INVESTIGACIÓN CLÍNICA

 

Tratamiento de fracturas de tibia distal con clavo endomedular retrógrado de tibia

 

Marcelo Río, Guillermo Gotter, Patricio Salonia, Duilio Gabas, Fernando Barrera Oro, Enzo Sperone, Emanuel Fedún Rodríguez

Servicio de Ortopedia y Traumatología, Clínica Zabala, Ciudad Autónoma de Buenos Aires, Argentina

 

RESUMEN

Introducción: El objetivo de este artículo es comunicar nuestra experiencia y los resultados del tratamiento de pacientes con fracturas de tibia distal utilizando un clavo endomedular retrógrado acerrojado de tibia. Materiales y Métodos: Se indicó este implante para fracturas de tibia distal (hasta 10 cm de la articulación tibio-astragalina), lesión de partes blandas en la cara medial de la pierna, en la zona de la rodilla o artroplastia de rodilla homolateral. Resultados: Se operaron 15 pacientes (13 hombres y 2 mujeres; edad promedio 51.5 años). Cuatro tenían fracturas expuestas, 3 Gustilo IIIA y una, IIIB. En 8 casos, la fractura consolidó a los 4 meses de la cirugía y demoró 5 meses, en los 7 restantes (puntaje RUST 12). No se observaron deformidades angulares en la tibia distal luego de la consolidación. Según el puntaje de la AOFAS, 12 resultados fueron excelentes y 3, regulares. Conclusiones: Este implante es una opción para tratar fracturas distales de tibia, genera estabilidad rotatoria y axial similar a la de los implantes clásicos. Aunque los resultados iniciales son satisfactorios, se necesitan más pacientes y un seguimiento más extenso para confirmar la real utilidad.

Palabras clave: Fractura de tibia distal; clavo endomedular retrógrado.

Nivel de Evidencia: IV

 

Treatment of Distal Tibia Fractures with a Retrograde Intramedullary Tibial Nail

 

ABSTRACT

Background: This study aims to present our experience and outcomes in the treatment of distal tibia fractures using a retrograde intramedullary locking tibial nail. Materials and Methods: This implant was indicated for fractures of the distal tibia (within 10 cm of the tibiotalar joint), soft tissue injury on the medial aspect of the leg, injuries in the knee area, or ipsilateral knee arthroplasty. Results: A total of 15 patients (13 men, 2 women) with a mean age of 51.5 years were treated. Four cases involved open fractures—three classified as Gustilo IIIA and one as IIIB. Fracture healing was achieved within four months postoperatively in eight cases, while the remaining seven required five months (RUST score: 12). No angular deformities were observed in the distal tibia after bone union. According to the AOFAS score, 12 patients had excellent outcomes, while three had fair results. Conclusions: Retrograde intramedullary tibial nailing is a viable option for treating distal tibia fractures, providing rotational and axial stability comparable to conventional implants. While the initial results are promising, further studies with larger patient cohorts and longer follow-up periods are needed to confirm its long-term effectiveness.

Keywords: Distal tibia fracture; retrograde intramedullary nail.

Level of Evidence: IV

 

INTRODUCCIÓN

Las fracturas del tercio distal de la tibia se pueden tratar con clavos endomedulares o placas. El implante ideal es el que genera una mayor estabilidad en el foco de la fractura con la menor agresión de las partes blandas en ese sector anatómico.1 Los clavos endomedulares permiten la fijación estable con poca agresión a los tejidos blandos, aunque, en algunos trazos muy distales, la estabilidad no es suficiente debido a la falta de contacto del implante con las corticales en la tibia distal y por la imposibilidad, en algunos diseños de clavos, de colocar 3 tornillos de bloqueo en el fragmento distal.2 Las placas bloqueadas tienen algunas desventajas biomecánicas cuando se las compara con los implantes endomedulares y, además, la potencial agresión a las partes blandas, que están dañadas por la energía del trauma.3

En 2014, se diseñó un novedoso clavo endomedular retrógrado que brinda una nueva opción para el tratamiento de estas fracturas.4

El objetivo de este artículo es presentar el tratamiento y los resultados en pacientes con fracturas de tibia distal tratados con un clavo endomedular retrógrado acerrojado de tibia.

 

MATERIALES Y MÉTODOS

Entre enero y diciembre de 2022, se realizó un estudio prospectivo utilizando un clavo endomedular retrógrado, en los pacientes que ingresaron en nuestro servicio y que cumplían con los siguientes criterios de inclusión (1 y 2 excluyentes, los restantes con uno de ellos era suficiente): 1) fractura de tibia distal, hasta 10 cm de la articulación tibio-astragalina, 2) edad >18 años, 3) lesión de partes blandas en la cara anterointerna de la pierna, 4) lesión de partes blandas en la zona de la rodilla (zona de ingreso del clavo endomedular) y 5) artroplastia de rodilla homo-lateral.

Se excluyó a los pacientes que no cumplían con los criterios anteriores o tenían los siguientes criterios: 1) fracturas bifocales, 2) fractura intrarticular compleja (extensión al pilón tibial), 3) fractura de tobillo previa, 4) deformidades angulares de la tibia y 5) fracturas patológicas.

Si el paciente tenía también una fractura de peroné que afectara la estabilidad del tobillo, se realizó la reducción y fijación interna con placa y tornillos y, cuando la fractura estaba localizada más allá de los 7 cm distales del peroné, se colocó un clavo endomedular elástico.

A los 15 días de la cirugía, se retiraron los puntos de sutura y, a los 30, 60, 90, 120 y 180 días, se tomaron radiografías de control.

Se permitió la carga parcial con muletas a partir de los 30 días.

Las fracturas expuestas se clasificaron según Gustilo,5 la consolidación se evaluó con la escala RUST (Radiographic Union Score for Tibia)6 y el resultado funcional, con la escala de la AOFAS (American Orthopaedic Foot and Ankle Society) para tobillo.7

 

Técnica quirúrgica

Con el paciente en decúbito dorsal, se coloca un realce debajo del miembro afectado, con el fin de poder visualizar correctamente el frente y el perfil de la tibia y el tobillo.

Luego de la asepsia y la colocación de los campos quirúrgicos y antes de la inserción del clavo, se procede a la reducción de la fractura mediante tracción longitudinal en las fracturas conminutas o, en forma percutánea con un clamp, en los patrones oblicuos (Figura 1).

 

 

 

 

 

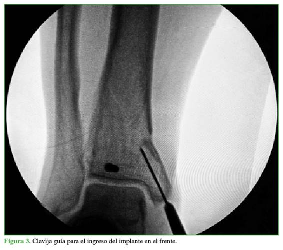
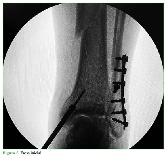
A continuación, se crea un abordaje de 3 cm desde la punta de maléolo tibial hacia distal (Figura 2). Mediante una clavija se ubica el sitio de ingreso en el centro del maléolo tibial, en ambos planos (Figuras 3 y 4), para luego agrandar con una fresa canulada la zona de ingreso (Figura 5), después se coloca una guía olivada (Figura 6) y, a través de un protector de partes blandas, se fresa el canal medular (Figura 7).

 

 

 

 

 

 

 

 

 

 

 

 

 

 

 

 

 

 

 

 

 

 

 

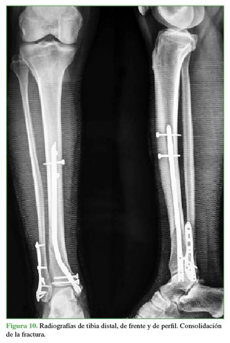
Se introduce el clavo de la longitud planificada bajo control radioscópico y, por último, se acerroja a distal con la guía externa y a proximal, a manos libres (Figuras 8-10).

 

 

 

 

 

 

 

 

 

 

 

 

 

RESULTADOS

Durante 2022, se colocó este implante en 15 pacientes: 13 hombres y 2 mujeres, con una edad que oscilaba entre 31 y 86 años (promedio 51.5). Las causas de la lesión habían sido: accidente de moto (6 casos), caída de altura (8 casos) y una complicación de un procedimiento quirúrgico previo (1 caso). Las fracturas se clasificaron según la AO Foundation/Orthopaedic Trauma Association (AO/OTA): 11 eran 43A1; 2, 43A2; una, 42A1 y una, 42A3. Cuatro de estas fracturas eran expuestas, 3 Gustilo IIIA y otra IIIB, tratadas inicialmente con desbridamiento quirúrgico, colocación de terapia de presión negativa y fijador externo en la urgencia. A las 48 horas, se las convirtió a fijación interna con clavo retrógrado y colgajo libre lateral de muslo en el caso de la fractura IIIB. El peroné fue estabilizado en 10 pacientes (6 con placa y tornillos, 4 mediante un clavo endomedular elástico).

En 8 casos, la fractura consolidó a los 4 meses de la cirugía y, en los restantes, demoró 5 meses (puntaje RUST 12).

No se observaron deformidades angulares en la tibia distal luego de la consolidación de la fractura. Según la escala de la AOFAS, 12 resultados fueron excelentes y 3, regulares, uno de estos fue el paciente que tenía una fractura expuesta IIIB y necesitó un colgajo libre para la cobertura de partes blandas (Tabla).

 

 

 

 

 

 

DISCUSIÓN

Las fracturas del tercio distal de la tibia son frecuentes.1 Existe controversia sobre el método de fijación ideal para las fracturas extrarticulares, entre los clavos endomedulares y las placas bloqueadas.2

El implante que se utilice debe generar una estabilidad suficiente con la mínima agresión de partes blandas, en esa región anatómica. La osteosíntesis con placa, usando una técnica mínimamente invasiva, es una opción razonable, pero, en pacientes con lesión de los tejidos blandos en la cara medial de la pierna, enfermedad vascular crónica o diabetes, las posibles complicaciones aumentan.3

La osteosíntesis con clavo endomedular anterógrado respeta las partes blandas de la pierna, aunque requiere la posibilidad de colocar 3 cerrojos en el fragmento distal para lograr la estabilidad adecuada en el segmento inferior de la tibia, ya que, en esa zona, el clavo no tiene contacto con las corticales.

El uso de un clavo retrógrado de tibia fue descrito, por primera vez, por Kuhn y cols., en 2014,4 quienes, luego de estudios biomecánicos, comunicaron que la estabilidad rotatoria y axial que brinda este implante es similar a la de un clavo anterógrado de tibia.

En 2022, Bin y cols.8 trataron a 9 pacientes con este implante, e informaron que la consolidación ósea ocurrió, en promedio, a los 3.3 meses y un puntaje funcional (AOFAS) con 6 casos excelentes y 3 buenos, resultados similares a los obtenidos en nuestro estudio.

En nuestra serie, atribuimos los 2 casos regulares en la evaluación funcional, a la gravedad de la lesión de partes blandas (una fractura Gustilo IIIB que requirió un colgajo fasciocutáneo y otra fractura Gustilo IIIA que requirió la reconstrucción ligamentaria medial) y no tanto a la lesión ósea o al implante utilizado.

El diseño de este clavo permite llegar con los cerrojos prácticamente hasta la superficie articular de la tibia, lo cual le brinda una ventaja para el tratamiento de fracturas distales, además de la estabilidad que le otorga el diseño de los 3 cerrojos distales bloqueados al clavo (ángulo fijo) y a la cortical medial, que reducen la posible molestia que puede ocasionar la procidencia de la cabeza de los cerrojos convencionales.

La técnica de introducción tiene que ser cuidadosa debido a la posibilidad de fracturar el maléolo tibial y la fractura debe ser reducida antes de introducir el clavo, porque este no puede ser utilizado como método de reducción indirecta.

 

A nivel proximal recomendamos colocar todos los cerrojos de bloqueo para darle más estabilidad al montaje. El clavo retrógrado de tibia no pretende reemplazar a los implantes clásicos utilizados habitualmente para tratar las fracturas distales de tibia, sino que complementa a los clavos anterógrados y a las placas bloqueadas, especialmente en situaciones particulares como se señala en los criterios de inclusión.

Este estudio tiene algunas limitaciones: no se comparó con pacientes tratados con otros métodos de osteosíntesis en fracturas similares, la escasa cantidad de pacientes y la evaluación a cargo de los autores del artículo, aun así consideramos que los resultados iniciales son alentadores, aunque se deberá evaluar a una mayor cantidad de pacientes para determinar la real utilidad de este implante.

 

CONCLUSIONES

Esta es la primera publicación en nuestro medio con el clavo retrógrado de tibia para tratar fracturas de tibia distal. Consideramos que es un implante que aporta ciertas ventajas sobre los implantes clásicos, especialmente, en situaciones particulares, como la ocupación de la tibia proximal por una artroplastia de rodilla.

 

BIBLIOGRAFÍA

 

1.     Daolagupu A, Mudgal A, Agarwala V, Dutta K. A comparative study of intramedullary interlocking nailing and minimally invasive plate osteosynthesis in extra articular distal tibial fractures. Indian J Orthop 2017;51:292-8. https://doi.org/10.4103/0019-5413.205674

2.     Iqbal H, Pidikiti P. Treatment of distal tibia metaphyseal fractures; plating versus intramedullary nailing: a systematic review of recent evidence. Foot Ankle Surg 2013;19(3):143-7. https://doi.org/10.1016/j.fas.2013.04.007

3.     Gupta R, Rohilla R, Sangwan K, Singh V, Walia S. Locking plate fixation in distal metaphyseal tibial fractures: series of 79 patients. Int Orthop 2010;34:1285-90. https://doi.org/10.1007/s00264-009-0880-4

4.     Kuhn D, Appelmann P, Pairon P, Mehler D, Rommens P. The retrograde tibial nail: Presentation and biomechanical evaluation of a new concept in the treatment of distal tibia fractures. Injury 2014;45(Suppl 1):S81-S86. https://doi.org/10.1016/j.injury.2013.10.025

5.     Gustilo R, Anderson J. Prevention of infection in the treatment of one thousand and twenty-five open fractures of long bones: Retrospective and prospective analyses. J Bone Joint Surg Am 1976;58(4):453-8. PMID: 773941

6.     Whelan D, Bhandari M, Stephen D. Development of the radiographic union score for tibial fractures for the assessment of tibial fracture healing after intramedullary fixation. J Trauma 2010;68(3):629-32. https://doi.org/10.1097/TA.0b013e3181a7c16d

7.     Madeley N, Wing K, Topliss C, Penner MJ, Glazebrook MA, Younger AS. Responsiveness and validity of the SF-36, Ankle Osteoarthritis Scale, AOFAS Ankle Hindfoot Score, and Foot Function Index in end stage ankle arthritis. Foot Ankle Int 2012;33(1):57-63. https://doi.org/10.3113/FAI.2012.0057

8.     Bin P, Teng W, Wenfu T, Weiming G, Min H. Novel retrograde intramedullary tibial nailing for distal tibial fractures. Front Surg 2022;9:899483. https://doi.org/10.3389/fsurg.2022.899483

 

 

ORCID de G. Gotter: https://orcid.org/0000-0001-6156-0261              

ORCID de F. Barrera Oro: https://orcid.org/0000-0001-5995-7083

ORCID de P. Salonia: https://orcid.org/0000-0002-3241-3622             

ORCID de E. Sperone: https://orcid.org/0000-0001-5028-9584

ORCID de D. Gabas: https://orcid.org/0000-0003-3768-9801

ORCID de E. Fedún Rodríguez: https://orcid.org/0000-0002-5036-2638

 

 

Recibido el 11-6-2024. Aceptado luego de la evaluación el 23-11-2024 Dr. Marcelo Río  marcelowrio@yahoo.com.ar https://orcid.org/0000-0001-7339-5558

 

Cómo citar este artículo: Río M, Gotter G, Salonia P, Gabas D, Barrera Oro F, Sperone E, Fedún Rodríguez E. Tratamiento de fracturas de tibia distal con clavo endomedular retrógrado de tibia. Rev Asoc Argent Ortop Traumatol 2025;90(2):157-165. https://doi.org/10.15417/issn.1852-7434.2025.90.2.1988

 

Rev Asoc A

Información del artículo

Identificación: https://doi.org/10.15417/issn.1852-7434.2025.90.2.1988

Fecha de publicación: Abril, 2025

Conflicto de intereses: Los doctores Río y Gotter formaron parte del desarrollo del implante. El resto de los autores no declara conflictos de intereses.

Copyright: © 2025, Revista de la Asociación Argentina de Ortopedia y Traumatología.

Licencia: Este artículo está bajo una Licencia Creative Commons Atribución-No Comercial-Compartir Obras Derivadas Igual 4.0 Internacional. (CC-BY-NC-SA 4.0)

rgent Ortop Traumatol 2025; 90 (2): 157-165 • ISSN 1852-7434 (en línea)                                                                     165