CLINICAL RESEARCH

 

Acute Lateral Ankle Instability: A Comparative Study of Minimally Invasive Surgical Treatment vs. Functional Treatment

 

Ignacio Arzac Ulla

BR Traumatología, Azul, Buenos Aires, Argentina

 

ABSTRACT

Introduction: Lateral ankle instability is a frequently underdiagnosed condition. The objective of this study was to evaluate two treatment approaches: functional and surgical. We hypothesized that ligament reconstruction using peripheral tissue promotes scar formation, stabilizing the joint and leading to better recovery outcomes compared to functional treatment. Materials and Methods: Between 2021 and 2023, 48 patients with lateral ankle instability were treated. Stress radiographs were performed by applying a varus force to the hindfoot while stabilizing the distal leg and comparing the affected ankle with the contralateral healthy ankle. Patients were divided into two groups according to the treatment received: Group A (minimally invasive surgical technique) and Group B (functional treatment). Results: The comparative results were as follows: Visual Analog Scale scores: Group A: 9.6, Group B: 7.26. American Orthopaedic Foot & Ankle Society (AOFAS) scores: Group A: 99.7, Group B: 85.3. Additional outcomes assessed included residual instability, time to return to previous activities, and complications. Conclusions: This study suggests that minimally invasive surgical treatment for lateral ankle instability is an effective option, providing faster recovery and better clinical outcomes compared to functional treatment, with a low complication rate.

Keywords: Lateral ankle instability; stress radiography; ankle sprain; functional treatment; surgical treatment.

Level of Evidence: IV

 

Inestabilidad lateral aguda de tobillo. Estudio comparativo entre el tratamiento quirúrgico mínimamente invasivo y el tratamiento funcional

 

RESUMEN

Introducción: La inestabilidad lateral de tobillo es una afección que, muchas veces, no se diagnostica. El objetivo de este estudio fue evaluar dos tipos de tratamiento (funcional y quirúrgico). Se plantea la hipótesis de que la plástica ligamentaria con tejido periférico genera una cicatriz que estabiliza la articulación y mejora la recuperación comparada con el tratamiento funcional. Materiales y Métodos: Entre 2021 y 2023, se trató a 48 pacientes con inestabilidad lateral de tobillo. Se tomaron radiografías en estrés ejerciendo varo del retropié y manteniendo firme la región distal de la pierna, y en forma comparativa con el tobillo sano. Se dividió a los pacientes en 2 grupos según el tratamiento recibido: grupo A: cirugía con técnica mínimamente invasiva; grupo B: tratamiento funcional. Resultados: Los resultados comparativos fueron: grupo A: 9,6 y grupo B: 7,26 en la escala analógica visual; grupo A: 99,7 y grupo B: 85,3, en la escala AOFAS. Otros resultados evaluados fueron: inestabilidad residual, tiempo hasta retornar a las actividades previas y complicaciones. Conclusiones: Se desprende de este estudio que la técnica quirúrgica mínimamente invasiva para el tratamiento de las inestabilidades laterales de tobillo es una buena opción, los pacientes tienen una evolución y una recuperación más rápidas que con el tratamiento funcional y la tasa de complicaciones es baja.

Palabras clave: Inestabilidad lateral de tobillo; radiografía en estrés; esguince de tobillo; tratamiento funcional; cirugía.

Nivel de Evidencia: IV

 

INTRODUCTION

Ankle instability is defined as the inability to maintain the normal relationship between the bones that make up this joint, as well as the varus inclination of the talus with respect to the tibial plateau on stress radiographs.1 The literature regarding ankle sprains is controversial. Some authors report that they resolve with rest and rehabilitation without resulting in limiting sequelae, while others describe that more than 40% may develop recurrent functional or mechanical instability.2,3

Functional instability is defined as the subjective sensation of loss of ankle balance due to proprioceptive and neuromuscular deficits, resulting in decreased functional performance, pain, and edema. Mechanical instability is characterized by laxity of the ankle joint due to structural damage to the ligaments.1

Poorly treated acute sprains often lead to chronic ankle instability, which is characterized by repeated episodes of sprains or the perception of the ankle giving way; persistent but non-disabling pain; weakness; or reduced range of motion of the ankle joint.4,5

Hamilton6 classifies lateral ankle sprains into three grades. Grade I is characterized by partial tear of the anterior talofibular ligament, an inconclusive anterior drawer test, and a negative talar tilt test. Grade II presents with complete tear of the anterior talofibular ligament, sprain of the calcaneofibular ligament, a positive anterior drawer test, and a normal talar tilt test. Grade III indicates complete tear of the three lateral ankle ligaments, a significantly positive anterior drawer test and talar tilt test, and ankle instability.

Between 10% and 70% of patients treated conservatively may progress to chronic instability.7-10

The most commonly used surgical procedure for ankle sprains with lateral instability is the Broström procedure. Described in 1966, it was designed to repair both the anterior talofibular ligament and the calcaneofibular ligament using an anatomical technique through a curved anterior approach to the lateral malleolus. The anterior talofibular and calcaneofibular ligaments are dissected from the remaining capsule and repaired in an end-to-end fashion.2

In 1980, Gould et al.11 described a modification of the Broström technique in which the repair of the lateral ankle ligaments is reinforced by attaching the inferior extensor retinaculum to the periosteum of the distal fibula using sutures. This modification has been shown to increase the strength of the repair by 50%.

The hypothesis of this study is that ligamentoplasty with peripheral tissue generates a scar that stabilizes the joint and improves recovery compared to functional treatment.

The aim of the study was to compare two types of treatment (functional and surgical) for lateral ankle instability and to evaluate the mid-term clinical and functional outcomes.

 

MATERIALS AND METHODS

A prospective, correlational, quantitative (non-experimental), longitudinal cohort study was conducted. Between October 2021 and December 2023, 58 cases of lateral ankle instability were diagnosed.

Lateral ankle instability was defined as a talar tilt greater than 10° with respect to the tibial plateau, or more than 5° compared to the contralateral extremity on stress radiographs.9

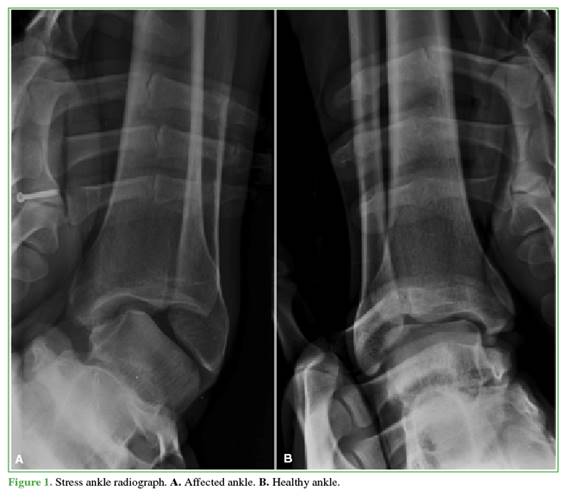
Patients with ankle trauma were evaluated with conventional radiographs. Once fractures were ruled out, a clinical examination for lateral instability of the tibiotalar joint through varus stress was performed. When clinical suspicion arose, the diagnosis was confirmed with stress radiographs, taken with the patient fully relaxed and with no more than 10° of dorsiflexion to reduce tension on the calcaneofibular ligament. Rearfoot varus stress was applied while stabilizing the distal leg and comparing it to the contralateral, healthy ankle (Figure 1).

All stress radiographs were performed by a single traumatologist specializing in leg, ankle, and foot surgery. The X-ray equipment used was a Pimax model Micro HF 601-33.

Forty-eight patients were followed and thus included in the study; ten were excluded due to loss to follow-up. Patients were divided into two groups based on the treatment they received, and the outcomes were then analyzed comparatively. Treatment selection was made by the patients after being informed of the advantages and disadvantages of each approach.

 

 

 

 

 

Group A: 25 surgically treated patients. The procedure was performed with the patient in a supine position, slightly lateralized, to expose the lateral malleolus. Two small punctiform incisions were made over the distal region of the lateral malleolus (one anterodistal and the other directly over the tip of the fibula) to access and repair the lateral ligament complex of the ankle. Through these incisions, two 3.5 mm double-row suture anchors were inserted (one per incision). Using a curved needle, and avoiding the superficial peroneal nerve and peroneal tendons, the retinaculum was repaired by passing the sutures through the subcutaneous tissue.

The ankle was then placed in valgus, and the sutures were tied. Finally, dynamic maneuvers were performed and radiographic stability was verified (Figure 2, Video).

The postoperative protocol included immediate ankle mobilization and weight-bearing as tolerated, with a Walker boot, worn for 15 days.

Group B: 23 patients treated conservatively. This consisted of immobilization with a Walker plastic boot for 21 days, compressive bandaging, joint rest, and cryotherapy, followed by a rehabilitation and exercise program.

Weight-bearing was permitted from day 5 onward, according to tolerance, with the Walker boot.

Inclusion criteria were 1) acute ankle instability, 2) age >18 years and <60 years, 3) minimum follow-up of 18 months, and 4) surgical or conservative treatment of lateral ankle instability.

 

 

 

 

 

Exclusion criteria were 1) instability treated after 15 days of injury, 2) syndesmotic sprains, 3) associated ankle fractures, 4) prior surgical treatment for ankle instability, 5) loss to follow-up, and 6) local or systemic therapies potentially affecting tendon strength (e.g., local anesthetic or corticosteroid injections in the region, immunosuppressive treatment in transplant or autoimmune patients).

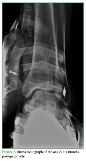
To assess repair of the lateral ligament complex, a stress radiograph was obtained six months after surgery (Figure 3). For clinical-functional evaluation, the AOFAS scale (American Orthopaedic Foot and Ankle Score) and the Visual Analog Scale (VAS) were used.

Follow-up continued until 18 months after the traumatic event.

The AOFAS scale assigns up to 50 points for function, 40 points for pain, and 10 points for alignment. A perfect score of 100 indicates the patient has no pain, full ankle and hindfoot range of motion, no instability, proper alignment, ability to walk more than 6 blocks (600 m) on any surface, no limp, no limitations in daily or recreational activities, and no need for assistive devices.12

The following parameters were evaluated in both groups: a) mechanism of injury, b) history of prior sprains, c) body mass index, d) Visual Analog Scale (VAS) score, e) AOFAS score, f) residual instability, g) time to return to previous activities, and h) complications.

 

 

 

 

 

 

Statistical Analysis

Statistical analysis was based on group comparisons using the Student’s t-test for samples with equal or unequal variances, as appropriate, and by analyzing proportions and percentages. A p-value <0.05 was considered statistically significant. For qualitative variables, unpaired sample analysis was used.

To assess the association between the type of treatment (surgical vs. conservative) and the occurrence of complications, the χ² test was applied. The calculated χ² value was 13.13, and the p-value obtained was <0.05 (p = 0.0003). Since the p-value was significantly lower than the pre-specified significance level of 0.05, the null hypothesis was rejected. This indicates a statistically significant association between the type of treatment and the incidence of complications (Tables 1 and 2).

 

 

 

 

 

 

 

 

 

 

 

RESULTS

Description of the groups

Group A: 25 patients (13 male, 12 female). The mean age was 30.92 years (range: 15–52). Right ankle involvement occurred in 15 patients, and left ankle involvement in 10. Mechanisms of injury included sports activity (14 cases, 56%), fall from height (6 cases, 24%), going up or down stairs (4 cases, 16%), and motorcycle accident (1 case, 4%). All patients underwent minimally invasive surgery.

Group B: 23 patients (12 male, 13 female). The mean age was 31.34 years (range: 15–49). Right ankle involvement occurred in 10 patients, and left ankle involvement in 13. Mechanisms of injury included physical activity (14 cases, 61%), fall from standing height (7 cases, 30%), and fall down stairs (2 cases, 9%). All patients received conservative treatment.

 

Comparison between both groups (Table 3)

-  Previous sprains: Group A: 1.44 (range: 0–6); Group B: 1.39 (range: 0–7)

-  Body mass index: Group A: 26.33 (range: 20.8–34.5); Group B: 26.18 (range: 21.5–39.2)

-  Visual analog scale: Group A: 9.6 (range: 7–10); Group B: 7.26 (range: 2–10)

-  AOFAS score at 6 months: Group A: 99.74 (range: 98–100); Group B: 85.30 (range: 60–100)

-  Residual instability: 0 patients in Group A; 8 patients in Group B

-  Return to previous activities: Group A: 1.96 months (range: 1–2); Group B: 2.73 months (range: 1–4)

-  Complications: Group A: 2 patients developed infections.

 

 

 

 

One was superficial and managed with oral antibiotics. The other presented with serosanguineous drainage two months post-surgery, requiring culture and targeted antibiotic therapy. Both cases resolved successfully.

Group B: 7 patients reported persistent instability, 3 experienced recurrent sprains, 3 had joint pain and locking, and 2 reported ankle stiffness.

The type of treatment significantly affected the incidence of complications. These findings suggest that conservative treatment increases the risk of complications and should be carefully considered when determining the optimal clinical management of lateral ankle instability. Surgical intervention is recommended.

 

DISCUSSION

Currently, ankle instabilities often go undiagnosed or are diagnosed late.

Traumatologists generally request static imaging studies—such as radiographs, MRI, or CT scans—to look for fractures or bone lesions, while frequently omitting dynamic studies, such as stress radiographs, which are more effective in revealing ligamentous imbalances.

The clinical assessment of ankle instability is based on two tests: the anterior drawer test and the forced varus test. The anterior drawer test remains controversial and is considered to have limited diagnostic value, including in its radiographic reproduction.1,13

Kim et al.14 concluded that muscle contracture can reduce stress radiographic measurements and result in false-negative outcomes.

When ligamentous instability is suspected and the patient cannot tolerate radiographic maneuvers, an anesthetic infiltration can be performed prior to the stress radiograph, or the test can be conducted in the operating room under sedation.

Sarcon et al.15 recommend the use of semi-rigid orthoses, which provide both proprioceptive feedback and mechanical stability.

Initial rest reduces the metabolic demand at the injured site. The application of mild tension to the joint appears to facilitate the proper alignment of ligament fibers.

Cryotherapy also helps decrease metabolic demand, vasodilation, and nerve conduction velocity, thereby increasing the pain threshold.

Research studies, such as that of Hao et al.16 —a meta-analysis of prospective studies comparing surgical and functional treatment for ankle sprains involving 1,268 patients (580 surgically treated and 688 treated functionally)—showed better outcomes for ankle stability in the surgically treated group.

In our series, although the number of patients was smaller, we also obtained better results in the surgically treated patients.

According to the literature, surgical morbidity associated with older techniques has maintained functional treatment as the first-line therapy for acute ankle sprains.16 However, in our study, better outcomes were observed in the group treated with percutaneous surgery. This technique minimizes complications and enables patients to return to normal activities more quickly than with conservative treatment, thereby avoiding long-term sequelae.

Doherty et al.17 conducted a prospective study on patients with ankle sprains and found that 40% developed chronic instability at 12-month follow-up.

In our study, 13 patients who received conservative treatment evolved with sequelae, whereas no sequelae were observed in the group that underwent surgery.

Cao et al.18 reported an AOFAS score of 93.7 in patients treated with a percutaneous technique using the inferior extensor retinaculum. In our series, which also employed a percutaneous surgical technique, the AOFAS score reached 99.7.

Their postoperative protocol included a cast boot for three weeks followed by weight-bearing. In contrast, we allowed immediate weight-bearing, protected with a Walker boot, which was removed 15 days after surgery.

The number of complications in the surgically treated group was low, consistent with findings in the literature.19 The limitations of this study include the small sample size, which affected our ability to stratify the results, and

the lack of randomization.

Among its strengths are the novelty of the topic, the contribution of a percutaneous surgical technique for this type of lesion, and the medium-term follow-up.

We are currently developing a new classification system for lateral ankle instabilities—Hourly Classification— which will provide a simple treatment framework without requiring angular measurements.

 

CONCLUSIONS

The originality of this proposal lies in its challenge to the current model of diagnosing and treating lateral ankle sprains/instabilities.

Stress radiographs are valuable tools for assessing this condition. Patients treated with the minimally invasive technique showed better outcomes and faster recovery.

 

REFERENCES

 

1.     Basciani S, Zampogna B, Gregori P, Shanmugasundaram S, Guelfi M, Marinozzi A. Current concepts in ankle microinstability and ankle functional instability. J Clin Orthop Trauma 2024;51:102380. https://doi.org/10.1016/j.jcot.2024.102380

2.     Camacho LD, Roward ZT, Deng Y, Latt LD. Surgical management of lateral ankle instability in athletes. J Athl Train 2019;54(6):639-49. https://doi.org/10.4085/1062-6050-348-18

3.     Altomare D, Fusco G, Bertolino E, Ranieri R, Sconza C, Lipina M, et al. Evidence-based treatment choices for acute lateral ankle sprain: a comprehensive systematic review. Eur Rev Med Parmacol Sci 2022;26(6):1876-84. https://doi.org/10.26355/eurrev_202203_28333

4.     Aiyer A, Murali S, Kadakia AR. Advances in diagnosis and management of lateral ankle instability: A review of current literature. J Am Acad Orthop Surg Glob Res Rev 2023;7(12):e23.00251. https://doi.org/10.5435/JAAOSGlobal-D-23-00251

5.     Puri A. Lateral ankle instability – repair/ reconstruct what’s new. J Orthop Surg (Hong Kong) 2023;31(2): 10225536231182348. https://doi.org/10.1177/10225536231182348

6.     Hamilton WG. Sprained ankles in ballet dancers. Foot Ankle 1982;3(2):99-102. https://doi.org/10.1177/107110078200300208

7.     Freeman MA. Instability of the foot after injuries to the lateral ligament of the ankle. J Bone Joint Surg Br 1965;47(4):669-77. PMID: 5846766

8.     Kerkhoffs GM, Handoll HH, de Bie R, Rowe BH, Struijs PA. Surgical versus conservative treatment for acute injuries of the lateral ligament complex of the ankle in adults. Cochrane Database Syst Rev 2007;(2):CD000380. https://doi.org/10.1002/14651858.CD000380.pub2

9.     Knupp M, Ledermann HP, Magerkurth O, Hintermann B. The surgical tibiotalar angle: a radiological study. Foot Ankle Int 2005;26(9):713-6. https://doi.org/10.1177/107110070502600909

10.  Kato T. The diagnosis and treatment of instability of the subtalar joint. J Bone Joint Surg Br 1995;77(3):400-6. PMID: 7744924

11.  Gould N, Seligson D, Gassman J. Early and late repair of lateral ligament of the ankle. Foot Ankle 1980;1(2):84-9. https://doi.org/10.1177/10711008000100206

12.  Bersusky E, Arzac Ulla I, Loterzo LG, Ricciardi G, Zanotti G. Puntajes VI. Rev Asoc Argent Ortop Traumatol 2023;88(1):123-7. https://doi.org/10.15417/issn.1852-7434.2023.88.1.1706

13.  Gribble PA. Evaluating and differentiating ankle instability. J Athl Train 2019;54(6):617-27. https://doi.org/10.4085/1062-6050-484-17

14.  Kim TY, Hwang YG, Ahn J, Baek JH, Jeong BO. Evaluation of stress radiographs taken before and after spinal anesthesia in patients with chronic ankle instability. J Foot Ankle Surg 2020;59(1):53-8. https://doi.org/10.1053/j.jfas.2019.01.020

15.  Sarcon AK, Heyrani N, Giza E, Kreulen C. Lateral ankle sprain and chronic ankle instability. Foot Ankle Orthop 2019;4(2):2473011419846938. https://doi.org/10.1177/2473011419846938

16.  Hao ZT, Ma YX, Hao T, Feng W, Wang JH, Fan DS, et al. Comparison of surgical intervention with functional treatment for acute ruptures of lateral ankle ligament: a meta-analysis. Asian Pac J Trop Med 2012;5(5):396-401. https://doi.org/10.1016/S1995-7645(12)60066-2

17.  Doherty C, Bleakley C, Hertel J, Caulfield B, Ryan J, Delahunt E. Recovery from a first-time lateral ankle sprain and the predictors of chronic ankle instability: a prospective cohort analysis. Am J Sports Med 2016;44(4):995-1003. https://doi.org/10.1177/0363546516628870

18.  Cao S, Wang C, Wang X, Ma X. Percutaneous inferior extensor retinaculum augmentation technique for chronic ankle instability. Orthop Surg 2022;14(5):977-83. https://doi.org/10.1111/os.13248

19.  Matsui K, Burgesson B, Takao M, Stone J, Guillo S, Glazebrook M; ESSKA AFAS Ankle Instability Group. Minimally invasive surgical treatment for chronic ankle instability: a systematic review. Knee Surg Sports Traumatol Arthrosc 2016;24(4):1040-8. https://doi.org/10.1007/s00167-016-4041-1

 

 

Received on September 18th, 2024. Accepted after evaluation on February 6th, 2025 Dr. Ignacio Arzac Ulla  ignacioarzac@hotmail.comhttps://orcid.org/0000-0002-5038-7720

 

How to cite this article: Arzac Ulla I. Acute Lateral Ankle Instability: A Comparative Study of Minimally Invasive Surgical Treatment vs. Functional Treatment. Rev Asoc Argent Ortop Traumatol 2025;90(2):131-140. https://doi.org/10.15417/issn.1852-7434.2025.90.2.2035

 

 

Article Info

Identification: https://doi.org/10.15417/issn.1852-7434.2025.90.2.2035

Published: April, 2025

Conflict of interests: The author declares no conflicts of interest.

Copyright: © 2025, Revista de la Asociación Argentina de Ortopedia y Traumatología.

License: This article is under Attribution-NonCommertial-ShareAlike 4.0 International Creative Commons License (CC-BY-NC-SA 4.0)