POSTGRADUATE ORTHOPEDIC INSTRUCTION - IMAGING

 

Case Resolution

 

Juan Manuel Trebino Molteni, Leticia I. Rodríguez

Foot and Ankle Sector, Orthopedics and Traumatology Service, Clínica Modelo de Lanús, Lanús, Buenos Aires, Argentina

 

Case Presentation on page 112.

 

Pain in the Hindfoot

 

ABSTRACT

We present the case of a 20-year-old male football player who consulted for medial hindfoot pain in his left foot, lasting for a few months, with no identifiable history of trauma and unresponsive to analgesics. On physical examination, pes planovalgus was observed, more pronounced on the affected side. Radiographs and magnetic resonance imaging (MRI) revealed an expansile, eccentric, well-defined, multilobulated lesion with internal fluid-fluid levels. Differential diagnoses are discussed: aneurysmal bone cyst, ganglion cyst, and intraosseous lipoma. The possible treatment is described.

Keywords: Bone cysts; calcaneus

Level of Evidence: IV

 

Dolor en el retropié

 

RESUMEN

Se presenta a un varón de 20 años, que practica fútbol habitualmente, y consulta por dolor interno del retropié izquierdo, de un par de meses de evolución, sin poder determinar un antecedente traumático y que no calma con analgésicos. En el examen físico, se constata pie plano valgo, más acentuado del lado del dolor. Se solicitan radiografías y una resonancia magnética que muestran una lesión expansiva, excéntrica, de contornos bien definidos, polilobulada, con niveles líquido-líquido en su interior. Se discuten los diagnósticos diferenciales: quiste óseo aneurismático, quiste óseo sinovial y lipoma intraóseo. Se describe el tratamiento posible.

Palabras clave: Quistes óseos; calcáneo.

Nivel de Evidencia: IV

 

DIAGNOSIS: Aneurysmal bone cyst (ABC).

 

DISCUSSION

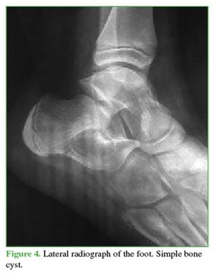
The differential diagnoses of a benign polylobulated calcaneal tumor included a simple bone cyst (Figure 4), an ABC (Figure 5), or an intraosseous lipoma (Figure 6).

A needle biopsy was performed under image intensifier guidance in the operating room, based on the assumption that the appearance of the extracted fluid would confirm the diagnosis. If the fluid was yellow, it would indicate a synovial cyst, requiring a specific type of treatment. If the fluid was hematic, it would confirm the diagnosis of an ABC.

 

After aspirating as much blood as possible, an ampoule of 3% polidocanol (a venous sclerosant) was injected (Figures 7-10).

Figures 11 and 12 show the clinical appearance of the patient two months after surgery, with no pain, minimal morbidity, and no complications.

In successive clinical and radiological follow-ups, cyst ossification and pain resolution were confirmed (Figures 13-15). After more than two years of follow-up, the patient has not sought further medical consultation. Since ABC is known to have a recurrence risk, long-term monitoring should be maintained.

ABC is a benign, expansile, locally aggressive bone pseudotumor. It is defined as a blood-filled cavity separated by connective tissue septa containing spindle cells, multinucleated giant cells, areas of hemosiderin staining, and a trabecular pattern. It has a high propensity for recurrence. ABC is a rare condition, with an incidence of approximately 0.14 per 100,000 population, representing between 1% and 1.4% of primary bone tumors. It can appear at any age, predominantly in children and young people under 20 years of age.1,2

In a study of 1,200 bone tumors, only 25 were multifocal ABCs (2.1% of the total).3

The optimal treatment for ABC remains a matter of debate and includes aggressive curettage with adjuvants such as cryotherapy, methacrylate or phenol cement, sclerotherapy, selective arterial embolization, and denosumab, with or without these procedures. Occasionally, ABCs heal spontaneously or after a pathological fracture.1,2,4,5 Varshney et al. compared 94 patients divided into two groups: Group 1 underwent repeated percutaneous sclerotherapy with polidocanol, while Group 2 underwent extended curettage and bone grafting to treat ABC, with a minimum follow-up of 3.2 years. Cure rates were similar in both groups, but complication rates, functional outcomes, and hospital burden were worse in Group 2. Recurrence rates were comparable between the two treatment methods. The authors concluded that repeated sclerotherapy is a minimally invasive and safer approach.4 Rastogi et al. evaluated the efficacy of percutaneous intralesional administration of 3% polidocanol (hydroxy-polyethoxydodecane) as sclerotherapy in 72 patients (46 men, 26 women) with histologically diagnosed ABCs at various skeletal sites. They reported that it is a safe alternative to conventional surgery, can be used in surgically inaccessible locations, and is an outpatient procedure.5

Mohaidat et al. studied 25 patients (17 male, 8 female), most of whom were either under 10 years old or over 20 years old. Unusual tumor locations included the scapula, olecranon, hamate bone, calcaneus, and first metatarsal.

They found that radiological imaging suggested other primary diagnoses in eight patients, and the diagnosis was confirmed via core needle biopsy in only two of seven cases. The authors emphasize the diagnostic challenges of ABC.6

Reddy et al. introduced a novel biopsy technique called “curopsy,” which consists of limited percutaneous curettage at the time of biopsy. This method involves obtaining the lining membrane from multiple quadrants of the cyst, leading to consolidation (“curopsy” = biopsy with curative intent), as some patients experienced spontaneous healing following biopsy alone.2

Van Geloven et al. state that curettage remains a valid therapeutic option, particularly when combined with adjuvant reaming, autologous bone grafting, and phenolization. However, percutaneous sclerotherapy with polidocanol is a viable alternative, achieving similar results in larger studies. Systemic therapy with denosumab has shown promising outcomes but should be reserved for unresectable lesions, as it can induce severe hypercalcemia in children. These authors recommend considering localization, stability, and safety when selecting a treatment approach.7

In a systematic review, Cottalorda et al. found that less invasive treatments—such as selective arterial embolization, alcohol or polidocanol sclerotherapy, and demineralized bone matrix injection—produce outcomes comparable to surgery, often with fewer complications. Therefore, these treatments can be recommended as first-line therapy.8

CONCLUSIONS

Diagnostic imaging and blood-fluid aspiration are sufficient for diagnosis and allow simultaneous injection of the sclerosing agent. In our case, this procedure was effective and did not cause complications. Given the rarity of this lesion, consultation with specialists in bone tumors is recommended.

Agradecimiento

We thank Dr. Pablo Segura.

 

REFERENCES

 

1.     Olivera Núñez D, Sabella Chelle N, Silveri Fajardo C, Gil J, Cuneo Etcheverry A. Tratamiento de quistes óseos aneurismáticos con aloinjerto. Rev Asoc Argent Ortop Traumatol 2016;81(2):128-38. https://doi.org/10.15417/396

2.     Reddy KIA, Sinnaeve F, Gaston CL, Grimer RJ, Carter SR. Aneurysmal bone cysts: do simple treatments work? Clin Orthop Relat Res 2014;472(6):1901-10. https://doi.org/10.1007/s11999-014-3513-1

3.     Valdespino-Gómez V, Cintra McGlone EA, Figueroa Beltrán MA. Tumores óseos. Prevalencia. Gaceta Médica de México 1990;126(4):325-34.

4.     Varshney MK, Rastogi S, Khan SA, Trikha V. Is sclerotherapy better than intralesional excision for treating aneurysmal bone cysts? Clin Orthop Relat Res 2010;468(6):1649-59. https://doi.org/10.1007/s11999-009-1144-8

5.     Rastogi S, Varshney MK, Trikha V, Khan SA, Choudhury B, Safaya R. Treatment of aneurysmal bone cysts with percutaneous sclerotherapy using polidocanol. A review of 72 cases with long-term follow-up. J Bone Joint Surg Br 2006;88(9):1212-6. https://doi.org/10.1302/0301-620X.88B9.17829

6.     Mohaidat ZM, Al-Gharaibeh SR, Aljararhih ON, Nusairat MT, Al-Omari AA. Challenges in the diagnosis and treatment of aneurysmal bone cyst in patients with unusual features. Adv Orthop 2019;2019:2905671. https://doi.org/10.1155/2019/2905671

7.     van Geloven TPG, van de Sande MAJ, der Heijden L. The treatment of aneurysmal bone cysts. Curr Opin Pediatr 2023;35(1):131-7. https://doi.org/10.1097/MOP.0000000000001205

8.     Cottalorda J, Sabah DL, Monrigal PJ, Jeandel C, Delpont M. Minimally invasive treatment of aneurysmal bone cysts: Systematic literature review. Orthop Traumatol Surg Res 2022;108(4):103272. https://doi.org/10.1016/j.otsr.2022.103272

 

 

ORCID de L. I. Rodríguez: https://orcid.org/0009-0006-3990-579X

 

Received on February 20th, 2025. Accepted after evaluation on February 24th, 2025 Prof. Dr. Juan Manuel Trebino Molteni mtrebino@gmail.comhttps://orcid.org/0009-0001-0643-8391

 

How to cite this article: Trebino Molteni JM, Rodríguez LI. Postgraduate Orthopedic Instruction – Imaging. Case Resolution. Rev Asoc Argent Ortop Traumatol 2025;90(2):197-203. https://doi.org/10.15417/issn.1852-7434.2025.90.2.2126

 

 

Article Info

Identification: https://doi.org/10.15417/issn.1852-7434.2025.90.2.2126

Published: April, 2025

Conflict of interests: The authors declare no conflicts of interest.

Copyright: © 2025, Revista de la Asociación Argentina de Ortopedia y Traumatología.

License: This article is under Attribution-NonCommertial-ShareAlike 4.0 International Creative Commons License (CC-BY-NC-SA 4.0)