INSTRUCCIÓN ORTOPÉDICA DE POSGRADO - IMÁGENES

 

Resolución del caso

 

Juan Manuel Trebino Molteni, Leticia I. Rodríguez

Sección Pie y Tobillo, Servicio de Ortopedia y Traumatología, Clínica Modelo de Lanús, Lanús, Buenos Aires, Argentina

 

Presentación del caso en la página 112.

 

Dolor en el retropié

 

RESUMEN

Se presenta a un varón de 20 años, que practica fútbol habitualmente, y consulta por dolor interno del retropié izquierdo, de un par de meses de evolución, sin poder determinar un antecedente traumático y que no calma con analgésicos. En el examen físico, se constata pie plano valgo, más acentuado del lado del dolor. Se solicitan radiografías y una resonancia magnética que muestran una lesión expansiva, excéntrica, de contornos bien definidos, polilobulada, con niveles líquido-líquido en su interior. Se discuten los diagnósticos diferenciales: quiste óseo aneurismático, quiste óseo sinovial y lipoma intraóseo. Se describe el tratamiento posible.

Palabras clave: Quistes óseos; calcáneo.

Nivel de Evidencia: IV

 

Pain in the Hindfoot

 

ABSTRACT

We present a 20-year-old male patient, active in sports to date (Football) who consults for internal pain of the left hindfoot, of a couple of months of evolution, without being able to determine the previous traumatic history. Physical examination shows hindfoot with Valgus Flatfoot, more accentuated on the pain side. Radiographic imaging and Nuclear Magnetic Resonance imaging studies were requested, showing an expansive, eccentric, well-defined contoured, polylobed lesion, with liquid-liquid levels inside. Differential diagnoses are discussed: aneurismal bone cyst, synovial bone cyst, and intraosseus lipoma. The possible treatment is described.

Keywords: Bone cysts; calcaneous.

Level of Evidence: IV

 

Diagnóstico: Quiste óseo aneurismático (QOA).

 

DISCUSIÓN

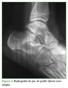
Se planteó el diagnóstico diferencial de tumor benigno polilobulado de calcáneo entre quiste sinovial simple óseo (Figura 4), QOA (Figura 5) o lipoma intraóseo (Figura 6).

Se realizó una punción con trócar bajo intensificador de imágenes en el quirófano, con la presunción de que el aspecto del líquido extraído durante la punción confirmaría el diagnóstico. Si el líquido es amarillo indica un quiste sinovial y requerirá un tipo de tratamiento, pero si es líquido hemático confirmaría el diagnóstico de QOA.

Luego de extraer la mayor cantidad de sangre posible, se inyectó una ampolla de polidocanol al 3% (esclerosante venoso) (Figuras 7-10).

 


En las Figuras 11 y 12, se muestra el aspecto clínico del paciente a los 2 meses de la cirugía, no sentía dolor, la morbilidad era mínima y no sufrió complicaciones.

 

En los sucesivos controles clínicos y radiológicos, se comprobó la osificación de los quistes y la desaparición del dolor (Figuras 13-15). Después de más de 2 años de seguimiento, el paciente no ha vuelto a consultar. Como se sabe que el QOA puede recidivar, se debe mantener un control a más largo plazo.

 

 

El QOA es una lesión ósea seudotumoral benigna, expansiva, localmente agresiva. Se define como una cavidad rellena de sangre, separada por tabiques de tejido conectivo con células fusiformes, células gigantes multinucleadas, áreas de depósito de hemosiderina y algunas trabéculas óseas. Tiene una alta propensión a la recurrencia. Es una enfermedad poco frecuente, cuya incidencia es de aproximadamente 0,14 por cada 100.000 habitantes (entre el 1% y el 1,4% de los tumores óseos primitivos). Puede aparecer a cualquier edad, predomina en niños y jóvenes menores de 20 años.1,2

En un estudio de 1200 tumores óseos, solo 25 eran QOA en varias localizaciones (2,1% del total).3

El tratamiento óptimo de los QOA sigue siendo un tema de debate, incluye curetaje agresivo con adyuvantes, como crioterapia, cemento de metacrilato o fenol, escleroterapia, embolización arterial selectiva y denosumab, o sin estos procedimientos. En ocasiones, cicatrizan espontáneamente o después de una fractura patológica.1,2,4,5 Varshney y cols. compararon 94 pacientes divididos en 2 grupos: grupo 1, sometidos a escleroterapia repetitiva percutánea con polidocanol y grupo 2, sometidos a curetaje extendido e injerto óseo para tratar el QOA, con un seguimiento mínimo de 3.2 años. Las tasas de curación fueron similares, pero, en el grupo 2, las tasas de complicaciones fueron más altas, los resultados funcionales fueron peores y la carga hospitalaria resultó mayor. Las tasas de recurrencia fueron similares para los dos métodos de tratamiento. Estos autores concluyeron en que la escleroterapia repetitiva es un método mínimamente invasivo y más seguro.4

Rastogi y cols. determinaron la eficacia de la administración intralesional percutánea de polidocanol al 3% (hidroxipolietoxidodecano) como escleroterapia en 72 pacientes (46 hombres, 26 mujeres) con diagnóstico histológico de QOA, en varios sitios esqueléticos, e informaron que es una alternativa segura a la cirugía convencional, que se puede utilizar en sitios quirúrgicamente inaccesibles y es ambulatoria.5

Mohaidat y cols. estudiaron a 25 pacientes (17 de sexo masculino y 8 de sexo femenino), la mayoría <10 años o >20 años. Las ubicaciones inusuales eran: escápula, olécranon, hueso ganchoso, calcáneo y primer metatarsiano. Comunicaron que las imágenes radiológicas sugirieron otros diagnósticos primarios en 8 pacientes y que se llegó al diagnóstico mediante la biopsia con aguja gruesa solo en 2 de 7 pacientes, por lo que sostienen que el diagnóstico es difícil.6

Reddy y cols. introdujeron una técnica de biopsia novedosa que llamaron “curopsy”, se trata de un curetaje percutáneo limitado en el momento de la biopsia, obteniendo la membrana de revestimiento de varios cuadrantes del quiste que conduce a la consolidación (“curopsy” = biopsia con intención de curar) basados en que algunos pacientes cicatrizaron después de una biopsia únicamente.2

van Geloven y cols. afirman que el curetaje sigue siendo una opción terapéutica válida, especialmente con fresado adyuvante, injerto óseo autólogo y fenolización, aunque la escleroterapia percutánea con polidocanol es una alternativa válida que logró similares resultados en estudios más amplios. La terapia sistemática con denosumab ha dado resultados favorables, pero debe reservarse para lesiones irresecables, ya que puede provocar hipercalcemia grave en los niños. Estos autores recomiendan considerar la localización, la estabilidad y la seguridad al seleccionar una opción de tratamiento.7

En una revisión sistemática de la bibliografía, Cottalorda y cols. hallaron que los tratamientos menos invasivos (embolización arterial selectiva, escleroterapia con alcohol o polidocanol e inyección de matriz ósea desmineralizada) generan resultados tan buenos como la cirugía, a menudo, con menos complicaciones, por lo que pueden recomendarse como terapia de primera línea.8

CONCLUSIONES

El diagnóstico por imágenes y la punción de líquido hemático son suficientes y permiten, en el mismo acto, inyectar la sustancia esclerosante. En nuestro caso, este procedimiento fue eficaz y no provocó complicaciones. Dado que es una lesión infrecuente, consideramos necesario consultar a especialistas en tumores óseos.

Agradecimiento

Al Dr. Pablo Segura.

BIBLIOGRAFÍA

1.     Olivera Núñez D, Sabella Chelle N, Silveri Fajardo C, Gil J, Cuneo Etcheverry A. Tratamiento de quistes óseos aneurismáticos con aloinjerto. Rev Asoc Argent Ortop Traumatol 2016;81(2):128-38. https://doi.org/10.15417/396

2.     Reddy KIA, Sinnaeve F, Gaston CL, Grimer RJ, Carter SR. Aneurysmal bone cysts: do simple treatments work? Clin Orthop Relat Res 2014;472(6):1901-10. https://doi.org/10.1007/s11999-014-3513-1

3.     Valdespino-Gómez V, Cintra McGlone EA, Figueroa Beltrán MA. Tumores óseos. Prevalencia. Gaceta Médica de México 1990;126(4):325-34.

4.     Varshney MK, Rastogi S, Khan SA, Trikha V. Is sclerotherapy better than intralesional excision for treating aneurysmal bone cysts? Clin Orthop Relat Res 2010;468(6):1649-59. https://doi.org/10.1007/s11999-009-1144-8

5.     Rastogi S, Varshney MK, Trikha V, Khan SA, Choudhury B, Safaya R. Treatment of aneurysmal bone cysts with percutaneous sclerotherapy using polidocanol. A review of 72 cases with long-term follow-up. J Bone Joint Surg Br 2006;88(9):1212-6. https://doi.org/10.1302/0301-620X.88B9.17829

6.     Mohaidat ZM, Al-Gharaibeh SR, Aljararhih ON, Nusairat MT, Al-Omari AA. Challenges in the diagnosis and treatment of aneurysmal bone cyst in patients with unusual features. Adv Orthop 2019;2019:2905671. https://doi.org/10.1155/2019/2905671

7.     van Geloven TPG, van de Sande MAJ, der Heijden L. The treatment of aneurysmal bone cysts. Curr Opin Pediatr 2023;35(1):131-7. https://doi.org/10.1097/MOP.0000000000001205

8.     Cottalorda J, Sabah DL, Monrigal PJ, Jeandel C, Delpont M. Minimally invasive treatment of aneurysmal bone cysts: Systematic literature review. Orthop Traumatol Surg Res 2022;108(4):103272. https://doi.org/10.1016/j.otsr.2022.103272

 

 

ORCID de L. I. Rodríguez: https://orcid.org/0009-0006-3990-579X

 

Recibido el 20-2-2025. Aceptado luego de la evaluación 24-2-2025 Prof. Dr. Juan Manuel Trebino Molteni mtrebino@gmail.com https://orcid.org/0009-0001-0643-8391

 

Cómo citar este artículo: Trebino Molteni JM, Rodríguez LI. Instrucción Ortopédica de Posgrado – Imágenes. Resolución del caso. Rev Asoc Argent Ortop Traumatol 2025;90(2):197-203. https://doi.org/10.15417/issn.1852-7434.2025.90.2.2126

 

 

Información del artículo

Identificación: https://doi.org/10.15417/issn.1852-7434.2025.90.2.2126

Fecha de publicación: Abril, 2025

Conflicto de intereses: Los autores no declaran conflictos de intereses.

Copyright: © 2025, Revista de la Asociación Argentina de Ortopedia y Traumatología.

Licencia: Este artículo está bajo una Licencia Creative Commons Atribución-No Comercial-Compartir Obras Derivadas Igual 4.0 Internacional. (CC-BY-NC-SA 4.0)