PRESENTACIÓN DE CASOS

 

Fracturas por estrés de columna lumbar. Pediculólisis como variante de presentación inusual. Reporte de un caso

 

Néstor R. Davies,* Mauro Silva,** Gustavo Cánepa,# Martín Cánepa,# Pablo Azcoaga,** David Orosco,* Nicolás Ortiz*

*Departamento de Columna, Servicio de Ortopedia y Traumatología, Sanatorio Allende, Córdoba, Argentina

**Servicio de Ortopedia y Traumatología, Hospital Evita, Lanús, Buenos Aires, Argentina

#Servicio de Ortopedia y Traumatología, Hospital de Alta Complejidad Cuenca Alta, Cañuelas, Buenos Aires, Argentina

 

RESUMEN

En 1990, Gunzburg y Fraser introducen el término pediculólisis para describir las fracturas por estrés de pedículos vertebrales. Representan formas clínicas de presentación inusual. Los microtraumas a repetición asociados a los movimientos de hiperextensión y rotación son factores de riesgo en este tipo de lesiones. Presentamos a un paciente de 22 años, jugador de rugby profesional, con antecedente de espondilólisis izquierda, que sufrió un episodio de lumbalgia aguda invalidante. Los estudios radiológicos revelaron una fractura del pedículo derecho de L5 y espondilólisis contralateral. La resonancia magnética mostró signos de edema en el pedículo izquierdo. Se indicó un tratamiento ortopédico conservador; la evolución clínica fue favorable y pudo retornar a su actividad deportiva habitual.

Palabras clave: Fractura por estrés; columna lumbar; pediculólisis.

Nivel de Evidencia: IV

 

Stress Fractures of the Lumbar Spine: Pediculolysis as an Unusual Presentation Variant. Case Report

 

ABSTRACT

In 1990, Gunzburg and Fraser introduced the term pediculolysis to describe stress fractures of the vertebral pedicles, a rare clinical presentation. Repetitive microtrauma associated with lumbar spine hyperextension and rotational movements is considered a key risk factor for this type of lesion. We report the case of a 22-year-old professional rugby player with a history of left-sided spondy-lolysis who presented with an episode of disabling acute low back pain. Radiographic studies revealed a right pedicle fracture of the fifth lumbar vertebra (L5) and contralateral spondylolysis. Magnetic resonance imaging (MRI) showed signs of edema in the left pedicle. Conservative orthopedic management was indicated, with a favorable clinical outcome and return to full sports activity.

Keywords: Stress fracture; lumbar spine; pediculolysis.

Level of Evidence: IV

 

INTRODUCCIÓN

   Las lesiones por estrés del arco vertebral posterior provocan dolor lumbar habitualmente en los pacientes jóvenes y atletas. En general, se producen en la 4.a o 5.a vértebra lumbar. Según la estructura vertebral comprometida, se las ha clasificado en espondilólisis, laminólisis o pediculólisis; la primera es la forma más frecuente de presentación. Si bien el desarrollo de este cuadro se ha atribuido a causas genéticas, la teoría más aceptada responde a microtraumas a repetición durante la práctica deportiva.1-3

   En 1990, Gunzburg y Fraser introducen el término pediculólisis al describir 3 casos con fracturas por estrés de pedículo en la columna lumbar.4 La baja prevalencia de este tipo de lesiones, entre otros factores, ha determinado que sean variantes menos publicadas.

El objetivo de este artículo es comunicar el caso de un paciente deportista joven con fractura de pedículo lumbar asociada a espondilólisis contralateral.

 

CASO CLÍNICO

   Hombre de 22 años, jugador de rugby, sin antecedentes de traumatismos ni dolor lumbar. Refirió dolor lumbar bajo, intenso y sin irradiación de aproximadamente 2 semanas de evolución.

   Durante el examen físico, tenía dolor a la palpación en la región paravertebral lumbar derecha, limitación a la flexo-extensión lumbar, sin déficit neurológico.

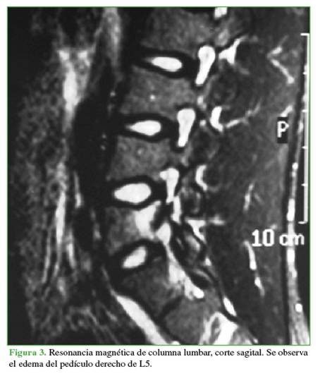
   Se tomaron radiografías de columna lumbar, de frente, de perfil y oblicuas que revelaron esclerosis del pedículo derecho y espondilólisis izquierda de L5. La tomografía computarizada mostró, además de la lesión antes descrita, una solución de continuidad en el pedículo derecho, con márgenes escleróticos e hipertróficos (Figuras 1 y 2). En la resonancia magnética, se visualizó un edema en dicho pedículo lumbar (Figuras 3 y 4).

 

 

 

 

 

 

 

 

 

 

 

 

 

 

 

   El paciente realizó un tratamiento conservador que consistió en reposo deportivo y uso de ortesis lumbosacra. Luego de 2 meses, comenzó con un programa de rehabilitación adaptada y progresiva. A los 5 meses de evolución, retornó a su actividad deportiva habitual, sin limitaciones ni nuevos episodios de dolor lumbar.

 

DISCUSIÓN

   La demanda física de ciertas actividades deportivas, sin dudas, predispone a distintos tipos de lesiones; en este sentido, los reportes de casos de fracturas por estrés de pedículo lumbar se debían, entre otras causas, a deportes, como gimnasia, béisbol y críquet.5-7 Estos deportes se caracterizan por requerir movimientos de hiperextensión y de rotación de la columna lumbar. Los microtraumas a repetición generados por estos movimientos quizás puedan explicar el origen de estas lesiones en el pedículo lumbar; sin embargo, nuestro paciente practicaba un deporte de contacto en el que fundamentalmente no predominan este tipo de movimientos.

   De las estructuras anatómicas que conforman el arco vertebral posterior, el pedículo luego de la pars interarticularis, es el sitio de mayor debilidad biomecánica. Sumado a esto, Sairyo y cols. observaron que los atletas jóvenes con antecedentes de espondilólisis unilateral generaban una sobrecarga de fuerzas en el pedículo contralateral.7,8

   Un rasgo habitual en la pediculólisis es la esclerosis del pedículo, pero aún no resulta claro si esto representa un fenómeno de adaptación anterior a la fractura o si es una consecuencia de ella.9 Esta esclerosis unilateral le da el aspecto de vértebra anisocórica en la imagen radiológica. Sin dudas, la tomografía computarizada permite evaluar mejor el cuadro, realizar diagnósticos diferenciales, controlar la evolución y, en algunos casos, efectuar una planificación terapéutica. Las características suelen ser la presencia de solución de continuidad radiolúcida con márgenes escleróticos e hipertróficos.4 La resonancia magnética tiene una elevada sensibilidad a la hora de diagnosticar este tipo de lesiones que, si bien puede mostrar o no el trazo de fractura a nivel del pedículo, sí manifiesta el edema

como una imagen hipointensa en la secuencia T1 e hiperintensa en la secuencia T2.3,4

   En cuanto al enfoque terapéutico, distintos autores proponen un tratamiento conservador con diferentes ortesis de inmovilización lumbar y un programa de rehabilitación adaptado a las necesidades del paciente.10,11

   Gunzburg y Fraser, y Weatherley y cols. señalaron que, ante el fracaso del tratamiento conservador, determinado fundamentalmente por lumbalgia persistente, los pacientes se beneficiaban de la cirugía, que consiste en la reparación de la pars interarticularis con técnica de Buck y la osteosíntesis con tornillo en el pedículo afectado.4,7 Araki y cols. repararon la pars interarticularis y el pedículo de L4 con tornillos de Herberg, y realizaron también una artrodesis posterolateral de L4-L5, debido al antecedente de discopatía degenerativa en dicho nivel.6

   El paciente presentado realizó un tratamiento conservador y tuvo una evolución clínica favorable, que le permitió reanudar su actividad deportiva habitual sin ningún tipo de limitación. Por lo comentado, no tuvimos en cuenta las distintas alternativas de resolución quirúrgica.

 

CONCLUSIONES

   La pediculólisis es una forma clínica de presentación muy inusual. El antecedente de espondilólisis, fundamentalmente en pacientes jóvenes y deportistas, quizás represente un factor de riesgo para el desarrollo de este cuadro. En este contexto, el dolor lumbar mecánico persistente puede ser un síntoma de alerta que, junto con los estudios por imágenes, confirmarían el diagnóstico.

   En general, la respuesta al tratamiento conservador es buena; sin embargo, si este fracasa, se dispone de distintas técnicas quirúrgicas.

 

BIBLIOGRAFÍA

 

1.     Daniels J, Pontius G, El-Amin S, Gabriel K. Evaluation of low back pain in athletes. Sports Health 2011;3(4):336-45. https://doi.org/10.1177/1941738111410861

2.     Panteliadis P, Nagra N, Edwards K, Behrbalk E, Boszczyk B. Athletic population with spondylolysis: Review of outcomes following surgical repair or conservative management. Global Spine J 2016;6(6):615-25. https://doi.org/10.1055/s-0036-1586743

3.     Ekin E, Altunrende M. Pedicle stress injury in children and adolescents with low back pain. Spine (Phila Pa 1976) 2019;44(17):E1038-E1044. https://doi.org/10.1097/BRS.0000000000003046

4.     Gunzburg R, Fraser R. Stress fracture of the lumbar pedicle. Case reports of “pediculolysis” and review of the literature. Spine (Phila Pa 1976) 1991;16(2):185-9. PMID: 2011774

5.     Amari R, Sakai T, Katoh S, Sairyo K, Higashino K, Tachibana K, et al. Fresh stress fractures of lumbar pedicles in an adolescent male ballet dancer: case report and literature review. Arch Orthop Trauma Surg 2009;129(3):397-401. https://doi.org/10.1007/s00402-008-0685-8

6.     Araki T, Harata S, Nakano K, Satoh T. Reactive sclerosis of the pedicle associated with contralateral spondylolysis. Spine (Phila Pa 1976) 1992;17(11):1424-6. https://doi.org/10.1097/00007632-199211000-00028

7.     Weatherley C, Mehdian H, Berghe L. Low back pain with fracture of the pedicle and contralateral spondylolysis. A technique of surgical management. J Bone Joint Surg Br 1991;73(6):990-3. https://doi.org/10.1302/0301-620X.73B6.1835458

8.     Sairyo K, Katoh S, Sasa T, Yasui N, Goel VK, Vadapalli S, et al. Athletes with unilateral spondylolysis are at risk of stress fracture at the contralateral pedicle and pars interarticularis: a clinical and biomechanical study. Am J Sports Med 2005;33(4):583-90. https://doi.org/10.1177/0363546504269035

9.     Sirvanci M, Ulusoy L, Duran C. Pedicular stress fracture in lumbar spine. Clin Imaging 2002;26(3):187-93. https://doi.org/10.1016/s0899-7071(01)00389-8

10.  Kessous E, Borsinger T, Rahman A, d’Hemecourt PA. Contralateral spondylolysis and fracture of the lumbar pedicle in a young athlete. Spine (Phila Pa 1976) 2017;42(18):E1087-E1091. https://doi.org/10.1097/BRS.0000000000002086

11.  Vialle R, Mary P, de Carvalho A, Ducou le Pointe H, Damsin JP, Filipe G. Acute L5 pedicle fracture and contralateral spondylolysis in a 12-year-old boy: a case report. Eur Spine J 2007;16(Suppl 3):316-7. https://doi.org/10.1007/s00586-007-0396-9

 

 

ORCID de M. Silva: https://orcid.org/0009-0009-5552-0795

ORCID de P. Azcoaga: https://orcid.org/0000-0002-3673-7640

ORCID de G. Cánepa: https://orcid.org/0000-0001-8024-562X           

ORCID de D. Orosco: https://orcid.org/0000-0003-0988-305X

ORCID de M. Cánepa: https://orcid.org/0000-0002-8657-6857           

ORCID de N. Ortiz: https://orcid.org/0000-0001-7461-3879

 

 

Recibido el 7-11-2024. Aceptado luego de la evaluación el 28-1-2025 Dr. Néstor R. Davies daviesricardo@hotmail.com https://orcid.org/0000-0003-2565-9998

 

Cómo citar este artículo: Davies NR, Silva M, Cánepa G, Cánepa M, Azcoaga P, Orosco D, Ortiz N. Fracturas por estrés de columna lumbar. Pediculólisis como variante de presentación inusual. Reporte de un caso. Rev Asoc Argent Ortop Traumatol 2025;90(3):285-289. https://doi.org/10.15417/issn.1852-7434.2025.90.3.2060

 

 

Información del artículo

Identificación: https://doi.org/10.15417/issn.1852-7434.2025.90.3.2060

Fecha de publicación: Junio, 2025

Conflicto de intereses: Los autores no declaran conflictos de intereses.

Copyright: © 2025, Revista de la Asociación Argentina de Ortopedia y Traumatología.

Licencia: Este artículo está bajo una Licencia Creative Commons Atribución-No Comercial-Compartir Obras Derivadas Igual 4.0 Internacional. (CC-BY-NC-SA 4.0)