CLINICAL RESEARCH

 

Diaphyseal Fractures of the Humerus Treated With the MultiLoc® Nail: Mid-Term Results

 

Miguel Zublin,* Matías Beatti,* Diego Guichet,* Tomás Pellecchia,* Ignacio Arzac Ulla**

*Orthopedics and Traumatology Service, Hospital Médico Policial “Churruca-Visca”, Autonomous City of Buenos Aires, Argentina

**BR Traumatología, Azul, Buenos Aires, Argentina

 

ABSTRACT

Introduction: Several satisfactory therapeutic options exist for diaphyseal humeral fractures. The MultiLoc® humeral intramedullary nail is a straight implant that offers multiple proximal locking configurations. The type and extent of proximal locking can be adapted to the fracture pattern and to more complex biomechanical requirements. Objective: To describe the radiographic and clinical-functional outcomes of patients with diaphyseal humeral fractures treated with a straight MultiLoc® intramedullary nail, along with associated complications and their management. Materials and Methods: Sixty-four patients with AO type 1.2 humeral fractures treated with a MultiLoc® nail and with a minimum clinical and radiographic follow-up of 18 months were included. Variables analyzed included clinical progression using the DASH score, return to pre-injury activity, and radiographic evaluation. Results: The mean DASH score after more than 18 months was 41. The average time to return to pre-injury activity was 3.1 months. Nine patients reported pain at the nail entry site; in seven cases, pain resolved with rehabilitation, while the remaining two presented proximal nail protrusion that required implant removal after fracture consolidation. The consolidation rate was 96.87%. Conclusion: The use of straight nails with angular stability in diaphyseal humeral fractures yields excellent mid-term clinical and radiographic outcomes.

Keywords: Humeral fracture; diaphyseal; intramedullary nail; osteosynthesis.

Level of Evidence: IV

 

Fracturas diafisarias de húmero tratadas con un clavo MultiLoc®. Resultados a mediano plazo

 

RESUMEN

Introducción: Existen diferentes opciones terapéuticas satisfactorias para las fracturas diafisarias de húmero. El clavo endomedular de húmero MultiLoc® es un implante recto que ofrece numerosas opciones de bloqueo proximal. El tipo y la extensión del bloqueo proximal se pueden adaptar al tipo de fractura y a los requerimientos biomecánicos más complejos. Objetivo: Describir los resultados radiográficos y clínico-funcionales de pacientes con fractura diafisaria de húmero tratadas con un clavo endomedular recto MultiLoc®, sus complicaciones y posibles soluciones. Materiales y Métodos: Se incluyó a 64 pacientes con fracturas de húmero tipo AO 1.2. tratadas con un clavo MultiLoc®, y un seguimiento clínico y radiográfico no inferior a 18 meses. Las variables analizadas fueron: la evolución clínica con el puntaje DASH, el retorno a la actividad previa a la lesión y la evaluación radiográfica. Resultados: El puntaje DASH promedio luego de más de 18 meses fue de 41. El tiempo promedio hasta retornar a la actividad previa a la lesión fue de 3.1 meses. Nueve pacientes refirieron dolor en la región de la puerta de entrada del clavo; el dolor remitió con la rehabilitación en 7 de ellos y los 2 restantes presentaron una protrusión proximal del clavo que requirió el retiro del implante una vez consolidada la fractura. La tasa de consolidación fue del 96,87%. Conclusión: El uso de los clavos rectos con estabilidad angular en fracturas diafisarias de húmero logra excelentes resultados clínicos y radiográficos a mediano plazo.

Palabras clave: Fractura de húmero; diafisaria; clavo endomedular; osteosíntesis.

Nivel de Evidencia: IV

 

INTRODUCTION

Humeral fractures are commonly attributed to falls from standing height and high-energy trauma in younger patients. They represent 1–3% of all fractures of the body, and 13–25% are diaphyseal.1-3

Surgery is generally reserved for displaced, unstable, or complex patterns, although the ideal treatment remains controversial.4 Shortening of up to 3 cm and angular or rotational deformities <30° typically have no significant clinical impact and are well tolerated functionally.3,5

Several treatment options exist: nonoperative management (useful in selected cases), open reduction and internal fixation with plates (either conventional or minimally invasive), and intramedullary nailing.

The MultiLoc® humeral intramedullary nail (DePuy-Synthes, Warsaw, USA) is a straight nail that offers multiple proximal locking options. The type and extent of proximal locking can be adapted to the fracture pattern and more demanding biomechanical requirements.6 Its straight design increases stability proximally, creating a safe zone between the nail entry portal and the lateral segment of the humeral head, thereby reducing the risk of iatrogenic fractures in that area.7 This same design also allows entry through the muscular portion of the supra-spinatus, avoiding the tendinous or avascular footprint.

The aim of this study was to evaluate radiographic and clinical–functional outcomes in patients with diaphyseal humeral fractures treated with a straight intramedullary nail providing angular stability and MultiLoc® multidirectional screws, as well as to assess associated complications and potential solutions.

 

MATERIALS AND METHODS

A retrospective, descriptive, observational case series was conducted. Between 2015 and 2020, 77 patients diagnosed with a diaphyseal humeral fracture were evaluated. Follow-up was achieved in 64 of them. All patients were treated with a straight MultiLoc® intramedullary nail.

Inclusion criteria were: 1) diaphyseal humeral fractures, 2) age >18 years, 3) minimum follow-up of 18 months, 4) open fractures, 5) use of a MultiLoc® nail, and 6) pathological fractures.

Exclusion criteria were: 1) fractures at the junction of the middle and distal thirds, 2) diaphyseal fractures extending proximally into the surgical neck, 3) vascular or nerve injuries, 4) use of plate fixation.

Eligible fracture patterns included transverse, short oblique spiral, and comminuted fractures involving the region from the surgical neck to the junction between the middle and distal thirds.

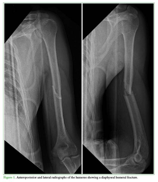
Preoperatively, all patients underwent anteroposterior and lateral radiographs including the shoulder and elbow to characterize the fracture pattern, malalignment and displacement, classification, joint involvement, and for preoperative planning (Figure 1). Computed tomography was not routinely obtained and was reserved for cases with suspected delayed union or nonunion.

 

Description of the Surgical Technique

All patients were operated on in the beach-chair or supine position on a radiolucent table. A 2-cm skin incision was made from the anterolateral edge of the acromion, extending distally toward the deltoid insertion. The supraspinatus tendon was split in line with its fibers, preserving both tendon margins with Vicryl® 1.0 sutures.

The entry point was created just posterior to the long head of the biceps tendon, aligned with the intramedullary canal on anteroposterior and lateral humeral radiographs.

Intramedullary canal reaming systems were used.

Depending on the fracture pattern, the most appropriate reduction technique was selected. In cases with a third fragment, wire cerclages or interfragmentary screws placed outside the nail were used to simplify fragment handling. In transverse fractures, compression at the fracture site was achieved by impaction through the elbow.

Proximal fixation consisted of four locking points (three screws in the humeral head and one in the neck region), while two or three distal locking screws were used depending on the case.

After completing fixation, the supraspinatus tendon, deltoid, subcutaneous tissue, and skin were closed in separate layers.

When optimal alignment could not be achieved, particularly in fractures with a third fragment or multifragmentary patterns, additional assistance was provided using positional screws placed percutaneously under fluoroscopic guidance, positioned tangentially to improve fragment alignment and contact. This technique was used in eight patients.

Reduction was considered satisfactory when no rotational defect was present, cortical step-off was <25% of the diaphyseal diameter, and shortening was <1 cm (in comminuted patterns).

 

 

 

 

 

 

Postoperative Protocol

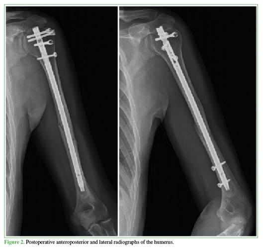
All patients were initially immobilized with a Vietnam sling for two weeks. Wrist pronosupination and wrist/ elbow flexion-extension exercises were initiated 24 hours after surgery. Assisted pendulum exercises using the contralateral limb began during the second week. Active shoulder mobility was started in the third week. Unrestricted anti-gravity activity was permitted six weeks postoperatively, and weight-bearing activities and strengthening exercises were introduced at 12 weeks. Mean clinical and radiographic follow-up was 18 months (range 12–24). Radiographs were obtained immediately postoperatively, at 15 and 45 days, and at 3, 6, 12, and 18 months (Figure 2).

 

 

 

 

 

 

Variables Analyzed

The following variables were analyzed: demographic data (sex, age), affected side, fracture type according to the AO/ASIF classification and the Gustilo classification for open fractures, mechanism of injury, injured side, time from injury to surgery, operative time, length of hospital stay, postoperative follow-up, return to previous activities, radiographic union, complications, and the DASH (Disability of the Arm, Shoulder and Hand) questionnaire score.

The DASH questionnaire was administered 18 months after surgery and consists of 30 items, each with response options scoring up to 5 points. Total scores range from 0 (no disability) to 100 (severe disability). The weighting is distributed as follows: 50 points for function, 40 for pain, and 10 for alignment.

 

Statistical Analysis

For quantitative variables, a normality test was applied. When normally distributed, mean and standard deviation were used as summary measures; otherwise, the median and interquartile range were reported.

Categorical variables are presented as frequency and percentage, with 95% confidence intervals.

Student’s t-test was used for quantitative variable comparisons, with a significance level set at 0.05. Statistical analyses were performed using the Statistix 8.0 (Chicago, IL, USA) software package.

 

RESULTS

Thirteen of the 77 patients with diaphyseal humerus fractures were excluded for not meeting the inclusion criteria. The final series consisted of 64 patients. A detailed description is provided in Tables 1 and 2.

Forty-four patients were women and twenty were men, with a mean age of 63 years (range 21–95). Thirty-six fractures occurred in the left arm and twenty-eight in the right arm (Table 1).

Regarding the mechanism of injury, 50 fractures resulted from a fall from standing height; six from gunshot wounds; four from motor-vehicle accidents (car/motorcycle); two from a fall from a ladder; one from a fall from height (>1 m); and one from a fall from a horse.

Nine fractures were open: six due to gunshot wounds, two due to a fall from standing height, and one due to a vehicle accident. All were classified as Gustilo-Anderson type IIIA. These patients underwent debridement and placement of an AO-type tubular external fixator in the emergency department until definitive surgery. The AO/ ASIF fracture types were as follows: 17 A1; 13 A2; 9 A3; 10 B1; 7 B2; 1 B3; 1 C1; 2 C2; and 4 C3 (Table 2).

 

 

 

 

 

 

 

 

 

 

The mean time from injury to definitive fixation was 10 days (range 2–34). The mean hospital stay was 3.37 days (range 2–25).

 

Radiographic Outcomes

Satisfactory reduction was observed in 48 radiographs; proximal nail protrusion in 2 cases; diaphyseal step-off in 2; diastasis at the fracture site in 1; and rotation of the distal humeral segment in 1 case. Two patients developed nonunion. The overall union rate was 97%.

 

Clinical Outcomes

The mean DASH score after more than 18 months of follow-up was 41 (range 30–90) (Figure 3).

 

 

 

 

 

The average time to return to pre-injury activity was 3.1 months (range 2–6).

Nine patients reported pain at the nail entry site. In seven of them, the pain resolved with rehabilitation; the remaining two had proximal nail protrusion requiring implant removal after fracture union. The overall fracture union rate was 98.7%.

 

Complications

Seven complications occurred: two nonunions, both requiring reoperation to achieve healing, two superficial wound infections, successfully treated with debridement and antibiotics, two cases of proximal nail protrusion, requiring removal after consolidation, and one radial nerve neuropraxia, which recovered spontaneously without surgical intervention (Table 3).

The two nonunions were treated either by nail exchange using a larger-diameter implant plus bone graft, or by nail removal followed by plate osteosynthesis with bone grafting. Both cases ultimately achieved union.

 

 

 

 

 

 

DISCUSSION

Our results support the efficacy of the MultiLoc® nail in the treatment of diaphyseal humeral fractures, demonstrating high union rates, a low incidence of complications, and good medium-term functional outcomes.

The surgical indications for humeral fractures remain a matter of debate, particularly in elderly patients. Locked plates were long considered the gold standard for treatment; however, their use in older patients has been associated with wound complications.8 For this reason, new-generation intramedullary nails have become an increasingly attractive alternative.

Current evidence shows that high union rates can be achieved with both plates and nails. Plates inserted using minimally invasive techniques tend to yield lower rates of nonunion compared with open reduction and internal fixation, and overall consolidation rates are similar when comparing intramedullary nailing with plating.9

Intramedullary nails may be associated with a lower incidence of iatrogenic radial nerve injury compared with extensive open approaches that expose the nerve directly, although this advantage is not absolute and remains technique-dependent. Minimally invasive nailing has emerged as an option that reduces direct manipulation of the nerve and decreases soft-tissue morbidity, with a lower risk of nonunion and fewer soft-tissue complications compared with open plating.10

Earlier generations of humeral nails, such as the Proximal Humeral Nail (PHN, Synthes), fell out of favor for two major reasons: the limited number of proximal locking screws, which allowed pivoting of the humeral head, and the lateral entry point through the greater tuberosity, which increased the risk of tuberosity fracture and supraspinatus injury.6,7

Persistent shoulder pain following humeral nailing has been a common criticism of the technique. Its etiology is multifactorial and may be related to a prominent nail protruding above the humeral head, iatrogenic supra-spinatus injury (reported as unhealed in up to 80% of cases7), subacromial impingement, shoulder stiffness, or malreduction of the humeral head.

Dilisio et al.11 evaluated rotator cuff injury rates associated with humeral nails and concluded that straight-design nails with a medial entry point reduce the risk of cuff damage. In our series, only 2 patients (3.12%) reported pain at the entry site due to nail protrusion. We believe these findings are consistent with those of Dilisio et al., as the straight design of the nail allows entry through the muscular—not tendinous—portion of the supraspinatus, thereby avoiding Codman’s avascular zone. Moreover, our surgical technique involves a clean approach through the muscle belly, and during entry, the reamers are used in reverse and at low speed until reaching the humeral cortex, further minimizing iatrogenic injury.

Lopiz et al.7 compared the use of a straight nail and an anatomical nail for humeral fractures. They reported a reoperation rate of 42% with anatomical nails and 11.5% with straight nails. In our study, the reoperation rate was 6.24% (2 due to protrusion and 2 due to pseudoarthrosis), which supports the lower reoperation rate described by the authors with the use of straight nails.

Nolan et al.,12 using the Polarus nail, reported a 94% consolidation rate but also a 50% rate of defective healing due to loss of reduction. These authors concluded that the nail’s more lateral entry point makes it unable to resist the deforming forces of the humerus, which may lead to loss of reduction and varus collapse. In addition, this entry point traverses the rotator cuff in a hypovascular zone, resulting in chronic pain and loss of mobility. In our series, we used a straight nail and positioned the patient supine with interscapular support to prevent the acromion from interfering with nail insertion.

The rate of rotator cuff healing failure after humeral nailing can reach 80%.7

In our experience, the use of this type of nail offers several advantages over other implants, including the possibility of performing minimally invasive surgery, shorter operative time, minimal bleeding, adequate stability at the fracture site, and the potential for early mobilization. Disadvantages include cost, the learning curve, and potential complications inherent to the method (infection, delayed union, pseudoarthrosis, radial nerve injury).

This study has certain limitations, such as its retrospective design, population variability, and the absence of a control group treated with a different method. Strengths include the sample size (to our knowledge, the largest reported in Argentina) and the use of a widely accepted evaluation scale.

We agree with Belangero et al.2 that appropriate patient selection and precise surgical technique are fundamental for achieving good outcomes, regardless of the osteosynthesis method employed.

 

CONCLUSIONS

The use of intramedullary nails for diaphyseal humeral fractures is a safe and reliable method. Our results show that straight nails with angular stability provide excellent medium-term clinical and radiographic outcomes. The low incidence of pain at the entry site and of rotator cuff injury does not appear to represent a limitation to their use.

 

REFERENCES

 

1.     Court-Brown CM, Caesar B. Epidemiology of adult fractures: A review. Injury 2006;37(8):691-7. https://doi.org/10.1016/j.injury.2006.04.130

2.     Belangero WD, Zublin CM, Martinez Siekavizza SN, Sánchez Rosenberg GF, Cardenas Quintero RA, Azi ML, et al. Demographics and clinical features of humeral shaft fractures: The Latin American multicentre prospective study (HSF-LAMPS). J Orthop Surg (Hong Kong) 2019;27(3):2309499019874506. https://doi.org/10.1177/2309499019874506

3.     Mocini F, Rovere G, De Mauro D, Giovannetti De Sanctis E, Smakaj A, Maccauro G, et al. Newer generation straight humeral nails allow faster bone healing and better functional outcome at mid-term. J Orthop Surg Res 2021;16:631. https://doi.org/10.1186/s13018-021-02776-w

4.     Qiu H, Liu Y, Chen Y, Weng Z, Liu D, Dong J, et al. Treatment of humeral shaft fractures with different treatment methods: a network meta-analysis of randomized controlled trials. BMC Musculoskelet Disord 2023;24(1):583. https://doi.org/10.1186/s12891-023-06626-0

5.     Belangero W, Zublin C, Quintero R, Romero F, Fernandes H, Siekavizza S, et al. Quick-DASH as a main early outcome of humeral shaft fractures: A Latin American multicenter prospective study. J Orthop Surg (Hong Kong) 2020;28(2):2309499020929436. https://doi.org/10.1177/2309499020929436

6.     Hessmann MH, Nijs S, Mittlmeier T, Kloub M, Segers MJM, Winkelbach V. Internal fixation of fractures of the proximal humerus with the MultiLoc nail. Oper Orthop Traumatol 2012;24:418-31. https://doi.org/10.1007/s00064-011-0085-z

7.     Lopiz Y, Garcia-Coiradas J, Garcia-Fernandez C, Marco F. Proximal humerus nailing: a randomized clinical trial between curvilinear and straight nails. J Shoulder Elbow Surg 2014;23(3):369-76. https://doi.org/10.1016/j.jse.2013.08.023

8.     Amer KM, Kurland AM, Smith B, Abdo Z, Amer R, Vosbikian MM, et al. Intramedullary nailing versus plate fixation for humeral shaft fractures: A systematic review and meta-analysis. Arch Bone Jt Surg 2022;10(8):661-7. https://doi.org/10.22038/ABJS.2021.59413.2947

9.     Lopiz Y, Garriguez-Pérez D, Román-Gómez J, Scarano-Pereira JP, Ponz-Lueza V, García-Fernandez C, et al. Shoulder problems after percutaneous antegrade intramedullary nailing in humeral diaphyseal fractures using contemporary straight third-generation nail. J Shoulder Elbow Surg 2023;32(11):2317-24. https://doi.org/10.1016/j.jse.2023.04.012

10.  Nadeem A, Abbasi H. Outcomes of intramedullary nailing versus plate fixation in the management of humeral shaft fractures: A systematic review and meta-analysis. Cureus 2024;27;16(10):e72473. https://doi.org/10.7759/cureus.72473

11.  Dilisio M, Nowinski R, Hatzidakis A, Fehringer E. Intramedullary nailing of the proximal humerus: evolution, technique, and results. J Shoulder Elbow Surg 2016;25:e130-8. https://doi.org/10.1016/j.jse.2015.11.016

12.  Farragos AF, Schemitsch EH, McKee MD. Complications of intramedullary nailing for fractures of the humeral shaft: a review. J Orthop Trauma 1999;13(4):258-67. https://doi.org/10.1097/00005131-199905000-00006

 

 

M. Zublin ORCID ID: https://orcid.org/0000-0002-7333-8219            

D. Guichet ORCID ID: https://orcid.org/0000-0003-4259-0179

M. Beatti ORCID ID: https://orcid.org/0000-0001-9575-6473

T. Pellecchia ORCID ID: https://orcid.org/0000-0002-6070-9690

 

Received on September 4th, 2025. Accepted after evaluation on October 22nd, 2025 Dr. Ignacio Arzac Ulla ignacioarzac@hotmail.co https://orcid.org/0000-0002-5038-7720

 

How to cite this article: Zublin M, Beatti M, Guichet D, Pellecchia T, Arzac Ulla I. Diaphyseal Fractures of the Humerus Treated With the MultiLoc® Nail: Mid-Term Results. Rev Asoc Argent Ortop Traumatol 2025;90(6):538-546. https://doi.org/10.15417/issn.1852-7434.2025.90.6.2222

 

 

Article Info

Identification: https://doi.org/10.15417/issn.1852-7434.2025.90.6.2222

Published: December, 2025

Conflict of interests: The authors declare no conflicts of interest.

Copyright: © 2025, Revista de la Asociación Argentina de Ortopedia y Traumatología.

License: This article is under Attribution-NonCommertial-ShareAlike 4.0 International Creative Commons License (CC-BY-NC-SA 4.0).