INVESTIGACIÓN CLÍNICA

 

Fracturas diafisarias de húmero tratadas con un clavo MultiLoc®. Resultados a mediano plazo

 

Miguel Zublin,* Matías Beatti,* Diego Guichet,* Tomás Pellecchia,* Ignacio Arzac Ulla**

*Servicio de Ortopedia y Traumatología, Hospital Médico Policial “Churruca-Visca”, Ciudad Autónoma de Buenos Aires, Argentina

**BR Traumatologí́a, Azul, Buenos Aires, Argentina

 

RESUMEN

Introducción: Existen diferentes opciones terapéuticas satisfactorias para las fracturas diafisarias de húmero. El clavo endomedular de húmero MultiLoc® es un implante recto que ofrece numerosas opciones de bloqueo proximal. El tipo y la extensión del bloqueo proximal se pueden adaptar al tipo de fractura y a los requerimientos biomecánicos más complejos. Objetivo: Describir los resultados radiográficos y clínico-funcionales de pacientes con fractura diafisaria de húmero tratadas con un clavo endomedular recto MultiLoc®, sus complicaciones y posibles soluciones. Materiales y Métodos: Se incluyó a 64 pacientes con fracturas de húmero tipo AO 1.2. tratadas con un clavo MultiLoc®, y un seguimiento clínico y radiográfico no inferior a 18 meses. Las variables analizadas fueron: la evolución clínica con el puntaje DASH, el retorno a la actividad previa a la lesión y la evaluación radiográfica. Resultados: El puntaje DASH promedio luego de más de 18 meses fue de 41. El tiempo promedio hasta retornar a la actividad previa a la lesión fue de 3.1 meses. Nueve pacientes refirieron dolor en la región de la puerta de entrada del clavo; el dolor remitió con la rehabilitación en 7 de ellos y los 2 restantes presentaron una protrusión proximal del clavo que requirió el retiro del implante una vez consolidada la fractura. La tasa de consolidación fue del 96,87%. Conclusión: El uso de los clavos rectos con estabilidad angular en fracturas diafisarias de húmero logra excelentes resultados clínicos y radiográficos a mediano plazo.

Palabras clave: Fractura de húmero; diafisaria; clavo endomedular; osteosíntesis.

Nivel de Evidencia: IV

 

Diaphyseal Fractures of the Humerus Treated With the MultiLoc® Nail: Mid-Term Results

 

ABSTRACT

Introduction: Several satisfactory therapeutic options exist for diaphyseal humeral fractures. The MultiLoc® humeral intramedullary nail is a straight implant that offers multiple proximal locking configurations. The type and extent of proximal locking can be adapted to the fracture pattern and to more complex biomechanical requirements. Objective: To describe the radiographic and clinical-functional outcomes of patients with diaphyseal humeral fractures treated with a straight MultiLoc® intramedullary nail, along with associated complications and their management. Materials and Methods: Sixty-four patients with AO type 1.2 humeral fractures treated with a MultiLoc® nail and with a minimum clinical and radiographic follow-up of 18 months were included. Variables analyzed included clinical progression using the DASH score, return to pre-injury activity, and radiographic evaluation. Results: The mean DASH score after more than 18 months was 41. The average time to return to pre-injury activity was 3.1 months. Nine patients reported pain at the nail entry site; in seven cases, pain resolved with rehabilitation, while the remaining two presented proximal nail protrusion that required implant removal after fracture consolidation. The consolidation rate was 96.87%. Conclusion: The use of straight nails with angular stability in diaphyseal humeral fractures yields excellent mid-term clinical and radiographic outcomes.

Keywords: Humeral fracture; diaphyseal; intramedullary nail; osteosynthesis.

Level of Evidence: IV

 

INTRODUCCIÓN

Habitualmente, las fracturas de húmero se atribuyen a traumatismos por caídas de propia altura y a accidentes de alta energía en pacientes jóvenes. Representan el 1-3% de todas las fracturas del cuerpo y el 13-25% son diafisarias.1-3

La cirugía se reserva, en general, para los patrones desplazados, inestables y complejos, pero el tratamiento ideal sigue siendo controvertido.4 Un acortamiento de hasta 3 cm, las deformidades angulares y rotatorias <30° no tienen repercusión significativa y se compensan bien funcionalmente.3,5

Existen distintas opciones de tratamiento: incruento (útil en algunos casos específicos), osteosíntesis con placa mediante reducción abierta y fijación interna o utilizando técnicas mínimamente invasivas y enclavado endomedular.

El clavo endomedular de húmero MultiLoc® (DePuy-Synthes, Warsaw, EE.UU.) es un implante recto que ofrece numerosas opciones de bloqueo proximal. El tipo y la extensión del bloqueo proximal se pueden adaptar al tipo de fractura y a los requerimientos biomecánicos más complejos.6 El diseño recto aumenta la estabilidad en el extremo proximal del clavo, dejando una zona segura entre el orificio de entrada del clavo y el segmento lateral de la cabeza humeral, evitando eventuales fracturas en esta área.7 Es este mismo diseño el que permite el ingreso sobre la región muscular del supraespinoso, evitando lesionar la porción tendinosa o avascular.

El objetivo de este estudio fue evaluar los resultados radiográficos y clínico-funcionales en pacientes con una fractura diafisaria de húmero tratada con un clavo endomedular recto con estabilidad angular y tornillos multidireccionales MultiLoc®, sus complicaciones y posibles soluciones.

 

MATERIALES Y MÉTODOS

Se llevó a cabo un estudio retrospectivo, descriptivo y observacional, de serie de casos. Entre 2015 y 2020, se evaluó a 77 pacientes con diagnóstico de fractura diafisaria de húmero. En 64 de ellos, se pudo realizar el seguimiento. Todos se sometieron a una fijación con un clavo endomedular recto MultiLoc®.

Los criterios de inclusión fueron: 1) fracturas diafisarias de húmero, 2) edad >18 años, 3) seguimiento mínimo de 18 meses, 4) fracturas expuestas, 5) uso de un clavo MultiLoc® y 6) fracturas patológicas.

Los criterios de exclusión fueron: 1) fractura de unión de tercio medio con distal, 2) fracturas que comprometieran la diáfisis con extensión proximal al cuello quirúrgico, 3) lesiones vasculares o nerviosas, 4) uso de placas de osteosíntesis.

Los trazos fracturarios incluidos fueron transverso, espiroideo oblicuo corto y conminuto que afectaran desde el cuello quirúrgico hasta la unión del tercio medio con el tercio distal.

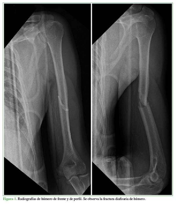
Antes de la cirugía, a todos los pacientes se les tomaron radiografías de frente y perfil que incluyeran la articulación del hombro y codo para establecer el patrón de fractura, el deseje y el desplazamiento, la clasificación, si había compromiso articular o no, y para la planificación preoperatoria (Figura 1). No se indicó, como rutina, una tomografía computarizada; este estudio se limitó a aquellos pacientes con sospecha de retraso de la consolidación o seudoartrosis.

 

Descripción de la técnica quirúrgica

Todos fueron operados en posición de silla de playa o en decúbito supino, sobre una camilla radiolúcida. Se realizó una incisión cutánea de 2 cm desde el borde anterolateral del acromion, distalmente hacia la inserción del deltoides y se seccionó el tendón supraespinoso en línea con sus fibras (se preservaron ambos márgenes del tendón con suturas Vicryl® 1.0). Se efectuó el punto de entrada justo posterior a la cabeza larga del tendón del bíceps en línea con el canal endomedular en las radiografías de húmero de frente y de perfil.

Se utilizaron sistemas de fresado del canal endomedular.

Según el trazo fracturario, se eligió la técnica de reducción más adecuada para su tratamiento. En algunos casos con tercer fragmento, se emplearon lazadas de alambre o tornillo(s) interfragmentario(s) por fuera del clavo para simplificar los fragmentos. En trazos transversos, se logra la compresión del foco mediante la impactación en el codo. Se utilizaron 4 bloqueos en el sector proximal (3 tornillos en la cabeza y 1 en el cuello) y de 2 a 3 bloqueos en el distal.

Una vez concluido el procedimiento, se procedió al cierre del supraespinoso, el deltoides, el tejido celular subcutáneo y la piel por separado.

Cuando no se puede obtener la alineación deseada, en patrones complejos de fractura, ya sea en fracturas con tercer fragmento o multifragmentarias, un elemento de ayuda adicional son los tornillos de posición colocados, por vía percutánea, bajo control radioscópico, de forma tangencial para mejorar dicha alineación y el contacto de esos fragmentos adicionales. Este procedimiento se hizo en 8 pacientes.

La reducción se consideró satisfactoria cuando no se observó un defecto rotatorio, el decalaje era menor al cuarto de diáfisis y el acortamiento, <1 cm (en fracturas conminutas).

 

 

 

 

 

 

Protocolo posoperatorio

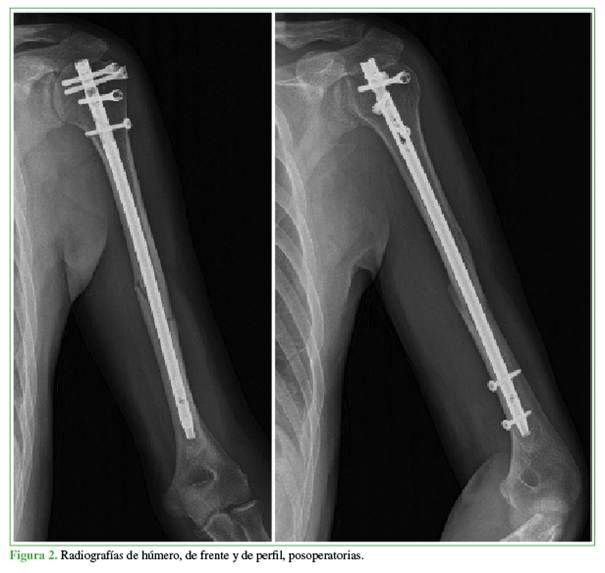
Todos los pacientes fueron tratados inicialmente con un cabestrillo de Vietnam por 2 semanas. Se indicaron movimientos de pronosupinación de muñeca y flexo-extensión de muñeca y codo a las 24 h de la cirugía. El movimiento pendular asistido por la extremidad sana se inició en la segunda semana. La movilidad activa del hombro comenzó en la tercera semana. Se permitió la actividad sin restricciones contra la gravedad 6 semanas después de la operación y se introdujeron actividades con carga de peso y ejercicio a las 12 semanas. El seguimiento clínico-radiográfico promedio fue de 18 meses (rango 12-24). Se realizaron controles radiográficos en el posoperatorio inmediato, a los 15 y 45 días, a los 3, 6, 12 y 18 meses (Figura 2).

 

 

 

 

 

 

Variables analizadas

Se analizaron las siguientes variables: datos demográficos (sexo, edad), lado afectado, tipo de fractura según la clasificación AO/ASIF y Gustilo en casos expuestos, mecanismo de la lesión, lado lesionado, tiempo desde la lesión hasta la cirugía, tiempo quirúrgico, tiempo de internación, seguimiento posoperatorio, retorno a las actividades previas, consolidación radiográfica, complicaciones y puntaje del cuestionario DASH (Disability of the Arm, Shoulder and Hand).

Este cuestionario se utilizó a los 18 meses de la cirugía y está compuesto por 30 ítems en el que las opciones de respuesta pueden alcanzar valores de hasta 5 puntos. El puntaje varía de 0 (sin discapacidad) a 100 (discapacidad severa). Asigna 50 puntos a la función, 40 puntos para el dolor y 10 puntos a la alineación.

 

Análisis estadístico

Para las variables cuantitativas se aplicó la prueba de normalidad si seguían una distribución normal; se utilizaron como medidas de resumen, la media y la desviación estándar. En caso de no seguir una distribución normal, se muestra la mediana y el rango intercuartílico.

Las variables categóricas se describen con su distribución de frecuencias y porcentajes con los intervalos de confianza del 95%. Para el análisis de las variables cuantitativas se empleó la prueba de Student, con un nivel de significancia de 0,05. Se usó el paquete estadístico Statistix 8.0 Chicago.

 

RESULTADOS

Trece de los 77 pacientes con fractura diafisaria de húmero fueron excluidos por no cumplir los criterios de inclusión. La serie quedó conformada por 64 pacientes. La descripción de la serie se detalla en las Tablas 1 y 2.

Cuarenta y cuatro pacientes eran mujeres y 20, hombres, con una edad promedio de 63 años (rango 21-95).

Treinta y seis fracturas eran del brazo izquierdo y 28, del brazo derecho (Tabla 1).

Con respecto al mecanismo de lesión, 50 se produjeron por una caída de propia altura; 6, por heridas de arma de fuego; 4, por un accidente vehicular (auto/moto); 2, por una caída de escalera; 1, por una caída de altura (más de 1 m) y 1, por una caída de caballo.

Nueve fracturas eran expuestas; 6 por proyectil de arma de fuego, 2 por una caída de propia altura, 1 por un accidente vehicular, clasificadas como 3A según Gustilo-Anderson. Los pacientes fueron sometidos a una limpieza y a la colocación de un tutor externo tubular tipo AO en la urgencia hasta el momento de la cirugía definitiva. Diecisiete tenían fracturas (AO 12) A1; 13, A2; 9, A3; 10, B1; 7, B2; 1, B3; 1, C1; 2, C2; 4, C3 (Tabla 2).

 

 

 

 

 

 

 

 

El tiempo promedio transcurrido desde el trauma hasta la operación definitiva fue de 10 días (rango 2-34). El tiempo de internación promedio fue de 3.37 días (rango 2-25).

 

Resultados radiográficos

En 48 radiografías, se observó una reducción satisfactoria; en 2, la protrusión proximal del clavo; en 2, decalaje diafisario; 1, diástasis del foco de fractura; 1, rotación del segmento del húmero distal. Dos pacientes tuvieron seudoartrosis. La tasa de consolidación fue del 97%.

 

Resultados clínicos

El puntaje DASH promedio luego de más de 18 meses de evolución fue 41 (rango 30-90) (Figura 3).

 

 

 

 

 

El tiempo promedio hasta el retorno a la actividad previa a la lesión fue de 3.1 meses (rango 2-6).

 

Nueve pacientes refirieron dolor en la región de la puerta de entrada del clavo. En 7 de ellos, el dolor remitió con la rehabilitación, los 2 restantes tenían una protrusión proximal del clavo que requirió el retiro del implante una vez consolidada la fractura. La tasa de consolidación de las fracturas fue del 98,7%.

 

Complicaciones

Se produjeron 7 complicaciones: 2 seudoartrosis que requirieron una segunda intervención para alcanzar la curación, 2 infecciones superficiales de la herida que se curaron con limpieza y tratamiento antibiótico, 2 protrusiones del clavo en el segmento proximal que debieron ser retirados tras la consolidación, 1 neuropraxia del nervio radial, con recuperación de la actividad neurológica sin intervención (Tabla 3).

Las dos seudoartrosis fueron tratadas con revisión del clavo y colocación de un clavo de mayor diámetro más injerto óseo, o con retiro del clavo y osteosíntesis con placa más injerto óseo. Ambas seudoartrosis consolidaron.

 

 

 

 

 

 

DISCUSIÓN

Nuestros resultados respaldan la eficacia del clavo MultiLoc® en el tratamiento de las fracturas diafisarias de húmero, con altas tasas de consolidación, baja cantidad de complicaciones y buenos resultados funcionales a mediano plazo.

Las indicaciones quirúrgicas de las fracturas de húmero siguen en discusión, sobre todo, en pacientes de edad avanzada. Las placas bloqueadas fueron consideradas el patrón de referencia para su tratamiento, pero el uso en pacientes mayores se asoció con complicaciones de la herida;8 por este motivo, los clavos de nueva generación se convirtieron en una opción terapéutica.

La evidencia actual muestra que, tanto en los pacientes tratados con placas como en aquellos con clavos, se logran altas tasas de consolidación. Las placas colocadas con la técnica mínimamente invasiva suelen generar una menor tasa de falta de consolidación frente a la reducción abierta y fijación interna, y la comparación clavo endomedular vs. placa arroja resultados globales similares en cuanto a tasas de consolidación.9

Los clavos endomedulares pueden estar relacionados con una menor incidencia de lesión quirúrgica del nervio radial respecto a abordajes abiertos extensos que exponen el nervio, aunque la diferencia no es absoluta y depende de la técnica empleada. La técnica mínimamente invasiva emerge como una alternativa que reduce la manipulación directa del nervio y disminuye la morbilidad de tejidos blandos, con un riesgo más bajo de falta de consolidación y menos complicaciones de tejidos blandos comparada con la placa abierta.10

Los clavos de generaciones anteriores, como el Proximal Humeral Nail (PHN) de Synthes, quedaron en desuso por dos motivos importantes: la escasa cantidad de tornillos de bloqueo proximales que generan pivoteo de la cabeza humeral y por la puerta de entrada lateral en el troquíter, que aumenta la posibilidad de fractura de este e incrementa el riesgo de lesión del supraespinoso.6,7

Una crítica al uso de clavos en el húmero es el dolor persistente luego de su colocación. La causa es multifactorial, puede estar originada por un clavo prominente que protruye sobre el límite proximal de la cabeza humeral, lesión iatrogénica del supraespinoso que determina hasta un 80% de casos no curados,7 pinzamiento de la articulación del hombro, rigidez o alteraciones de la reducción de la cabeza humeral.8-10

Dilisio y cols.11 evaluaron la incidencia de lesión del manguito de los rotadores con el uso de clavos en el húmero, y llegaron a la conclusión de que, al utilizar clavos de diseño recto, con un acceso medial a la cabeza humeral, disminuye el riesgo de su lesión. En nuestra serie, solo 2 (3,12%) pacientes tuvieron dolor en el sitio de entrada por la protrusión del clavo. Creemos que esto coincide con lo publicado por Dilisio y cols. sobre el uso de un clavo recto que tiene su punto de ingreso en la zona muscular y no tendinosa del supraespinoso, lo que evita dañar el área avascular de Codman. Además, por la técnica utilizada, realizamos un abordaje limpio en el vientre muscular y, al ingresar, las fresas fueron colocadas a la inversa y de forma suave, a bajas revoluciones, hasta apoyarse en la corteza humeral.

Lopiz y cols.7 compararon el uso de un clavo recto y uno anatómico para las fracturas de húmero. Informaron una tasa de reintervención del 42% con los clavos anatómicos y del 11,5% con los rectos. En nuestra investigación, la tasa de reoperación fue del 6,24% (2 por protrusión y 2 por seudoartrosis), lo que respalda la baja tasa de reoperación mencionada por el autor con el uso de clavos rectos.

Nolan y cols.,12 utilizando el clavo Polarus, informan una tasa de consolidación del 94%, pero también una tasa de consolidación defectuosa del 50% debido a la pérdida de la reducción. Estos autores concluyeron en que ese clavo, por tener su inserción más lateral, es incapaz de resistir las fuerzas deformantes del húmero que pueden provocar la pérdida de la reducción y el colapso en varo. También atraviesa el manguito de los rotadores en una zona hipovascular dejando como secuela dolor crónico y pérdida de la movilidad. En nuestra serie, utilizamos un clavo recto y posicionamos al paciente en decúbito dorsal con un realce interescapular para que el acromion no interfiera con la inserción del clavo.

La tasa de falta de curación del manguito de los rotadores luego de colocar un clavo de húmero puede llegar al 80%.7

Según nuestra experiencia, el uso de este tipo de clavos ofrece ciertas ventajas sobre el de otros implantes, entre ellas, la posibilidad de realizar una cirugía mínimamente invasiva, menos tiempo quirúrgico, escaso sangrado, adecuada estabilidad del foco y una posible movilidad precoz. Como desventajas señalamos su costo, la curva de aprendizaje, las potenciales complicaciones inherentes al método (infección, retraso de la consolidación, seudoartrosis, lesión de nervio radial).

Este estudio tiene ciertas limitaciones, como el diseño retrospectivo, la variabilidad de la población y la ausencia de un grupo de control tratado con otro método. Como fortalezas incluimos el tamaño de la muestra (según nuestro conocimiento, la más grande reportada en la Argentina) y la aplicación de una escala de evaluación mundialmente aceptada.

Coincidimos con Belangero y cols.2 en que la selección adecuada del paciente y la técnica quirúrgica precisa son fundamentales para obtener buenos resultados, independientemente del método de osteosíntesis.

 

CONCLUSIONES

El uso del clavo endomedular en fracturas diafisarias de húmero es un  método seguro y fiable.

Nuestros resultados revelan que los clavos rectos con estabilidad angular ofrecen excelentes resultados clínicos y radiográficos a mediano plazo. La baja incidencia de dolor en el sitio de entrada y de lesión del manguito de los rotadores no impresiona ser una limitación para su uso.

 

BIBLIOGRAFÍA

 

1.     Court-Brown CM, Caesar B. Epidemiology of adult fractures: A review. Injury 2006;37(8):691-7. https://doi.org/10.1016/j.injury.2006.04.130

2.     Belangero WD, Zublin CM, Martinez Siekavizza SN, Sánchez Rosenberg GF, Cardenas Quintero RA, Azi ML, et al. Demographics and clinical features of humeral shaft fractures: The Latin American multicentre prospective study (HSF-LAMPS). J Orthop Surg (Hong Kong) 2019;27(3):2309499019874506. https://doi.org/10.1177/2309499019874506

3.     Mocini F, Rovere G, De Mauro D, Giovannetti De Sanctis E, Smakaj A, Maccauro G, et al. Newer generation straight humeral nails allow faster bone healing and better functional outcome at mid-term. J Orthop Surg Res 2021;16:631. https://doi.org/10.1186/s13018-021-02776-w

4.     Qiu H, Liu Y, Chen Y, Weng Z, Liu D, Dong J, et al. Treatment of humeral shaft fractures with different treatment methods: a network meta-analysis of randomized controlled trials. BMC Musculoskelet Disord 2023;24(1):583. https://doi.org/10.1186/s12891-023-06626-0

5.     Belangero W, Zublin C, Quintero R, Romero F, Fernandes H, Siekavizza S, et al. Quick-DASH as a main early outcome of humeral shaft fractures: A Latin American multicenter prospective study. J Orthop Surg (Hong Kong) 2020;28(2):2309499020929436. https://doi.org/10.1177/2309499020929436

6.     Hessmann MH, Nijs S, Mittlmeier T, Kloub M, Segers MJM, Winkelbach V. Internal fixation of fractures of the proximal humerus with the MultiLoc nail. Oper Orthop Traumatol 2012;24:418-31. https://doi.org/10.1007/s00064-011-0085-z

7.     Lopiz Y, Garcia-Coiradas J, Garcia-Fernandez C, Marco F. Proximal humerus nailing: a randomized clinical trial between curvilinear and straight nails. J Shoulder Elbow Surg 2014;23(3):369-76. https://doi.org/10.1016/j.jse.2013.08.023

8.     Amer KM, Kurland AM, Smith B, Abdo Z, Amer R, Vosbikian MM, et al. Intramedullary nailing versus plate fixation for humeral shaft fractures: A systematic review and meta-analysis. Arch Bone Jt Surg 2022;10(8):661-7. https://doi.org/10.22038/ABJS.2021.59413.2947

9.     Lopiz Y, Garriguez-Pérez D, Román-Gómez J, Scarano-Pereira JP, Ponz-Lueza V, García-Fernandez C, et al. Shoulder problems after percutaneous antegrade intramedullary nailing in humeral diaphyseal fractures using contemporary straight third-generation nail. J Shoulder Elbow Surg 2023;32(11):2317-24. https://doi.org/10.1016/j.jse.2023.04.012

10.  Nadeem A, Abbasi H. Outcomes of intramedullary nailing versus plate fixation in the management of humeral shaft fractures: A systematic review and meta-analysis. Cureus 2024;27;16(10):e72473. https://doi.org/10.7759/cureus.72473

11.  Dilisio M, Nowinski R, Hatzidakis A, Fehringer E. Intramedullary nailing of the proximal humerus: evolution, technique, and results. J Shoulder Elbow Surg 2016;25:e130-8. https://doi.org/10.1016/j.jse.2015.11.016

12.  Farragos AF, Schemitsch EH, McKee MD. Complications of intramedullary nailing for fractures of the humeral shaft: a review. J Orthop Trauma 1999;13(4):258-67. https://doi.org/10.1097/00005131-199905000-00006

 

 

ORCID de M. Zublin: https://orcid.org/0000-0002-7333-8219         

ORCID de D. Guichet: https://orcid.org/0000-0003-4259-0179

ORCID de M. Beatti: https://orcid.org/0000-0001-9575-6473

ORCID de T. Pellecchia: https://orcid.org/0000-0003-4259-0179

 

Recibido el 4-9-2025. Aceptado luego de la evaluación el 22-10-2025 Dr. Ignacio Arzac Ulla ignacioarzac@hotmail.com https://orcid.org/0000-0002-5038-7720

 

Cómo citar este artículo: Zublin M, Beatti M, Guichet D, Pellecchia T, Arzac Ulla I. Fracturas diafisarias de húmero tratadas con un clavo MultiLoc®. Resultados a mediano plazo. Rev Asoc Argent Ortop Traumatol 2025;90(6):538-546. https://doi.org/10.15417/issn.1852-7434.2025.90.6.2222

 

 

Información del artículo

Identificación: https://doi.org/10.15417/issn.1852-7434.2025.90.6.2210

Fecha de publicación: Diciembre, 2025

Conflicto de intereses: Los autores no declaran conflictos de intereses.

Copyright: © 2025, Revista de la Asociación Argentina de Ortopedia y Traumatología.

Licencia: Este artículo está bajo una Licencia Creative Commons Atribución-No Comercial-Compartir Obras Derivadas Igual 4.0 Internacional. (CC-BY-NC-SA 4.0)