INVESTIGACIÓN CLÍNICA

 

Inestabilidad lateral aguda de tobillo. Estudio comparativo entre el tratamiento quirúrgico mínimamente invasivo y el tratamiento funcional

 

Ignacio Arzac Ulla

BR Traumatología, Azul, Buenos Aires, Argentina

 

Resumen

Introducción: La inestabilidad lateral de tobillo es una afección que, muchas veces, no se diagnostica. El objetivo de este estudio fue evaluar dos tipos de tratamiento (funcional y quirúrgico). Se plantea la hipótesis de que la plástica ligamentaria con tejido periférico genera una cicatriz que estabiliza la articulación y mejora la recuperación comparada con el tratamiento funcional. Materiales y Métodos: Entre 2021 y 2023, se trató a 48 pacientes con inestabilidad lateral de tobillo. Se tomaron radiografías en estrés ejerciendo varo del retropié y manteniendo firme la región distal de la pierna, y en forma comparativa con el tobillo sano. Se dividió a los pacientes en 2 grupos según el tratamiento recibido: grupo A: cirugía con técnica mínimamente invasiva; grupo B: tratamiento funcional. Resultados: Los resultados comparativos fueron: grupo A: 9,6 y grupo B: 7,26 en la escala analógica visual; grupo A: 99,7 y grupo B: 85,3, en la escala de la AOFAS. Otros resultados evaluados fueron: inestabilidad residual, tiempo hasta retornar a las actividades previas y complicaciones. Conclusiones: Se desprende de este estudio que la técnica quirúrgica mínimamente invasiva para el tratamiento de las inestabilidades laterales de tobillo es una buena opción, los pacientes tienen una evolución y una recuperación más rápidas que con el tratamiento funcional y la tasa de complicaciones es baja.

Palabras clave: Inestabilidad lateral de tobillo; radiografía en estrés; esguince de tobillo; tratamiento funcional; cirugía.

Nivel de Evidencia: IV

 

Acute Lateral Ankle Instability: A Comparative Study of Minimally Invasive Surgical Treatment vs. Functional Treatment

 

Abstract

Introduction: Lateral ankle instability is a frequently underdiagnosed condition. The objective of this study was to evaluate two treatment approaches: functional and surgical. We hypothesized that ligament reconstruction using peripheral tissue promotes scar formation, stabilizing the joint and leading to better recovery outcomes compared to functional treatment. Materials and Methods: Between 2021 and 2023, 48 patients with lateral ankle instability were treated. Stress radiographs were performed by applying a varus force to the hindfoot while stabilizing the distal leg and comparing the affected ankle with the contralateral healthy ankle. Patients were divided into two groups according to the treatment received: Group A (minimally invasive surgical technique) and Group B (functional treatment). Results: The comparative results were as follows: Visual Analog Scale scores: Group A: 9.6, Group B: 7.26. American Orthopaedic Foot & Ankle Society (AOFAS) scores: Group A: 99.7, Group B: 85.3. Additional outcomes assessed included residual instability, time to return to previous activities, and complications. Conclusions: This study suggests that minimally invasive surgical treatment for lateral ankle instability is an effective option, providing faster recovery and better clinical outcomes compared to functional treatment, with a low complication rate.

Keywords: Lateral ankle instability; stress radiography; ankle sprain; functional treatment; surgical treatment.

Level of Evidence: IV

 

INTRODUCCIÓN

La inestabilidad de tobillo se define como la incapacidad para mantener la relación normal entre los huesos que conforman esta articulación y, también como la inclinación en varo del astrágalo respecto al plafón tibial, en las radiografías en estrés.1

La bibliografía sobre los esguinces de tobillo es controvertida. Algunos autores refieren que se resuelven con reposo y rehabilitación sin generar secuelas limitantes, y otros describen que más del 40% puede desarrollar inestabilidad funcional o mecánica recurrente.2,3

Se define a la inestabilidad funcional como la sensación subjetiva de pérdida de equilibrio del tobillo debido a un déficit propioceptivo y neuromuscular, lo que genera una disminución del rendimiento funcional, dolor y edema. La inestabilidad mecánica se caracteriza por la laxitud de la articulación del tobillo debido al daño estructural de los ligamentos.1

Los esguinces agudos mal tratados, muchas veces, conducen a la inestabilidad crónica de tobillo, la cual se caracteriza por episodios repetidos de entorsis o percepción de que el tobillo cede; dolor persistente, pero no invalidante, debilidad o reducción del rango de movilidad de la articulación del tobillo.4,5

Hamilton6 clasifica los esguinces laterales de tobillo en tres grados. El grado I se caracteriza por rotura parcial del ligamento peroneo-astragalino anterior, prueba del cajón anterior no concluyente y prueba de inclinación del astrágalo negativa. El grado II se presenta con rotura completa del ligamento peroneo-astragalino anterior, esguince del ligamento calcáneo-peroneo, prueba del cajón anterior positiva y prueba de inclinación del astrágalo normal. El grado III indica rotura completa de los tres ligamentos laterales del tobillo, prueba del cajón anterior y prueba de inclinación del astrágalo significativamente positivas e inestabilidad de tobillo.

Entre el 10% y el 70% de los pacientes tratados de forma conservadora puede evolucionar a una inestabilidad crónica.7-10

El procedimiento quirúrgico más utilizado para esguinces de tobillo con inestabilidad lateral es el de Broström. Fue descrito en 1966 y diseñado para reparar tanto el ligamento peroneo-astragalino anterior como el ligamento calcáneo-peroneo, mediante una técnica anatómica por un abordaje anterior curvo del maléolo lateral. Se disecan los ligamentos peroneo-astragalino anterior y calcáneo-peroneo de la cápsula remanente y se reparan de forma término-terminal.2

En 1980, Gould y cols.11 describieron una modificación de la técnica de Broström, en la que la reparación de los ligamentos laterales del tobillo es reforzada uniendo el retináculo extensor inferior al periostio del peroné distal mediante puntos de sutura. Se ha demostrado que esta modificación aumenta un 50% la resistencia de la reparación.

La hipótesis de este estudio consiste en demostrar que la plástica ligamentaria con tejido periférico genera una cicatriz que estabiliza la articulación y mejora la recuperación comparada con el tratamiento funcional.

El objetivo del estudio fue comparar dos tipos de tratamiento (funcional y quirúrgico) para las inestabilidades laterales de tobillo y evaluar los resultados clínicos y funcionales a mediano plazo.

 

MATERIALES Y MÉTODOS

Se llevó a cabo un estudio de cohorte prospectivo, correlacional, cuantitativo (no experimental) y longitudinal.

Entre octubre de 2021 y diciembre de 2023, se diagnosticaron 58 inestabilidades laterales de tobillo.

Se definió inestabilidad lateral de tobillo a la inclinación astragalina respecto del plafón tibial >10°o >5° en comparación con la extremidad contralateral,9 en las radiografías en estrés.

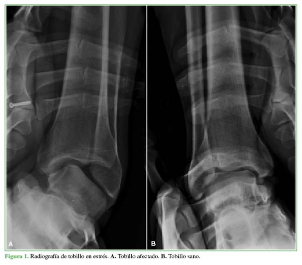
Los pacientes con traumatismos de tobillo fueron evaluados con radiografías convencionales y, una vez descartadas las fracturas, se procedió al examen clínico de la inestabilidad lateral mediante varo de la articulación tibio-astragalina. Cuando este generaba una sospecha clínica, se confirmaba el diagnóstico con las radiografías en estrés, tomadas con el paciente en relajación máxima y una dorsiflexión de no más de 10° para relajar el ligamento calcáneo-peroneo. Se ejerció varo del retropié manteniendo firme la región distal de la pierna y se hizo en forma comparativa con el tobillo sano (Figura 1).

   Las radiografías en estrés fueron tomadas por un único traumatólogo, especialista en pierna, tobillo y pie. El equipo de rayos utilizado fue Pimax modelo Micro HF 601-33.

A 48 pacientes se les realizó un seguimiento, por lo que se los incluyó en el estudio. Diez fueron excluidos por falta de seguimiento.

Se los dividió en dos grupos de acuerdo con el tratamiento indicado y luego se analizaron comparativamente los resultados.

 

 

 

 

 

 

 

Los pacientes eligieron el tratamiento luego de que se les explicaran las ventajas y desventajas de los procedimientos.

Grupo A: 25 pacientes operados. El procedimiento se realizó con el paciente en decúbito supino (levemente lateralizado) exponiendo el maléolo externo. Se hicieron dos incisiones puntiformes sobre la región distal del maléolo lateral (una anterodistal y otra sobre la punta del peroné) para restablecer el complejo ligamentario lateral del tobillo. A través de estas incisiones, se colocaron 2 arpones de 3,5 mm de doble sutura (uno por cada abordaje). Con una aguja viuda, evitando el nervio peroneo superficial y los tendones peroneos, se reparó en el retináculo recuperando la sutura a través del tejido celular subcutáneo.

A continuación, se colocó el tobillo en posición de valgo y se realizaron las suturas. Por último, se comprobó, en las radiografías, la estabilidad mediante maniobras dinámicas del tobillo (Figura 2, Video).

El protocolo posoperatorio consistió en: movilidad del tobillo y carga de peso inmediata, según tolerancia, con bota Walker, que los pacientes usaron durante 15 días.

Grupo B: 23 pacientes tratados de forma conservadora, es decir, con inmovilización con bota plástica tipo Walker por 21 días, vendaje, reposo de la articulación y crioterapia, seguidos de un programa de ejercicios y rehabilitación.

La carga de peso se permitió según la tolerancia a partir del 5.o día con bota Walker.

Los criterios de inclusión fueron: 1) inestabilidad aguda de tobillo, 2) edad >18 años y <60 años, 3) seguimiento mínimo de 18 meses y 4) tratamiento quirúrgico o conservador de la inestabilidad lateral de tobillo.

 

 

 

 

Los criterios de exclusión fueron: 1) inestabilidad tratada después de los 15 días de la lesión, 2) esguince de la sindesmosis, 3) fracturas de tobillo asociadas, 4) inestabilidad tratada previamente con cirugía, 5) falta de seguimiento y 6) terapia local o sistémica que pudiera haber debilitado el tendón (p. ej., infiltración local con anestésico o esteroides en la región, tratamiento inmunosupresor en pacientes trasplantados o con enfermedades autoinmunes).

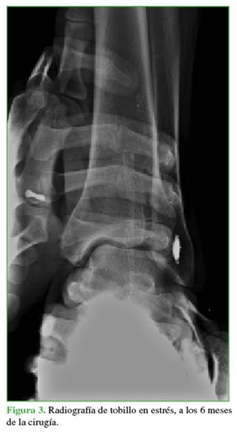
Para evaluar la reparación del complejo ligamentario lateral, a los 6 meses de la cirugía, se solicitó una radiografía en estrés (Figura 3). En la evaluación clínico-funcional, se utilizaron la escala de la AOFAS (American Orthopaedic Foot and Ankle Society) y la escala analógica visual.

El seguimiento se prolongó hasta los 18 meses posteriores al evento traumático.

La escala de la AOFAS asigna 50 puntos a la función, 40 puntos para el dolor y 10 puntos a la alineación. Un puntaje perfecto de 100 indica que el paciente no siente dolor, tiene un rango de movilidad completo en el tobillo y el retropié, sin inestabilidad, una buena alineación, puede caminar más de 6 cuadras (600 m) en cualquier superficie, sin cojera, sin limitación de las actividades diarias o recreativas, y sin ayudas técnicas para deambular.12 se evaluaron los siguientes parámetros en ambos grupos: a) mecanismo de lesión, b) esguinces previos, c) índice de masa corporal, d) escala analógica visual, e) escala de la AOFAS, f) inestabilidad residual, g) tiempo transcurrido hasta retornar a las actividades previas y h) complicaciones.

 

 

 

 

 

 

Análisis estadístico

Se basó en la comparación de grupos mediante la prueba de Student para grupos de igual varianza o de distinta varianza, de acuerdo con lo analizado; y mediante proporciones y porcentajes. Se tomó un valor p <0,05 como diferencia significativa. Se utilizaron los estudios de muestras no apareadas para muestras cualitativas.

En el análisis para evaluar la asociación entre el tipo de tratamiento (quirúrgico vs. conservador) y la aparición de complicaciones, se utilizó la prueba χ2. El valor calculado de χ2 fue de 13,13 y el valor p obtenido fue <0,05 (p 0,0003). Dado que el valor p es significativamente menor que el nivel de significancia preestablecido de 0,05, se rechaza la hipótesis nula. Esto indica que hay una asociación estadísticamente significativa entre el tipo de tratamiento y la incidencia de complicaciones (Tablas 1 y 2).

 

 

 

 

 

 

 

 

 

RESULTADOS

Descripción de los grupos

Grupo A: 25 pacientes (13 de sexo masculino y 12 de sexo femenino). La edad promedio era de 30.92 años (rango 15-52). quince tenían compromiso del tobillo derecho y 10, del tobillo izquierdo. Los mecanismos de lesión fueron: la práctica deportiva (14 casos, 56%), una caída de propia altura (6 casos, 24%), al subir y bajar escaleras (4 casos, 16%) y por accidente en moto (1 caso, 4%). Todos fueron sometidos a cirugía mínimamente invasiva.

Grupo B: 23 pacientes (12 de sexo masculino y 13 de sexo femenino). La edad promedio era de 31.34 años (rango 15-49). Diez tenían compromiso del tobillo derecho y 13, del tobillo izquierdo. Los mecanismos de lesión más frecuentes fueron: la actividad física (14 pacientes, 61%), una caída de propia altura caminando (7 pacientes, 30%) y una caída por escalera (2 casos, 9%). Todos fueron tratados de forma conservadora.

 

Comparación entre ambos grupos (Tabla 3)

-   Esguinces previos: grupo A: 1,44 (rango 0-6), grupo B: 1,39 (rango 0-7)

-   Índice de masa corporal: grupo A: 26,33 (rango 20,8-34,5), grupo B: 26,18 (rango 21,5-39,2)

-   Escala analógica visual: grupo A: 9,6 (rango 7-10), grupo B: 7,26 (rango 2-10)

-   Escala de la AOFAS a los 6 meses: grupo A: 99,74 (rango 98-100), grupo B: 85,30 (rango 60-100)

-   Inestabilidad residual: ningún paciente del grupo A y 8 del grupo B

-   Retorno a las actividades previas: grupo A: 1.96 meses (rango 1-2), grupo B: 2.73 meses (rango 1-4)

-   Complicaciones: grupo A: 2 pacientes tuvieron infecciones.

-    

 

 

 

 

Un caso fue superficial y se trató con antibióticos por vía oral. El otro presentó secreción serohemática a los 2 meses de la cirugía, que requirió una toma de muestras para cultivo y posterior medicación antibiótica. Ambos evolucionaron de manera satisfactoria. En el grupo B, 7 pacientes refirieron inestabilidad, 3 tuvieron esguinces repetidos; 3, dolor y bloqueo de la articulación y 2 informaron rigidez de tobillo.

El tipo de tratamiento tiene un efecto significativo en la probabilidad de que surjan complicaciones. Estos resultados sugieren que el tratamiento conservador influye en la aparición de complicaciones y deben ser consideradas al tomar decisiones clínicas sobre el manejo de la inestabilidad lateral de tobillo. Se recomienda el método quirúrgico.

 

DISCUSIÓN

En la actualidad, las inestabilidades de tobillo no son diagnosticadas o se diagnostican de forma tardía.

El traumatólogo, en general, solicita estudios de imágenes estáticas, como radiografías, resonancia magnética o tomografía computarizada buscando fracturas o lesiones óseas y omite indicar estudios dinámicos, como las radiografías en estrés, que muestran los desequilibrios ligamentarios.

El examen clínico de la inestabilidad de tobillo se basa en dos pruebas: del cajón anterior y del varo forzado. La prueba del cajón anterior es discutida, se considera de valor diagnóstico limitado, como así también su reproducción radiográfica.1,13

Kim y cols.14 concluyeron en que la contractura muscular puede reducir las mediciones radiográficas en estrés y conducir a resultados falsos negativos.

Cuando se sospeche una inestabilidad ligamentaria y el paciente no tolere las maniobras radiográficas, se puede realizar una infiltración con anestesia antes de la radiografía en estrés, o también, la maniobra en quirófano bajo sedación.

Sarcon y cols.15 recomiendan el uso de ortesis semirrígida, ya que proporciona propiocepción y estabilidad mecánica.

El reposo inicial reduce la demanda metabólica del sitio lesionado. La aplicación de una tensión suave en la articulación parece tener la capacidad de alinear correctamente las fibras de los ligamentos.

La crioterapia también disminuye la demanda metabólica, la vasodilatación y la velocidad de conducción nerviosa, aumentando el umbral del dolor.

Estudios de investigación, como el de Hao y cols.,16 quienes realizaron un metanálisis sobre estudios prospectivos comparando los tratamientos quirúrgico y funcional para esguinces de tobillo, evaluaron a 1268 pacientes: 580 operados y 688 con tratamiento funcional. Los resultados mostraron que la inestabilidad de tobillo en el grupo operado fue mejor que en el grupo de tratamiento funcional.

En nuestra serie, si bien la cantidad de pacientes es menor, obtuvimos mejores resultados en los pacientes operados.

Según la bibliografía, la morbilidad quirúrgica con las técnicas antiguas hace que la terapéutica inicial de un esguince agudo de tobillo siga siendo el tratamiento funcional.16 Mientras que, en nuestro estudio, observamos mejores resultados en el grupo tratado con cirugía percutánea. Con esta técnica, se minimizan las complicaciones y el paciente puede retornar a su actividad normal más rápido que con el tratamiento conservador, evitando sus secuelas.

Doherty y cols.17 realizaron un estudio prospectivo de pacientes con esguinces de tobillo y detectaron que el 40% había desarrollado inestabilidad crónica a los 12 meses de seguimiento.

En nuestra investigación, 13 pacientes tratados de forma conservadora evolucionaron con secuelas, no así el grupo de pacientes operados.

Cao y cols.,18 en su publicación de la técnica percutánea utilizando el retináculo extensor inferior, informaron un puntaje de la AOFAS de 93,7. En nuestra serie, también con una técnica quirúrgica percutánea, el puntaje de la AOFAS fue de 99,7. Estos autores les indicaron a los pacientes, como protocolo posoperatorio, una bota de yeso por 3 semanas y, luego de su retiro, les permitieron la carga. Nosotros permitimos la carga inmediata, protegida con bota Walker, que fue retirada a los 15 días de la cirugía.

La cantidad de pacientes del grupo sometido a cirugía que sufrió complicaciones fue baja, similar a lo publicado.19

 

Las limitaciones de este estudio son una muestra pequeña que condicionó nuestra capacidad de estadificar los resultados y la falta de aleatorización.

Como fortalezas podemos mencionar lo novedoso del tema, el aporte de una técnica quirúrgica percutánea para este tipo de lesiones y el seguimiento a mediano plazo.

En la actualidad, estamos desarrollando una nueva clasificación de las inestabilidades laterales de tobillo, Clasificación horaria, la cual permitirá, de manera sencilla y sin la necesidad de trazar mediciones angulares, un esquema de tratamiento.

 

CONCLUSIONES

La originalidad de esta propuesta es cambiar el modelo de diagnóstico y tratamiento de las inestabilidades/esguinces laterales de tobillo. Las radiografías en estrés son útiles para valorar este cuadro. Los pacientes sometidos a la técnica mínimamente invasiva evolucionaron mejor y se recuperaron en menos tiempo.

 

BIBLIOGRAFÍA

 

1.     Basciani S, Zampogna B, Gregori P, Shanmugasundaram S, Guelfi M, Marinozzi A. Current concepts in ankle microinstability and ankle functional instability. J Clin Orthop Trauma 2024;51:102380. https://doi.org/10.1016/j.jcot.2024.102380

2.     Camacho LD, Roward ZT, Deng Y, Latt LD. Surgical management of lateral ankle instability in athletes. J Athl Train 2019;54(6):639-49. https://doi.org/10.4085/1062-6050-348-18

 

3.     Altomare D, Fusco G, Bertolino E, Ranieri R, Sconza C, Lipina M, et al. Evidence-based treatment choices for acute lateral ankle sprain: a comprehensive systematic review. Eur Rev Med Parmacol Sci 2022;26(6):1876-84. https://doi.org/10.26355/eurrev_202203_28333

4.     Aiyer A, Murali S, Kadakia AR. Advances in diagnosis and management of lateral ankle instability: A review of current literature. J Am Acad Orthop Surg Glob Res Rev 2023;7(12):e23.00251. https://doi.org/10.5435/JAAOSGlobal-D-23-00251

5.     Puri A. Lateral ankle instability – repair/ reconstruct what’s new. J Orthop Surg (Hong Kong) 2023;31(2): 10225536231182348. https://doi.org/10.1177/10225536231182348

6.     Hamilton WG. Sprained ankles in ballet dancers. Foot Ankle 1982;3(2):99-102. https://doi.org/10.1177/107110078200300208

7.     Freeman MA. Instability of the foot after injuries to the lateral ligament of the ankle. J Bone Joint Surg Br 1965;47(4):669-77. PMID: 5846766

8.     Kerkhoffs GM, Handoll HH, de Bie R, Rowe BH, Struijs PA. Surgical versus conservative treatment for acute injuries of the lateral ligament complex of the ankle in adults. Cochrane Database Syst Rev 2007;(2):CD000380. https://doi.org/10.1002/14651858.CD000380.pub2

9.     Knupp M, Ledermann HP, Magerkurth O, Hintermann B. The surgical tibiotalar angle: a radiological study. Foot Ankle Int 2005;26(9):713-6. https://doi.org/10.1177/107110070502600909

10.  Kato T. The diagnosis and treatment of instability of the subtalar joint. J Bone Joint Surg Br 1995;77(3):400-6. PMID: 7744924

11.  Gould N, Seligson D, Gassman J. Early and late repair of lateral ligament of the ankle. Foot Ankle 1980;1(2):84-9. https://doi.org/10.1177/10711008000100206

12.  Bersusky E, Arzac Ulla I, Loterzo LG, Ricciardi G, Zanotti G. Puntajes VI. Rev Asoc Argent Ortop Traumatol 2023;88(1):123-7. https://doi.org/10.15417/issn.1852-7434.2023.88.1.1706

13.  Gribble PA. Evaluating and differentiating ankle instability. J Athl Train 2019;54(6):617-27. https://doi.org/10.4085/1062-6050-484-17

14.  Kim TY, Hwang YG, Ahn J, Baek JH, Jeong BO. Evaluation of stress radiographs taken before and after spinal anesthesia in patients with chronic ankle instability. J Foot Ankle Surg 2020;59(1):53-8. https://doi.org/10.1053/j.jfas.2019.01.020

15.  Sarcon AK, Heyrani N, Giza E, Kreulen C. Lateral ankle sprain and chronic ankle instability. Foot Ankle Orthop 2019;4(2):2473011419846938. https://doi.org/10.1177/2473011419846938

16.  Hao ZT, Ma YX, Hao T, Feng W, Wang JH, Fan DS, et al. Comparison of surgical intervention with functional treatment for acute ruptures of lateral ankle ligament: a meta-analysis. Asian Pac J Trop Med 2012;5(5):396-401. https://doi.org/10.1016/S1995-7645(12)60066-2

17.  Doherty C, Bleakley C, Hertel J, Caulfield B, Ryan J, Delahunt E. Recovery from a first-time lateral ankle sprain and the predictors of chronic ankle instability: a prospective cohort analysis. Am J Sports Med 2016;44(4):995-1003. https://doi.org/10.1177/0363546516628870

18.  Cao S, Wang C, Wang X, Ma X. Percutaneous inferior extensor retinaculum augmentation technique for chronic ankle instability. Orthop Surg 2022;14(5):977-83. https://doi.org/10.1111/os.13248

19.  Matsui K, Burgesson B, Takao M, Stone J, Guillo S, Glazebrook M; ESSKA AFAS Ankle Instability Group. Minimally invasive surgical treatment for chronic ankle instability: a systematic review. Knee Surg Sports Traumatol Arthrosc 2016;24(4):1040-8. https://doi.org/10.1007/s00167-016-4041-1

 

 

Recibido el 18-9-2024. Aceptado luego de la evaluación el 6-2-2025 Dr. Ignacio Arzac Ulla ignacioarzac@hotmail.com https://orcid.org/0000-0002-5038-7720

 

Cómo citar este artículo: Arzac Ulla I. Inestabilidad lateral aguda de tobillo. Estudio comparativo entre el tratamiento quirúrgico mínimamente invasivo y el tratamiento funcional. Rev Asoc Argent Ortop Traumatol 2025;90(2):131-140. https://doi.org/10.15417/issn.1852-7434.2025.90.2.2035

 

 

Información del artículo

Identificación: https://doi.org/10.15417/issn.1852-7434.2025.90.2.2035

Fecha de publicación: Abril, 2025

Conflicto de intereses: El autor no declara conflictos de intereses.

Copyright: © 2025, Revista de la Asociación Argentina de Ortopedia y Traumatología.

Licencia: Este artículo está bajo una Licencia Creative Commons Atribución-No Comercial-Compartir Obras Derivadas Igual 4.0 Internacional. (CC-BY-NC-SA 4.0)