CLINICAL RESEARCH

 

Insertional Achilles Tendinopathy: Surgical Treatment with Double-Row Suture Anchors. Case Series

 

Julieta Brué, Virginia M. Cafruni, Ana C. Parise, Julián M. Parma, Daniel S. Villena, Leonardo Á. Conti, N. Marina Carrasco, Pablo Sotelano, María Gala Santini Araujo

Foot and Ankle Medicine and Surgery Department, Hospital Italiano de Buenos Aires, Autonomous City of Buenos Aires, Argentina.

 

ABSTRACT

Introduction: Insertional Achilles tendinopathy (IAT) that fails to improve with conservative management often requires surgical intervention. One surgical approach consists of resecting the retrocalcaneal exostosis, debriding intratendinous calcifications, and reattaching the Achilles tendon. The use of a double-row suture anchor system has been proposed to increase the tendon–bone contact area at the insertion site and enhance biomechanical stability. The purpose of this study is to report the clinical and functional outcomes of patients treated with this technique. Materials and Methods: A retrospective study was conducted on consecutive adult patients who underwent surgical treatment for IAT using a double-row suture anchor system. Demographic data, time to return to work and sports, visual analog scale (VAS) scores, patient satisfaction, and complications were recorded. Results: Twenty-one patients were included, with a mean age of 55 years (range, 45–63). Of these, 76.14% reported being very satisfied with the outcome. The average time to return to daily activities was 2.96 months, and the time to return to sports was 5 months. The mean VAS score decreased from 9.26 preoperatively to 2.5 postoperatively (p < 0.05). Conclusion: Surgical treatment of insertional Achilles tendinopathy with a double-row suture anchor technique is an effective option. It is associated with high patient satisfaction, early return to daily activities, full return to sports, and a low complication rate.

Keywords: Insertional Achilles tendinopathy; Haglund deformity; Achilles tendon reattachment; double-row suture anchors; SpeedBridge™.

Level of Evidence: IV

 

Tendinopatía insercional del tendón de Aquiles: tratamiento quirúrgico con anclajes en doble hilera. Serie de casos

 

RESUMEN

Introducción: La tendinopatía insercional del tendón de Aquiles que no mejora con un tratamiento conservador requiere cirugía. Uno de los tratamientos quirúrgicos es la resección de la exostosis retrocalcánea, el desbridamiento de las calcificaciones intra-tendinosas y la reinserción del tendón de Aquiles. Para ello, hay un sistema de anclajes de doble hilera que permitiría una mayor área de contacto con el área de inserción y generaría más estabilidad biomecánica. El propósito de este artículo es comunicar los resultados clínicos y funcionales en pacientes operados con esta técnica. Materiales y Métodos: Se realizó un estudio retrospectivo en pacientes adultos consecutivos operados por tendinopatía insercional del tendón de Aquiles mediante un sistema de anclajes de doble hilera. Se registraron los datos demográficos, el tiempo hasta el retorno al trabajo y al deporte, el puntaje de la escala analógica visual, el nivel de satisfacción y las complicaciones. Resultados: Se incluyó a 21 pacientes (edad media 55 años; rango 45-63). El 76,14% estaba muy satisfecho. El tiempo medio hasta el retorno a las actividades habituales fue de 2.96 meses y hasta el retorno al deporte, de 5 meses. El puntaje de la escala analógica visual fue de 9,26 antes de la cirugía y de 2,5 después (p <0,05). Conclusiones: El tratamiento con anclaje de doble hilera para la tendinopatía insercional del tendón de Aquiles es una opción eficaz, permite un retorno temprano a las actividades habituales y el retorno completo al deporte. Las complicaciones son limitadas y el nivel de satisfacción es alto.

Palabras clave: Tendinopatía insercional del tendón de Aquiles; Haglund; reinserción; doble hilera; SpeedBridge™.

Nivel de Evidencia: IV

 

INTRODUCTION

Between 2% and 6% of the population will experience some form of Achilles tendon pain during their lifetime.1,2 One third of these patients will suffer from insertional Achilles tendinopathy (IAT).3,4 IAT is commonly diagnosed in competitive or recreational athletes but can affect people of all activity levels, with the most common age of presentation being in the 40s.5,6

IAT includes three entities that can appear either in isolation or simultaneously: insertional tendinosis of the Achilles tendon with intratendinous calcifications, retrocalcaneal bursitis, and exostosis of the posterior calcaneal tuberosity, also known as Haglund’s deformity.7,8 When these conditions occur together, they are referred to as “Haglund’s triad” or “Haglund’s syndrome,” in recognition of Patrick Haglund, who first described the condition in 1928.9

Clinically, it presents with pain and a palpable prominence in the posterolateral region of the heel, accompanied by localized erythema and edema that limits both work and sports activities and causes discomfort with footwear.8-10

The initial treatment of choice is conservative and may include non-steroidal anti-inflammatory drugs (NSAIDs), activity and footwear modification, orthoses, immobilization, eccentric exercises, extracorporeal shockwave therapy, nitroglycerin patches, corticosteroid infiltrations, or sclerosing agents.11-13 Even when appropriately applied, this type of treatment has a reported success rate of less than 50%.14 After six months of failed conservative treatment, surgical intervention is indicated.1,2,5,6,10-15

The surgical procedure consists of resection of the retrocalcaneal exostosis, excision of the bursa, debridement of the diseased tendon and intratendinous calcifications, and reattachment of the Achilles tendon to the calcaneus.1,2,5,8 This can be achieved through various approaches, including open, endoscopic, and percutaneous. The endoscopic and percutaneous techniques allow for decompression of the retrocalcaneal space; however, they present challenges in adequately debriding degenerative tissue and intratendinous calcifications.1,2,13 The open approach allows for complete access to the triad due to greater exposure and can be performed through a posterolateral, postero-medial, or central incision.3 Debridement of the Achilles tendon may involve a partial, complete, or central split of the tendon. It has been shown that the risk of postoperative tendon tear is lower if less than 50% of the tendon is detached. If more than 50% of the tendon must be detached, reinsertion with suture anchors is necessary.15 Compared to a single-row anchor technique, a double-row configuration provides a larger contact area at the insertion site and greater biomechanical stability, allowing for earlier rehabilitation and reduced immobilization and non-weight-bearing time.12,13,15

The purpose of this study was to evaluate the clinical and functional outcomes in patients diagnosed with IAT who underwent surgery in our department using an open approach with tendon detachment, resection of the retrocalcaneal exostosis, excision of the bursa, debridement of the diseased tendon and intratendinous calcifications, and reinsertion of the Achilles tendon to the calcaneus using a double-row anchor system.

 

MATERIALS AND METHODS

An observational, retrospective, descriptive case series study was conducted. The population consisted of consecutive adult male and female patients operated on by the same team from the Sector of Ankle and Foot Medicine and Surgery, treated for TIA using the Achilles SpeedBridge™ Repair double-row anchor system (Arthrex Inc., FL, USA) between March 2015 and March 2021.

Data were obtained systematically from the patients’ digital medical records during preoperative and postoperative consultations and were supplemented by a personal patient questionnaire. Data collection and measurements were performed by a fellow and a junior surgeon from the team, who did not participate as surgeons in these procedures.

This research received prior approval from the institution’s Ethics Committee and complies with the regulations of the Declaration of Helsinki and Good Clinical Practices. Data confidentiality is guaranteed in accordance with the Personal Data Protection Law No. 25,326.

Patients over 18 years old with a diagnosis of TIA with Haglund’s triad, who had failed conservative treatment—including footwear adaptations, orthoses, physical therapy, posterior muscle chain elongation exercises, and oral non-steroidal anti-inflammatory drugs—for a minimum of 6 months, and who had a minimum postoperative follow-up of 12 months, were included.

Patients were excluded if they required associated procedures such as flexor hallucis longus muscle transfer, Achilles tendon lengthening or V-Y advancement, or had traumatic tendon disinsertion, previous Achilles tendon surgery, or incomplete electronic medical records.

The variables recorded were: sex and age, affected side, duration in months from symptom onset to surgery, and comorbidities such as diabetes, smoking, obesity, overweight, and dyslipidemia. Body mass index (BMI) was also recorded and used as an indicator of nutritional status, classifying patients as underweight (<18.5), normal weight (18.5–24.9), overweight (25–29.9), or obese (≥30).

The visual analog scale (VAS) was used to assess pain intensity before and after surgery. This scale consists of a 10-cm horizontal line, with endpoints representing no pain (0) and maximum pain intensity (10). Patients marked the perceived pain intensity, which was then measured with a millimeter ruler and classified as mild (<3), moderate (4–7), or severe (≥8).

In addition, postoperative satisfaction was assessed through a subjective survey in which patients rated the clinical and functional outcomes as “very good” (favorable evolution without pain or discomfort), “good” (satisfaction with mild discomfort and no difficulty walking), “moderate” (moderate pain with some difficulty walking), or “poor” (persistent pain, little improvement, and regret undergoing this technique).

Post-surgical complications were also recorded, including superficial or deep infections, pain, wound dehiscence, nerve or vascular injuries, tendon disinsertion, and limited range of motion. The severity of complications was assessed using the Clavien-Dindo classification modified for foot and ankle surgery.16

 

Surgical Technique

The patient is placed in the prone position with both legs on the operating table, and regional anesthesia is administered. A hemostatic cuff is placed on the thigh. An inverted T-approach to the Achilles tendon is performed, releasing the diseased insertion of the tendon, and, if necessary, it is completely detached.

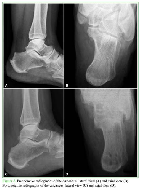
The retrocalcaneal bursa is resected, the diseased portion of the tendon is debrided, and Haglund’s deformity is resected using an oscillating saw (Figure 1). The healthy remnant of the Achilles tendon is then reinserted at the insertion site using the Achilles SpeedBridge™ double-row suture system. Finally, layered closure is performed (Figures 2 and 3).

 

 

 

 

 

 

 

 

 

 

 

Post-surgical Protocol

The immediate post-surgical protocol consists of antibiotic prophylaxis with cephalexin 1 g every 12 hours for 48 hours, and an analgesia plan according to the patient’s needs.

Patients are monitored at 7 and 15 days, and at 1, 2, 3, and 6 months, and at 1 year. All patients are checked weekly during the first 2 weeks for wound healing and cast monitoring.

A short plaster boot is maintained in equinus for 2 weeks, non-weight-bearing. After that, a Walker boot with a 4 cm heel lift is used to maintain the equinus. Weight-bearing is initiated according to tolerance, and ankle mobility exercises are allowed, without exceeding neutral dorsiflexion. From the fourth week, walking in slippers is allowed, with full weight-bearing as tolerated. Muscle strengthening exercises are initiated and gradually progressed, with gentle stretching introduced in the third month. Progressive and impact sports activities may begin from the fifth month.

 

Clinical, Functional and Satisfaction Assessment

At follow-up visits, the time in months to return to normal and sports activities, as well as post-surgical complications, were recorded.

 

 

 

 

 

At the 1-year follow-up, VAS scores and satisfaction with surgery were documented.

 

Statistical Analysis

A descriptive analysis of the variables was performed using mean and standard deviation (SD), or median and interquartile range (IQR) for numerical variables, according to their distribution. Categorical variables are expressed as absolute values and proportions. For objectives requiring comparison between continuous variables in different groups, Student’s t test for paired samples was used. A p value <0.05 was considered statistically significant.

Statistical analysis was performed using Stata 17©, Version 2021, StataCorp LLC.

 

RESULTS

The study population consisted of 21 consecutive adult male and female patients diagnosed with TIA, operated on by the same surgical team using an open technique for reinsertion with a double-row suture system, between March 2015 and March 2021.

 

Demographic and Clinical Characteristics

The median (IQR) age at surgery was 55 years (range 45–63), with 11 patients (52.3%) being male. Eleven (52.3%) of the operated Achilles tendons were on the right side. The median (IQR) follow-up was 16 months (range 6–24). The median (IQR) time to surgery from symptom onset was 12 months (range 12–18).

Among the comorbidities recorded, the mean BMI was 31.3 (SD 5.8): 9 patients (42.8%) were classified as obese, one (4%) had controlled diabetes, 5 (23.8%) were smokers, and 4 (19%) had dyslipidemia.

The demographic and clinical characteristics of the patients are detailed in Table 1.

 

 

 

 

 

 

Functional and Clinical Outcomes

A total of 76.14% of patients reported being “very satisfied” with the results of this surgical technique. None considered their outcome unsatisfactory.

The mean VAS score was 9.26 (SD 1.6) preoperatively and 2.5 (SD 1.62) postoperatively, showing a statistically significant difference (p<0.05). Functional outcomes are shown in Table 2.

 

 

 

 

 

 

Time Until Return to Normal and Sporting Activities

The mean time to return to usual activities was 2.96 months (SD 1.65), while the mean time to return to sports was 5 months (SD 2.19).

 

Complications

Five complications were recorded (23.8%). Three patients experienced discomfort due to the anchors, which required removal one year postoperatively. One patient developed a deep infection secondary to wound dehiscence, requiring surgical debridement, and another experienced deep vein thrombosis. Table 3 shows the modified Clavien-Dindo classification for foot and ankle surgery.

 

 

 

 

 

 

DISCUSSION

This study demonstrates that the combination of debridement of the diseased tendon, calcaneoplasty, reconstruction of the insertion area, and tendon reattachment with double-row anchorage for the treatment of TIA significantly relieves pain, enables rapid recovery for resumption of daily and sporting activities, and yields a high level of patient satisfaction.

Achilles tendinopathy has a multifactorial etiology. Hindfoot alignment, type of footwear, and heel height can influence its development, as can overuse in sports activities. In addition, there is evidence that genetic and medical factors, such as diabetes, advanced age, hypertension, obesity, and the use of corticosteroids and fluoro-quinolones, are associated with Achilles tendinopathies.6,11 In our population, the rate of comorbidities was high; overweight predominated, with an average BMI of 31.3 (SD 5.8). Nine patients (42.8%) had obesity, and one (4%) had controlled diabetes. These findings reinforce the importance of considering comorbidities in the evaluation and treatment of Achilles tendinopathies.

Our results show a significant improvement in functional scores and a high level of satisfaction after surgery. The mean VAS score was 9.26 (SD 1.6) in the pre-surgical evaluation and 2.5 (SD 1.62) postoperatively, a statistically significant difference (p < 0.05). In addition, 76.14% reported being “very satisfied” with the outcomes of this surgical technique. These findings are comparable with those published on this same technique. In a study of 13 patients, Abarquero-Diezhandino et al.17 reported a preoperative VAS score of 8.8 and 1.3 after surgery. In addition, the American Orthopaedic Foot and Ankle Society (AOFAS) score improved from 34.8 to 90.9, with an average increase of 56.1 points, which was statistically significant. In the most recent series, published by Stumpner et al.,18 sports capacity and ankle function were evaluated in 25 patients who underwent the same surgical technique. The results showed a significant reduction in the VAS score for pain during sports activity from 7.4 (SD 2.5) to 1.2 (SD 2.0) after surgery (p < 0.001). Moreover, sports ability and subjective perception of physical fitness improved significantly, from 3.6 (SD 3.0) and 3.5 (SD 2.2) to 8.8 (SD 2.4) and 8.8 (SD 2.2), respectively (p < 0.001). There was also a trend toward a transition from high-impact sports to lower-impact sports after surgery. Ninety-six percent of patients rated the surgical outcome as good or excellent, which aligns with the findings of our study.

These results support the efficacy of the double-row anchor technique for TIA, resulting in marked improvement in pain and function, with high levels of satisfaction and return to activity.

There are several techniques for Achilles tendon reattachment, and the optimal method remains a matter of debate.18 In a cadaveric study, Achilles tendon reattachment using single-row versus double-row anchors was compared in 18 specimens.13 Half of the specimens were fixed with a single row of anchors, while the other half were fixed with double-row anchors. According to the results, the double-row technique provided greater coverage of the insertion area and greater load resistance, suggesting a more robust fixation and potentially earlier rehabilitation. Rigby et al.5 published a series of 43 cases in which they used a double row of anchors for reinsertion in patients with TIA, and 81% had an associated procedure (gastrocnemius resection [33 cases] and flexor hallucis longus transfers [2 cases]). Weight-bearing was initiated at an average of 10 days (range 0–28). These results are consistent with those of our postoperative protocol, which allows partial weight-bearing from the second week according to tolerance.

Our approach of choice is the central inverted T incision, as it allows complete exposure of the insertion, preserving the medial and lateral insertions, if necessary. This facilitates wide debridement of the diseased tissue without risk of vascular or nerve injury. In addition, this approach has been shown to achieve good clinical outcomes and to result in few complicatThe complication rate for this procedure ranges from 6% to more than 30%, with the most frequent complications being wound healing problems, pain in the scar area, and sural nerve injury.1 In our study, the overall complication rate was 23.8%, with only one serious complication: a deep infection (4.7%). Additionally, three patients reported discomfort from the anchors and required reoperation to remove them—a complication already reported by Vega et al.—12 who described discomfort from subcutaneous knots in 2 of 12 patients, both of whom also required revision surgery. Despite this, all our patients remained satisfied with the final surgical outcome. It is important to note that no cases of disinsertion or vascular or nerve injuries were reported.

A strength of this study is that it analyzes a surgical technique performed by the same team, providing consistency in the procedure and follow-up. This is likely the first study on this technique conducted in our region, offering valuable information to the local literature. However, its limitations include its retrospective design and the small sample size. To obtain stronger evidence, comparative and randomized studies are needed.

 

CONCLUSIONS

Surgical treatment with double-row anchorage for TIA unresponsive to conservative management represents an effective intervention. This surgery allows for a full return to daily and sports activities, high levels of satisfaction, significant pain reduction, and a low incidence of serious complications. These findings support its consideration as a valid therapeutic option in selected cases.

 

BIBLIOGRAFÍA

 

1.     Chimenti RL, Cychosz CC, Hall MM, Phisitkul P. Current concepts review update: Insertional Achilles tendinopathy. Foot Ankle Int 2017;38(10):1160-9. https://doi.org/10.1177/1071100717723127

2.     Lopes R, Ngbilo C, Padiolleau G, Boniface O. Endoscopic speed bridge: A new treatment for insertional Achilles tendinopathy. Orthop Traumatol Surg Res 2021;107(6):102854. https://doi.org/10.1016/j.otsr.2021.102854

3.     Karjalainen PT, Soila K, Aronen HJ, Pihlajamäki HK, Tynninen O, Paavonen T, et al. MR imaging of overuse injuries of the Achilles tendon. AJR Am J Roentgenol 2000;175(1):251-60. https://doi.org/10.2214/ajr.175.1.1750251

4.     Khan KM, Forster BB, Robinson J, Cheong Y, Louis L, Maclean L, et al. Are ultrasound and magnetic resonance imaging of value in assessment of Achilles tendon disorders? A two year prospective study. Br J Sports Med 2003;37(2):149-53. https://doi.org/10.1136/bjsm.37.2.149

5.     Rigby RB, Cottom JM, Vora A. Early weightbearing using Achilles suture bridge technique for insertional Achilles tendinosis: a review of 43 patients. J Foot Ankle Surg 2013;52(5):575-9. https://doi.org/10.1053/j.jfas.2012.11.004

6.     Irwin TA. Current concepts review: insertional achilles tendinopathy. Foot Ankle Int 2010;31(10):933-9. https://doi.org/10.3113/FAI.2010.0933

7.     DeOrio MJ, Easley ME. Surgical strategies: insertional achilles tendinopathy. Foot Ankle Int 2008;29(5):542-50. https://doi.org/10.3113/FAI-2008-0542

8.     DeVries JG, Summerhays B, Guehlstorf DW. Surgical correction of Haglund’s triad using complete detachment and reattachment of the Achilles tendon. J Foot Ankle Surg 2009;48(4):447-51. https://doi.org/10.1053/j.jfas.2009.03.004

9.     Sergio F. Haglund’s disease: notes on clinical diagnosis and surgical technique. Foot Ankle Surg 1997;3(4):175-81. https://doi.org/10.1046/j.1460-9584.1997.00071.x

10.  Vega MR, Cavolo DJ, Green RM, Cohen RS. Haglund’s deformity. J Am Podiatry Assoc 1984;74(3):129-35. https://doi.org/10.7547/87507315-74-3-129

11.  Witt BL, Hyer CF. Achilles tendon reattachment after surgical treatment of insertional tendinosis using the suture bridge technique: a case series. J Foot Ankle Surg 2012;51(4):487-93. https://doi.org/10.1053/j.jfas.2012.03.006

12.  Vega J, Baduell A, Malagelada F, Allmendinger J, Dalmau-Pastor M. Endoscopic Achilles tendon augmentation with suture anchors after calcaneal exostectomy in Haglund syndrome. Foot Ankle Int 2018;39(5):551-9. https://doi.org/10.1177/1071100717750888

13.  Beitzel K, Mazzocca AD, Obopilwe E, Boyle JW, McWilliam J, Rincon L, et al. Biomechanical properties of double- and single-row suture anchor repair for surgical treatment of insertional Achilles tendinopathy. Am J Sports Med 2013;41(7):1642-8. https://doi.org/10.1177/0363546513487061

14.  Nicholson CW, Berlet GC, Lee TH. Prediction of the success of nonoperative treatment of insertional Achilles tendinosis based on MRI. Foot Ankle Int 2007;28(4):472-7. https://doi.org/10.3113/fai.2007.0472

15.  Scott AT, Long CS, Jaramillo TJ, Lara DL, Marois AJ, Juneja P. Review of Achilles tendon reattachment using double-row knotted and knotless techniques in the management of insertional Achilles tendinopathy. J Foot Ankle Surg 2022;61(5):927-31. https://doi.org/10.1053/j.jfas.2021.12.015

16.  Lewis TL, Mason L, Gordon D, Ray R. The Clavien-Dindo complication classification modified for foot and ankle orthopaedic surgery. Foot Ankle Surg 2022;28(6):800-2. https://doi.org/10.1016/j.fas.2022.03.006

17.  Abarquero-Diezhandino A, Vacas-Sánchez E, Hernanz-González Y, Vilá-Rico J. Estudio de los resultados clínico-funcionales de la calcaneoplastia abierta y reparación tendinosa con sistema de cinta y doble hilera en el tratamiento de la tendinopatía insercional del tendón de Aquiles. Rev Esp Cir Ortop Traumatol 2021;65(1):47-53. https://doi.org/10.1016/j.recot.2020.07.003

18.  Stumpner T, Recheis S, Gruber MS, Kindermann H, Mattausch D, Bock P, et al. Achilles tendon debridement, calcaneoplasty and double-row tendon footprint reconstruction improve ankle function and athletic performance in patients with insertional Achilles tendinopathy. Foot Ankle Surg 2024;30(8):673-80. https://doi.org/10.1016/j.fas.2024.05.014

19.  Calder JDF, Saxby TS. Surgical treatment of insertional Achilles tendinosis. Foot Ankle Int 2003;24(2):119-21. https://doi.org/10.1177/107110070302400203

 

 

V. M. Cafruni ORCID ID: https://orcid.org/0000-0002-8115-6300     

L. Á. Conti ORCID ID: https://orcid.org/0000-0003-2333-5834

A. C. Parise ORCID ID: https://orcid.org/0000-0001-7308-3693         

N. M. Carrasco ORCID ID: https://orcid.org/0000-0002-1251-4936

J. M. Parma ORCID ID: https://orcid.org/0000-0003-0337-289X        

P. Sotelano ORCID ID: https://orcid.org/0000-0001-8714-299X

D. S. Villena ORCID ID: https://orcid.org/0000-0001-5742-1226

M. G. Santini Araujo ORCID ID: https://orcid.org/0000-0002-5127-5827

 

Received on February 9th, 2025. Accepted after evaluation on February 27th, 2025 Dr. Julieta Brué julietabrue@gmail.com https://orcid.org/0000-0001-8378-0863

 

How to cite this article: Brué J, Cafruni VM, Parise AC, Parma JM, Villena DS, Conti LÁ, Carrasco NM, Sotelano P, Santini Araujo MG. Insertional Achilles Tendinopathy: Surgical Treatment with Double-Row Suture Anchors. Case Series. Rev Asoc Asoc Argent Ortop Traumatol 2025;90(2):141-149. https://doi.org/10.15417/issn.1852-7434.2025.90.2.2114

 

 

Article Info

Identification: https://doi.org/10.15417/issn.1852-7434.2025.90.2.2114

Published: April, 2025

Conflict of interests: The authors declare no conflicts of interest.

Copyright: © 2025, Revista de la Asociación Argentina de Ortopedia y Traumatología.

License: This article is under Attribution-NonCommertial-ShareAlike 4.0 International Creative Commons License (CC-BY-NC-SA 4.0)