CLINICAL RESEARCH

 

Stemless Humeral Prosthesis and Meniscal Allograft: Should We Abandon This Technique?

 

Martín Caloia, Gerónimo Chamorro, Diego González Scotti, Hugo Caloia, Sergio E. Ronconi, Alejandro Meritano, María Emilia Serur, Agustín Davies

Section of Upper Limb Surgery, Orthopedics and Traumatology Department, Hospital Universitario Austral, Pilar, Buenos Aires, Argentina

 

ABSTRACT

Introduction: Managing advanced glenohumeral osteoarthritis in young, active patients is complex and controversial. This study reports outcomes after humeral resurfacing arthroplasty combined with meniscal allograft. Materials and Methods: Twenty-five patients (mean age, 47.3 years) were included, with a mean follow-up of 66.1 months. Pre- and postoperative assessments included imaging, range of motion, and functional scores (VAS, ASES, and Simple Shoulder Test). In a subgroup of 10 patients, the same variables were reassessed at 6 years postoperatively. Results: One-year outcomes improved significantly versus baseline: VAS decreased from 7.3 to 2.8; ASES increased from 31.3 to 70.5; SST from 3.6 to 7.3; forward elevation improved from 70° to 135°; abduction from 57° to 103°; external rotation with the arm at side from 25° to 55°; and internal rotation from 1.4 to 4 points (0–5 scale). In the 10 patients evaluated at 6 years, there was a statistically significant deterioration across all variables relative to the 1-year results, although values remained substantially better than preoperative levels. Radiographs showed progressive glenohumeral joint-space narrowing in all patients. Conclusions: This surgical technique yielded meaningful improvements in pain, mobility, and quality of life and proved safe, with no major complications.

Keywords: Prosthesis; humeral head; osteoarthritis; allograft; meniscus; hemiarthroplasty.

Level of Evidence: IV

 

Prótesis humeral sin vástago y aloinjerto meniscal: ¿se debe abandonar?

 

RESUMEN

Introducción: El tratamiento de la artrosis glenohumeral avanzada en pacientes jóvenes y activos es complejo y controvertido. El objetivo de esta presentación es comunicar los resultados de una serie de pacientes sometidos a artroplastia humeral de superficie y aloinjerto de menisco. Materiales y Métodos: Se incluyó a 25 pacientes (edad promedio 47.3 años) con un seguimiento promedio de 66.1 meses. Antes de la cirugía y después, se evaluaron los estudios por imágenes, el rango de movilidad y las escalas funcionales (EAV, ASES y Simple Shoulder Test). Se analizaron las mismas variables en un subgrupo de 10 pacientes a los 6 años de la operación. Resultados: Los valores preoperatorios mejoraron significativamente al año de seguimiento: EAV de 7,3 a 2,8; ASES de 31,3 a 70,5; Simple Shoulder Test de 3,6 a 7,3; elevación anterior de 70° a 135°, abducción de 57° a 103°, rotación externa con el brazo aducido de 25° a 55° y rotación interna de 1,4 a 4 puntos (evaluada con un puntaje de 0 a 5). En los 10 pacientes evaluados a los 6 años de la cirugía, los resultados mostraron un deterioro estadísticamente significativo en todas las variables, aunque con una mejora sustancial respecto a los valores preoperatorios. En las radiografías, se observó una pérdida progresiva de la luz articular glenohumeral en todos los pacientes. Conclusiones: Con esta técnica quirúrgica hemos obtenido buenos resultados en cuanto a la mejoría del dolor, la movilidad y la calidad de vida, fue un procedimiento seguro y sin complicaciones mayores.

Palabras clave: Prótesis; cabeza humeral; artrosis; aloinjerto; menisco; hemiartroplastia.

Nivel de Evidencia: IV

 

INTRODUCTION

Advanced glenohumeral osteoarthritis in young, active patients is a difficult clinical problem with no ideal solution. Management is especially challenging when conservative treatment fails and there is extensive joint damage. Progressive pain, restricted motion, and high functional demands in this population often limit the effectiveness of nonoperative care.1,2

Traditionally, numerous options have been described: arthroscopic debridement, glenoplasty, arthrodesis, partial or total shoulder arthroplasty, and more recently, biologic therapies.3,4 Although hemiarthroplasty has been the most frequently indicated procedure, its results have been inferior to total arthroplasty because of long-term glenoid erosion and frequent conversion to total prosthesis.5,6 Total arthroplasty relieves pain and improves function, but complications such as wear, glenoid loosening, and periprosthetic fracture limit its use in young, active patients.2

Concerns about polyethylene durability at the glenoid have fueled interest in biologic materials for non-prosthetic reconstruction. Interposition using joint capsule, autogenous fascia lata, Achilles tendon allograft, and meniscal allograft has been reported with variable success.7-10

Meniscal allograft in young patients with knee osteoarthritis has shown healing potential and durability.7,9 Cementless humeral resurfacing prostheses yield outcomes comparable to stemmed implants in active young patients, with fewer complications, and they facilitate future revisions by preserving humeral bone stock.8

With these concepts in mind, the aim of this study was to retrospectively evaluate short- and mid-term functional outcomes in a group of active patients with glenohumeral osteoarthritis treated with humeral resurfacing hemi-arthroplasty and biologic interposition using a cryopreserved, non-irradiated lateral meniscal allograft from our tissue bank.

 

MATERIALS AND METHODS

From June 2003 to June 2023, 30 patients with symptomatic, advanced glenohumeral osteoarthritis underwent hemiarthroplasty with a humeral surface prosthesis (Copeland Mark III®, MacroBond, Biomet, Warsaw, IN, USA) combined with a non-irradiated frozen lateral meniscal allograft from our institutional tissue bank. All procedures were performed by the same experienced surgeon (level V on Tang’s expertise scale).11 Retrospective assessments were carried out by Upper Limb Surgery staff who were not involved in the cases.

Inclusion criteria: 1) symptomatic glenohumeral osteoarthritis, grade 3 (severe) per the Samilson–Prieto radiographic classification12 (Table 1); 2) age ≤55 years; 3) treatment with humeral resurfacing plus meniscal allograft; 4) pain (visual analog scale [VAS] ≥6) and functional limitation refractory to at least 8 months of conservative treatment (NSAIDs, activity modification, rehabilitation, injections) or prior arthroscopic synovectomy and lavage.

 

 

 

 

 

Exclusion criteria: 1) follow-up <1 year; 2) rheumatoid arthritis or signs of active infection; 3) previous hemiarthroplasty; 4) tears of two or more rotator cuff tendons.

Bipolar osteoarthritis (involvement of both articular surfaces) was diagnosed based on 1) clinical history, 2) radiographs to stage osteoarthritis per Samilson–Prieto,12 and 3) intraoperative findings in patients who had previously undergone arthroscopy. Glenoid cartilage damage (degeneration, erosions, asymmetric wear, and cartilage loss) was confirmed intraoperatively before proceeding. All patients were carefully evaluated with radiographs (AP, axillary, and AP with internal and external rotation), CT with 3D reconstruction and image suppression, and non-contrast MRI. These studies were used to select the lateral meniscal allograft best suited to resurface the glenoid according to morphotype and glenoid erosion (Walch criteria13) and to assess the presence of rotator cuff injuries. CT was also obtained postoperatively (immediate, 6 months, 1 year, then annually) to document the glenohumeral joint space achieved at surgery and to monitor allograft wear over time.

Function was assessed preoperatively and at 1, 3, 6, and 12 months postoperatively during the first year, then annually. Outcomes included VAS and active range of motion (abduction, forward elevation, internal rotation, and external rotation with the arm adducted). Internal rotation was graded by the highest vertebral level reached with the thumb extended (Table 2).

 

 

 

 

 

The ASES (American Shoulder and Elbow Surgeons) score and the Simple Shoulder Test (SST) were also collected.

Twenty-five of the 30 operated patients met inclusion criteria. Twenty were men and five were women. Mean age was 47.3 years (range, 35–55). Twenty had right-sided involvement, and the dominant limb was affected in 17 cases (Table 3).

Diagnoses included: sequelae of humeral fracture-dislocation (2 cases) and prior surgery for anterior gleno-humeral instability (20 cases): seven had open procedures (Putti-Platt [4], Bristow [2], and unspecified anterior capsular plication [1]) and 13 had arthroscopic procedures (Bankart repair, 10 with metal anchors and 3 with biodegradable implants). In seven instability cases (open and arthroscopic), osteoarthritis was accompanied by glenoid bone defects due to malpositioned implants (incorrectly placed 3.5 mm screws or anchors). Five of these seven had undergone exploratory arthroscopy with debridement for pain relief. The remaining three cases were idiopathic primary osteoarthritis with concentric joint narrowing. All patients were considered active and high demand based on work or sport (Table 4).

 

 

 

 

 

 

 

 

Statistical Analysis

Continuous variables are presented as mean ± standard deviation (SD), and categorical variables as frequencies and percentages. To compare VAS, ASES, and SST scores before surgery, after surgery, and across follow-up in the full cohort, the nonparametric Friedman test was used given the longitudinal, non-normal data. A p value <0.05 was considered significant.

A specific subgroup of 10 patients who completed a minimum of 6 years (72 months) of follow-up was analyzed for mid-term outcomes. Paired comparisons in this subgroup were performed with the Wilcoxon signed-rank test. Analyses were conducted with SPSS version 25.0 (IBM Corp., Armonk, NY, USA).

 

Surgical Technique (Figure 1)

All procedures were performed under brachial plexus block plus general anesthesia in the beach-chair position. A deltopectoral approach was used in all cases. When necessary, the subscapularis and anteroinferior capsule were elevated to obtain adequate tendon excursion, including release of adhesions in the subcoracoid space. The anterior capsule and subscapularis were elevated as a single layer to facilitate reattachment to the greater tuberosity. If external rotation was markedly limited, priority was given to repositioning the subscapularis by medializing it. Excessive posterior excursion of the humeral head was addressed by closing the rotator interval with simple Vicryl® sutures. Tenotomy and tenodesis of the long head of the biceps at the superior aspect of the subscapularis were routinely performed. The intra-articular biceps and the superior labrum were resected.

 

 

 

 

 

Glenoid step: to ensure allograft viability and avoid rupture, fixation strategy was meticulous. Based on intra-operative cartilage defects and asymmetric wear, the glenoid was reamed to a bleeding bed with complete labral debridement. Asymmetric reaming was performed when needed to correct deformity. The lateral meniscus, previously resected from a cadaveric tibial plateau, was prepared on a side table (Figure 2).

Leaving sufficient tissue for reinforcement, the anterior and posterior horns were sutured together and the graft was positioned according to the defects encountered, especially in Walch type B1 or B2 glenoids.13 Fixation was achieved with suture anchors, borrowing concepts from heart-valve prosthesis fixation: the glenoid was divided into quadrants and at least two anchors were placed in each quadrant (Figure 3).

 

 

 

 

 

 

 

 

 

 

 

Eight anchors were used. Early in the series these were metallic (2.8 mm FASTak, Arthrex®), later biodegradable (Bio-SutureTak®, Arthrex®), all with high-strength sutures (FiberWire®). The meniscus was trialed and all sutures placed prior to final fixation.

Humeral step: after controlled dislocation and humeral head preparation, an uncemented humeral resurfacing prosthesis was implanted in all cases (Copeland Mark III®, MacroBond; Biomet, Warsaw, IN, USA) (Figure 4).

Humeral bone defects larger than 5 mm in diameter were filled with cancellous bone allograft plus 1 g of vancomycin powder. When humeral head deformity was substantial, an image intensifier was used to determine the cervicodiaphyseal angle and humeral version. Small rotator cuff lesions were repaired with sutures; no procedures were performed on the acromioclavicular joint or the subacromial space. After meniscal fixation and prosthesis implantation, the subscapularis was reattached to the greater tuberosity with 5.5 mm anchors, with the arm adducted and 10° of external rotation. Layered closure and intradermal skin closure were performed. No drains were used. Mean operative time was 135 ± 13.95 minutes (range, 120–180).

 

 

 

 

 

 

 

Postoperative Rehabilitation Protocol

Weeks 1-6 (protection and passive motion): continuous sling use (20° elevation in the scapular plane). From day 1, elbow and wrist exercises and Codman pendulums were started. At 2 weeks, physical therapy began; full passive flexion, adduction, and internal rotation were allowed, while external rotation was limited to 45° to protect the meniscal allograft.

From Week 7 (active motion and progressive strengthening): full passive stretching of external rotation and active motion were initiated. Progressive strengthening began at 12 weeks. Return to sport was individualized according to each patient’s progress and tolerance.

 

RESULTS

Twenty-five patients were evaluated with a mean follow-up of 66.1 months (range, 21–156). Functional outcomes improved progressively and significantly across all clinical scores.

Mean VAS pain decreased from 7.32 ± 1.31 preoperatively to 2.76 ± 1.14 at 12 months (p <0.00001; Friedman test). ASES improved from 31.32 ± 5.54 to 70.52 ± 11.84 (p <0.00001), indicating significant functional recovery. SST increased from 3.64 ± 1.02 to 7.28 ± 1.40 over the same period (p <0.00001), this indicates an improvement in functional perception by the patient (Figure 5).

 

 

 

 

 

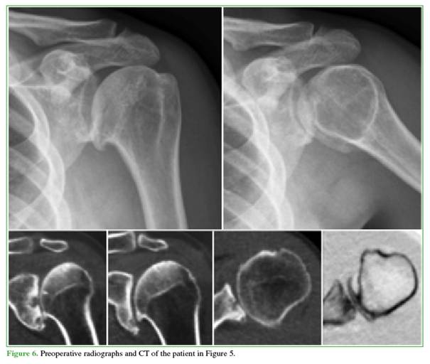
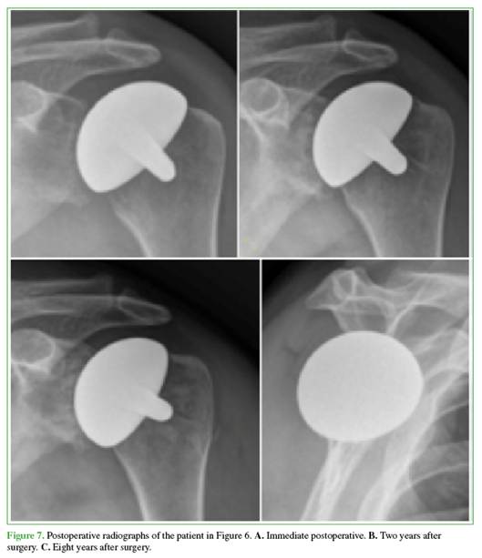
Active range of motion also improved. Forward elevation increased from 70.0° ± 25.0° preoperatively to 135.3° ± 24.8° at 12 months. Abduction rose from 57.2° ± 5.8° to 103.4° ± 9.0°. External rotation with the arm adducted improved from 25.1° ± 2.5° to 55.0° ± 4.6°. Internal rotation, graded on an ordinal scale, improved from 1.48 ± 0.50 to 4.04 ± 0.72 over the same period (Figures 6 and 7).

With appropriate rehabilitation, 20 patients returned to work or sport; 13 without restriction and seven at a lower level than expected because of concern about trauma affecting durability.

Mid-term outcomes (6 years): in the subgroup of 10 patients with at least 6 years of follow-up, we compared 12-month versus 6-year outcomes regarding pain and function scores, as well as active ranges of motion (Table 5) .

There was a statistically significant decline in pain and function scores (VAS, ASES, SST) and in active range of motion (forward elevation, abduction, external and internal rotation) at 6 years relative to 12 months. Despite this decline, mean 6-year values still represented substantial improvement over preoperative baselines.

 

 

 

 

 

Radiographic findings: preoperatively, all 25 shoulders had Samilson–Prieto12 grade-3 osteoarthritis (loss of joint space, cysts, and osteophytes) (Figures 6 and 7).

 

 

 

 

 

 

 

 

 

 

 

Seven had asymmetric glenoid wear (Walch type B1 in 4 and B2 in 313). In addition, seven shoulders had moderate subluxation and one had severe subluxation. Postoperatively, subluxation resolved in 22 shoulders and persisted mildly in three. Mean glenohumeral joint space increased from 1.2 mm (range, 0–3) to 3.4 mm (range, 1–5) (Figure 8).

Follow-up CT demonstrated progressive joint-space reduction due to meniscal allograft wear, correlated with time. On last-follow-up CTs, glenoid erosion was classified as minimal/none in 15 patients (60%), moderate in 7 (28%), and severe in 3 (12%). These qualitative findings confirm long-term glenoid wear despite meniscal interposition; erosion was an anticipated complication.

Intraoperative notes included rotator cuff repair with nonabsorbable sutures in two patients with prior humeral fracture-dislocation (one supraspinatus tear, one subscapularis tear). Five patients had variable numbers of loose bodies.1-3 No infections occurred. One patient had an uncomplicated postoperative hematoma, and one woman with osteonecrosis from fracture-dislocation had poor functional outcome but marked pain improvement.

 

 

 

 

 

 

DISCUSSION

Treating glenohumeral osteoarthritis in young, active patients is complex and controversial. Primary wear is uncommon; secondary causes after arthroscopic instability surgery are more frequent.14 Conservative care may help initially but is insufficient in advanced stages. Current literature favors total shoulder arthroplasty for short- and mid-term clinical outcomes,15 yet higher complication and revision rates have been reported in younger patients, mainly due to glenoid component wear.16,17 A systematic review found high revision (17.4%) and complication (9.4%) rates in patients younger than 65 years, with glenoid lucency in 54% at 9.4 years.16 A Mayo Clinic study of more than 5000 cases showed that older age is associated with lower risks of reoperation, revision, mechanical failure, and infection.17 The risk of revision decreased 3% per year after age 50, and infection risk decreased 1% after age 55. Patients aged 50–65 years had 35% fewer revisions, and those older than 65 had 55% fewer, compared with patients younger than 50. Other studies also report increased revisions in younger patients, with significant glenoid failures at 10 years.18,19

In response, the concept of “buying time and quality of life” has been proposed,20 based on biologic interposition options that delay joint deterioration without compromising future surgery. One of the pioneers in proposing this technique was Burkhead,9 who paired hemiarthroplasty with autografts (capsule, fascia lata) or allografts (Achilles), reporting variable but encouraging results. In this study, we chose meniscal interposition—tailored to the articular surface—based on favorable survivorship in young knees and its mechanical advantages: load transmission, reduced cartilage stress, shock absorption, stability, lubrication, and chondrocyte nutrition.21 The shape of the lateral meniscus, with the anterior and posterior horns sutured together, allows an excellent fit to the glenoid and humeral head, decreasing glenohumeral pressure by about 10% through force dispersion.22,23 Meniscal interposition aims to improve congruence and act as a biologic articular spacer. Among preservation methods, frozen, frozen plus gamma irradiation, and cryopreservation are most used.24 Several studies report that cadaveric meniscus should be cryopreserved, not lyophilized or irradiated, to preserve structure and biomechanics.21,24-26 Many reports do not specify preservation method. In all our patients we used non-irradiated cryopreserved lateral meniscal allograft, which may help explain our clinical results by maintaining microstructure. We also favored humeral resurfacing for several advantages: it better recreates normal biomechanics by preserving the humeral center of rotation compared with stemmed hemiarthroplasty, reduces operative time, and preserves bone for future reResults of interposition arthroplasty are variable.20 Results of interposition arthroplasty are variable. Puskas et al.6 reported unacceptably high early failure in 17 hemiarthroplasties with various biologic glenoid resurfacings; three of five meniscal cases required revision within 22 months. Lee et al.10 reported complications in 32% of 19 patients treated with hemiarthroplasty and meniscal allograft, with reoperation in six (32%) at 4.25 years. Both groups favored total shoulder arthroplasty as a more predictable option with lower failure. Others have reported positive outcomes.

Wirth2 treated 27 patients with hemiarthroplasty and lateral meniscal allograft, observing pain relief and improved function at 2–5 years despite radiographic joint narrowing. In long-term follow-up (mean 8.3 years), the same group27 reported very good functional outcomes, though with a 30% revision rate. Despite narrowing, the humeral head remained centered, possibly due to capsular release, soft-tissue balancing, rotator cuff preservation, and glenoid reaming.

Direct comparative studies between interposition and isolated hemiarthroplasty are scarce. In young patients, one study found unfavorable results in both groups, with hemiarthroplasty alone superior for pain relief and lower revision rates.28 Notably, interposition tissues varied (human acellular dermal matrix and lateral meniscal allograft) and sterilization methods were not specified. More comparative research is needed to determine optimal treatment.

Recently, hemiarthroplasty using a pyrocarbon humeral head has emerged as a promising option for young, active patients.29,30 Pyrocarbon has an elastic modulus similar to bone, offers durability and antimicrobial properties, and virtually eliminates risk of stem loosening by avoiding intramedullary fixation.29 In a retrospective series, Barret et al.29 evaluated 62 active patients (mean age, 60 years) and reported 87% 10-year survivorship, with best results in type-A glenoids. It is not recommended for type-B2 glenoids or subscapularis insufficiency given high revision rates (44%). Garret et al.30 reported satisfactory clinical scores with minimal glenoid erosion results in 37 patients treated with pyrocarbon humeral heads at mid-term follow-up (5-9 years). At the end of follow-up, glenoid erosion was minimal (moderate in 24% and severe in 8%), with satisfactory clinical scores. Although not yet available in our setting, this alternative represents meaningful progress toward durable solutions for young patients.

Despite the favorable early results in our series, this retrospective case series without a control group has inherent limitations, and findings should be interpreted accordingly. Strict inclusion criteria yielded a limited sample, constraining statistical power. While we observed significant mid-term improvements in pain and function, our 6-year subgroup analysis showed a statistically significant decline in functional scores and motion, and meniscal wear, although values remained substantially better than preoperative baselines, indicating preserved function. Patients with a history of fracture-dislocation fared worse than those with prior instability, suggesting that altered tuberosities may impair biomechanics and allograft viability, making such patients less suitable for this technique. Strengths include sample homogeneity, systematic clinical and radiographic follow-up, and a single high-experience surgeon, which ensures technical consistency. The 6-year functional analysis, though small, is a valuable and uncommon contribution for this intervention.

 

CONCLUSIONS

Humeral resurfacing with lateral meniscal allograft remains a valuable option in young, active patients. With strict patient selection and sound surgical technique, we achieved good improvements in pain, motion, and quality of life. Bone-stock preservation is a significant advantage that facilitates future revision if required.

 

 

REFERENCES

 

1.     Matsen FA 3rd, Rockwood CA Jr, Wirth MA, Lippitt SB, Parsons M. Glenohumeral arthritis and its management. En: Rockwood CA Jr, Matsen FA 3rd, Wirth MA, Lippitt SB (eds). The shoulder. 3rd ed. Philadelphia: WB Saunders; 2004, p. 879-100.

2.     Wirth M. Humeral head arthroplasty and meniscal allograft resurfacing of the glenoid. J Bone Joint Surg Am 2009;91(5):1109-19. https://doi.org/10.2106/JBJS.H.00677

3.     Fonte H, Amorim-Barbosa T, Diniz S, Barros L, Ramos J, Claro R. Shoulder arthroplasty options for glenohumeral osteoarthritis in young and active patients (<60 years old): a systematic review. J Shoulder Elbow Arthroplast 2020;6:24715492221087014. https://doi.org/10.1177/24715492221087014

4.     Rossi LA, Piuzzi NS, Shapiro SA. Glenohumeral osteoarthritis: the role for orthobiologic therapies: platelet-rich plasma and cell therapies. JBJS Rev 2020;8(2):e0075. https://doi.org/10.2106/JBJS.RVW.19.00075

5.     Gartsman GM, Roddey TS, Hammerman SM. Shoulder arthroplasty with or without resurfacing of the glenoid in patients who have osteoarthritis. J Bone Joint Surg Am 2000;82(1):26-34. https://doi.org/10.2106/00004623-200001000-00004

6.     Puskas GJ, Meyer DC, Lebschi JA, Gerber C. Unacceptable failure of hemiarthroplasty combined with biological glenoid resurfacing in the treatment of glenohumeral arthritis in the young. J Shoulder Elbow Surg 2015;24(12):1900-7. https://doi.org/10.1016/j.jse.2015.05.037

7.     Krishnan SG, Nowinski R, Harrison D, Burkhead WZ. Humeral hemiarthroplasty with biologic resurfacing of the glenoid for glenohumeral arthritis; two to fifteen-year outcomes. J Bone Joint Surg Am 2007;89(4):727-34. https://doi.org/10.2106/JBJS.E.01291

8.     Bishop JY, Flatow EL. Humeral head replacement versus total shoulder arthroplasty: clinical outcomes—a review. J Shoulder Elbow Surg 2005;14(1 Suppl S):141S-146S. https://doi.org/10.1016/j.jse.2004.09.027

9.     Burkhead WZ Jr, Hutton KS. Biologic resurfacing of the glenoid with hemiarthroplasty of the shoulder. J Shoulder Elbow Surg 1995;4(4):263-70. https://doi.org/10.1016/s1058-2746(05)80019-9

10.  Lee BK, Vaishnav S, Hatch III GFR, Itamura JM. Biologic resurfacing of the glenoid with meniscal allograft: long-term results with minimum 2-year follow-up. J Shoulder Elbow Surg 2013:22(2):253-60. https://doi.org/10.1016/j.jse.2012.04.019

11.  Tang JB, Giddins G. Why and how to report surgeons’ levels of expertise. J Hand Surg Eur Vol 2016;41(4):365-6. https://doi.org/10.1177/1753193416641590

12.  Samilson RL, Prieto V. Dislocation arthropathy of the shoulder. J Bone Joint Surg Am 1983;65(4):456-60. PMID: 6833319

13.  Walch G, Badet R, Boulahia A, Khoury A. Morphologic study of the glenoid in primary glenohumeral osteoarthritis. J Arthroplasty1999;14(6):756-60. https://doi.org/10.1016/s0883-5403(99)90232-2

14.  Franceschi F, Papalia R, Del Buono A, Vasta S, Maffulli N, Denaro V. Glenohumeral osteoarthritis after arthroscopic Bankart repair for anterior instability. Am J Sports Med 2011;39(8):1653-60. https://doi.org/10.1177/0363546511404207

15.  Brolin TJ, Thakar OV, Abboud JA. Outcomes after shoulder replacement surgery in the young patient: How do they do and how long can we expect them to last? Clin Sports Med 2018;37(4):593-607. https://doi.org/10.1016/j.csm.2018.05.008

16.  Roberson TA, Bentley JC, Griscom JT, Kissenberth MJ, Tolan SJ. Hawkins RJ, et al. Outcomes of total shoulder arthroplasty in patients younger than 65 years: a systematic review. J Shoulder Elbow Surg 2017;26(7):1298-1306. https://doi.org/10.1016/j.jse.2016.12.069

17.  Wagner ER, Houdek MT, Schleck CD, Harmsen WS, Sánchez-Sotelo J, Cofield R, et al. The role age plays in the outcomes and complications of shoulder arthroplasty. J Shoulder Elbow Surg 2017;26(9):1573-80. https://doi.org/10.1016/j.jse.2017.01.020

18.  Denard PJ, Raiss P, Sowa B, Walch G. Mid- to long-term follow-up of total shoulder arthroplasty using a keeled glenoid in young adults with primary glenohumeral arthritis. J Shoulder Elbow Surg 2013;22(7):894-900. https://doi.org/10.1016/j.jse.2012.09.016

19.  Brewley Jr EE, Christmas KN, Gorman II RA, Downes KL, Mighell MA, Frankle MA. Defining the younger patient: age as a predictive factor for outcomes in shoulder arthroplasty. J Shoulder Elbow Surg 2020;29(7):S1-S8. https://doi.org/10.1016/j.jse.2019.09.016

20.  Iagulli N, Field L, Hobgood R, Hurt J, Charles R, O´Brien M, et al. Surface replacement arthroplasty of the humeral head in young active patients: midterm results. Orthop J Sports Med 2014;2(1):2325967113519407. https://doi.org/10.1177/2325967113519407

21.  Lee SR, Kim JG, Nam SW. The tips and pitfalls of meniscus allograft transplantation. Knee Surg Relat Res 2012;24(3):137-45. https://doi.org/10.5792/ksrr.2012.24.3.137

22.  Yamaguchi K, Ball CM, Galatz LM, Levine WN. Meniscal allograft interposition arthroplasty of arthritic shoulder: early results and review of the technique. Presented at 18th Open Meeting American Shoulder and Elbow Surgeons. Dallas TX; 2002.

23.  Nicholson GP, Goldstein JL, Romeo AA, Cole BJ, Hayden JK, Twigg SL, et al. Lateral meniscus allograft biologic glenoid arthroplasty in total shoulder arthroplasty for young shoulders with degenerative joint disease. J Shoulder Elbow Surg 2007;16(5 Suppl):261-6. https://doi.org/10.1016/j.jse.2007.03.003

24.  Jacquet C, Erivan R, Argenson JN, Parratte S, Ollivier M. Effect of 3 preservation methods (freezing, cryopreservation, and freezing + irradiation) on human menisci ultrastructure: an ex vivo comparative study with fresh tissue as a gold standard. Am J Sports Med 2018;46(12):2899-2904. https://doi.org/10.1177/0363546518790504

25.  Zhang J, Song GY, Chen XZ, Li Y, Li X, Zhou JL. Macroscopic and histological evaluations of meniscal allograft transplantation using gamma irradiated meniscus: a comparative in vivo animal study. Chin Med J (Engl) 2015;128(10):1370-5. https://doi.org/10.4103/0366-6999.156784

26.  Bui D, Lovric V, Oliver R, Bertollo N, Broe D, Walsh WR. Meniscal allograft sterilisation: effect on biomechanical and histological properties. Cell Tissue Bank 2015;16(3):467-75. https://doi.org/10.1007/s10561-014-9492-3

27.  Bois AJ, Whitney IJ, Somerson JS, Wirth MA. Humeral head arthroplasty and meniscal allograft resurfacing of the glenoid: a concise follow-up of a previous report and survivorship analysis. J Bone Joint Surg Am 2015;97(19):1571-7. https://doi.org/10.2106/JBJS.N.01079

28.  Hammond LJ, Lin EC, Harwood DP, Juhan TW, Gochanour E, Klosterman EL, et al. Clinical outcomes of hemiarthroplasty and biological resurfacing in patients aged younger than 50 years. J Shoulder Elbow Surg 2013;22(10):1345-51. https://doi.org/10.1016/j.jse.2013.04.015

29.  Barret H, Garret J, Favard L, Bonnevialle N, Collin P, Gauci MO, et al. Long-term (minimum 10 years) survival and outcomes of pyrocarbon interposition shoulder arthroplasty. J Shoulder Elbow Surg 2025;34(3):739-49. https://doi.org/10.1016/j.jse.2024.05.026

30.  Garret J, Cuinet T, Ducharne L, van Rooij F, Saffarini M, Nover L, et al. Pyrocarbon humeral heads for hemishoulder arthroplasty grant satisfactory clinical scores with minimal glenoid erosion at 5-9 years of follow-up. J Shoulder Elbow Surg 2024;33(2):328-34. https://doi.org/10.1016/j.jse.2023.06.021

 

 

M. Caloia ORCID ID: https://orcid.org/0000-0002-8103-3036            

A. Meritano ORCID ID: https://orcid.org/0000-0001-5419-1859

D. Gónzalez Scotti ORCID ID: https://orcid.org/0000-0001-9564-4834              

M. E. Serur ORCID ID: https://orcid.org/0009-0009-4222-3724

H. Caloia ORCID ID: https://orcid.org/0000-0001-9288-1359

A. Davies ORCID ID: https://orcid.org/0009-0005-6313-5441

S. E. Ronconi ORCID ID: https://orcid.org/0009-0000-9562-9976

 

Received on October 11th, 2024. Accepted after evaluation on June 20th, 2025 Dr. Gerónimo Chamorro  gch.chamorro@gmail.com https://orcid.org/0009-0009-3235-3840

 

How to cite this article: Caloia M, Chamorro G, González Scotti D, Caloia H, Ronconi SE, Meritano A, Serur ME, Davies A. Stemless Humeral Prosthesis and Meniscal Allograft: Should We Abandon This Technique? Rev Asoc Argent Ortop Traumatol 2025;90(4):310-325. https://doi.org/10.15417/issn.1852-7434.2025.90.4.2046

 

 

Article Info

Identification: . https://doi.org/10.15417/issn.1852-7434.2025.90.4.2046

Published: August, 2025

Conflict of interests: The authors declare no conflicts of interest.

Copyright: © 2025, Revista de la Asociación Argentina de Ortopedia y Traumatología.

License: This article is under Attribution-NonCommertial-ShareAlike 4.0 International Creative Commons License (CC-BY-NC-SA 4.0).