CLINICAL RESEARCH

 

Treatment of Distal Tibia Fractures with a Retrograde Intramedullary Tibial Nail

 

Marcelo Río, Guillermo Gotter, Patricio Salonia, Duilio Gabas, Fernando Barrera Oro, Enzo Sperone, Emanuel Fedún Rodríguez

Orthopedics and Traumatology Service, Clínica Zabala, Autonomous City of Buenos Aires, Argentina.

 

ABSTRACT

Background: This study aims to present our experience and outcomes in the treatment of distal tibia fractures using a retrograde intramedullary locking tibial nail. Materials and Methods: This implant was indicated for fractures of the distal tibia (within 10 cm of the tibiotalar joint), soft tissue injury on the medial aspect of the leg, injuries in the knee area, or ipsilateral knee arthroplasty. Results: A total of 15 patients (13 men, 2 women) with a mean age of 51.5 years were treated. Four cases involved open fractures—three classified as Gustilo IIIA and one as IIIB. Fracture healing was achieved within four months postoperatively in eight cases, while the remaining seven required five months (RUST score: 12). No angular deformities were observed in the distal tibia after bone union. According to the AOFAS score, 12 patients had excellent outcomes, while three had fair results. Conclusions: Retrograde intramedullary tibial nailing is a viable option for treating distal tibia fractures, providing rotational and axial stability comparable to conventional implants. While the initial results are promising, further studies with larger patient cohorts and longer follow-up periods are needed to confirm its long-term effectiveness.

Keywords: Distal tibia fracture; retrograde intramedullary nail.

Level of Evidence: IV

 

Tratamiento de fracturas de tibia distal con clavo endomedular retrógrado de tibia

 

RESUMEN

Introducción: El objetivo de este artículo es comunicar nuestra experiencia y los resultados del tratamiento de pacientes con fracturas de tibia distal utilizando un clavo endomedular retrógrado acerrojado de tibia. Materiales y Métodos: Se indicó este implante para fracturas de tibia distal (hasta 10 cm de la articulación tibio- astragalina), lesión de partes blandas en la cara medial de la pierna, en la zona de la rodilla o artroplastia de rodilla homolateral. Resultados: Se operaron 15 pacientes (13 hombres y 2 mujeres; edad promedio 51.5 años). Cuatro tenían fracturas expuestas, 3 Gustilo IIIA y una, IIIB. En 8 casos, la fractura consolidó a los 4 meses de la cirugía y demoró 5 meses, en los 7 restantes (puntaje RUST 12). No se observaron deformidades angulares en la tibia distal luego de la consolidación. Según el puntaje de la AOFAS, 12 resultados fueron excelentes y 3, regulares. Conclusiones: Este implante es una opción para tratar fracturas distales de tibia, genera estabilidad rotatoria y axial similar a la de los implantes clásicos. Aunque los resultados iniciales son satisfactorios, se necesitan más pacientes y un seguimiento más extenso para confirmar la real utilidad.

Palabras clave: Fractura de tibia distal; clavo endomedular retrógrado.

Nivel de Evidencia: IV

 

INTRODUCTION

Fractures of the distal third of the tibia can be treated with intramedullary nails or plates. The ideal implant is the one that provides greater stability at the fracture site with minimal aggression to the soft tissues in that anatomical region.1 Intramedullary nails allow stable fixation with limited soft tissue disruption; however, in some very distal fracture patterns, stability may be insufficient due to the lack of contact between the implant and the cortices of the distal tibia, as well as the inability, in some nail designs, to place three locking screws in the distal fragment.2 Locking plates have some biomechanical disadvantages compared to intramedullary implants, in addition to the potential soft tissue damage, which is often exacerbated by the energy of the initial trauma.3

In 2014, a novel retrograde intramedullary nail was developed, offering a new option for the treatment of these fractures.4

The aim of this article is to present the treatment and outcomes in patients with distal tibial fractures managed with a retrograde steel intramedullary tibial nail.

 

MATERIALS AND METHODS

Between January and December 2022, a prospective study was conducted using a retrograde intramedullary nail in patients admitted to our department who met the following inclusion criteria (criteria 1 and 2 were mandatory, while any one of the remaining criteria was sufficient): 1) distal tibial fracture located within 10 cm of the tibiotalar joint, 2) age >18 years, 3) soft tissue injury on the anteromedial aspect of the leg, 4) soft tissue injury in the knee area (entry point of the intramedullary nail), and 5) ipsilateral knee arthroplasty.

Patients were excluded if they did not meet the above criteria or presented with any of the following: 1) bifocal fractures, 2) complex intra-articular fractures (extending to the tibial plafond), 3) previous ankle fracture, 4) angular deformities of the tibia, and 5) pathological fractures.

If the patient also had a fibular fracture compromising ankle stability, reduction and internal fixation with plate and screws was performed. When the fibular fracture was located beyond the distal 7 cm, an elastic intramedullary nail was placed.

Sutures were removed 15 days postoperatively. Radiographic follow-up was performed at 30, 60, 90, 120, and 180 days.

Partial weight-bearing with crutches was allowed after 30 days.

Open fractures were classified according to the Gustilo classification.5 Fracture healing was assessed using the RUST (Radiographic Union Score for Tibia) scale,6 and functional outcomes were evaluated with the AOFAS (American Orthopaedic Foot and Ankle Society) ankle-hindfoot score.7

 

Surgical Technique

With the patient in the supine position, a support is placed under the affected limb to allow proper visualization of the anteroposterior and lateral views of the tibia and ankle.

After aseptic preparation and placement of the surgical drapes—and prior to nail insertion—the fracture is reduced by longitudinal traction in comminuted patterns or percutaneously using a clamp in oblique fracture lines (Figure 1).

 

 

 

 

 

A 3 cm incision is then made distally from the tip of the tibial malleolus (Figure 2). Using a guidewire, the entry point is identified in the center of the tibial malleolus in both planes (Figures 3 and 4), and then enlarged with a cannulated reamer (Figure 5). An olive-tipped guidewire is inserted (Figure 6), and reaming of the medullary canal is performed through a soft tissue protector (Figure 7).

 

 

 

 

 

 

 

 

 

 

 

 

 

 

 

 

 

 

 

 

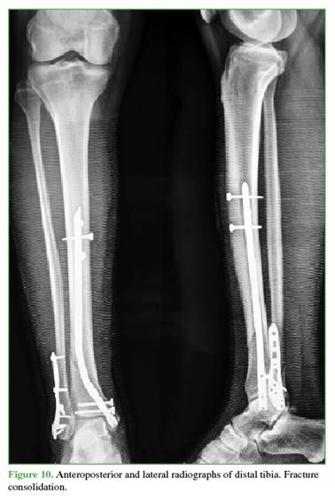
The nail of the preselected length is inserted under fluoroscopic guidance and anchored distally using the external targeting device, and proximally using a free-hand technique (Figures 8-10)

 

 

 

 

 

 

 

 

 

 

 

RESULTS

During 2022, this implant was used in 15 patients: 13 men and 2 women, aged 31 to 86 years (mean age 51.5 years). The mechanisms of injury included motorcycle accidents (6 cases), falls from height (8 cases), and a complication from a previous surgical procedure (1 case).

Fractures were classified according to the AO Foundation/Orthopaedic Trauma Association (AO/OTA) system: 11 were type 43A1, 2 were 43A2, 1 was 42A1, and 1 was 42A3. Four of these fractures were open: three Gustilo type IIIA and one type IIIB. These were initially managed with surgical debridement, negative pressure wound therapy, and external fixation. At 48 hours, they were converted to internal fixation with retrograde nailing, and in the IIIB case, a free lateral thigh flap was used for soft tissue coverage.

The fibula was stabilized in 10 patients—6 with plate and screws, and 4 with an elastic intramedullary nail.

In 8 cases, fracture healing occurred by 4 months postoperatively; in the remaining 7 cases, healing was achieved by 5 months (RUST score 12).

No angular deformities were observed in the distal tibia after consolidation. According to the AOFAS scale, outcomes were excellent in 12 cases and fair in 3, one of which involved the patient with the type IIIB open fracture requiring soft tissue reconstruction (Table).

 

 

 

 

 

 

DISCUSSION

Fractures of the distal third of the tibia are common.1 There is ongoing controversy regarding the ideal fixation method for extra-articular fractures, particularly between intramedullary nails and locking plates.2

The selected implant should provide sufficient stability with minimal soft tissue disruption in this anatomical region. Plate osteosynthesis, using a minimally invasive technique, is a reasonable option. However, in patients with medial soft tissue injury, chronic vascular disease, or diabetes, the risk of complications increases.3

Osteosynthesis with an antegrade intramedullary nail preserves the soft tissues of the leg. Nevertheless, it requires the ability to place three distal locking screws to achieve adequate stability, as the nail does not engage the cortices in the distal tibia.

The use of a retrograde tibial nail was first described by Kuhn et al. in 2014,4 who, after conducting biomechanical studies, reported that the rotational and axial stability provided by this implant is comparable to that of the antegrade tibial nail.

In 2022, Bin et al.8 treated nine patients with this implant and reported bone healing at an average of 3.3 months. Functional outcomes, assessed with the AOFAS score, included six excellent and three good results—similar to those obtained in our study.

In our series, we attributed the two fair outcomes in the functional assessment to the severity of soft tissue injury (a Gustilo IIIB fracture requiring a fasciocutaneous flap and a Gustilo IIIA fracture requiring medial ligament reconstruction), rather than to the bone injury or the implant used.

The design of this nail allows the distal locking screws to reach close to the articular surface of the tibia, offering a clear advantage in the treatment of distal fractures. Furthermore, the stability provided by the three fixed-angle distal locking screws—secured both to the nail and the medial cortex—minimizes potential discomfort caused by the prominence of conventional locking screw heads.

The insertion technique must be performed with care, due to the risk of tibial malleolus fracture. The fracture must be reduced prior to nail insertion, as the implant cannot serve as a tool for indirect reduction.

At the proximal level, we recommend placing all locking screws to optimize construct stability.

The retrograde tibial nail is not intended to replace standard implants commonly used for distal tibial fractures, but rather to complement antegrade nails and locking plates—particularly in specific clinical situations, as outlined in the inclusion criteria.

This study has some limitations: it does not include a comparison with patients treated using other osteosynthesis methods for similar fractures; the number of patients is small; and the assessment was conducted by the authors themselves. Nevertheless, we consider the initial results to be encouraging, although further evaluation in a larger patient cohort is needed to determine the true utility of this implant.

 

CONCLUSIONS

This is the first report in our setting on the use of the retrograde tibial nail for the treatment of distal tibial fractures. We believe that this implant offers certain advantages over traditional implants, especially in specific scenarios such as when the proximal tibia is occupied by a knee arthroplasty.

 

REFERENCES

 

1.     Daolagupu A, Mudgal A, Agarwala V, Dutta K. A comparative study of intramedullary interlocking nailing and minimally invasive plate osteosynthesis in extra articular distal tibial fractures. Indian J Orthop 2017;51:292-8. https://doi.org/10.4103/0019-5413.205674

2.     Iqbal H, Pidikiti P. Treatment of distal tibia metaphyseal fractures; plating versus intramedullary nailing: a systematic review of recent evidence. Foot Ankle Surg 2013;19(3):143-7. https://doi.org/10.1016/j.fas.2013.04.007

3.     Gupta R, Rohilla R, Sangwan K, Singh V, Walia S. Locking plate fixation in distal  metaphyseal tibial fractures: series of 79 patients. Int Orthop 2010;34:1285-90. https://doi.org/10.1007/s00264-009-0880-4

4.     Kuhn D, Appelmann P, Pairon P, Mehler D, Rommens P. The retrograde tibial nail: Presentation and biomechanical evaluation of a new concept in the treatment of distal tibia fractures. Injury 2014;45(Suppl 1):S81-S86. https://doi.org/10.1016/j.injury.2013.10.025

5.     Gustilo R, Anderson J. Prevention of infection in the treatment of one thousand and twenty-five open fractures of long bones: Retrospective and prospective analyses. J Bone Joint Surg Am 1976;58(4):453-8. PMID: 773941

6.     Whelan D, Bhandari M, Stephen D. Development of the radiographic union score for tibial fractures for the assessment of tibial fracture healing after intramedullary fixation. J Trauma 2010;68(3):629-32. https://doi.org/10.1097/TA.0b013e3181a7c16d

7.     Madeley N, Wing K, Topliss C, Penner MJ, Glazebrook MA, Younger AS. Responsiveness and validity of the SF-36, Ankle Osteoarthritis Scale, AOFAS Ankle Hindfoot Score, and Foot Function Index in end stage ankle arthritis. Foot Ankle Int 2012;33(1):57-63. https://doi.org/10.3113/FAI.2012.0057

8.     Bin P, Teng W, Wenfu T, Weiming G, Min H. Novel retrograde intramedullary tibial nailing for distal tibial fractures. Front Surg 2022;9:899483. https://doi.org/10.3389/fsurg.2022.899483

 

 

G. Gotter ORCID ID: https://orcid.org/0000-0001-6156-0261             

F. Barrera Oro ORCID ID: https://orcid.org/0000-0001-5995-7083

P. Salonia ORCID ID: https://orcid.org/0000-0002-3241-3622            

E. Sperone ORCID ID: https://orcid.org/0000-0001-5028-9584

D. Gabas ORCID ID: https://orcid.org/0000-0003-3768-9801

E. Fedún ORCID ID: https://orcid.org/0000-0002-5036-2638

 

Received on June 11th, 2024. Accepted after evaluation on November 23rd, 2024 Dr. Marcelo Río marcelowrio@yahoo.com.arhttps://orcid.org/0000-0001-7339-5558

 

How to cite this article: Río M, Gotter G, Salonia P, Gabas D, Barrera Oro F, Sperone E, Fedún E. Treatment of Distal Tibia Fractures with a Retrograde Intramedullary Tibial Nail. Rev Asoc Asoc Argent Ortop Traumatol 2025;90(2):157-165. https://doi.org/10.15417/issn.1852-7434.2025.90.2.1988

 

 

Article Info

Identification: https://doi.org/10.15417/issn.1852-7434.2025.90.2.1988

Published: April, 2025

Conflict of interests: Dr. Río and Dr. Gotter were involved in the development of the implant. The rest of the authors declare no conflicts of interest.

Copyright: © 2025, Revista de la Asociación Argentina de Ortopedia y Traumatología.

License: This article is under Attribution-NonCommertial-ShareAlike 4.0 International Creative Commons License (CC-BY-NC-SA 4.0)