9036-0442

http://dx.doi.org/10.15417/issn.1852-7434.2019.84.4.869

Recibido el 24-6-2018.
Aceptado luego de la evaluación el 6-11-2018


Resumen

Las osteopetrosis (enfermedad de Albers-Schönberg) comprende un síndrome con cuatro tipos clásicos e instituye una displasia ósea secundaria a la falta de resorción de hueso por anormalidad de los osteoclastos, lo cual provoca un tejido óseo duro y quebradizo, propenso a fracturas difíciles de tratar quirúrgicamente. Se han publicado escasos artículos sobre el tema; por este motivo, decidimos presentar a dos pacientes con fracturas diafisarias de húmero con osteopetrosis, ambas tratadas en forma incruenta. Los objetivos son comunicar nuestra experiencia y el método de tratamiento de dicha afección y realizar una revisión bibliográfica acerca del tema. Creemos que el tratamiento de elección para las fracturas diafisarias de húmero en pacientes con osteopetrosis es el incruento, ya que su tipo de tejido óseo dificulta la implementación de cualquier osteosíntesis. Además, la colocación de implantes puede provocar algunas complicaciones, como infecciones, retraso de la consolidación y seudoartrosis. La cirugía se reserva para ciertos casos, como en pacientes con riesgo de desarrollar deformidades incapacitantes, aquellos que han sufrido fracturas repetidas, con retraso de la consolidación, seudoartrosis, quienes no responden al tratamiento incruento o con una deformidad previa.

Palabras clave: Osteopetrosis; Fractura de húmero; Osteoclastos.

Nivel de Evidencia: IV

Abstract

Osteopetrosis: two case reports

Osteopetrosis, also known as Albers-Schönberg disease, is a disorder that is divided into four types and characterized by bone dysplasia and lack of bone resorption due to abnormal osteoclastic activity, resulting in the development of brittle and denser bone tissue that is prone to fractures that are difficult to treat surgically. On this paper, we discuss the cases of two patients with osteopetrosis and humeral shaft fractures, both of whom received conservative management. The objectives of our paper are to discuss our experience in the management of these cases and to review the available literature. Conservative management provides the best outcome for humeral shaft fractures in patients with osteopetrosis, given that bone quality in these patients excludes osteosynthesis. In addition, the use of implants may lead to complications such as infections, delayed fracture healing and pseudarthrosis, among others. Surgery should be reserved for certain patients, such as those with delayed fracture healing, pseudarthrosis, history of recurrent fractures, pre-existing fracture deformity, and those at risk of developing disabling deformities or that do not respond to conservative management.

Keywords: Osteoclasts; Humeral fracture; Osteopetrosis.

Level of Evidence: IV


 

Introducción

La osteopetrosis (enfermedad de Albers-Schönberg) es un síndrome con un alto grado de variabilidad, que instituye una displasia ósea que se origina en la falta de resorción de hueso por anormalidad de los osteoclastos, esto provoca un tejido óseo duro y quebradizo, huesos anchos y cortos, propensos a fracturas difíciles de tratar quirúrgicamente. 1-4 Se diferencian cuatro tipos clásicos:

1. Osteopetrosis maligna, infantil o precoz (congénita)
2. Osteopetrosis benigna (tarda o retrasada)
3. Osteopetrosis intermedia
4. Deficiencia de anhidrasa carbónica (osteopetrosis con acidosis tubular, enfermedad del cerebro de mármol o enfermedad de Sly).1-4

Llevamos a cabo una búsqueda bibliográfica sobre dicha enfermedad, la cual nos reveló las escasas publicaciones al respecto; por lo tanto, decidimos comunicar dos casos de pacientes con fracturas diafisarias de húmero con osteopetrosis, ambas tratadas en forma incruenta.

Caso clínico 1

Mujer de 43 años, oficinista, con politraumatismos por un accidente automovilístico de alta energía: fractura subtrocantérica de fémur derecho, fractura del tercio medio del húmero derecho (Figura 1), fracturas de cúbito y radio distales derechos, y múltiples fracturas costales. Sin lesión nerviosa ni vascular. No tiene antecedentes familiares ni personales de relevancia.


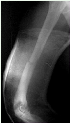
Figura 1.
Radiografías de diáfisis del húmero derecho obtenidas el día del traumatismo. Se observa una fractura transversal.

Se sospecha osteopetrosis al intentar la osteosíntesis de fémur, que resulta infructuosa debido a la extrema dureza de la cortical. Asimismo, se detecta estrechamiento del canal medular de los huesos largos con incremento de la densidad y el espesor de las corticales (Figura 2) y, en las radiografías de cráneo (Figura 3), hiperdensidad de los huesos de la base que, en conjunto con las muestras de anatomía patológica tomadas durante la cirugía de fémur, confirman el diagnóstico de osteopetrosis. Se la trata con un yeso conformado en el húmero hasta la consolidación radiográfica a los tres meses (Figuras 4 y 5). Los controles radiográficos se realizaron a la semana y a los 1, 3, 6, 9 y 12 meses. El puntaje de la UCLA para hombro fue de 30, un resultado excelente. En cuanto al puntaje de la Clínica Mayo de codo fue de 100, para el que se evidenció solo la pérdida de 5º de extensión.


Figura 2.
Radiografía de diáfisis del húmero que muestra el aumento del espesor de la cortical.


Figura 3.
Radiografías de cráneo de perfil que muestran hiperdensidad de los huesos de la base del cráneo.


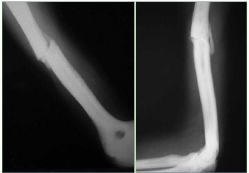
Figura 4.
Radiografía de diáfisis del húmero derecho luego de la reducción.


Figura 5.
Radiografía de diáfisis del húmero derecho consolidada.

Caso clínico 2

Varón de 28 años que sufrió una caída sobre su brazo derecho mientras montaba a caballo. El examen radiográfico revela una fractura transversal mediodiafisaria del húmero derecho (Figura 6), sin compromiso neurovascular asociado. No tiene otras enfermedades, ni antecedentes familiares relevantes. Al igual que la paciente anterior, se observan disminución del diámetro del canal medular y esclerosis de la base del cráneo, lo cual, junto con las manifestaciones radiográficas del caso anterior, lleva a la sospecha clínica de osteopetrosis. La fractura consolida en eje a los tres meses con yeso conformado (Figura 7), y el paciente retorna a sus actividades habituales. El seguimiento fue igual al del caso anterior. El puntaje de la UCLA fue de 30, un resultado excelente. Por otro lado, el puntaje de la Clínica Mayo fue de 100; en este caso, se perdieron 10º de extensión.


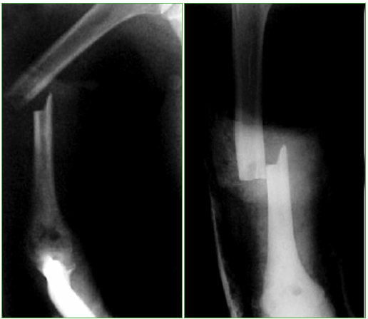
Figura 6.
Radiografía de diáfisis del húmero derecho tomada el día del traumatismo. Se observa una fractura transversal.


Figura 7.
Radiografías al final del tratamiento. Consolidación de la fractura.

Discusión

Los objetivos de este trabajo son mostrar nuestra experiencia y el método de tratamiento de esta enfermedad y realizar una revisión bibliográfica acerca del tema. Existen pocas series publicadas de casos relacionadas con el tratamiento de las fracturas de húmero en pacientes con osteopetrosis, y menos aún, aquellos tratados sin cirugía. Desde su primera descripción en 1904, no se ha publicado gran cantidad de casuística en la literatura mundial (aproximadamente 300 casos) y la mayoría son casos pediátricos; sin embargo, pocas publicaciones ofrecen información sobre el manejo de estos pacientes.
Los casos antes descritos corresponden al tipo benigno o autosómico dominante que se presentan en la edad adulta. Estos pacientes, a diferencia de los que padecen la forma maligna o autosómica recesiva, llevan una vida normal, y se reconoce su enfermedad luego de sufrir una fractura de algún hueso largo, habitualmente transversal, como consecuencia de un traumatismo menor.
Armstrong y cols.5 describieron, en una revisión bibliográfica, tres pacientes con cuatro fracturas de húmero, tres de las cuales fueron tratadas en forma incruenta, pero estos casos eran pacientes pediátricos. Este reporte multicéntrico de Armstrong y cols., que incluyó a 72 pacientes (rango etario de 6 semanas a 50 años) revela, en relación con las fracturas de húmero, que un paciente con osteopetrosis maligna tuvo retraso de la consolidación, pese a sus 6 semanas de vida; otro paciente con fractura bilateral requirió reducción abierta y osteosíntesis en uno de sus húmeros, y el húmero contralateral consolidó luego de cuatro meses con tratamiento ortopédico. El tercer caso fue un adolescente con una fractura patológica en el sitio de biopsia, que consolidó con tratamiento incruento. Para autores, como Bhargava,3 el uso de yesos es un tratamiento exitoso, en la actualidad, para la mayoría de las fracturas del miembro superior si el paciente sufre esta enfermedad.
Por su parte, Rafiq y cols.4 publicaron un caso de un paciente de 48 años con fractura de húmero que cursó con seudoartrosis luego del tratamiento no quirúrgico, durante tres meses. Los autores abordaron esta complicación colocando una osteosíntesis rígida (placa con tornillos) y la fractura consolidó en tres meses. Si se opta por la opción quirúrgica, pueden utilizarse placas con tornillos, preferentemente en adultos, no así en niños, en los que se elige el clavo endomedular por el mayor diámetro de su canal medular.3,5
Si se practica la cirugía, durante la perforación del hueso, se sugiere realizar el cambio de brocas y el enfriamiento periódico de la cortical ósea, esto ayuda a evitar la necrosis y el posterior aflojamiento del implante y la infección. Se sugiere evitar el uso de martillos, a fin de impedir la rotura adicional del hueso, si ello ocurriera, el enclavado endomedular es el método elegido.3
Creemos que el tratamiento de elección para las fracturas diafisarias de húmero en pacientes con osteopetrosis es el incruento, ya que como está ampliamente documentado en la bibliografía, su tipo de tejido óseo dificulta la implementación de cualquier osteosíntesis. Además, la colocación de implantes puede causar complicaciones, como infecciones, retraso de la consolidación y seudoartrosis, entre otras. La cirugía se reserva para algunas circunstancias, como los pacientes con riesgo de desarrollar deformidades incapacitantes, aquellos que han sufrido fracturas repetidas, retraso de la consolidación, seudoartrosis, quienes no responden al tratamiento incruento o los que tienen una deformidad preexistente.2,4

Conflicto de intereses: Los autores no declaran conflictos de intereses.

Bibliografía

1. Granados Sandoval E, Martínez Estrada JG, Zepeda Cianca R, Trejo Pimentel A, Sandoval González C, Barrón JC. Osteopetrosis (enfermedad de Albers-Schonberg): reporte de un caso y revisión clínica. Med Int Mex 2007;23(6):542-5. https://www.medigraphic.com›cgi-bin›new›resumen

2. Landa J, Di Cesare N. Orthopaedic management of the patient with osteopetrosis. J Am Acad Orthop Surg 2007;15:654-62. https://doi.org/10.5435/00124635-200711000-00004

3. Bhargava A, Vagela M, Lennox CME. Challenges in the management of fractures in osteopetrosis. Review of literature and technical tips learned from long-term management of seven patients. Injury 2009;40:1167-71. https://doi.org/10.1016/j.injury.2009.02.009

4. Rafiq I, Kapoor1 A, Burton DJC, Haines JF. A new modality of treatment for non-united fracture of the humerus in a patient with osteopetrosis: a case report. J Med Case Reports 2009;3:15. https://doi.org/10.1186/1752-1947-3-15

5. Armstrong DG, Newfield JT, Gillespie R. Orthopedic management of osteopetrosis: results of a survey and review of the literature. J Pediatr Orthop 1999;19(1):122-32. PMID: 9890301