PRESENTACIÓN DE CASOS

 

Fractura de Volkmann y Tillaux en adultos. Equivalente bimaleolar inusual. Reporte de un caso

 

Juan Manuel Romero Ante, Juan Gabriel Jaramillo

Servicio de Ortopedia y Traumatología, Cirugía de Pie y Tobillo, Clínica Antioquia, Itagüí, Colombia

 

RESUMEN

Las fracturas del maléolo anterolateral distal de la tibia o de Tillaux-Chaput son frecuentes en los pacientes esqueléticamente inmaduros y son raras en los adultos. El reborde distal posterior de la tibia o fragmento de Volkmann puede presentarse como una fractura aislada, pero, con más frecuencia, como parte de una luxofractura trimaleolar, cuadrimaleolar, así como en lesiones de tipo Maisonneuve. Sin embargo, la presencia sincrónica de fracturas de Volkmann-Tillaux es muy inusual y pocas veces publicada. Presentamos un caso de fractura equivalente bimaleolar en un adulto, su diagnóstico, la clasificación, el manejo y la evolución clínico-radiológica.

Palabras clave: Tillaux; Chaput; equivalente maleolar; Volkmann; bimaleolar; reporte de caso.

Nivel de Evidencia: IV

 

Volkmann and Tillaux Fracture in Adults: An Unusual Bimalleolar Equivalent. A Case Report

 

ABSTRACT

Fractures of the distal anterolateral tibial malleolus, known as Tillaux-Chaput fractures, are common in skeletally immature patients but rare in adults. The posterior lip of the distal tibia, or Volkmann fragment, may present as an isolated fracture but is more commonly associated with trimalleolar or quadrimalleolar fracture-dislocations, as well as Maisonneuve-type injuries. However, the simultaneous occurrence of Volkmann-Tillaux fractures is extremely rare and has been scarcely reported in the literature. We present a case of a bimalleolar equivalent fracture in an adult, discussing its diagnosis, classification, management, and clinical-radiological outcome.

Keywords: Tillaux; Chaput; malleolar equivalent; Volkmann; bimaleolar; case report.

Level of Evidence: IV

 

INTRODUCCIÓN

La articulación tibio-peronea distal se define como una sindesmosis o unión fibrosa conformada por dos huesos y cuatro ligamentos. La tibia y el peroné distal representan la parte ósea y los ligamentos tibio-peroneo antero-inferior, interóseo, posteroinferior y el ligamento transverso son la contraparte ligamentaria.1 En el ápex de esta sindesmosis, la cresta tibial se divide en un margen anterior que termina en la porción distal anterolateral del plafón tibial y se conoce como tubérculo de Tillaux-Chaput, mientras que el reborde posterior termina en el margen distal posterolateral tibial y se denomina tubérculo de Volkmann, conformando así el lecho óseo triangular de la articulación tibiocrural donde se aloja el peroné distal en sus últimos 6 cm.2

El margen posterior distal tibial fue descrito, por primera vez, por Destot, en 1911, y se ha denominado tercer maléolo, aunque este puede no ser el término anatómico correcto, dado que no posee forma de pequeño martillo (significado original del término del latín malleolus). El tubérculo anterolateral distal es conocido como Tillaux-Chaput, en referencia a los dos cirujanos franceses que publicaron sus estudios sobre esta área, en 1872 y 1907, respectivamente, y que, desde 1996, recibe, por primera vez, la denominación de cuarto maléolo, gracias al trabajo de van Laarhoven.3

El ligamento tibio-peroneo anteroinferior es el más pequeño de los ligamentos sindesmales, con una inserción peronea de 8,5 mm.2 Se origina en el tubérculo tibial de Tillaux-Chaput y se inserta en la porción anterior distal del peroné, denominado tubérculo de Wagstaffe-Le Fort. Proporciona el 35% de la estabilidad en la sindesmosis. El ligamento tibio-peroneo posteroinferior discurre entre el tubérculo tibial de Volkmann y el margen posterior del peroné distal, y confiere el 33% de la estabilidad sindesmal. Su porción profunda se denomina ligamento tibio-peroneo inferior transverso, es una fuerte estructura fibrocartilaginosa justo distal al ligamento tibio-peroneo posteroinferior. Finalmente está el ligamento interóseo que es la prolongación distal de la membrana interósea, y se ubica a 9,3 mm del plafón tibial. Aporta el 22% de la estabilidad sindesmal.4

La fractura de Tillaux-Chaput representa el 2,9% de las lesiones fisarias en pacientes esqueléticamente inmaduros. Se produce por trauma en adolescentes de entre 14 y 16 años que presentan un cierre asimétrico de la tibia distal y se clasifica como Salter-Harris tipo III.5 Por el contrario, esta lesión en el adulto es rara, hasta 2019, se habían publicado solo series de pacientes aislados que no superaban los 32 casos, y los mecanismos del trauma eran esguinces de tobillo (50%), accidentes de tránsito (24%) y caídas de altura (24%).6

Las fracturas maleolares posteriores, a menudo, están asociadas con otras lesiones maleolares laterales, mediales o a lesión de Maisonneuve, pero en forma aislada, representan el 0,5-1% de las fracturas de tobillo; hasta 2016, se había publicado una serie de reportes aislados que no superaban los 75 pacientes; en estos casos, el mecanismo fisiopatológico involucraba una carga axial con un tobillo fijo en plantiflexión, aunque los mecanismos rotatorios también parecen jugar un papel.7

La radiografía de tobillo es la ayuda diagnóstica inicial al evaluar pacientes con trauma. La sensibilidad diagnóstica para detectar fracturas aisladas del maléolo posterior es del 63% y para la fractura de Tillaux-Chaput, de tan solo el 50%, por lo que el uso de imágenes complementarias, como la tomografía computarizada, es y debe ser una práctica común en el marco de lesiones en el pie y el tobillo, dadas la poca interferencia por el movimiento, la alta calidad de imágenes y la posibilidad de reconstrucción en tercera dimensión. Aunque la dosis de radiación es cercana a 1 mSv, frente a 0,01 mSv de la radiografía convencional, se sigue considerando una dosis baja en comparación con estudios tomográficos en otras áreas corporales.8

Los estudios de Rammelt y de Bartoníček de 2015 y 2021, respectivamente, nos presentan clasificaciones para estos segmentos óseos tibiales distales. La lesión de Tillaux tiene 3 tipos, según el tamaño, el compromiso de la incisura peronea o la depresión articular. Para el maléolo posterior son 5 tipos en los cuales la morfología del fragmento, la presencia de segmento intercalar, la extensión medial y el compromiso de la incisura tibial determinan su clasificación, abordaje y manejo.9,10

Presentamos el diagnóstico y el manejo de una inusual lesión en un paciente adulto con trauma de tobillo en el que se documentó una fractura del maléolo anterior y posterior simultánea, sin otra lesión asociada, es decir, un equivalente bimaleolar, del cual hay pocos casos publicados.

 

CASO CLÍNICO

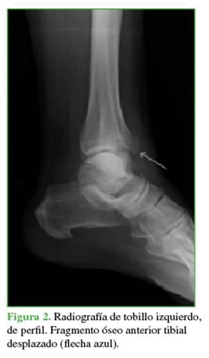
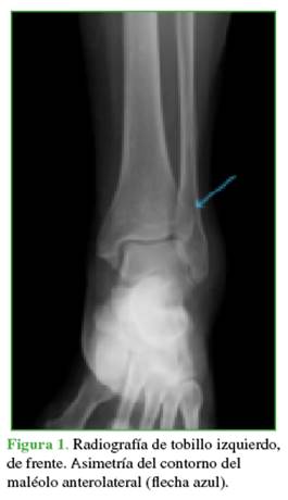
Paciente de 62 años, ama de casa, previamente independiente para sus actividades de autocuidado y funciones del hogar, con diabetes mellitus tipo 2 no insulinodependiente, hipertensión arterial controlada y hallux valgus bilateral asintomático. Acudió al Servicio de Urgencias de nuestra institución luego de un trauma en inversión al bajar un escalón, tras lo cual refirió dolor, edema, limitación para la bipedestación y la marcha. Tenía dolor a la palpación del cuello del pie, movilización espontánea de los dedos y pulso pedio palpable simétrico, no se observaron deformidades ni heridas. Ingresó para la toma de radiografías anteroposterior y lateral del tobillo derecho, que revelaron una asimetría en la unión tibio-peronea y pérdida en la continuidad articular tibial (Figuras 1 y 2).

Ante estos hallazgos, se solicitó una tomografía computarizada. Se visualizó una fractura del tubérculo anterolateral de Tillaux-Chaput desplazada, rotada con patrón cizallante y simultáneamente, una fractura del maléolo posterior de Volkmann desplazada. Se consideran como lesiones tipo III en la clasificación de Rammelt y tipo II de Bartoníček, respectivamente (Figura 3).

Se configuró así una lesión equivalente bimaleolar con inestabilidad sindesmal por la extensión articular incisural. Se decidió realizar reducción abierta y osteosíntesis.

La paciente otorgó el consentimiento firmado para la cirugía. Se administró un antibiótico por vía intravenosa y anestesia raquídea. Luego de la asepsia y antisepsia, en posición lateral flácida, se realizó el abordaje posterolateral de la tibia distal, se procedió a la disección por planos, la apertura de la fascia crural, la identificación y protección del nervio sural, la disección entre el flexor largo del dedo gordo hacia medial y los tendones peroneos hacia lateral. Se redujo la fractura del maléolo de Volkmann y se fijó con dos tornillos canulados y una arandela, con lo que se logró la estabilización. Se cambió a la paciente a la posición supina para realizar el abordaje anterolateral en la tibia distal, la disección por planos identificando y protegiendo la rama sensitiva de nervio peroneo superficial; a continuación, se expuso la fractura de Tillaux-Chaput, se redujo la superficie articular y se fijó con una placa en L de 2,7 mm, con tornillos de 2,4 mm, y así se logró la reducción y estabilización del fragmento.

 

 

 

 

 

La paciente fue dada de alta con un vendaje de Robert Jones. Se le indicó movilización activa, manejo analgésico y tromboprofilaxis por 15 días, sin carga de peso. En la segunda semana, se revisaron las heridas, e inició el programa de terapia física con apoyo progresivo con muletas y, a la sexta semana, se autorizó la carga total.

Después de 12 meses, se documentó la consolidación de las fracturas (Figuras 4 y 5), y la paciente reanudó sus actividades habituales; el puntaje de la American Orthopaedic Foot and Ankle Society era de 91 y el de la escala funcional de Olerud-Molander de 95 (Figura 6).

 

 

 

 

 

Se obtuvo la aprobación del Comité de Ética de la Clínica Antioquia para la publicación de los datos clínicos y las imágenes.

 

DISCUSIÓN

El concepto de las lesiones en anillo en el trauma de tobillo propone la presentación de lesiones en sentido secuencial, analógicamente como un reloj sin “saltar horas” o estructuras anatómicas y, si hay discordancia, es probable que exista una lesión oculta o una mala interpretación del mecanismo de lesión. La concordancia de predicción basada en este modelo de concepto es del 96%.11 De esta manera, la estabilización ósea y ligamentaria de las lesiones inestables de tobillo permite disminuir la necesidad de fijación transindesmal hasta en el 83% de los casos.12

Por otra parte, se presenta un trauma de tobillo con lesiones que “escapan de la regla” y se manifiestan con patrones inusuales, como es el caso de las fracturas del maléolo anterolateral de Tillaux-Chaput, con fractura del maléolo posterior de Volkmann. Hay pocas publicaciones sobre estas lesiones. Realizamos una búsqueda bibliográfica en bases de datos, como PubMed, Embase, Cochrane, Google Scholar, LILACS, desde 1964 hasta 2024, en español e inglés y, en estos 60 años, solo se han publicado pocos reportes de caso (Tabla).13-16

De esta forma, presentamos nuestro caso como un equivalente bimaleolar inusual: Volkmann y Tillaux en un adulto, sin otra lesión concurrente. Representa el octavo caso en la bibliografía revisada, en estas últimas 6 décadas. Se realizó la reducción y la fijación de ambos componentes óseos con lo que se logró restablecer adecuadamente la estabilidad del anillo tibio-peroneo distal. La evolución clínica y radiológica fue adecuada, la paciente logró una apropiada recuperación funcional y las fracturas consolidaron.

 

 

 

 

 

La debilidad de nuestro estudio está dada por ser solo un caso, con 12 meses de seguimiento. No existen grandes series o reportes publicados para establecer protocolos de manejo, pero se puede deducir que la reconstrucción anatómica mejora los resultados clínicos y radiológicos, en pacientes con lesiones similares que se presenten más adelante.

 

CONCLUSIONES

El constante crecimiento de la bibliografía día a día nos lleva a pensar que la reconstrucción anatómica de las lesiones de tobillo mediante reducción y fijación de cada uno de los componentes óseos que lo conforman, especialmente alrededor de la sindesmosis, logra mejores resultados funcionales y radiológicos, que solo sustituir mediante gestos quirúrgicos la estabilidad de la sindesmosis por métodos rígidos o flexibles transindesmales.

Ante un trauma de tobillo, siempre hay que tener en mente que es una estructura dinámica y funcional. La presencia de una fractura maleolar y, en forma indirecta, de una lesión ligamentaria (apertura de la sindesmosis) no solo representa una lesión aislada, sino que, en la mayoría de los casos, forma parte de un espectro de lesiones que deben ser evaluadas, con radiografías y estudios tomográficos, para determinar el tamaño de los fragmentos óseos, el compromiso de la incisura, las brechas, los escalones o las fracturas ocultas.

 

BIBLIOGRAFÍA

 

1.     Hermans JJ, Beumer A, de Jong TA, Kleinrensink GJ. Anatomy of the distal tibiofibular syndesmosis in adults: a pictorial essay with a multimodality approach. J Anat 2010;217(6):633-45. https://doi.org/10.1111/j.1469-7580.2010.01302.x

2.     Yuen CP, Lui TH. Distal tibiofibular syndesmosis: Anatomy, biomechanics, injury and management. Open Orthop J 2017;11:670-7. https://doi.org/10.2174/1874325001711010670

3.     Rammelt S, Bartoníček J, Kroker L, Neumann AP: Surgical fixation of quadrimalleolar fractures of the ankle. J Orthop Trauma 2021;35(6):e216-e222. https://doi.org/10.1097/BOT.0000000000001915

4.     Akoh CC, Phisitkul P. Anatomic ligament repairs of syndesmotic injuries. Orthop Clin North Am 2019;50(3):401-4. https://doi.org/10.1016/j.ocl.2019.02.004

5.     Giacobazzi M, Gologram M, Mitchell R, Kasik C, Gonzalez NM. A Tillaux fracture and concurrent nondisplaced Salter-Harris type III fracture of the distal fibula: A case report. Cureus 2023;15(5):e39651. https://doi.org/10.7759/cureus.39651

6.     Millán-Billi A, Fa-Binefa M, Gómez-Masdeu M, Carrera I, De Caso J. Tillaux fracture in adults - case report and review of literature. J Clin Orthop Trauma 2022;27:101809. https://doi.org/10.1016/j.jcot.2022.101809

7.     Tomar L, Govil G, Dhawan P. Isolated posterior malleolar fracture: A case report of a rare presentation with narrative review of literature. Cureus 2022;14(1):e21658. https://doi.org/10.7759/cureus.21658

8.     Haapamaki VV, Kiuru MJ, Koskinen SK. Ankle and foot injuries: analysis of MDCT findings. AJR Am J Roentgenol 2004;183(3):615-22. https://doi.org/10.2214/ajr.183.3.1830615

9.     Rammelt S, Bartoníček J, Schepers T, Kroker L. Fixation of anterolateral distal tibial fractures: the anterior malleolus. Oper Orthop Traumatol 2021;33(2):125-38. https://doi.org/10.1007/s00064-021-00703-0

10.  Bartoníček J, Rammelt S, Kostlivý K, Václav Vanecek, Klika D, Tresl I. Anatomy and classification of the posterior tibial fragment in ankle fractures. Arch Orthop Trauma Surg 2015;135(4):505-16. https://doi.org/10.1007/s00402-015-2171-4

11.  Nicolai C, Bierry G, Faruch-Bilfeld M, Sans N, Willaume T. The concept of ring of injuries: evaluation in ankle trauma. Skeletal Radiol 2022;51(10):2027-37. https://doi.org/10.1007/s00256-022-04062-0

12.  Bae KJ, Kang SB, Kim J, Lee J, Go TW. Reduction and fixation of anterior inferior tibiofibular ligament avulsion fracture without syndesmotic screw fixation in rotational ankle fracture. J Int Med Res 2020;48(4):300060519882550. https://doi.org/10.1177/0300060519882550

13.  Kose O, Yuksel HY, Guler F, Ege T. Isolated adult Tillaux fracture associated with Volkmann fracture - a unique combination of injuries: Report of two cases and review of the literature. J Foot Ankle Surg 2016;55(5):1057-62. https://doi.org/10.1053/j.jfas.2015.10.005

14.  Mansur H, Lima T, Goncalves C, Castro I. Adult Tillaux fracture in association with Volkmann and Maisonneuve fractures: A case report. Revista Colombiana de Ortopedia y Traumatología 2019;33(3-4):133-7. https://doi.org/10.1016/j.rccot.2020.02.004

15.  Pérez Motos S, Morales Rodríguez J, García Álvarez J, Martínez López D, Rodrigo Pérez JL. Fractura de Tillaux asociada a fractura de Volkmann, un caso excepcional en el adulto. 48° Congreso SOTOCAV, Xàtiva, 2021. Disponible en: www.sotocav2.es/congresos/2021/Posters/P-44.pdf

16.  Rammelt S, Bartoníček J, Kroker L. Pathoanatomy of the anterolateral tibial fragment in ankle fractures. J Bone Joint Surg Am 2022;104(4):353-63. https://doi.org/10.2106/JBJS.21.00167

 

 

ORCID de J. G. Jaramillo: https://orcid.org/0009-0005-2622-5587

 

Recibido el 12-12-2024. Aceptado luego de la evaluación el 2-3-2025 Dr. Juan Manuel Romero Ante juanmaorto@hotmail.eshttps://orcid.org/0000-0002-9390-9496

 

Cómo citar este artículo: Romero Ante JM, Jaramillo JG. Fractura de Volkmann y Tillaux en adultos. Equivalente bimaleolar inusual. Reporte de un caso. Rev Asoc Argent Ortop Traumatol 2025;90(2):190-196. https://doi.org/10.15417/issn.1852-7434.2025.90.2.2081

 

 

Información del artículo

Identificación: https://doi.org/10.15417/issn.1852-7434.2025.90.2.1997

Fecha de publicación: Abril, 2025

Conflicto de intereses: Los autores no declaran conflictos de intereses.

Copyright: © 2025, Revista de la Asociación Argentina de Ortopedia y Traumatología.

Licencia: Este artículo está bajo una Licencia Creative Commons Atribución-No Comercial-Compartir Obras Derivadas Igual 4.0 Internacional. (CC-BY-NC-SA 4.0)