CASE PRESENTATION

 

Treatment of Scapular Chondrosarcoma with a 3D-Printed Implant and Reverse Total Shoulder Arthroplasty: Case Report

 

Antonio Acosta,* Rufino C. Ruiz,** Renzo Chiaramonte,# Nicolás di Giuseppe,# Gabriel Alazraqui,# Alejo López##

*Oncologic Reconstructive Surgery Center, Clínica Santa Isabel, Autonomous City of Buenos Aires, Argentina.

**Oncologic Reconstructive Surgery Center, , Instituto Dupuytren de Traumatología y Ortopedia, Autonomous City of Buenos Aires, Argentina.

#Oncologic Reconstructive Surgery Center, Sanatorio de La Trinidad Palermo, Autonomous City of Buenos Aires, Argentina.

##Oncologic Reconstructive Surgery Center, Galeno-Centro Médico Barrio Norte, Autonomous City of Buenos Aires, Argentina.

 

ABSTRACT

Chondrosarcomas are malignant, cartilage-producing tumors most commonly arising in the pelvis, femur, and humerus; involvement of the scapula is rare. Surgery is the primary treatment for nonmetastatic disease. Compared with pelvic chondrosarcoma, scapular lesions generally have a better prognosis because the regional anatomy allows wide local resection with negative margins. We report a case of glenoid chondrosarcoma in a 47-year-old man treated with tumor resection and reconstruction using a 3D-printed implant combined with reverse total shoulder arthroplasty. The rationale for presenting this case is its low incidence. The proposed surgical approach—including deltoid detachment—provided adequate exposure while protecting neurovascular structures. Reconstruction of the osseous defect with a 3D-printed implant and reverse shoulder arthroplasty facilitated recovery of shoulder motion and yielded good functional outcomes.

Keywords: Bone tumor; sarcoma; chondrosarcoma; glenoid tumor; scapular tumor; biopsy; surgical approach; reconstruction.

Level of Evidence: IV

 

Tratamiento del condrosarcoma de escápula con un implante impreso en 3D y una prótesis total invertida. Presentación de un caso

 

RESUMEN

Los condrosarcomas son tumores malignos que producen cartílago, y son más comunes en la pelvis, el fémur y el húmero. Su aparición en la escápula es rara. La cirugía es la principal modalidad de tratamiento en los casos no metastásicos. El condrosar-coma escapular tiene mejor pronóstico que el condrosarcoma de la pelvis, ya que la anatomía regional es más favorable para una resección local amplia con margen negativo. Se describe un caso de condrosarcoma en la glena en un hombre de 47 años sometido a resección y reconstrucción con implante impreso en 3D y una prótesis invertida. El motivo de la presentación de este caso es su baja incidencia. El abordaje quirúrgico propuesto que incluye desinserción del deltoides se considera efectivo para lograr una buena exposición durante la resección y proteger las estructuras vasculonerviosas. La reconstrucción del defecto óseo con un implante 3D y una prótesis invertida es un método útil para facilitar la recuperación de la movilidad del hombro y consigue buenos resultados funcionales.

Palabras clave: Tumor óseo; sarcoma; condrosarcoma; tumor de glena, tumor de escápula; biopsia; abordaje; reconstrucción.

Nivel de Evidencia: IV

 

INTRODUCTION

Sarcomas are a rare group of mesenchymal tumors that account for less than 1% of all cancers and arise in bone and soft tissue.1 Chondrosarcomas are the second most frequent malignant bone neoplasm after osteosarcoma and show diverse behavior depending on the histologic subtype. Most chondrosarcomas are conventional central (75%) or conventional peripheral (10%) and are histologically subdivided into grades I, II, and III. Ten-year survival rates by histologic grade range from 79% to 100%, 53%–90%, and 29%–55%, respectively.2

The mean age at presentation is 51 years, and more than 70% of patients are older than 40 at diagnosis.3 Approximately 30% of tumors arise in proximal locations such as the pelvis, proximal femur, and proximal humerus. Scapular involvement is relatively uncommon. Surgical excision is the cornerstone of treatment, and histologic grade is the key prognostic factor.

The extent of surgical resection determines prognosis; good tumor control can be achieved with complete tumor resection. Chondrosarcomas are relatively radioresistant, and chemotherapy is not very effective, particularly for the conventional subtype.4

We report a relatively rare presentation of a scapular chondrosarcoma involving the glenoid in a 47-year-old adult who underwent a previously undescribed approach: tumor resection and reconstruction of the bony defect using a 3D-printed trabecular titanium implant in combination with a reverse total shoulder arthroplasty (RTSA).

 

CLINICAL CASE

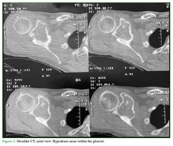
A 47-year-old man presented with right shoulder pain of one year’s duration. Physical examination revealed pain and functional limitation with restriction of all ranges of shoulder motion. Shoulder radiographs, computed tomography (CT), and magnetic resonance imaging (MRI) were obtained. Imaging showed a lobulated, expansile lesion with cortical ballooning and internal calcifications (Figure 1). On sagittal CT slices, hypodense areas were visible within the glenoid, and on T2-weighted MRI there was hyperintensity in the supraspinous fossa involving the infraspinatus and subscapularis muscles (Figure 2).

 

 

 

 

 

 

 

 

 

 

A whole-body bone scan demonstrated increased uptake in the right glenoid region (Figure 3). No distant metastases were identified on the remaining studies.

A CT-guided core needle biopsy was performed to maximize diagnostic yield and obtain a representative sample of the lesion5 (Figure 4). Pathology reported a grade II chondrosarcoma.

Considering the patient’s age, soft-tissue involvement, and functional expectations, a multidisciplinary consensus recommended resection of the tumor with adequate margins, followed by reconstruction of the bone defect using a 3D-printed trabecular titanium implant together with an RTSA.

For prosthesis planning, right-shoulder CT images with 1-mm slices were imported into dedicated software to generate a virtual 3-D model of the scapula, visualize the tumor, and define safe margins for resection. Patient-specific cutting guides were designed and printed to facilitate accurate tumor removal and subsequent implant placement (Figure 5).

 

 

 

 

 

 

 

 

 

 

 

 

 

Surgical Technique

The patient was positioned in the beach-chair position. A shoulder approach—anterior and posterior, bayonet-shaped and incorporating a lozenge over the prior biopsy tract—was performed; this provided excellent exposure. The supraspinatus was transected and resected, as were portions of the subscapularis and infraspinatus; the suprascapular bundle had been ligated beforehand.

Using the cutting guides, the tumor was resected, and the 3D-printed implant was placed with acromial support to enhance fixation and component stability, counteract axial loads, and improve the function of the associated reverse prosthesis. The mass was resected with macroscopically negative margins; the deltoid was repaired with reinforced sutures, and implant stability was confirmed (Figure 6). Postoperative control radiographs were obtained (Figure 7).

 

 

 

 

 

 

 

 

 

 

Postoperative management included sling immobilization for approximately 4 weeks; pendulum exercises began in week 2, followed by passive/active-assisted stretching and progressive strengthening. At the 30-day follow-up, early range of motion was good; subsequent follow-ups were scheduled at 2, 4, 6, 12, and 48 months (Figure 8).

 

 

 

 

 

 

 

DISCUSSION

Chondrosarcoma accounts for 20%–25% of sarcomas and is the second most common malignant bone neoplasm after osteosarcoma. It occurs mainly in the pelvis and long bones (e.g., femur and humerus) and, less frequently, in the scapula.6 The conventional subtype is the most common (80%–90%). The typical age at presentation is the fourth to fifth decade. Clinical manifestations of scapular chondrosarcoma include pain in the affected area, a palpable mass or swelling, and limitation of shoulder motion. As disease progresses, pain may intensify and additional findings—such as weakness or neurological symptoms from mass effect—can appear. Diagnosis relies primarily on radiographs and CT, which often show expansile osteolytic destruction, soft-tissue mass, and calcifications; CT-guided core needle biopsy is essential for accurate diagnosis.7

Chondrosarcoma is typically resistant to radiation and chemotherapy; therefore, wide surgical excision remains the most effective treatment.8

Reconstruction after tumor resection in the scapula is challenging, and glenoid involvement—as in the present case—is particularly complex. Before the 1970s, malignant shoulder-girdle tumors were treated with amputation; later, the Tikhoff–Linberg limb-sparing procedure was introduced, with functional outcomes varying according to the structures resected.9

With advances in technology, the development of 3D-printed segmental implants combined with reverse prostheses has enabled satisfactory outcomes, including functional recovery of the shoulder in middle-aged patients. Endoprosthetic reconstruction is considered the reference procedure and has provided better functional outcomes than other reconstructive options, such as partial resection with allograft or soft-tissue reconstruction alone.10 Despite these advances, the rarity of glenoid tumors limits high-quality comparative evidence, making it difficult to define a standardized surgical strategy. In our case, a custom 3D-printed implant with acromial support combined with an RTSA provided a tailored reconstructive option that permitted rapid recovery of mobility. We consider this approach promising for the reconstruction of complex bony defects after resection of malignant tumors.

 

CONCLUSIONS

Scapular chondrosarcoma is uncommon, and few case reports describe this tumor in the glenoid or detail surgical management. In a middle-aged patient with grade II chondrosarcoma, reconstruction using a 3D-printed scapular implant combined with a reverse prosthesis yielded satisfactory outcomes with good functional mobility, supporting its consideration in treatment planning. Given the lack of standardized surgical solutions, we believe that a 3D-printed, acromial-supported implant plus RTSA offers a specific, promising reconstructive option for complex bone defects.

 

REFERENCES

 

1.     Tiwari R, Devnani B, Thirunavukkarasu B, Pareek P, Daga P, Kumar A. multi-modality management of chondrosarcoma of scapula: A case report and review of literature. Cancer Treat Res Commun 2023;35:100710. https://doi.org/10.1016/j.ctarc.2023.100710

2.     MacDonald IJ, Lin C-Y, Kuo S-J, Su C-M, Tang C-H. An update on current and future treatment options for chondrosarcoma. Expert Rev Anticancer Ther 2019;19(9):773-86. https://doi.org/10.1080/14737140.2019.1659731

3.     Gazendam A, Popovic S, Parasu N, Ghert M. Chondrosarcoma: A clinical review. J Clin Med 2023;12(7):2506. https://doi.org/10.3390/jcm12072506

4.     Italiano A, Mir O, Cioff A, Palmerini E, Piperno-Neumann S, Perrin C, et al. Advanced chondrosarcomas: role of chemotherapy and survival. Ann Oncol 2013;24:2916-22. https://doi.org/10.1093/annonc/mdt374

5.     Ortiz Cruz EJ, Peleteiro Pensado M, Barrientos Ruiz I, Pozo Kreilinger JJ, Bernabéu Taboada D, Forriol F. Técnicas de la biopsia correcta en el aparato locomotor. Rev Latinoam Cir Ortop 2016;1(1):26-36. https://doi.org/10.1016/j.rslaot.2016.05.003

6.     Mayil Vahanan N, Mohanlal P, Bose JC, Gangadharan R, Karthisunda V. The functional and oncological results after scapulectomy for scapular tumours: 2-16-year results. Int Orthop 2007;31(6):831-6. https://doi.org/10.1007/s00264-006-0261-1

7.     Kiatisevi P, Thanakit V, Sukunthanak B, Boonthatip M, Bumrungchart S, Witoonchart K. Computed tomography-guided core needle biopsy versus incisional biopsy in diagnosing musculoskeletal lesions. J Orthop Surg (Hong Kong) 2013;21(2):204-8. https://doi.org/10.1177/230949901302100218

8.     Shuai Qiang, Xin-Nan Ma, Hong-Wei Wang, Song-Cen Lv. Scapula chondrosarcoma. A case report. Medicine (Baltimore) 2019;98(17):e15388. https://doi.org/10.1097/MD.0000000000015388

9.     Sánchez-Torres LJ, Santos-Hernández M. [Tikhoff-Linberg procedure]. Acta Ortop Mex 2009;23(1):35-7. [En español] PMID: 19462772

10.  Trikoupis IG, Mavrodontis II, Papadopoulos DV, Goumenos SD, Georgoulis DA, Gavriil P. 3Dprinted glenoid implant reconstruction, after partial scapulectomy for malignant tumors: a case series. Eur J Orthop Surg Traumatol 2024;34(3):1557-62. https://doi.org/10.1007/s00590-024-03839-4

 

 

R.C. Ruiz ORCID ID: https://orcid.org/0000-0002-3300-0141            

G. Alazraqui ORCID ID: https://orcid.org/0009-0000-0731-289X

R. Chiaramonte ORCID ID: https://orcid.org/0009-0005-2438-4701

ALópez ORCID ID: https://orcid.org/0009-0000-0357-4403

N. de Giuseppe ORCID ID: https://orcid.org/0009-0004-2969-738X

 

Received on June 10th, 2024. Accepted after evaluation on May 1st, 2025 Dr. Antonio Acosta nahuel.acosta@icloud.com https://orcid.org/0009-0004-1602-2471

 

How to cite this article: Acosta A, Ruiz C, Chiaramonte R, di Giuseppe N, Alazraqui G, López A. Treatment of Scapular Chondrosarcoma with a 3D-Printed Implant and Reverse Total Shoulder Arthroplasty: Case Report. Rev Asoc Argent Ortop Traumatol 2025;90(4):353-360. https://doi.org/10.15417/issn.1852-7434.2025.90.4.1987

 

 

Article Info

Identification: https://doi.org/10.15417/issn.1852-7434.2025.90.4.1987   

Published: August, 2025

Conflict of interests: The authors declare no conflicts of interest.

Copyright: © 2025, Revista de la Asociación Argentina de Ortopedia y Traumatología.

License: This article is under Attribution-NonCommertial-ShareAlike 4.0 International Creative Commons License (CC-BY-NC-SA 4.0).