CASE PRESENTATION

 

Stress Fractures of the Lumbar Spine: Pediculolysis as an Unusual Presentation Variant. Case Report

 

Néstor R. Davies,* Mauro Silva,** Gustavo Cánepa,# Martín Cánepa,# Pablo Azcoaga,** David Orosco,* Nicolás Ortiz*

*Spine Department, Orthopedics and Traumatology Service, Sanatorio Allende, Córdoba, Argentina.

**Orthopedics and Traumatology Department, Hospital Evita, Lanús, Buenos Aires, Argentina.

#Orthopedics and Traumatology Service, Hospital de Alta Complejidad Cuenca Alta, Cañuelas, Buenos Aires, Argentina.

 

ABSTRACT

In 1990, Gunzburg and Fraser introduced the term pediculolysis to describe stress fractures of the vertebral pedicles, a rare clinical presentation. Repetitive microtrauma associated with lumbar spine hyperextension and rotational movements is considered a key risk factor for this type of lesion. We report the case of a 22-year-old professional rugby player with a history of left-sided spondylolysis who presented with an episode of disabling acute low back pain. Radiographic studies revealed a right pedicle fracture of the fifth lumbar vertebra (L5) and contralateral spondylolysis. Magnetic resonance imaging (MRI) showed signs of edema in the left pedicle. Conservative orthopedic management was indicated, with a favorable clinical outcome and return to full sports activity.

Keywords: Stress fracture; lumbar spine; pediculolysis.

Level of Evidence: IV

 

Fracturas por estrés de columna lumbar. Pediculólisis como variante de presentación inusual. Reporte de un caso

 

RESUMEN

En 1990, Gunzburg y Fraser introducen el término pediculólisis para describir las fracturas por estrés de pedículos vertebrales. Representan formas clínicas de presentación inusual. Los microtraumas a repetición asociados a los movimientos de hiperextensión y rotación son factores de riesgo en este tipo de lesiones. Presentamos a un paciente de 22 años, jugador de rugby profesional, con antecedente de espondilólisis izquierda, que sufrió un episodio de lumbalgia aguda invalidante. Los estudios radiológicos revelaron una fractura del pedículo derecho en la 5.a vértebra lumbar y espondilólisis contralateral. La resonancia magnética mostró signos de edema en el pedículo izquierdo. Se indicó un tratamiento ortopédico conservador; la evolución clínica fue favorable y pudo retornar a su actividad deportiva habitual.

Palabras clave: Fractura por estrés; columna lumbar; pediculólisis.

Nivel de Evidencia: IV

 

INTRODUCTION

Stress injuries of the posterior vertebral arch are a common cause of low back pain in young patients and athletes. In general, they occur at the fourth or fifth lumbar vertebra. Depending on the vertebral structure involved, they are classified as spondylolysis, laminolysis, or pediculolysis, with spondylolysis being the most frequent presentation. Although the development of this condition has been attributed to genetic factors, the most widely accepted theory attributes it to repetitive microtrauma during sports activity.1-3

In 1990, Gunzburg and Fraser introduced the term pediculolysis when they described three cases of pedicle stress fractures in the lumbar spine.4 The low prevalence of this type of lesion, among other factors, has contributed to its limited representation in the literature.

The aim of this article is to report the case of a young athlete with a lumbar pedicle fracture associated with contralateral spondylolysis.

 

CLINICAL CASE

A 22-year-old male rugby player, with no history of trauma or prior low back pain, presented with intense, non-radiating low back pain of approximately two weeks’ duration.

Physical examination revealed pain on palpation in the right lumbar paravertebral region and limited lumbar flexion-extension, with no neurological deficit.

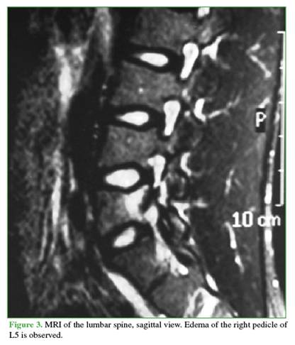
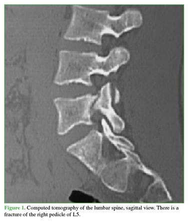
Anteroposterior, lateral, and oblique radiographs of the lumbar spine showed sclerosis of the right pedicle and left-sided spondylolysis at the level of the fifth lumbar vertebra. CT scan revealed, in addition to the findings mentioned above, a discontinuity in the right pedicle, with sclerotic and hypertrophic margins (Figures 1 and 2). Magnetic resonance imaging demonstrated edema in the lumbar pedicle (Figures 3 and 4).

 

 

 

 

 

 

 

 

 

 

 

 

 

 

 

The patient underwent conservative treatment consisting of sports rest and the use of a lumbosacral orthosis. After two months, he began an adapted and progressive rehabilitation program. At five months of follow-up, he had returned to his usual sports activity without limitations or recurrence of low back pain.

 

DISCUSSION

The physical demands of certain sports activities undoubtedly predispose individuals to various types of injuries. In this regard, case reports of lumbar pedicle stress fractures have been associated, among other causes, with sports such as gymnastics, baseball, and cricket.5-7 These sports are characterized by requiring hyperextension and rotational movements of the lumbar spine. The repetitive microtraumas generated by these movements may explain the origin of these lesions in the lumbar pedicle. However, our patient practiced a contact sport in which such movements do not predominate.

Among the anatomical structures that make up the posterior vertebral arch, the pedicle—after the pars interarticularis—is considered the site of greatest biomechanical vulnerability. Additionally, Sairyo et al. observed that young athletes with a history of unilateral spondylolysis developed an overload of forces on the contralateral pedicle.7,8

A common feature of pediculolysis is sclerosis of the pedicle, although it remains unclear whether this represents an adaptive phenomenon prior to the fracture or a consequence of it.9 This unilateral sclerosis gives the vertebra an asymmetric appearance on radiological imaging. Computed tomography (CT) undoubtedly allows for better assessment of the lesion, differential diagnosis, monitoring of progression, and, in some cases, therapeutic planning. Characteristic CT findings include a radiolucent line of discontinuity with sclerotic and hypertrophic margins.4 Magnetic resonance imaging (MRI) has high sensitivity for diagnosing these lesions. While it may or may not reveal the fracture line at the pedicle level, it does demonstrate associated edema, which appears hypointense on T1-weighted sequences and hyperintense on T2-weighted sequences.3,4

Regarding treatment, various authors recommend conservative management using lumbar immobilization orthoses along with a rehabilitation program tailored to the patient’s needs.10,11

Gunzburg and Fraser, as well as Weatherley et al., noted that in cases where conservative treatment fails—primarily indicated by persistent low back pain—patients benefit from surgical intervention. This typically involves repair of the pars interarticularis using the Buck technique and screw osteosynthesis of the affected pedicle.4,7 Araki et al. repaired the pars interarticularis and the pedicle of the fourth lumbar vertebra using Herberg screws and performed posterolateral arthrodesis of L4–L5 due to a history of degenerative disc disease at that level.6

In the case presented, the patient underwent conservative treatment and experienced a favorable clinical course, allowing him to return to his usual sports activities without any limitations. Consequently, surgical alternatives were not considered necessary.

 

CONCLUSIONS

Pediculolysis is a very rare clinical presentation. A history of spondylolysis—particularly in young patients and athletes—may represent a risk factor for the development of this condition. In this context, persistent mechanical low back pain may serve as a warning sign that, in conjunction with imaging studies, facilitates diagnosis.

In general, the response to conservative treatment is favorable. However, in cases of treatment failure, various surgical techniques are available.

 

REFERENCES

 

1.     Daniels J, Pontius G, El-Amin S, Gabriel K. Evaluation of low back pain in athletes. Sports Health 2011;3(4):336-45. https://doi.org/10.1177/1941738111410861

2.     Panteliadis P, Nagra N, Edwards K, Behrbalk E, Boszczyk B. Athletic population with spondylolysis: Review of outcomes following surgical repair or conservative management. Global Spine J 2016;6(6):615-25. https://doi.org/10.1055/s-0036-1586743

3.     Ekin E, Altunrende M. Pedicle stress injury in children and adolescents with low back pain. Spine (Phila Pa 1976) 2019;44(17):E1038-E1044. https://doi.org/10.1097/BRS.0000000000003046

4.     Gunzburg R, Fraser R. Stress fracture of the lumbar pedicle. Case reports of “pediculolysis” and review of the literature. Spine (Phila Pa 1976) 1991;16(2):185-9. PMID: 2011774

5.     Amari R, Sakai T, Katoh S, Sairyo K, Higashino K, Tachibana K, et al. Fresh stress fractures of lumbar pedicles in an adolescent male ballet dancer: case report and literature review. Arch Orthop Trauma Surg 2009;129(3):397-401. https://doi.org/10.1007/s00402-008-0685-8

6.     Araki T, Harata S, Nakano K, Satoh T. Reactive sclerosis of the pedicle associated with contralateral spondylolysis. Spine (Phila Pa 1976) 1992;17(11):1424-6. https://doi.org/10.1097/00007632-199211000-00028

7.     Weatherley C, Mehdian H, Berghe L. Low back pain with fracture of the pedicle and contralateral spondylolysis. A technique of surgical management. J Bone Joint Surg Br 1991;73(6):990-3. https://doi.org/10.1302/0301-620X.73B6.1835458

8.     Sairyo K, Katoh S, Sasa T, Yasui N, Goel VK, Vadapalli S, et al. Athletes with unilateral spondylolysis are at risk of stress fracture at the contralateral pedicle and pars interarticularis: a clinical and biomechanical study. Am J Sports Med 2005;33(4):583-90. https://doi.org/10.1177/0363546504269035

9.     Sirvanci M, Ulusoy L, Duran C. Pedicular stress fracture in lumbar spine. Clin Imaging 2002;26(3):187-93. https://doi.org/10.1016/s0899-7071(01)00389-8

10.  Kessous E, Borsinger T, Rahman A, d’Hemecourt PA. Contralateral spondylolysis and fracture of the lumbar pedicle in a young athlete. Spine (Phila Pa 1976) 2017;42(18):E1087-E1091. https://doi.org/10.1097/BRS.0000000000002086

11.  Vialle R, Mary P, de Carvalho A, Ducou le Pointe H, Damsin JP, Filipe G. Acute L5 pedicle fracture and contralateral spondylolysis in a 12-year-old boy: a case report. Eur Spine J 2007;16(Suppl 3):316-7. https://doi.org/10.1007/s00586-007-0396-9

 

 

M. Silva ORCID ID: https://orcid.org/0009-0009-5552-0795

P. Azcoaga ORCID ID: https://orcid.org/0000-0002-3673-7640

G. Cánepa ORCID ID: https://orcid.org/0000-0001-8024-562X          

D. Orosco ORCID ID: https://orcid.org/0000-0003-0988-305X

M. Cánepa ORCID ID: https://orcid.org/0000-0002-8657-6857           

N. Ortiz ORCID ID: https://orcid.org/0000-0001-7461-3879

 

Received on November 7th, 2024. Accepted after evaluation on January 28th, 2025 Dr. Néstor R. Davies  daviesricardo@hotmail.com https://orcid.org/0000-0003-2565-9998

 

How to cite this article: Davies NR, Silva M, Cánepa G, Cánepa M, Azcoaga P, Orosco D, Ortiz N. Stress Fractures of the Lumbar Spine: Pediculolysis as an Unusual Presentation Variant. Case Report. Rev Asoc Argent Ortop Traumatol 2025;90(3):285-289. https://doi.org/10.15417/issn.1852-7434.2025.90.3.2060

 

 

Article Info

Identification: https://doi.org/10.15417/issn.1852-7434.2025.90.3.2060

Published: June, 2025

Conflict of interests: The authors declare no conflicts of interest.

Copyright: © 2025, Revista de la Asociación Argentina de Ortopedia y Traumatología.

License: This article is under Attribution-NonCommertial-ShareAlike 4.0 International Creative Commons License (CC-BY-NC-SA 4.0).