NOTA TÉCNICA

 

“Técnica del reciclado” para la reconstrucción en un tiempo de una mano metacarpiana

 

Pablo E. Valle, Lucas F. Loza, Nicolás Cardinal, Alejandro Fazio, Fernando J. Cervigni

Servicio de Ortopedia y Traumatología, Hospital Privado Universitario de Córdoba, Córdoba, Argentina

 

RESUMEN

Introducción: Se presenta una técnica quirúrgica innovadora para la reconstrucción de una mano con amputación transmetacarpiana, que consiste en el alargamiento del cuarto rayo mediante el uso del segundo metatarsiano a modo de injerto óseo no vascularizado para lograr una pinza oponente funcional, como complemento de la transferencia del segundo dedo del pie a la mano; esto permite resolver el desafío de reconstruir una mano metacarpiana en un tiempo quirúrgico y con una única transferencia, evitando complicaciones en otros sitios dadores de injerto óseo. Se muestran también los resultados funcionales y estéticos obtenidos en nuestro único caso hasta el momento. No se encontraron reportes bibliográficos de una técnica similar para resolver este problema. Conclusiones: El retiro del metatarsiano del dedo donante en el pie permite un mejor cierre del espacio intermetatarsiano con menos riesgo de complicaciones y sirve como injerto óseo no vascularizado para otorgar un macizo de oposición al dedo del pie transferido. Esto simplifica el acto quirúrgico y disminuye el riesgo de complicaciones.

Palabras clave: Amputación transmetacarpiana; reconstrucción de mano; transferencia de dedo del pie a la mano.

Nivel de Evidencia: IV

 

“Recycling Technique” for Single-Stage Metacarpal Hand Reconstruction

 

ABSTRACT

Introduction: We present an innovative surgical technique for reconstructing a metacarpal hand following transmetacarpal amputation. The procedure consists of lengthening the fourth ray using the second metatarsal as a non-vascularized bone graft to create a functional opposition post, complementing a second-toe transfer to the hand. This approach allows reconstruction of a metacarpal hand in a single surgical stage and with a single toe transfer, thereby avoiding complications associated with additional bone-graft donor sites. We also describe the functional and aesthetic outcomes obtained in our sole case to date. No published reports of a similar technique were identified. Conclusions: Harvesting the metatarsal from the donor toe facilitates improved closure of the intermetatarsal space with a lower risk of donor-site complications, while also providing a non-vascularized bone graft that serves as an opposition mass for the transferred toe. This simplifies the surgical procedure and reduces the risk of complications.

Keywords: Transmetacarpal amputation; hand reconstruction; toe-to-hand transfer.

Level of Evidence: IV

 

INTRODUCCIÓN

La causa del 80% de las amputaciones del miembro superior es un trauma, y ocurren especialmente en varones de entre 15 y 45 años.1,2

Las amputaciones se clasifican según el nivel de la amputación. Las más frecuentes son las transfalángicas (80%), seguidas de las transmetacarpianas.1,2

Las amputaciones transmetacarpianas se clasifican en 2 tipos:3

    Tipo 1: el trazo de amputación a nivel de los dedos largos pasa proximal a la mitad superior de la primera falange y el pulgar puede estar sano o con una amputación distal a la articulación interfalángica.

    Tipo 2: el trazo de amputación a nivel de los dedos largos pasa proximal a la mitad superior de la primera falange y el pulgar está amputado proximal a la articulación interfalángica.

Presentamos la manera en que resolvimos una mano metacarpiana tipo 2, secuela de una amputación con reimplante fallido.

El procedimiento más utilizado para resolver este tipo de casos es mediante transferencias múltiples en uno o más tiempos,3 o bien, con un injerto óseo no vascularizado de cresta ilíaca para prolongar un metacarpiano y así brindar un macizo de oposición.

Luego de estos procedimientos, es frecuente que el paciente sienta molestias en el sitio donante, ya sea dolor e insensibilidad en la región de la cresta ilíaca o debido a la alteración estética del pie y de la mecánica de la marcha.4,5 Por esto último, se planificó retirar el segundo metatarsiano para lograr un mejor cierre del espacio intermetatarsiano y, con ello, respetar la biomecánica del pie.

En este caso, se utilizó una transferencia de un dedo del pie a la mano, sumado al alargamiento del cuarto rayo usando el segundo metatarsiano como injerto óseo no vascularizado para brindar un macizo de oposición. De allí el nombre “técnica del reciclado”. No hemos encontrado registros bibliográficos de esta técnica.

 

CASO CLÍNICO

Hombre de 32 años, diestro, obeso, empleado en una fábrica de cemento, con arduo trabajo manual. Sufre una amputación traumática de la mano izquierda a nivel transmetacarpiano (tipo 2) por una dosificadora de cemento (Figura 1).

 

 

 

 

 

El mecanismo de lesión fue arrancamiento. Los tendones flexores y extensores se encontraban avulsionados de sus vientres musculares. Todos los nervios interóseos palmares estaban arrancados por tracción.

Se intentó el reimplante a las 5 horas de la lesión. Se realizó la osteodesis de todos los dedos, junto a arteriorrafias de la primera y tercera interóseas, y un bypass con una vena local de la segunda arteria interósea; además de dos venorrafias dorsales y una venorrafia dorsal del pulgar. No se realizaron neurorrafias ni tenorrafias debido al grado de daño de estos tejidos.

A los 5 días del reimplante, se detectó una necrosis cutánea del pulgar, por lo cual se procedió a una nueva exploración. La venorrafia del pulgar estaba trombosada y se realizó una nueva. Una semana luego de este procedimiento, el pulgar presentaba una necrosis completa, y se decidió su amputación; nuevamente en la exploración, se encontró la venorrafia trombosada.

La evolución fue desfavorable, con necrosis progresiva de los dedos mayores (Figura 2). A los 22 días del reimplante, se decidió la amputación de los 4 dedos largos y se realizó un colgajo inguinal para cobertura.

El colgajo inguinal evolucionó de manera favorable, se despegó al mes. Entre el despegue y la reconstrucción, el paciente realizó terapia ocupacional de preparación para la transferencia, que consistió en movilidad de la muñeca y terapia del espejo para la estimulación superior de la activación de los músculos intrínsecos de la mano involucrados en la prensión.

 

 

 

 

 

 

Técnica quirúrgica

A los 6 meses del trauma inicial, se planificó y realizó la transferencia del segundo dedo del pie a la mano para la reconstrucción del pulgar y de la oposición mediante el alargamiento del cuarto rayo de la mano con injerto no vascularizado del segundo metatarsiano.

Como primer paso, se diseñó el abordaje para la exploración del muñón y la liberación de la primera comisura. Luego de explorar el muñón, se logró la identificación a dorsal de un tendón extensor, dos ramas sensitivas dorsales del nervio radial, la arteria radial en el dorso del primer compartimento y dos venas superficiales (Figura 3).

A palmar se identificó un tendón flexor con poca excursión (Figura 4).

 

 

 

 

 

 

 

Se procedió a la liberación de la primera comisura, con posterior apertura y oposición de esta y la estabilización mediante una clavija en el primer rayo y una del primero al segundo metacarpiano.

Luego se pasó al pie, en donde, según el diseño previo, se realizó un abordaje dorsal del segundo dedo, con identificación del pedículo (una arteria y una vena), disección además de dos venas superficiales y dos nervios colaterales (Figura 5). Se procedió a la desarticulación del dedo en bloque. Posteriormente se seccionaron los tendones extensores, y flexores con suficiente largo para permitir en la mano la tenorrafia con Pulvertaft.

 

 

 

 

 

A continuación, se efectuó el implante en mano del segundo dedo del pie. Primero se realizó la artrodesis entre la base de la primera falange del implante y la cabeza del primer metacarpiano mediante clavijas. Se prosiguió con el tiempo microquirúrgico realizando la arteriorrafia de la arteria del implante con la arteria radial previamente identificada, dos venorrafias dorsales, dos neurorrafias a las ramas dorsales sensitivas del nervio radial y tenorrafias de flexor y extensor.

El equipo en el pie prosiguió con la resección del segundo metatarsiano. Se desarticuló la segunda cuña. Posteriormente se procedió al cierre del primer espacio intermetatarsiano mediante clavijas y sutura de la placa plantar.

Por último, se abrió el colgajo inguinal por su cicatriz palmar longitudinal, con posterior exposición del cuarto metacarpiano y se colocó el injerto de segundo metatarsiano en ligera flexión, se fijó con un tornillo compresivo de 3,5 mm (Figura 6), y se logró una buena estabilidad. Se recubrió el injerto con el colgajo inguinal, así se obtuvo estructura para lograr pinza a futuro.

La evolución fue favorable durante la internación, sin complicaciones. El paciente fue dado de alta a los 6 días.

 

 

 

 

 

 

Rehabilitación posquirúrgica

Se indicó un protocolo intensivo de Terapia Ocupacional en dos etapas:

-  Primera etapa posquirúrgica: movilidad controlada y estimulación de la sensibilidad.

-  Segunda etapa posquirúrgica: prensiones, fortalecimiento e integración a las actividades de la vida diaria, primero, habilidades monomanuales y, luego, bimanuales.

A 4 años de la cirugía, el paciente tiene una movilidad activa (medida mediante goniómetro digital) de flexión en bloque del segmento metacarpofalángico de 0-40° y una abducción de 40° (Figura 7, Video).

 

 

 

 

 

Este rango le permite tomar y trasladar objetos de tamaños diversos, desde un cilindro de 4 cm de diámetro, el cual sirve de mango adaptado para el uso bimanual de cubiertos (Figura 8), hasta un cordón de zapatilla para su atado. En la actualidad, en el posoperatorio alejado, el paciente es capaz de realizar tareas de carpintería y pintura (Video 2).

 

 

 

 

 

Tiene buena sensibilidad protectora dorsal y palmar en el transfer.

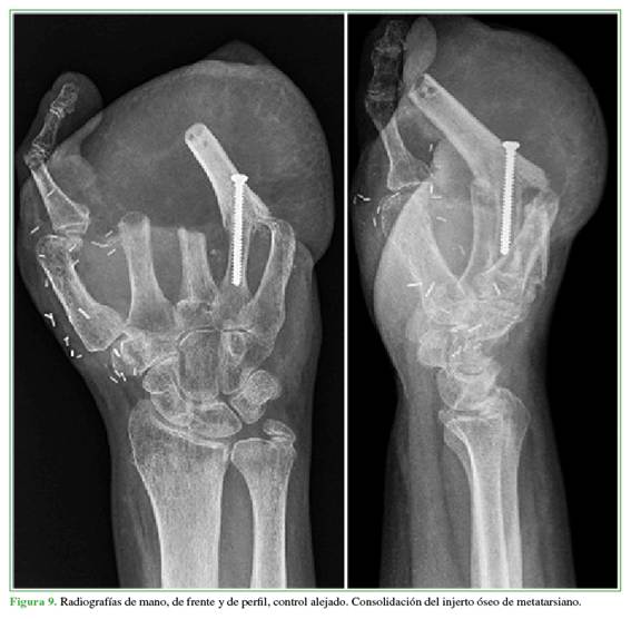
El injerto de metatarsiano tiene signos de consolidación tanto clínicos como radiológicos (Figura 9).

 

 

 

 

 

No se produjeron complicaciones del sitio quirúrgico en el pie. Tiene una marcha con carga completa y sin dolor.

 

Evaluación de los resultados

Según el tipo de lesión de este paciente, puede ser evaluado de la siguiente manera:5,6

-  Puede realizar una oposición básica de la mano con el nuevo macizo metacarpiano. Se trata de una prensión pulpejo-lateral.

-  Escala analógica visual estética: 5

-  Escala analógica visual funcional: 7

 

Discusión y conclusiONES

A la hora de reconstruir una mano metacarpiana, la transferencia de un dedo del pie a la mano es un recurso de gran utilidad, pero requiere de un complemento para lograr la oposición.

La resección completa del metatarsiano permite un cierre estético del espacio intermetatarsiano correspondiente y disminuye el riesgo de complicaciones en el sitio dador.

El “reciclado” de este metatarsiano como injerto óseo no vascularizado es una opción novedosa para reconstruir un rayo de la mano amputada, se logran buenos resultados funcionales y le permite al paciente realizar diversas tareas de la vida diaria. Las percepciones estética y funcional del paciente, en nuestro caso, han sido algo inferiores con respecto al promedio de los casos de la serie de referencia.5

Esta técnica permite resolver una mano metacarpiana tipo 2 en un solo acto quirúrgico y transfiriendo un solo dedo del pie; esto disminuye los tiempos quirúrgicos y posiblemente la tasa de complicaciones.

Se necesita un mayor número de casos para evaluar la viabilidad de la técnica empleada en el tiempo.

 

BIBLIOGRAFÍA

 

1.    Maduri P, Akhondi H. Upper limb amputation. StatPearls 2021 [Internet]. Disponible en: https://www.ncbi.nlm.nih.gov/books/NBK540962/

2.    Dillingham T, Pezzin L, Mackenzie. Limb amputation and limb deficiency: Epidemiology and recent trends in the United States. South Med J 2002;95(8):875-83. https://doi.org/10.1097/00007611-200208000-00018

3.    ALDeek NF, Lin YT, Wei FC. Metacarpal-like and metacarpal hand. Hand Clin 2016;32(4):549-54. https://doi.org/10.1016/j.hcl.2016.06.004

4.    Barca F, Santi A, Tartoni P, Landi A. Gait analysis of the donor foot in microsurgical reconstruction of the thumb. Foot Ankle Int 1995;16(4):201-6. https://doi.org/10.1177/107110079501600406

5.    del Piñal F. Extreme thumb losses. Plast Reconstr Surg 2019;144(3):665-77. https://doi.org/10.1097/PRS.0000000000005983

6.    Lin CH, Lo S, Lin CH, Lin YT. Opponensplasty provides predictable opposable tripod pinch in toe transfer for proximal thumb ray defect reconstruction. Plast Reconstr Surg 2012;130(6):810e-818e. https://doi.org/10.1097/PRS.0b013e31826d1628

 

 

ORCID de P. E. Valle: https://orcid.org/0000-0002-0561-3493           

ORCID de A. Fazio: https://orcid.org/0000-0002-3807-0966

ORCID de N. Cardinal: https://orcid.org/0009-0002-6480-9354

ORCID de F. J. Cervigni: https://orcid.org/0000-0001-8518-8716

 

Recibido el 11-9-2024. Aceptado luego de la evaluación el 28-11-2024 Dr. Lucas F. Loza lucasfloza@gmail.com    https://orcid.org/0009-0005-4940-6073

 

Cómo citar este artículo: Valle PE, Loza LF, Cardinal N, Fazio A, Cervigni FJ. “Técnica del reciclado” para la reconstrucción en un tiempo de una mano metacarpiana. Rev Asoc Argent Ortop Traumatol 2025;90(6):586-593. https://doi.org/10.15417/issn.1852-7434.2025.90.6.2027

 

 

Información del artículo

Identificación: https://doi.org/10.15417/issn.1852-7434.2025.90.6.2027

Fecha de publicación: Diciembre, 2025

Conflicto de intereses: Los autores no declaran conflictos de intereses.

Copyright: © 2025, Revista de la Asociación Argentina de Ortopedia y Traumatología.

Licencia: Este artículo está bajo una Licencia Creative Commons Atribución-No Comercial-Compartir Obras Derivadas Igual 4.0 Internacional. (CC-BY-NC-SA 4.0)