ACTUALIZACIÓN

 

Embolización arterial selectiva

 

Hernán G. Bertoni,* Victoria Bertoni,** Carlos M. Autorino,# Federico Manfrin##

*Servicio de Intervencionismo Oncológico, Instituto Alexander Fleming, Ciudad Autónoma de Buenos Aires, Argentina

**Diagnóstico por Imágenes, Hospital Italiano de Buenos Aires, Ciudad Autónoma de Buenos Aires, Argentina

#Servicio de Ortopedia y Traumatología, Hospital Universitario Austral, Buenos Aires, Argentina

##Unidad de Cirugía Reconstructiva de Cadera y Rodilla, Sanatorio Anchorena-Itoiz, Avellaneda, Buenos Aires, Argentina

 

RESUMEN

La osteoartritis de rodilla es la artropatía degenerativa más prevalente y una de las causas principales de dolor crónico y discapacidad. Su fisiopatología involucra desgaste condral, inflamación sinovial, angiogénesis patológica y neoinervación sensorial. El tratamiento varía desde medidas conservadoras hasta la artroplastia. un grupo de pacientes aún no candidatos quirúrgicos se beneficiarían de opciones mínimamente invasivas. La embolización arterial genicular surge como una alternativa prometedora al reducir la neovascularización y, de este modo, el dolor. Se han comunicado mejoras clínicas superiores al 70% y un perfil de seguridad favorable. Su indicación se ha extendido al dolor persistente después de una artroplastia y a otras entidades nosológicas musculoesqueléticas crónicas (capsulitis adhesiva), con resultados alentadores. Pese a la evidencia inicial prometedora, se necesitan ensayos controlados y un seguimiento prolongado para definir su rol en el manejo de la osteoartritis y otras enfermedades musculoesqueléticas y, de esta manera, poder incluirla en guías de tratamiento.

Palabras clave: Emboloterapia; embolización arterial selectiva; embolización de arterias geniculares; osteoartritis; gonartrosis; reemplazo total de rodilla doloroso; capsulitis adhesiva.

Nivel de Evidencia: IV

 

Selective Arterial Embolization

 

ABSTRACT

Knee osteoarthritis is the most prevalent degenerative arthropathy and one of the leading causes of chronic pain and disability. Its pathophysiology involves chondral wear, synovial inflammation, pathological angiogenesis, and sensory neoinnervation. Treatment options range from conservative measures to arthroplasty; a subset of patients who are not yet surgical candidates would benefit from minimally invasive alternatives. Genicular artery embolization has emerged as a promising option by reducing neovascularization and, consequently, pain. Clinical improvements greater than 70% and a favorable safety profile have been reported. Its indications have also been extended to persistent pain after arthroplasty and to other chronic musculoskeletal entities (e.g., adhesive capsulitis), with encouraging results. Despite this promising early evidence, controlled trials and long-term follow-up are needed to define its role in the management of osteoarthritis and other musculoskeletal diseases and, in turn, to support its inclusion in treatment guidelines.

Keywords: Embolotherapy; selective arterial embolization; genicular artery embolization; osteoarthritis; knee osteoarthritis; painful total knee arthroplasty; adhesive capsulitis.

Level of Evidence: IV

 

INTRODUCCIÓN

La osteoartritis es la enfermedad articular degenerativa más frecuente en el mundo y representa una de las principales causas de dolor crónico y discapacidad, especialmente en adultos mayores. La rodilla es la localización más afectada en personas de países desarrollados. Este cuadro tiene un impacto creciente en los sistemas de salud debido al envejecimiento poblacional y al aumento sostenido de la obesidad.1,2

Tradicionalmente, la osteoartritis se consideraba una enfermedad puramente degenerativa, atribuida al “desgaste” progresivo del cartílago articular. Sin embargo, en las últimas décadas, se ha reconocido que la inflamación crónica, particularmente en la membrana sinovial, juega un papel fundamental en su fisiopatología. El daño mecánico induce una respuesta inflamatoria sinovial que estimula la angiogénesis patológica y favorece un microambiente inflamatorio persistente, acelerando la degeneración articular. A este fenómeno se suma la neoinervación sensorial asociada a la neovascularización, que contribuye al dolor persistente característico de la enfermedad.3,4

Las estrategias terapéuticas disponibles abarcan desde medidas conservadoras, como modificación de hábitos, fisioterapia, analgésicos, antinflamatorios y administración intrarticular (ácido hialurónico, corticoides o plasma rico en plaquetas), hasta procedimientos quirúrgicos y, dentro de ellos, el reemplazo total de rodilla es la opción de elección para los casos avanzados y que no responden.

Sin embargo, en pacientes con osteoartritis leve o moderada que no responden adecuadamente al manejo conservador, pero que aún no son candidatos a la cirugía, persiste un desafío terapéutico significativo que ha motivado la búsqueda de alternativas mínimamente invasivas.

 

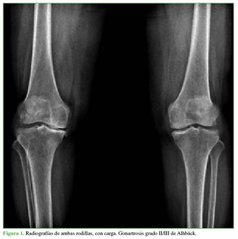
Caso de gonartrosis sintomática

Paciente 68 años de edad. Cirujano. Enfermedad articular degenerativa. Genu varo sintomático (Figura 1). Recientemente debió aumentar la dosis de la medicación analgésica y reducir la marcha.

 

 

 

 

 

 

En consultas previas, le han propuesto la administración intrarticular de ácido hialurónico y una artroplastia protésica.

En el momento de la consulta, refiere que ha rechazado ambas propuestas terapéuticas: a) no acepta la infiltración, ya que la rodilla evoluciona con deseje progresivo y b) no acepta aun la artroplastia protésica pues todavía no percibe una merma significativa para las actividades de la vida diaria y laboral.

Se le propone la embolización arterial selectiva (Figura 2).

 

 

 

 

 

 

 

El paciente refiere franco alivio sintomático tras la embolización (Figura 3).

Gracias al mejor conocimiento de los mecanismos fisiopatológicos de la osteoartritis, en los últimos años, se han desarrollado estrategias dirigidas a modular la inflamación y la neoangiogénesis sinovial. En este contexto, ha surgido la hipótesis de que la embolización de los neovasos sinoviales podría reducir el dolor al interrumpir el flujo sanguíneo patológico y la estimulación sensorial asociada. Asimismo, se ha planteado que la interrupción del ciclo inflamatorio podría retrasar la progresión estructural de la enfermedad.5-12

 

 

 

 

 

 

 

EMBOLIZACIÓN ARTERIAL GENICULAR

La embolización arterial genicular se presenta como una alternativa terapéutica mínimamente invasiva para pacientes con osteoartritis sintomática que no responden al tratamiento convencional, pero que no son candidatos inmediatos a una cirugía para la colocación de una prótesis.

La técnica consiste en la embolización superselectiva de ramas arteriales geniculares que irrigan áreas de neoangiogénesis sinovial, buscando una reducción controlada —aunque no la oclusión completa— del flujo hacia los vasos patológicos, con el objetivo de disminuir la inflamación y el dolor, minimizando, a su vez, el riesgo de isquemia en tejidos vecinos (Figura 4).13

 

 

 

 

 

 

Okuno y cols.5,6 fueron pioneros en la implementación clínica de esta técnica. En la última década, publicaron diversas series de casos y estudios prospectivos que documentaron mejoras significativas en el dolor y la función a corto y mediano plazo. A partir de estas experiencias iniciales, la embolización arterial genicular comenzó a ser adoptada por distintos Centros internacionales, consolidándose progresivamente como una opción terapéutica prometedora.

En múltiples estudios posteriores, se ha confirmado su eficacia e informado tasas de mejoría clínica superiores al 70% y reducciones consistentes en escalas de dolor, como la escala analógica visual, y en cuestionarios funcionales, como el Western Ontario and McMaster Universities Osteoarthritis Index.7,8

En años recientes, la embolización arterial genicular ha comenzado a emplearse también para tratar: a) el dolor persistente después de la artroplastia total de rodilla, una vez que se han descartado causas mecánicas o infecciosas como origen de los síntomas14-20 y b) la hemartrosis recurrente, tras descartar entidades clínicas “específicas” (coagulopatías, sinoviopatías hemorrágicas).21-23

 

Caso de hemartrosis recurrente

Hombre de 52 años, sometido a una revisión de la prótesis en 2 tiempos por una infección periprotésica. Reconstrucción con implante a bisagra rotatoria. Hemartrosis recurrente por pellizcamiento de fimbria sinovial (Figura 5).

Si bien la evidencia, en este escenario, aún es incipiente, los estudios disponibles sugieren que el procedimiento puede ofrecer reducciones significativas del dolor y mejoras sustanciales en la calidad de vida, manteniendo un perfil de seguridad favorable y con tiempos de recuperación breves.

 

 

 

 

 

En cuanto a la seguridad, la mayoría de los eventos adversos descritos han sido leves y autolimitados. El más frecuente es un dolor leve y transitorio después del procedimiento, que suele desaparecer con un tratamiento sintomático. En casos muy aislados, se han observado úlceras cutáneas superficiales relacionadas con una embolización no dirigida hacia ramas cutáneas, las cuales habitualmente evolucionan, de manera favorable, con medidas locales conservadoras. Esto siempre asociado al uso de agentes embolizantes definitivos. Estos hallazgos respaldan el perfil de seguridad de la embolización arterial genicular cuando se realiza mediante una técnica superselectiva y con una adecuada elección del agente embólico; asimismo, se destaca la importancia de la experiencia operatoria para minimizar riesgos y optimizar los resultados clínicos.18

Si bien la mayor parte de la experiencia acumulada se concentra en la osteoartritis de rodilla, la técnica ha comenzado a explorarse en otras enfermedades musculoesqueléticas asociadas a neovascularización patológica y dolor crónico, como la tendinopatía del manguito rotador, la epicondilitis lateral, la tendinopatía aquílea y la fascitis plantar. En estas entidades, la neovascularización peritendinosa suele acompañarse de neoinervación sensorial, perpetuando el dolor y la limitación funcional.

Estudios piloto y series de casos preliminares han mostrado que la embolización selectiva de estos vasos anómalos puede traducirse en una reducción del dolor y una mejoría funcional en pacientes que no responden a tratamientos conservadores, con un perfil de seguridad semejante al observado en la rodilla.24-34

A pesar de estos resultados alentadores, la evidencia actual tiene limitaciones: escaso número de ensayos controlados aleatorizados, heterogeneidad en los criterios de selección de pacientes, variabilidad en la técnica y en la elección de los agentes embólicos, y seguimiento clínico aún limitado en la mayoría de los estudios. Estas limitaciones impiden establecer conclusiones definitivas respecto a la duración del efecto y la necesidad de reintervenciones. Por ello, se requieren estudios prospectivos de mayor escala y un seguimiento prolongado que permitan definir, con mayor precisión, la eficacia, la seguridad y el papel de la embolización arterial genicular en el algoritmo terapéutico de la osteoartritis de rodilla y otras enfermedades musculoesqueléticas.

La experiencia inicial permite apreciar que la embolización selectiva (embolización arterial genicular y otras) se ofrece como un procedimiento mínimamente invasivo, seguro y eficaz, dentro del abordaje multidisciplinario de diversas entidades clínicas caracterizadas por dolor crónico con sustrato de neovascularización y foco inflamatorio con impacto en la sensibilidad algésica.

 

BIBLIOGRAFÍA

 

1.     Leifer VP, Katz JN, Losina E. The burden of OA-health services and economics. Osteoarthritis Cartilage 2022;30(1):10-6. https://doi.org/10.1016/j.joca.2021.05.007

2.     Sloan M, Premkumar A, Sheth NP. Projected volume of primary total joint arthroplasty in the U.S., 2014 to 2030. J Bone Joint Surg Am 2018;100(17):1455-60. https://doi.org/10.2106/JBJS.17.01617

3.     Mapp PI, Walsh DA. Mechanisms and targets of angiogenesis and nerve growth in osteoarthritis. Nat Rev Rheumatol 2012;8(7):390-8. https://doi.org/10.1038/nrrheum.2012.80

4.     Talaie R, Torkian P, Clayton A, Wallace S, Cheung H, Chalian M, et al. Emerging targets for the treatment of osteoarthritis: new investigational methods to identify neo-vessels as possible targets for embolization. Diagnostics (Basel) 2022;12(6):1403. https://doi.org/10.3390/diagnostics12061403

5.     Kishore S, Sheira D, Malin ML, Trost DW, Mandl LA. Transarterial embolization for the treatment of chronic musculoskeletal pain: a systematic review of indications, safety, and efficacy. ACR Open Rheumatol 2022;4(3):209-17. https://doi.org/10.1002/acr2.11383

6.     Sapoval M, Querub C, Pereira H, Pellerin O, Boeken T, Di Gaeta A, et al. Genicular artery embolization for knee osteoarthritis: results of the LipioJoint-1 trial. Diagn Interv Imaging 2024;105(4):144-50. https://doi.org/10.1016/j.diii.2023.12.003

7.     Okuno Y, Korchi AM, Shinjo T, Kato S, Kaneko T. Midterm clinical outcomes and MR imaging changes after transcatheter arterial embolization as a treatment for mild to moderate radiographic knee osteoarthritis resistant to conservative treatment. J Vasc Interv Radiol 2017;28(7):995-1002. https://doi.org/10.1016/j.jvir.2017.02.033

8.     Okuno Y, Korchi AM, Shinjo T, Kato S. Transcatheter arterial embolization as a treatment for medial knee pain in patients with mild to moderate osteoarthritis. Cardiovasc Intervent Radiol 2015;38(2):336-43. https://doi.org/10.1007/s00270-014-0944-8

9.     Bagla S, Piechowiak R, Hartman T, Orlando J, Del Gaizo D, Isaacson A. Genicular artery embolization for the treatment of knee pain secondary to osteoarthritis. J Vasc Interv Radiol 2020;31(7):1096-102. https://doi.org/10.1016/j.jvir.2019.09.018

10.  Little MW, Gibson M, Briggs J, Speirs A, Yoong P, Ariyanayagam T, et al. Genicular artEry embolizatioN in patiEnts with oSteoarthrItiS of the Knee (GENESIS) using permanent microspheres: interim analysis. Cardiovasc Intervent Radiol 2021;44(9):1340-8. https://doi.org/10.1007/s00270-020-02764-3

11.  Taslakian B, Miller LE, Mabud TS, Macaulay W, Samuels J, Attur M, et al. Genicular artery embolization for treatment of knee osteoarthritis pain: systematic review and meta-analysis. Osteoarthr Cartil Open 2023;5(2):100342. https://doi.org/10.1016/j.ocarto.2023.100342

12.  Cusumano LR, Sparks HD, Masterson KE, Genshaft SJ, Plotnik AN, Padia SA. Genicular artery embolization for treatment of symptomatic knee osteoarthritis: 2-year outcomes from a prospective IDE trial. J Vasc Interv Radiol 2024;35(12):1768-75. https://doi.org/10.1016/j.jvir.2024.08.028

13.  Baerlocher MO, Nikolic B, Sze DY. Adverse event classification: clarification and validation of the Society of Interventional Radiology specialty-specific system. J Vasc Interv Radiol 2023;34(1):1-3. https://doi.org/10.1016/j.jvir.2022.10.011

14.  Wylde V, Beswick A, Bruce J, Blom A, Howells N, Gooberman-Hill R. Chronic pain after total knee arthroplasty. EFORT Open Rev 2018;3(8):461-70. https://doi.org/10.1302/2058-5241.3.180004

15.  Wylde V, Bertram W, Sanderson E, Noble S, Howells N, Peters TJ, et al. The STAR care pathway for patients with pain at 3 months after total knee replacement: a multicentre, pragmatic, randomised, controlled trial. Lancet Rheumatol 2022;4(3):e188-97. https://doi.org/10.1016/S2665-9913(21)00371-4

16.  Chau Y, Roux C, Gonzalez JF, Breuil V, Bernard de Dompsure R, Fontas E, et al. Effectiveness of geniculate artery embolization for chronic pain after total knee replacement: a pilot study. J Vasc Interv Radiol 2023;34(10):1725-33. https://doi.org/10.1016/j.jvir.2023.06.026

17.  Chau Y, Roux C, Breuil V, Trojani C, Gonzalez JF, Amoretti N, et al. Endovascular occlusion of neovascularization as a treatment for persistent pain after total knee arthroplasty. Cardiovasc Intervent Radiol 2020;43(5):787-90. https://doi.org/10.1007/s00270-020-02449-x

18.  Park CN, White PB, Meftah M, Ranawat AS, Ranawat CS. Diagnostic algorithm for residual pain after total knee arthroplasty. Orthopedics 2016;39(2):e246-52. https://doi.org/10.3928/01477447-20160119-06

19.  McDowell M, Park A, Gerlinger TL. The painful total knee arthroplasty. Orthop Clin North Am 2016;47(2):317-26. https://doi.org/10.1016/j.ocl.2015.09.008

20.  Paish HL, Baldock TE, Gillespie CS, Del Carpio Pons A, Mann DA, Deehan DJ, et al. Chronic, active inflammation in patients with failed total knee replacements undergoing revision surgery. J Orthop Res 2019;37(11):2316-24. https://doi.org/10.1002/jor.24398

21.  Cornman-Homonoff J, Kishore SA, Waddell BS, Kesler J, Mandl LA, Westrich GH, et al. Genicular artery embolization for refractory hemarthrosis following total knee arthroplasty: technique, safety, efficacy, and patient-reported outcomes. J Vasc Interv Radiol 2021;32(8):1128-35. https://doi.org/10.1016/j.jvir.2021.04.020

22.  Melian CM, Giannopoulos S, Tsouknidas I, Volteas P, Virvilis D, Koullias GJ. Geniculate artery endovascular embolization post-total knee arthroplasty for hemarthrosis treatment: a systematic review of the literature. J Endovasc Ther 2024;31(6):1158-64. https://doi.org/10.1177/15266028231157642

23.  Autorino CM, Lauritto D, Escobar G, Alvarez Salinas E, San Román A, Santini Araujo E, et al. Hemartrosis recurrente en paciente con reemplazo total de rodilla. Revista Cirugía Reconstructiva de Cadera y Rodilla 2015;1(2): 122-9. Disponible en: https://acaro.org.ar/acarorevista/files/revistas/vol-1-nro-2/Vol-1-Nro-2-Agosto-2015.pdf

24.  Manske RC, Prohaska D. Diagnosis and management of adhesive capsulitis. Curr Rev Musculoskelet Med 2008;1(3-4):180-9. https://doi.org/10.1007/s12178-008-9031-6

25.  Le HV, Lee SJ, Nazarian A, Rodriguez EK. Adhesive capsulitis of the shoulder: review of pathophysiology and current clinical treatments. Shoulder Elbow 2017;9(2):75-84. https://doi.org/10.1177/1758573216676786

26.  Okuno Y, Iwamoto W, Matsumura N, Oguro S, Yasumoto T, Kaneko T, et al. Clinical outcomes of transcatheter arterial embolization for adhesive capsulitis resistant to conservative treatment. J Vasc Interv Radiol 2017;28(2):161-7.e1. https://doi.org/10.1016/j.jvir.2016.09.028

27.  Okuno Y, Oguro S, Iwamoto W, Miyamoto T, Ikegami H, Matsumura N. Short-term results of transcatheter arterial embolization for abnormal neovessels in patients with adhesive capsulitis: a pilot study. J Shoulder Elbow Surg 2014;23(9):e199-206. https://doi.org/10.1016/j.jse.2013.12.014

28.  Fernández Martínez AM, Baldi S, Alonso-Burgos A, López R, Vallejo-Pascual ME, Cuesta Marcos MT, et al. Mid-term results of transcatheter arterial embolization for adhesive capsulitis resistant to conservative treatment. Cardiovasc Intervent Radiol 2021;44(3):443-51. https://doi.org/10.1007/s00270-020-02682-4

29.  Xu Y, Bonar F, Murrell GAC. Enhanced expression of neuronal proteins in idiopathic frozen shoulder. J Shoulder Elbow Surg 2012;21(10):1391-7. https://doi.org/10.1016/j.jse.2011.08.046

30.  Hwang JH, Park SW, Kim KH, Lee SJ, Oh KS, Chung SW, et al. Early results of transcatheter arterial embolization for relief of chronic shoulder or elbow pain associated with tendinopathy refractory to conservative treatment. J Vasc Interv Radiol 2018;29(4):510-7. https://doi.org/10.1016/j.jvir.2017.11.013

31.  Bagla S, Nagda S, Piechowiak R, Orlando J, Sajan A, Isaacson A. Results from a United States investigational device study of adhesive capsulitis embolization in the treatment of shoulder pain: the adhesive capsulitis embolization study. J Vasc Interv Radiol 2022;33(2):177-82. https://doi.org/10.1016/j.jvir.2021.10.031

32.  Okuno Y, Yasumoto T, Koganemaru M, Suyama Y, Nishiofuku H, Horikawa M, et al. Transarterial embolization of neovascularity for refractory nighttime shoulder pain: a multicenter, open-label, feasibility trial. J Vasc Interv Radiol 2022;33(12):1468-75.e8. https://doi.org/10.1016/j.jvir.2022.08.016

33.  Lopes PM, Cavalheiro F, Gonçalves R, Sousa F, Sousa P. Musculoskeletal embolization: endovascular treatment of adhesive capsulitis. ARP Rheumatol 2024;3(2):159-61. PMID: 38956999

34.  Lanciego C, Puentes-Gutierrez A, Sánchez-Casado M, Cifuentes-Garcia I, Fernández-Tamayo A, Dominguez-Paillacho D, et al. Transarterial embolization for adhesive capsulitis of the shoulder: midterm outcomes on function and pain relief. J Vasc Interv Radiol 2024;35(4):550-7. https://doi.org/10.1016/j.jvir.2023.12.572

 

 

ORCID de V. Bertoni: https://orcid.org/0009-0003-6519-4053

ORCID de F. Manfrin: https://orcid.org/0009-0000-0234-5684

ORCID de C. M. Autorino: https://orcid.org/0000-0001-6410-3816

 

Recibido el 23-9-2025. Aceptado luego de la evaluación el 25-9-2025 Dr. Hernán G. Bertoni hernangbertoni11@gmail.com https://orcid.org/0000-0002-0821-413X

 

Cómo citar este artículo: Bertoni HG, Bertoni V, Autorino CM, Manfrin F. Embolización arterial selectiva. Rev Asoc Argent Ortop Traumatol 2025;90(5):472-480. https://doi.org/10.15417/issn.1852-7434.2025.90.5.2226

 

 

Información del artículo

Identificación: https://doi.org/10.15417/issn.1852-7434.2025.90.5.2226

Fecha de publicación: Octubre, 2025

Conflicto de intereses: Los autores no declaran conflictos de intereses.

Copyright: © 2025, Revista de la Asociación Argentina de Ortopedia y Traumatología.

Licencia: Este artículo está bajo una Licencia Creative Commons Atribución-No Comercial-Compartir Obras Derivadas Igual 4.0 Internacional. (CC-BY-NC-SA 4.0)