CASE PRESENTATION

 

Volkmann and Tillaux Fracture in Adults. Unusual Bimalleolar Equivalent. A Case Report

 

Juan Manuel Romero Ante, Juan Gabriel Jaramillo

Orthopedics and Traumatology Service, Foot and Ankle Surgery, Clínica Antioquia, Itagüí, Colombia.

 

ABSTRACT

Fractures of the distal anterolateral malleolus of the tibia, or Tillaux-Chaput fractures, are frequently seen in skeletally immature patients and rarely in adults. The posterior distal ridge of the tibia or Volkmann’s fragment may be presented as an isolated fracture, but most often forming part of ankle fracture-dislocation trimalleolar, quadrimalleolar, as well as in Maisonneuve-type injuries. However, the synchronous presence of Volkmann-Tillaux fractures is very unusual and rarely reported in the literature. We present a case of bimalleolar equivalent fracture in an adult, along with its diagnosis, classification, management and clinical-radiological evolution.

Keywords: Tillaux; Chaput; malleolar equivalent; Volkmann; bimaleolar; case report.

Level of Evidence: IV

 

Fractura de Volkmann y Tillaux en adultos. Equivalente bimaleolar inusual. Reporte de un caso

 

RESUMEN

Las fracturas del maléolo anterolateral distal de la tibia o de Tillaux-Chaput son frecuentes en los pacientes esqueléticamente inmaduros y son raras en los adultos. El reborde distal posterior de la tibia o fragmento de Volkmann puede presentarse como una fractura aislada, pero, con más frecuencia, como parte de una luxofractura trimaleolar, cuadrimaleolar, así como en lesiones de tipo Maisonneuve. Sin embargo, la presencia sincrónica de fracturas de Volkmann-Tillaux es muy inusual y pocas veces publicada. Presentamos un caso de fractura equivalente bimaleolar en un adulto, su diagnóstico, la clasificación, el manejo y la evolución clínico-radiológica.

Palabras clave: Tillaux; Chaput; equivalente maleolar; Volkmann; bimaleolar; reporte de caso.

Nivel de Evidencia: IV

 

INTRODUCTION

The distal tibiofibular joint is a syndesmosis, or fibrous joint, composed of two bones and four ligaments. The bony components are the distal tibia and fibula, while the ligamentous structures include the anteroinferior tibio-fibular ligament, interosseous ligament, posteroinferior tibiofibular ligament, and transverse ligament.1 At the apex of this syndesmosis, the tibial crest divides into an anterior margin that ends at the distal anterolateral portion of the tibial plafond, known as Tillaux-Chaput’s tubercle, while the posterior ridge ends at the distal posterolateral tibial margin, called Volkmann’s tubercle. Together, these structures form the triangular bony bed of the talocrural joint, which houses the distal 6 cm of the fibula.2

The distal posterior tibial margin was first described by Destot in 1911 and has been referred to as the third malleolus, although this may not be the most anatomically accurate term, as it does not resemble a small hammer (the original meaning of the Latin term malleolus). The distal anterolateral tubercle is known as Tillaux-Chaput’s tubercle, named after the two French surgeons who studied this area in 1872 and 1907, respectively. Since 1996, thanks to the work of van Laarhoven,3 it has also been referred to as the fourth malleolus.

The anteroinferior tibiofibular ligament is the smallest of the syndesmotic ligaments, with a fibular insertion of 8.5 mm.2 It originates from Tillaux-Chaput’s tubercle and inserts into the distal anterior portion of the fibula, known as Wagstaffe-Le Fort’s tubercle. This ligament provides 35% of syndesmotic stability. The posteroinferior tibiofibular ligament runs between Volkmann’s tubercle and the posterior margin of the distal fibula, contributing 33% of syndesmotic stability. Its deep portion, known as the transverse inferior tibiofibular ligament, is a strong fibrocartilaginous structure just distal to the posteroinferior tibiofibular ligament. Lastly, the interosseous ligament, which is the distal extension of the interosseous membrane, is located 9.3 mm from the tibial plafond and contributes 22% of syndesmotic stability.4

Tillaux-Chaput fractures account for 2.9% of physeal injuries in skeletally immature patients. This injury results from trauma in adolescents aged 14 to 16 years, who present with asymmetric closure of the distal tibial physis. It is classified as a Salter-Harris type III fracture.5 In contrast, this injury is rare in adults. As of 2019, only small series of cases had been published, with no more than 32 cases reported. The mechanisms of trauma in adults include ankle sprains (50%), traffic accidents (24%), and falls from heights (24%).6

Posterior malleolar fractures are often associated with lateral malleolar injuries, medial malleolar fractures, or Maisonneuve fractures. However, when isolated, they account for only 0.5–1% of all ankle fractures. As of 2016, the number of reported isolated cases did not exceed 75 patients. In these cases, the pathophysiological mechanism primarily involved axial loading with a fixed ankle in plantarflexion, although rotational forces were also thought to contribute.7

Ankle radiography is the first-line imaging modality in trauma patients. However, its sensitivity for detecting isolated posterior malleolar fractures is only 63%, and for Tillaux-Chaput fractures, it is as low as 50%. Given these limitations, the use of complementary imaging techniques, such as computed tomography (CT), has become standard practice in foot and ankle trauma. CT offers minimal motion artifacts, high image resolution, and the possibility of three-dimensional reconstruction. Although the radiation dose is approximately 1 mSv (compared to 0.01 mSv for conventional radiography), it remains within the low-dose range when compared to tomographic studies of other body regions.8

The classification systems proposed by Rammelt (2015) and Bartoníček (2021) provide a framework for categorizing these fractures. Tillaux-Chaput fractures are classified into three types based on size, involvement of the fibular incisura, and articular depression. For posterior malleolar fractures, there are five types, categorized by fragment morphology, the presence of an intercalary segment, medial extension, and involvement of the tibial incisura. These classifications help guide surgical approach and management.9,10

Here, we present the diagnosis and management of a rare injury in an adult patient with ankle trauma. The patient sustained a simultaneous anterior and posterior malleolar fracture, with no other associated injuries, representing a bimalleolar equivalent fracture. To date, only a few cases of this specific injury pattern have been published.

 

CLINICAL CASE

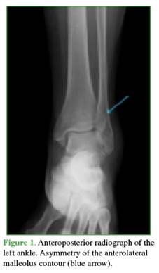
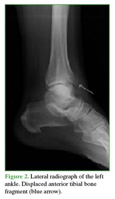
A 62-year-old housewife, previously independent in her self-care and household activities, with non-insulin-dependent type 2 diabetes mellitus, controlled arterial hypertension, and asymptomatic bilateral hallux valgus, presented to the Emergency Department of our institution after suffering an inversion trauma while descending a step. She reported pain, edema, and an inability to stand or walk. On examination, she had pain on palpation of the dorsum of the foot, spontaneous toe movement, and a symmetrical palpable foot pulse. No deformities or open injuries were observed. She underwent anteroposterior and lateral radiographs of the right ankle, which revealed asymmetry at the tibiofibular junction and loss of tibial joint congruity (Figures 1 and 2).

Based on these findings, a CT scan was requested, revealing a displaced anterolateral Tillaux-Chaput tubercle fracture, rotated in a shear pattern, and a simultaneous displaced Volkmann’s posterior malleolus fracture. These fractures were classified as Rammelt type III and Bartoníček type II, respectively (Figure 3).

This injury pattern resulted in a bimalleolar equivalent fracture with syndesmotic instability due to an extension of the joint notch. It was decided to proceed with open reduction and internal fixation.

The patient provided written informed consent for surgery. Intravenous antibiotic prophylaxis and spinal anesthesia were administered. After asepsis and antisepsis, the patient was positioned in a lateral decubitus position. A posterolateral approach to the distal tibia was performed, with dissection by planes, opening of the crural fascia, identification and protection of the sural nerve, and dissection between the flexor hallucis longus medially and the peroneal tendons laterally. The Volkmann’s malleolus fracture was reduced and fixed with two cannulated screws and a washer, achieving stabilization. The patient was then repositioned to a supine position for an anterolateral approach to the distal tibia. Dissection by planes was carried out, identifying and protecting the sensory branch of the superficial fibular nerve. The Tillaux-Chaput fracture was then exposed, the articular surface was reduced, and fixation was performed using a 2.7 mm L-plate with 2.4 mm screws, achieving reduction and stabilization of the fragment.

 

 

 

 

 

 

 

 

 

 

 

 

The patient was discharged with a Robert Jones bandage. Active mobility exercises, analgesic management, and thromboprophylaxis were prescribed for 15 days, with no weight bearing allowed. In the second week, the surgical wounds were examined, and she began a physical therapy program with progressive weight-bearing using crutches. Full weight-bearing was authorized at six weeks.

After 12 months, fracture healing was confirmed (Figures 4 and 5), and the patient resumed her usual activities. Her American Orthopedic Foot and Ankle Society (AOFAS) score was 91, and her Olerud-Molander functional scale score was 95 (Figure 6).

 

 

 

 

 

 

 

 

 

 

 

 

Approval was obtained from the Ethics Committee of Clínica Antioquía for the publication of clinical data and images.

 

DISCUSSION

The concept of ring injuries in ankle trauma suggests that injuries occur sequentially, akin to a clock, without “skipping” anatomical structures. If a discordance is found, it is likely that an occult injury has been overlooked or that the injury mechanism has been misinterpreted. The predictive concordance of this model is 96%.11 Consequently, bone and ligament stabilization of unstable ankle injuries reduces the need for trans-syndesmotic fixation in up to 83% of cases.12

However, ankle trauma can also present with injury patterns that do not follow the rule, manifesting in unusual ways—such as the combination of anterolateral Tillaux-Chaput fractures with posterior Volkmann’s malleolus fractures. There are very few publications on these injuries. We conducted a literature search in databases such as PubMed, Embase, Cochrane, Google Scholar, and LILACS, covering the period from 1964 to 2024, in both Spanish and English. Over these 60 years, only a few case reports have been published (Table).13-16

Thus, we present our case as a rare bimalleolar equivalent fracture: Volkmann and Tillaux in an adult, with no other associated injuries. This represents the eighth reported case in the literature over the past six decades. Reduction and fixation of both bony components were performed, successfully restoring the stability of the distal tibio-fibular ring. The patient demonstrated favorable clinical and radiological evolution, achieving functional recovery and complete fracture healing.

 

 

 

 

 

The main limitation of our study is that it consists of a single case with only 12 months of follow-up. There are no large case series or published guidelines to establish standardized management protocols. However, based on our experience, we can infer that anatomic reconstruction improves clinical and radiological outcomes in patients with similar injuries in the future.

 

CONCLUSIONS

The continuous expansion of the literature suggests that anatomical reconstruction of ankle injuries—through reduction and fixation of each bony component, particularly around the syndesmosis—achieves better functional and radiological outcomes than simply restoring syndesmotic stability using rigid or flexible syndesmotic transfixation methods.

In cases of ankle trauma, it is essential to remember that the ankle is a dynamic and functional structure. The presence of a malleolar fracture, and indirectly a ligamentous injury (such as syndesmotic widening), is not merely an isolated event but is often part of a broader spectrum of injuries. These must be thoroughly evaluated using radiographs and CT scans to assess fragment size, involvement of the incisura, gaps, step-offs, or occult fractures.

 

REFERENCES

 

1.     Hermans JJ, Beumer A, de Jong TA, Kleinrensink GJ. Anatomy of the distal tibiofibular syndesmosis in adults: a pictorial essay with a multimodality approach. J Anat 2010;217(6):633-45. https://doi.org/10.1111/j.1469-7580.2010.01302.x

2.     Yuen CP, Lui TH. Distal tibiofibular syndesmosis: Anatomy, biomechanics, injury and management. Open Orthop J 2017;11:670-7. https://doi.org/10.2174/1874325001711010670

3.     Rammelt S, Bartoníček J, Kroker L, Neumann AP: Surgical fixation of quadrimalleolar fractures of the ankle. J Orthop Trauma 2021;35(6):e216-e222. https://doi.org/10.1097/BOT.0000000000001915

4.     Akoh CC, Phisitkul P. Anatomic ligament repairs of syndesmotic injuries. Orthop Clin North Am 2019;50(3):401-4. https://doi.org/10.1016/j.ocl.2019.02.004

5.     Giacobazzi M, Gologram M, Mitchell R, Kasik C, Gonzalez NM. A Tillaux fracture and concurrent nondisplaced Salter-Harris type III fracture of the distal fibula: A case report. Cureus 2023;15(5):e39651. https://doi.org/10.7759/cureus.39651

6.     Millán-Billi A, Fa-Binefa M, Gómez-Masdeu M, Carrera I, De Caso J. Tillaux fracture in adults - case report and review of literature. J Clin Orthop Trauma 2022;27:101809. https://doi.org/10.1016/j.jcot.2022.101809

7.     Tomar L, Govil G, Dhawan P. Isolated posterior malleolar fracture: A case report of a rare presentation with narrative review of literature. Cureus 2022;14(1):e21658. https://doi.org/10.7759/cureus.21658

8.     Haapamaki VV, Kiuru MJ, Koskinen SK. Ankle and foot injuries: analysis of MDCT findings. AJR Am J Roentgenol 2004;183(3):615-22. https://doi.org/10.2214/ajr.183.3.1830615

9.     Rammelt S, Bartoníček J, Schepers T, Kroker L. Fixation of anterolateral distal tibial fractures: the anterior malleolus. Oper Orthop Traumatol 2021;33(2):125-38. https://doi.org/10.1007/s00064-021-00703-0

10.  Bartoníček J, Rammelt S, Kostlivý K, Václav Vanecek, Klika D, Tresl I. Anatomy and classification of the posterior tibial fragment in ankle fractures. Arch Orthop Trauma Surg 2015;135(4):505-16. https://doi.org/10.1007/s00402-015-2171-4

11.  Nicolai C, Bierry G, Faruch-Bilfeld M, Sans N, Willaume T. The concept of ring of injuries: evaluation in ankle trauma. Skeletal Radiol 2022;51(10):2027-37. https://doi.org/10.1007/s00256-022-04062-0

12.  Bae KJ, Kang SB, Kim J, Lee J, Go TW. Reduction and fixation of anterior inferior tibiofibular ligament avulsion fracture without syndesmotic screw fixation in rotational ankle fracture. J Int Med Res 2020;48(4):300060519882550. https://doi.org/10.1177/0300060519882550

13.  Kose O, Yuksel HY, Guler F, Ege T. Isolated adult Tillaux fracture associated with Volkmann fracture - a unique combination of injuries: Report of two cases and review of the literature. J Foot Ankle Surg 2016;55(5):1057-62. https://doi.org/10.1053/j.jfas.2015.10.005

14.  Mansur H, Lima T, Goncalves C, Castro I. Adult Tillaux fracture in association with Volkmann and Maisonneuve fractures: A case report. Revista Colombiana de Ortopedia y Traumatología 2019;33(3-4):133-7. https://doi.org/10.1016/j.rccot.2020.02.004

15.  Pérez Motos S, Morales Rodríguez J, García Álvarez J, Martínez López D, Rodrigo Pérez JL. Fractura de Tillaux asociada a fractura de Volkmann, un caso excepcional en el adulto. 48° Congreso SOTOCAV, Xàtiva, 2021. Available at: www.sotocav2.es/congresos/2021/Posters/P-44.pdf

16.  Rammelt S, Bartoníček J, Kroker L. Pathoanatomy of the anterolateral tibial fragment in ankle fractures. J Bone Joint Surg Am 2022;104(4):353-63. https://doi.org/10.2106/JBJS.21.00167

 

 

J. G. Jaramillo ORCID ID: https://orcid.org/0009-0005-2622-5587

 

Received on December 12th, 2024. Accepted after evaluation on March 2nd, 2025   Dr. Juan Manuel Romero Ante  juanmaorto@hotmail.eshttps://orcid.org/0000-0002-9390-9496

 

How to cite this article: Romero Ante JM, Jaramillo JG. Volkmann and Tillaux Fracture in Adults. Unusual Bimalleolar Equivalent. A Case Report. Rev Asoc Argent Ortop Traumatol 2025;90(2):190-196. https://doi.org/10.15417/issn.1852-7434.2025.90.2.2081

 

 

Article Info

Identification: https://doi.org/10.15417/issn.1852-7434.2025.90.2.2081

Published: April, 2025

Conflict of interests: The authors declare no conflicts of interest.

Copyright: © 2025, Revista de la Asociación Argentina de Ortopedia y Traumatología.

License: This article is under Attribution-NonCommertial-ShareAlike 4.0 International Creative Commons License (CC-BY-NC-SA 4.0)