INVESTIGACIÓN CLÍNICA

 

Prótesis humeral sin vástago y aloinjerto meniscal: ¿se debe abandonar?

 

Martín Caloia, Gerónimo Chamorro, Diego González Scotti, Hugo Caloia, Sergio E. Ronconi, Alejandro Meritano, María Emilia Serur, Agustín Davies

Sección de Cirugía de Miembro Superior, Servicio de Ortopedia y Traumatología, Hospital Universitario Austral, Pilar, Buenos Aires, Argentina

 

RESUMEN

Introducción: El tratamiento de la artrosis glenohumeral avanzada en pacientes jóvenes y activos es complejo y controvertido. El objetivo de esta presentación es comunicar los resultados de una serie de pacientes sometidos a artroplastia humeral de superficie y aloinjerto de menisco. Materiales y Métodos: Se incluyó a 25 pacientes (edad promedio 47.3 años) con un seguimiento promedio de 66.1 meses. Antes de la cirugía y después, se evaluaron los estudios por imágenes, el rango de movilidad y las escalas funcionales (EAV, ASES y Simple Shoulder Test). Se analizaron las mismas variables en un subgrupo de 10 pacientes a los 6 años de la operación. Resultados: Los valores preoperatorios mejoraron significativamente al año de seguimiento: EAV de 7,3 a 2,8; ASES de 31,3 a 70,5; Simple Shoulder Test de 3,6 a 7,3; elevación anterior de 70° a 135°, abducción de 57° a 103°, rotación externa con el brazo aducido de 25° a 55° y rotación interna de 1,4 a 4 puntos (evaluada con un puntaje de 0 a 5). En los 10 pacientes evaluados a los 6 años de la cirugía, los resultados mostraron un deterioro estadísticamente significativo en todas las variables, aunque con una mejora sustancial respecto a los valores preoperatorios. En las radiografías, se observó una pérdida progresiva de la luz articular glenohumeral en todos los pacientes. Conclusiones: Con esta técnica quirúrgica hemos obtenido buenos resultados en cuanto a la mejoría del dolor, la movilidad y la calidad de vida, fue un procedimiento seguro y sin complicaciones mayores.

Palabras clave: Prótesis; cabeza humeral; artrosis; aloinjerto; menisco; hemiartroplastia.

Nivel de Evidencia: IV

 

Stemless Humeral Prosthesis and Meniscal Allograft: Should We Abandon This Technique?

 

ABSTRACT

Introduction: Managing advanced glenohumeral osteoarthritis in young, active patients is complex and controversial. This study reports outcomes after humeral resurfacing arthroplasty combined with meniscal allograft. Materials and Methods: Twenty-five patients (mean age, 47.3 years) were included, with a mean follow-up of 66.1 months. Pre- and postoperative assessments included imaging, range of motion, and functional scores (VAS, ASES, and Simple Shoulder Test). In a subgroup of 10 patients, the same variables were reassessed at 6 years postoperatively. Results: One-year outcomes improved significantly versus baseline: VAS decreased from 7.3 to 2.8; ASES increased from 31.3 to 70.5; SST from 3.6 to 7.3; forward elevation improved from 70° to 135°; abduction from 57° to 103°; external rotation with the arm at side from 25° to 55°; and internal rotation from 1.4 to 4 points (0–5 scale). In the 10 patients evaluated at 6 years, there was a statistically significant deterioration across all variables relative to the 1-year results, although values remained substantially better than preoperative levels. Radiographs showed progressive glenohumeral joint-space narrowing in all patients. Conclusions: This surgical technique yielded meaningful improvements in pain, mobility, and quality of life and proved safe, with no major complications.

Keywords: Prosthesis; humeral head; osteoarthritis; allograft; meniscus; hemiarthroplasty.

Level of Evidence: IV

 

INTRODUCCIÓN

La artrosis glenohumeral avanzada en pacientes jóvenes y activos es un cuadro clínico de difícil abordaje, sin una solución ideal. Su manejo es difícil, sobre todo, si fracasa el tratamiento conservador y hay un daño articular extenso. El dolor progresivo, la limitación del movimiento y la alta demanda funcional de este grupo especial de pacientes, con frecuencia, limita la efectividad o hace insuficiente el tratamiento no quirúrgico.1,2

Tradicionalmente se han descrito numerosas opciones terapéuticas para esta entidad: desbridamiento artroscópico, glenoplastia, artrodesis, artroplastia articular con prótesis parcial o total y recientemente el uso de terapias biológicas.3,4 Si bien la hemiartroplastia ha sido el procedimiento más indicado, sus resultados han sido peores que los de la artroplastia total, debido a la erosión del componente glenoideo a largo plazo y la frecuente reconversión a prótesis total.5,6 Por otro lado, la artroplastia total alivia el dolor y mejora la función, pero sus complicaciones (desgaste, aflojamiento glenoideo, fractura periprotésica) limitan su uso en pacientes jóvenes y activos.2

La preocupación por la durabilidad de los componentes de polietileno en la glena ha impulsado el interés en los materiales biológicos para la reconstrucción no protésica; se han utilizado la interposición con cápsula articular, fascia lata autógena, aloinjerto de tendón de Aquiles y aloinjerto de menisco, con éxito variable.7-10

El aloinjerto de menisco para pacientes jóvenes con artrosis de rodilla tiene potencial de cicatrización y durabilidad.7,9 Por otro lado, las prótesis de superficie humeral sin cemento ofrecen resultados similares a los de las prótesis con vástago en jóvenes activos, con menos complicaciones, y facilitan futuras revisiones al preservar el stock óseo humeral.8

Teniendo en cuenta estos conceptos, el objetivo de este estudio fue evaluar retrospectivamente, a corto y mediano plazo, el resultado funcional en un grupo de pacientes activos con artrosis glenohumeral que fueron tratados con una prótesis humeral de superficie y artroplastia de interposición biológica con alomenisco criopreservado no irradiado de banco de tejidos.

 

MATERIALES Y MÉTODOS

Desde junio de 2003 hasta junio de 2023, 30 pacientes con artrosis glenohumeral avanzada sintomática fueron sometidos a una hemiartroplastia con prótesis de superficie humeral (Copeland Mark III®, MacroBond, Biomet, Warsaw, Indiana, EE.UU.), sumada a un aloinjerto de menisco externo congelado no irradiado de banco de tejidos de nuestra institución. Todos fueron operados por un mismo cirujano con experiencia (nivel V en la escala de experiencia de Tang),11 y evaluados, en forma retrospectiva, por integrantes del Sector de Cirugía de Miembro Superior, quienes desconocían los casos.

Se consideraron los siguientes criterios de inclusión: 1) artrosis glenohumeral sintomática grado 3 (grave) según la clasificación radiológica de Samilson y Prieto12 (Tabla 1), 2) edad ≤55 años, 3) tratamiento con una prótesis humeral de superficie y aloinjerto de menisco, 4) dolor (escala analógica visual [EAV] ≥6) e impotencia funcional resistente a un mínimo de 8 meses de tratamiento conservador (antinflamatorios no esteroides, modificación de la actividad, rehabilitación e infiltraciones) o sinovectomía y lavado articular artroscópico previo.

 

 

 

Los criterios de exclusión fueron: 1) seguimiento <1 año, 2) artritis reumatoide o signos de infección activa, 3) hemiartroplastias previas, 4) lesión de dos o más tendones del manguito rotador.

La artrosis con compromiso de ambas superficies articulares (bipolar) se diagnosticó sobre la base de una combinación de: 1) historia clínica, 2) radiografías (para valorar el grado de artrosis según la clasificación radiológica de Samilson y Prieto12) y 3) informe de los hallazgos intraoperatorios si habían sido sometidos a artroscopias como alternativa de tratamiento previo. El daño del cartílago articular de la superficie glenoidea (degeneración, erosiones, desgastes asimétricos glenoideos y pérdida del cartílago articular) se confirmó en el tiempo quirúrgico, permitiendo avanzar con el procedimiento. Todos los pacientes fueron minuciosamente seleccionados y estudiados mediante radiografías (anteroposterior, axilar y anteroposterior con rotaciones interna y externa), tomografía computarizada (TC) con reconstrucción 3D con supresión de imágenes y resonancia magnética sin contraste. Con los últimos estudios, se evaluó el alomenisco que mejor se adaptara a la superficie articular por revestir de acuerdo con el morfotipo y la erosión glenoidea (criterios de Walch13); y la presencia de lesiones del manguito rotador. Todos fueron evaluados también con una TC (en el posoperatorio inmediato, a los 6 meses, al año y, luego, una por año hasta el último control) para determinar el espacio articular glenohumeral obtenido en el momento de la cirugía, como así también la erosión del aloinjerto de menisco en el seguimiento alejado.

La función se evaluó antes de la cirugía y en el posoperatorio, al mes, y a los 3, 6 y 12 meses, durante el primer año, luego, se realizaron controles anuales. Se utilizaron la EAV y el rango de movilidad activa (abducción, elevación anterior, rotación interna y rotación externa con el brazo en aducción). La rotación interna se midió con una escala de puntaje según el nivel vertebral más alto que el paciente podía alcanzar con el pulgar extendido (Tabla 2).

 

 

 

También se usaron la escala ASES (American Shoulder and Elbow Surgeons) y la prueba simple de hombro (PSH) (Simple Shoulder Test).

Veinticinco de los 30 pacientes operados con esta técnica cumplieron con los criterios de inclusión. Veinte eran hombres y 5, mujeres. La edad promedio era de 47.3 años (rango 35-55). Veinte tenían compromiso del lado derecho, y el miembro dominante estaba afectado en 17 casos (Tabla 3).

Los diagnósticos incluían: secuelas de luxofractura de húmero (2 casos), cirugías previas por inestabilidad anterior glenohumeral (20 casos): 7 de ellos habían sido sometidos a cirugía a cielo abierto (técnicas Putti-Platt [4 casos], técnica de Bristow [2 casos] y plástica capsular anterior inespecífica [1 caso]) y 13, a cirugías artroscópicas (operación de Bankart, 10 tratados con arpones metálicos y 3 con implantes biodegradables). En 7 pacientes operados por inestabilidad glenohumeral (abierta y artroscópica), la artrosis estaba acompañada de defectos óseos glenoideos, producto de una inadecuada colocación de los implantes (tornillos o arpones de 3,5 mm incorrectamente posicionados). Cinco de ellos habían sido sometidos a una artroscopia de carácter exploratorio a lo que se sumó un desbridamiento con el objetivo de aliviar el dolor. Los 3 casos restantes se debían a artrosis primaria idiopática, con pinzamiento concéntrico articular. A todos se los consideró personas activas de alta demanda sobre la base de las actividades laborales o deportivas (Tabla 4).

 

 

 

 

 

 

 

Análisis estadístico

Las variables continuas se presentan como media ± desviación estándar (DE) y las variables categóricas se expresan como frecuencias y porcentajes. Para comparar los puntajes de las escalas de dolor (EAV) y funcionales (ASES, PSH) antes de la cirugía y después, y durante el seguimiento en la cohorte completa, se empleó la prueba no paramétrica de Friedman debido a la naturaleza longitudinal y no necesariamente normal de los datos. Se consideró estadísticamente significativo un valor p <0,05. Asimismo, se analizó a un subgrupo específico de 10 pacientes que completaron un seguimiento mínimo de 6 años (72 meses) para evaluar los resultados a mediano plazo. Las comparaciones pareadas en este subgrupo se realizaron con la prueba de rangos con signo de Wilcoxon. Se utilizó el programa estadístico SPSS (Statistical Package for the Social Sciences) versión 25.0 (IBM Corp., Armonk, NY, EE.UU.).

 

Técnica quirúrgica (Figura 1)

Todos fueron operados bajo anestesia plexual o general en posición de silla de playa. El abordaje fue siempre deltopectoral. Cuando fue necesario, se realizó un despegamiento del subescapular junto con la cápsula anteroinferior para obtener una adecuada excursión del tendón, inclusive la liberación de adherencias en el espacio subcoracoideo. La cápsula articular anterior y el subescapular se elevaron en un solo plano para mejorar la reinserción en el troquíter. Si la falta de rotación externa era importante, se priorizó la reposición del subescapular medializándolo. La excursión excesiva de la cabeza humeral hacia posterior se abordó cerrando el intervalo rotador con puntos simples Vicryl®. Como rutina se realizó tenotomía y tenodesis de la porción larga del bíceps en la región superior del subescapular. Se resecaron la porción intrarticular del bíceps y el labrum superior.

 

 

 

Tiempo glenoideo: para asegurar la viabilidad del aloinjerto y evitar posibles roturas, la estrategia para su fijación fue minuciosa. Según los defectos del cartílago articular y las erosiones asimétricas hallados durante la cirugía, se realizó un fresado para regularizar la superficie articular hasta un lecho sangrante, con desbridamiento completo del labrum. Si era necesario, se procedía al fresado asimétrico para corregir la deformidad. El menisco externo, resecado previamente del platillo tibial alogénico, fue preparado en una mesa auxiliar de cirugía (Figura 2).

Dejando suficiente tejido para reforzar su inserción, se suturaron entre sí los cuernos anterior y posterior, y se posicionó en la glena de acuerdo con los defectos encontrados, especialmente en aquellos casos con una glena tipo B1 o B2 de la clasificación de Walch.13 La fijación se efectuó mediante anclajes óseos, tomando los conceptos de cirugía cardiovascular sobre la fijación de la prótesis valvular del corazón, para lo cual se dividió a la glena en cuadrantes y se utilizó un mínimo de 2 anclas por cada uno de ellos (Figura 3).

 

 

 

 

 

 

Se usaron 8 anclas que, en los primeros años, fueron metálicas (2,8 mm FASTak, Arthrex®) y, luego, biodegradables (Bio-SutureTak®, Arthrex®), todas con sutura de alta resistencia (FiberWire®). Se presentó el menisco y se colocaron todas las suturas antes de su fijación definitiva.

Tiempo humeral: luego de la luxación controlada y la preparación de la cabeza humeral, se realizó la artroplastia humeral de superficie no cementada que, en todos los casos, fue la misma (Copeland Mark III®, MacroBond; Bio-met, Warsaw, Indiana, EE.UU.) (Figura 4).

Como detalle, es importante mencionar que los defectos óseos humerales que miden >5 mm de diámetro fueron rellenados con aloinjerto óseo esponjoso junto con vancomicina en polvo 1 g y, cuando la deformidad ósea de la cabeza femoral era importante, se utilizó el intensificador de imágenes para determinar, con exactitud, el ángulo cervicodiafisario, y la versión humeral. Las lesiones pequeñas del manguito rotador fueron reparadas simultáneamente mediante suturas y, en ningún caso, se realizó un gesto en la articulación acromioclavicular o en el espacio subacromial. Luego de la fijación meniscal y la colocación de la prótesis, se ejecutó la reinserción del subescapular en el troquíter con anclas de 5,5 mm, con 10° de rotación externa y el brazo aducido. Finalmente se procedió al cierre por planos y cuticular en forma intradérmica. En ningún caso, se utilizó drenaje. El tiempo quirúrgico promedio fue de 135 ± 13.95 min (rango 120-180).

 

 

 

 

Esquema de rehabilitación posoperatoria

Semanas 1-6 (fase de protección y movilidad pasiva): el paciente utiliza un cabestrillo de forma permanente (20º de elevación en el plano escapular). Desde el primer día, se inician los ejercicios de codo, muñeca y pendulares de Codman. A las dos semanas, comienza la fisiokinesioterapia, se permite la movilidad pasiva completa para la flexión, aducción y rotación interna, y se limita la rotación externa hasta los 45° para proteger el aloinjerto meniscal.

A partir de la semana 7 (fase de movilidad activa y fortalecimiento progresivo): se inician la elongación pasiva completa de la rotación externa y los ejercicios de movilidad activa. Los ejercicios de fortalecimiento progresivo se indican a partir de las 12 semanas. El retorno deportivo se adapta a la evolución y tolerancia de cada paciente.

 

RESULTADOS

Se evaluó a 25 pacientes, con un seguimiento promedio de 66.1 meses (rango 21-156). Los resultados funcionales indicaron una evolución favorable, con mejorías progresivas y estadísticamente significativas en todos los puntajes clínicos analizados.

Se observó una disminución del puntaje promedio en la EAV para dolor de 7,32 ± 1,31 antes de la cirugía a 2,76 ± 1,14 al mes 12 de seguimiento (p <0,00001; prueba de Friedman). El puntaje ASES se incrementó desde un valor basal de 31,32 ± 5,54 hasta 70,52 ± 11,84 al finalizar el seguimiento (p <0,00001), lo que refleja una recuperación significativa de la función clínica del hombro. En cuanto a la PSH, el promedio aumentó de 3,64 ± 1,02 a 7,28 ± 1,40 en el mismo período (p <0,00001), esto indica una mejora en la percepción funcional por parte del paciente (Figura 5).

 

 

 

Paralelamente, se observaron avances relevantes en los parámetros de movilidad articular activa. La elevación anterior se incrementó de 70,0° ± 25,0° antes de la cirugía a 135,3° ± 24,8 a los 12 meses de seguimiento. La abducción pasó de 57,2° ± 5,8° a 103,4° ± 9,0°, mientras que la rotación externa con el brazo aducido mejoró de 25,1° ± 2,5° a 55,0° ± 4,6°. La rotación interna, medida en una escala numérica ordinal, aumentó de 1,48 ± 0,50 a 4,04 ± 0,72 en el mismo período.

Con una adecuada rehabilitación posquirúrgica, 20 pacientes pudieron retomar sus actividades laborales o deportivas, 13 de ellos sin restricción y 7 con un nivel inferior a la esperado por temor a sufrir un traumatismo que alterara la durabilidad del procedimiento.

Resultados en pacientes con seguimiento a mediano plazo (6 años): se evaluó la evolución de los puntajes de dolor y función, así como los rangos de movilidad activa, comparando los resultados obtenidos a los 12 meses con los del seguimiento a 6 años (Tabla 5).

Los resultados de este subgrupo indicaron un deterioro estadísticamente significativo tanto en los puntajes de dolor y función (EAV, ASES, PSH) como en los rangos de movilidad activa (elevación anterior, abducción, rotación externa e interna) en el control a los 6 años comparados con los valores a los 12 meses de la cirugía. A pesar de este descenso, los valores promedio a los 6 años aún representaron una mejora sustancial respecto a los valores preoperatorios.

 

 

 

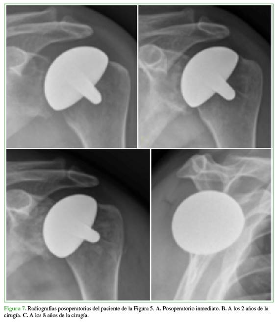
Resultados radiográficos: antes de la cirugía, los 25 hombros tenían artrosis grado 3 de la clasificación de Samilson y Prieto12 (pérdida de luz articular, quistes y osteofitos) (Figuras 6 y 7).

 

 

 

 

 

 

Hubo 7 casos de desgaste asimétrico de la glenoides (4 tipo B1 y 3 tipo B2 de Walch13). Además, 7 hombros tenían una subluxación moderada y 1, una severa. Tras la cirugía, la subluxación se resolvió en 22 hombros y persistió levemente en 3 pacientes. El espacio articular glenohumeral promedio aumentó de 1,2 mm (rango 0-3) antes de la operación a 3,4 mm (rango 1-5) después. La TC de control reveló una disminución del espacio articular por desgaste del alomenisco, correlacionado con el tiempo de evolución (Figura 8). Para una evaluación más detallada de la erosión glenoidea posoperatoria, se analizaron las TC de seguimiento en el último control. Se clasificó la erosión glenoidea de la siguiente manera: 15 pacientes (60%) tenían erosión mínima o nula; 7 (28%), erosión moderada y 3 (12%), erosión severa. Estos hallazgos cualitativos confirman la progresión del desgaste glenoideo a largo plazo, a pesar de la interposición meniscal, la erosión fue una complicación esperada. En cuanto a los hallazgos intraoperatorios relevantes, en 2 pacientes con antecedentes de luxofractura de húmero, se reparó el manguito rotador con puntos de suturas no reabsorbibles. Uno de ellos tenía una lesión del supraespinoso y otro, del subescapular. Cinco tenían cuerpos libres articulares en cantidad variable.1-3 No se registraron infecciones. Se observó un hematoma posoperatorio no complicado en un paciente y un resultado funcional pobre, pero con franca mejoría del dolor en una mujer con antecedente de osteonecrosis por luxofractura de húmero.

 

 

 

 

DISCUSIÓN

El tratamiento de la artrosis glenohumeral en pacientes jóvenes activos es complejo y controvertido. El desgaste primario es infrecuente, es más común la causa secundaria a cirugías artroscópicas por inestabilidad.14 El tratamiento conservador ofrece una mejoría inicial, pero resulta insuficiente en etapas avanzadas. Según la bibliografía actual, la artroplastia total logra los mejores resultados clínicos y funcionales a corto y mediano plazo,15 pero se ha comunicado una tasa más alta de complicaciones y revisiones en pacientes jóvenes, asociada principalmente al desgaste del componente glenoideo.16,17 En una revisión sistemática, se hallaron altas tasas de revisión (17,4%) y de complicaciones (9,4%) en artroplastias totales de hombro de pacientes <65 años, con lucencia glenoidea en el 54% a los 9.4 años.16 Un estudio de la Clínica Mayo en más de 5000 casos confirmó que la edad avanzada se asocia a un menor riesgo de reoperación, revisión, falla mecánica e infección.17 El riesgo de revisión disminuía un 3% por año después de los 50 años, y el de infección, un 1% después de los 55 años. Los pacientes de 50-65 años tuvieron un 35% menos de revisiones, y los mayores de 65, un 55% menos, comparados con los menores de 50. Otros estudios también reportan un aumento de revisiones protésicas en pacientes jóvenes, con fallas significativas del componente glenoideo a los 10 años de tratamiento.18,19

En respuesta a esta difícil decisión terapéutica, se ha introducido el concepto de “compra de tiempo y calidad de vida”,20 sobre la base de opciones de interposición biológica para retrasar el deterioro articular sin comprometer futuras cirugías. Uno de los pioneros en proponer esta técnica fue Burkhead,9 quien asoció la hemiartroplastia con autoinjertos (cápsula, fascia lata) o aloinjertos (Aquiles), y obtuvo resultados variables, pero alentadores para ganar tiempo y mejorar la calidad de vida. En este estudio, se eligió la interposición de menisco (que mejor se adaptara a la superficie articular) sobre la base de las experiencias positivas de supervivencia de los trasplantes en rodillas degenerativas de pacientes jóvenes, y por las ventajas mecánicas que ofrece: transmisión de cargas, menor estrés cartilaginoso, absorción de impacto, estabilidad, lubricación y nutrición condrocitaria.21 Asimismo, la forma del menisco externo permite que, al unir sus cuernos anterior y posterior, se adapte perfectamente a la glena y la cabeza humeral, disminuyendo la presión glenohumeral en un 10% al dispersar las fuerzas.22,23 La interposición de injerto meniscal busca mejorar la congruencia articular y actuar como agente biológico de articular. Dentro de las opciones de preservación de meniscos, tres métodos han sido los más utilizados: congelados, congelados con irradiación gamma y criopreservados.24 En diferentes estudios, se ha comunicado que el menisco cadavérico debe ser criopreservado no liofilizado ni irradiado para conservar su estructura biológica y no perder sus propiedades biomecánicas.21,24-26 La mayoría de los estudios no especifican el método de conservación del aloinjerto meniscal. En todos nuestros pacientes, se utilizó aloinjerto de menisco criopreservado no irradiado, lo que podría explicar nuestros buenos resultados clínicos al mantener su microestructura. En este estudio, hemos optado por realizar prótesis de superficie por varias ventajas: recrea mejor la biomecánica normal al conservar el centro de rotación humeral en comparación con la hemiartroplastia con tallo, reduce el tiempo quirúrgico y preserva el tejido óseo facilitando futuras revisiones.20

La artroplastia con interposición de tejidos genera debate por la variabilidad de sus resultados. Puskas y cols.6 reportaron tasas de fracaso temprano inaceptables en 17 hemiartroplastias con rejuvenecimiento glenoideo de distinto tipo. Tres pacientes de 5 tratados con aloinjerto de menisco precisaron revisiones dentro de los 22 meses de seguimiento. Lee y cols.10 también hallaron complicaciones en el 32% de 19 pacientes tratados con una hemiartroplastia y aloinjerto de menisco, con necesidad de reintervención en 6 casos (32%) a los 4.25 años de seguimiento. Ambos estudios están en contra de esta técnica y proponen a la artroplastia total de hombro como una opción más predecible y con menor tasa de fallas. Otros autores han publicado resultados positivos. Wirth2 evaluó a 27 pacientes con artrosis glenohumeral tratados con una hemiartroplastia y aloinjerto de menisco lateral. A los 2-5 años, observaron un alivio del dolor y mejor función, aunque con estrechamiento articular radiológico. En otro estudio, el grupo de este mismo autor27 evaluó a los mismos pacientes en un seguimiento a largo plazo (8.3 años), y obtuvieron muy buenos resultados funcionales, aunque con un 30% de revisiones. A pesar del estrechamiento articular, la cabeza humeral se mantuvo centrada, posiblemente por liberación capsular, equilibrio de tejidos blandos, preservación del manguito rotador y fresado glenoideo.

La controversia en torno a la artroplastia con interposición de tejidos se ve exacerbada por la relativa escasez de estudios que comparen directamente sus resultados con los de la hemiartroplastia aislada. En un estudio de pacientes jóvenes con artrosis glenohumeral, los resultados fueron desfavorables en ambos grupos, la hemiartroplastia sola fue superior a la interposición biológica para aliviar el dolor y por la menor necesidad de revisión.28 Pero es importante mencionar que la interposición articular se realizó con distintos tipos de tejido (matriz dérmica acelular humana y aloinjerto meniscal lateral sin especificar el tipo de esterilización). Esta escasez de comparaciones directas resalta la necesidad de más investigaciones para determinar qué tratamiento es mejor para estos pacientes. Desde hace poco tiempo, la hemiartroplastia de hombro con cabeza humeral de pirocarbono se postula como una opción prometedora para el tratamiento de la osteoartritis en pacientes jóvenes y activos.29,30 El pirocarbono, un biomaterial con un módulo de elasticidad similar al hueso, ofrece durabilidad y propiedades antinfecciosas, además de eliminar virtualmente el riesgo de aflojamiento de la prótesis al no requerir fijación intramedular.29 En un estudio retrospectivo, Barret y cols.29 evaluaron a 62 pacientes jóvenes y activos (edad promedio 60 años) tratados con esta prótesis, y comunicaron una supervivencia del 87% a los 10 años. Sus hallazgos indican que este procedimiento es eficiente y duradero en casos de glenoides tipo A. No obstante, no se recomienda en pacientes con glenoides tipo B2 o insuficiencia del subescapular, dado que estas condiciones se asocian con altas tasas de revisión (44%). Garret y cols.30 evaluaron los resultados en 37 pacientes tratados con cabezas humerales de pirocarbono en un seguimiento a mediano plazo (5-9 años). Al final del seguimiento, la erosión glenoidea era mínima (moderada en el 24% y severa en el 8%), con puntajes clínicos satisfactorios. Esta alternativa, aunque aún no disponible en nuestro medio, representa un avance significativo en la búsqueda de soluciones duraderas para la artrosis glenohumeral en pacientes jóvenes.

A pesar de los buenos resultados iniciales obtenidos en nuestra serie, es crucial reconocer que nuestro estudio, al ser una serie de casos retrospectiva y sin un grupo de control, presenta limitaciones inherentes para establecer una superioridad definitiva de nuestra técnica en comparación con otras opciones terapéuticas y los resultados deben interpretarse en este contexto. Además, al utilizar estrictos criterios de inclusión, tiene un número limitado de pacientes, lo que dificulta el análisis estadístico. Si bien hemos observado mejorías significativas en el dolor y la función a mediano plazo, nuestros propios resultados a mediano plazo (6 años) en un subgrupo de pacientes, mostraron un deterioro estadísticamente significativo en los puntajes funcionales y de movilidad, además del desgaste del menisco, aunque con una mejora sustancial respecto a los valores preoperatorios, esto indica que la función sigue siendo buena. Es relevante destacar también que los pacientes con antecedentes de luxofractura evolucionaron peor que aquellos con inestabilidades previas, lo que sugiere que la alteración de las tuberosidades afecta la biomecánica y la viabilidad del alomenisco, considerándolos menos adecuados para esta técnica. En contraposición a las limitaciones mencionadas, nuestro estudio presenta varias fortalezas: la homogeneidad de la muestra, el seguimiento clínico y radiológico sistematizado, y el hecho de que todos los procedimientos fueron realizados por un único cirujano con amplia experiencia, lo que asegura una importante consistencia técnica. Además, el análisis funcional a 6 años en un subgrupo, aunque limitado en tamaño, representa un aporte valioso y poco frecuente en este tipo de intervenciones.

 

CONCLUSIONES

La artroplastia de superficie con aloinjerto meniscal sigue siendo una opción muy valiosa en pacientes jóvenes activos. Con una estricta selección de pacientes y una adecuada técnica quirúrgica hemos obtenido buenos resultados en la mejoría del dolor, la movilidad y la calidad de vida. La preservación del stock óseo representa una ventaja significativa, que favorece futuras revisiones si fueran necesarias.

 

BIBLIOGRAFÍA

 

1.     Matsen FA 3rd, Rockwood CA Jr, Wirth MA, Lippitt SB, Parsons M. Glenohumeral arthritis and its management. En: Rockwood CA Jr, Matsen FA 3rd, Wirth MA, Lippitt SB (eds). The shoulder. 3rd ed. Philadelphia: WB Saunders; 2004, p. 879-100.

2.     Wirth M. Humeral head arthroplasty and meniscal allograft resurfacing of the glenoid. J Bone Joint Surg Am 2009;91(5):1109-19. https://doi.org/10.2106/JBJS.H.00677

3.     Fonte H, Amorim-Barbosa T, Diniz S, Barros L, Ramos J, Claro R. Shoulder arthroplasty options for glenohumeral osteoarthritis in young and active patients (<60 years old): a systematic review. J Shoulder Elbow Arthroplast 2020;6:24715492221087014. https://doi.org/10.1177/24715492221087014

4.     Rossi LA, Piuzzi NS, Shapiro SA. Glenohumeral osteoarthritis: the role for orthobiologic therapies: platelet-rich plasma and cell therapies. JBJS Rev 2020;8(2):e0075. https://doi.org/10.2106/JBJS.RVW.19.00075

5.     Gartsman GM, Roddey TS, Hammerman SM. Shoulder arthroplasty with or without resurfacing of the glenoid in patients who have osteoarthritis. J Bone Joint Surg Am 2000;82(1):26-34. https://doi.org/10.2106/00004623-200001000-00004

6.     Puskas GJ, Meyer DC, Lebschi JA, Gerber C. Unacceptable failure of hemiarthroplasty combined with biological glenoid resurfacing in the treatment of glenohumeral arthritis in the young. J Shoulder Elbow Surg 2015;24(12):1900-7. https://doi.org/10.1016/j.jse.2015.05.037

7.     Krishnan SG, Nowinski R, Harrison D, Burkhead WZ. Humeral hemiarthroplasty with biologic resurfacing of the glenoid for glenohumeral arthritis; two to fifteen-year outcomes. J Bone Joint Surg Am 2007;89(4):727-34. https://doi.org/10.2106/JBJS.E.01291

8.     Bishop JY, Flatow EL. Humeral head replacement versus total shoulder arthroplasty: clinical outcomes—a review. J Shoulder Elbow Surg 2005;14(1 Suppl S):141S-146S. https://doi.org/10.1016/j.jse.2004.09.027

9.     Burkhead WZ Jr, Hutton KS. Biologic resurfacing of the glenoid with hemiarthroplasty of the shoulder. J Shoulder Elbow Surg 1995;4(4):263-70. https://doi.org/10.1016/s1058-2746(05)80019-9

10.  Lee BK, Vaishnav S, Hatch III GFR, Itamura JM. Biologic resurfacing of the glenoid with meniscal allograft: long-term results with minimum 2-year follow-up. J Shoulder Elbow Surg 2013:22(2):253-60. https://doi.org/10.1016/j.jse.2012.04.019

11.  Tang JB, Giddins G. Why and how to report surgeons’ levels of expertise. J Hand Surg Eur Vol 2016;41(4):365-6. https://doi.org/10.1177/1753193416641590

12.  Samilson RL, Prieto V. Dislocation arthropathy of the shoulder. J Bone Joint Surg Am 1983;65(4):456-60. PMID: 6833319

13.  Walch G, Badet R, Boulahia A, Khoury A. Morphologic study of the glenoid in primary glenohumeral osteoarthritis. J Arthroplasty1999;14(6):756-60. https://doi.org/10.1016/s0883-5403(99)90232-2

14.  Franceschi F, Papalia R, Del Buono A, Vasta S, Maffulli N, Denaro V. Glenohumeral osteoarthritis after arthroscopic Bankart repair for anterior instability. Am J Sports Med 2011;39(8):1653-60. https://doi.org/10.1177/0363546511404207

15.  Brolin TJ, Thakar OV, Abboud JA. Outcomes after shoulder replacement surgery in the young patient: How do they do and how long can we expect them to last? Clin Sports Med 2018;37(4):593-607. https://doi.org/10.1016/j.csm.2018.05.008

16.  Roberson TA, Bentley JC, Griscom JT, Kissenberth MJ, Tolan SJ. Hawkins RJ, et al. Outcomes of total shoulder arthroplasty in patients younger than 65 years: a systematic review. J Shoulder Elbow Surg 2017;26(7):1298-1306. https://doi.org/10.1016/j.jse.2016.12.069

17.  Wagner ER, Houdek MT, Schleck CD, Harmsen WS, Sánchez-Sotelo J, Cofield R, et al. The role age plays in the outcomes and complications of shoulder arthroplasty. J Shoulder Elbow Surg 2017;26(9):1573-80. https://doi.org/10.1016/j.jse.2017.01.020

18.  Denard PJ, Raiss P, Sowa B, Walch G. Mid- to long-term follow-up of total shoulder arthroplasty using a keeled glenoid in young adults with primary glenohumeral arthritis. J Shoulder Elbow Surg 2013;22(7):894-900. https://doi.org/10.1016/j.jse.2012.09.016

19.  Brewley Jr EE, Christmas KN, Gorman II RA, Downes KL, Mighell MA, Frankle MA. Defining the younger patient: age as a predictive factor for outcomes in shoulder arthroplasty. J Shoulder Elbow Surg 2020;29(7):S1-S8. https://doi.org/10.1016/j.jse.2019.09.016

20.  Iagulli N, Field L, Hobgood R, Hurt J, Charles R, O´Brien M, et al. Surface replacement arthroplasty of the humeral head in young active patients: midterm results. Orthop J Sports Med 2014;2(1):2325967113519407. https://doi.org/10.1177/2325967113519407

21.  Lee SR, Kim JG, Nam SW. The tips and pitfalls of meniscus allograft transplantation. Knee Surg Relat Res 2012;24(3):137-45. https://doi.org/10.5792/ksrr.2012.24.3.137

22.  Yamaguchi K, Ball CM, Galatz LM, Levine WN. Meniscal allograft interposition arthroplasty of arthritic shoulder: early results and review of the technique. Presented at 18th Open Meeting American Shoulder and Elbow Surgeons. Dallas TX; 2002.

23.  Nicholson GP, Goldstein JL, Romeo AA, Cole BJ, Hayden JK, Twigg SL, et al. Lateral meniscus allograft biologic glenoid arthroplasty in total shoulder arthroplasty for young shoulders with degenerative joint disease. J Shoulder Elbow Surg 2007;16(5 Suppl):261-6. https://doi.org/10.1016/j.jse.2007.03.003

24.  Jacquet C, Erivan R, Argenson JN, Parratte S, Ollivier M. Effect of 3 preservation methods (freezing, cryopreservation, and freezing + irradiation) on human menisci ultrastructure: an ex vivo comparative study with fresh tissue as a gold standard. Am J Sports Med 2018;46(12):2899-2904. https://doi.org/10.1177/0363546518790504

25.  Zhang J, Song GY, Chen XZ, Li Y, Li X, Zhou JL. Macroscopic and histological evaluations of meniscal allograft transplantation using gamma irradiated meniscus: a comparative in vivo animal study. Chin Med J (Engl) 2015;128(10):1370-5. https://doi.org/10.4103/0366-6999.156784

26.  Bui D, Lovric V, Oliver R, Bertollo N, Broe D, Walsh WR. Meniscal allograft sterilisation: effect on biomechanical and histological properties. Cell Tissue Bank 2015;16(3):467-75. https://doi.org/10.1007/s10561-014-9492-3

27.  Bois AJ, Whitney IJ, Somerson JS, Wirth MA. Humeral head arthroplasty and meniscal allograft resurfacing of the glenoid: a concise follow-up of a previous report and survivorship analysis. J Bone Joint Surg Am 2015;97(19):1571-7. https://doi.org/10.2106/JBJS.N.01079

28.  Hammond LJ, Lin EC, Harwood DP, Juhan TW, Gochanour E, Klosterman EL, et al. Clinical outcomes of hemiarthroplasty and biological resurfacing in patients aged younger than 50 years. J Shoulder Elbow Surg 2013;22(10):1345-51. https://doi.org/10.1016/j.jse.2013.04.015

29.  Barret H, Garret J, Favard L, Bonnevialle N, Collin P, Gauci MO, et al. Long-term (minimum 10 years) survival and outcomes of pyrocarbon interposition shoulder arthroplasty. J Shoulder Elbow Surg 2025;34(3):739-49. https://doi.org/10.1016/j.jse.2024.05.026

30.  Garret J, Cuinet T, Ducharne L, van Rooij F, Saffarini M, Nover L, et al. Pyrocarbon humeral heads for hemishoulder arthroplasty grant satisfactory clinical scores with minimal glenoid erosion at 5-9 years of follow-up. J Shoulder Elbow Surg 2024;33(2):328-34. https://doi.org/10.1016/j.jse.2023.06.021

 

 

ORCID de M. Caloia: https://orcid.org/0000-0002-8103-3036             

ORCID de A. Meritano: https://orcid.org/0000-0001-5419-1859

ORCID de D. Gónzalez Scotti: https://orcid.org/0000-0001-9564-4834               

ORCID de M. E. Serur: https://orcid.org/0009-0009-4222-3724

ORCID de H. Caloia: https://orcid.org/0000-0001-9288-1359

ORCID de A. Davies: https://orcid.org/0009-0005-6313-5441

ORCID de S. E. Ronconi: https://orcid.org/0009-0000-9562-9976

 

Recibido el 11-10-2024. Aceptado luego de la evaluación el 20-6-2025 Dr. Gerónimo Chamorro gch.chamorro@gmail.com https://orcid.org/0009-0009-3235-3840

 

Cómo citar este artículo: Caloia M, Chamorro G, González Scotti D, Caloia H, Ronconi SE, Meritano A, Serur ME, Davies A. Prótesis humeral sin vástago y aloinjerto meniscal: ¿se debe abandonar? Rev Asoc Argent Ortop Traumatol 2025;90(4):310-325. https://doi.org/10.15417/issn.1852-7434.2025.90.4.2046

 

 

Información del artículo

Identificación: https://doi.org/10.15417/issn.1852-7434.2025.90.4.2046

Fecha de publicación: Agosto, 2025

Conflicto de intereses: Los autores no declaran conflictos de intereses.

Copyright: © 2025, Revista de la Asociación Argentina de Ortopedia y Traumatología.

Licencia: Este artículo está bajo una Licencia Creative Commons Atribución-No Comercial-Compartir Obras Derivadas Igual 4.0 Internacional. (CC-BY-NC-SA 4.0)