PRESENTACIÓN DE CASOS

 

Tratamiento del condrosarcoma de escápula con un implante impreso en 3D y una prótesis total invertida. Presentación de un caso

 

Antonio Acosta,* Rufino C. Ruiz,** Renzo Chiaramonte,# Nicolás di Giuseppe,# Gabriel Alazraqui,# Alejo López##

*Centro de Cirugía Oncológica Reconstructiva, Clínica Santa Isabel, Ciudad Autónoma de Buenos Aires, Argentina

**Centro de Cirugía Oncológica Reconstructiva, Instituto Dupuytren de Traumatología y Ortopedia, Ciudad Autónoma de Buenos Aires, Argentina

#Centro de Cirugía Oncológica Reconstructiva, Sanatorio de La Trinidad Palermo, Ciudad Autónoma de Buenos Aires, Argentina

##Centro de Cirugía Oncológica Reconstructiva, Galeno-Centro Médico Barrio Norte, Ciudad Autónoma de Buenos Aires, Argentina

 

RESUMEN

Los condrosarcomas son tumores malignos que producen cartílago, y son más comunes en la pelvis, el fémur y el húmero. Su aparición en la escápula es rara. La cirugía es la principal modalidad de tratamiento en los casos no metastásicos. El condrosarcoma escapular tiene mejor pronóstico que el condrosarcoma de la pelvis, ya que la anatomía regional es más favorable para una resección local amplia con margen negativo. Se describe un caso de condrosarcoma en la glena en un hombre de 47 años sometido a resección y reconstrucción con implante impreso en 3D y una prótesis invertida. El motivo de la presentación de este caso es su baja incidencia. El abordaje quirúrgico propuesto que incluye desinserción del deltoides se considera efectivo para lograr una buena exposición durante la resección y proteger las estructuras vasculonerviosas. La reconstrucción del defecto óseo con un implante 3D y una prótesis invertida es un método útil para facilitar la recuperación de la movilidad del hombro y consigue buenos resultados funcionales.

Palabras clave: Tumor óseo; sarcoma; condrosarcoma; tumor de glena, tumor de escápula; biopsia; abordaje; reconstrucción.

Nivel de Evidencia: IV

 

Treatment of Scapular Chondrosarcoma with a 3D-Printed Implant and Reverse Total Shoulder Arthroplasty: Case Report

 

ABSTRACT

Chondrosarcomas are malignant, cartilage-producing tumors most commonly arising in the pelvis, femur, and humerus; involvement of the scapula is rare. Surgery is the primary treatment for nonmetastatic disease. Compared with pelvic chondrosarcoma, scapular lesions generally have a better prognosis because the regional anatomy allows wide local resection with negative margins. We report a case of glenoid chondrosarcoma in a 47-year-old man treated with tumor resection and reconstruction using a 3D-printed implant combined with reverse total shoulder arthroplasty. The rationale for presenting this case is its low incidence. The proposed surgical approach—including deltoid detachment—provided adequate exposure while protecting neurovascular structures. Reconstruction of the osseous defect with a 3D-printed implant and reverse shoulder arthroplasty facilitated recovery of shoulder motion and yielded good functional outcomes.

Keywords: Bone tumor; sarcoma; chondrosarcoma; glenoid tumor; scapular tumor; biopsy; surgical approach; reconstruction.

Level of Evidence: IV

 

INTRODUCCIÓN

Los sarcomas son un grupo poco frecuente de tumores mesenquimales que representan menos del 1% de todos los tipos de cáncer y se originan en los huesos y tejidos blandos.1 Los condrosarcomas son la segunda neoplasia ósea maligna más frecuente después de los osteosarcomas, tienen un comportamiento diverso en función del subtipo histológico. La mayoría de los condrosarcomas son centrales convencionales (75%) o periféricos convencionales (10%) y se subdividen histológicamente en grados I, II y III. La supervivencia a los 10 años según el grado histológico oscila entre el 79% y el 100%, el 53-90% y el 29-55%, respectivamente.2

La edad media de presentación del condrosarcoma es 51 años y más del 70% de los pacientes es mayor de 40 años en el momento del diagnóstico.3

La mayoría (30%) de los tumores aparecen en localizaciones proximales, como la pelvis, el fémur proximal y el húmero proximal. La afectación de la escápula es relativamente poco frecuente. La extirpación quirúrgica es el tratamiento clave del condrosarcoma y el grado histológico es el factor pronóstico crucial.

La extensión de la resección quirúrgica determina el pronóstico y se puede conseguir un buen control tumoral mediante la resección completa del tumor. Los condrosarcomas son menos sensibles a la radiación. La quimioterapia no es muy eficaz, especialmente en el subtipo convencional.4

Se describe una presentación relativamente rara de un condrosarcoma de la escápula en la glena, en un adulto de 47 años que fue sometido a un abordaje no descrito antes, mediante resección y reconstrucción del defecto óseo con una prótesis impresa en 3D de titanio trabecular y una prótesis invertida.

 

CASO CLÍNICO

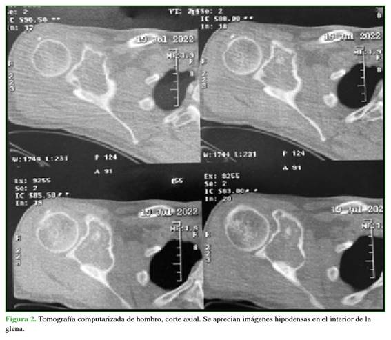
Hombre de 47 años, que consultó por omalgia derecha de un año de evolución. En el examen físico, se detectó dolor e impotencia funcional, con limitación de todos los rangos de movilidad del hombro. Se solicitaron radiografías, una tomografía computarizada (TC) y una resonancia magnética de hombro. Se visualizó una lesión tumoral lobulada, expansiva, que insuflaba corticales, con calcificaciones en su interior (Figura 1). En los cortes sagitales de la TC, se apreciaron imágenes hipodensas en el interior de la glena y, en la resonancia magnética en secuencia en T2, se observó hiperintensidad en la fosa supraespinosa que comprometía los músculos infraespinoso y subescapular (Figura 2).

 

 

 

 

 

 

 

 

También se solicitó un centellograma óseo en el que se observó hipercaptación en la zona de la glena derecha (Figura 3), no se apreció metástasis a distancia en los restantes estudios complementarios.

Se procedió a realizar una biopsia por punción con aguja gruesa guiada por TC para obtener un mayor rédito y una muestra representativa de la lesión5 (Figura 4). La muestra se envió a anatomía patológica y el informe indicó un condrosarcoma grado II.

Teniendo en cuenta la edad del paciente, el compromiso de partes blandas y las expectativas de funcionalidad, en un consenso multidisciplinario, se optó por una resección de la lesión tumoral con márgenes de seguridad y la posterior reconstrucción del defecto óseo con un implante de titanio trabecular impreso en 3D junto con una prótesis invertida.

Para la prótesis impresa en 3D del defecto de la escápula, se obtuvieron imágenes de TC del hombro derecho en cortes de 1 mm, que fueron cargadas en un programa informático para obtener un modelo tridimensional virtual de la escápula derecha y así tener imágenes de la masa tumoral y delimitar los márgenes de seguridad para la posterior resección. Para extirpar el condrosarcoma de forma rápida y precisa, se diseñaron e imprimieron guías de corte con el fin de facilitar la colocación posterior del implante (Figura 5).

 

 

 

 

 

 

 

 

 

 

 

 

Técnica quirúrgica

Se ubicó al paciente en posición de silla de playa. Se realizó un abordaje quirúrgico en el hombro, no descrito en su totalidad en la bibliografía, desde anterior y posterior, en forma de bayoneta con losange de la zona de la punción previa, el cual nos facilitó una buena exposición de los tejidos. Se seccionaron y se resecaron el músculo supraespinoso y partes de los músculos subescapular e infraespinoso, además del paquete supraescapular que se ligó previamente.

Se utilizaron las guías de corte para resecar la masa tumoral y se colocó la prótesis impresa en 3D con parte de apoyo en el acromion para una mayor fijación y estabilidad del componente, a fin de contrarrestar las cargas axiales y mejorar el funcionamiento de la prótesis invertida asociada. Se resecó la masa tumoral con márgenes macroscópicamente libres, se reparó el deltoides con suturas reforzadas y se constató la estabilidad de la prótesis (Figura 6). Se tomaron radiografías de control (Figura 7).

 

 

 

 

 

 

 

 

El paciente usó un cabestrillo por alrededor de 4 semanas, comenzó con los ejercicios pendulares a partir de la segunda semana y continuó con elongación pasiva/activa asistida y ejercicios de fortalecimientos progresivos. En el control a los 30 días de la cirugía, el rango de movilidad precoz era bueno; los siguientes controles fueron a los 2, 4, 6, 12 y 48 meses (Figura 8).

 

 

 

 

 

 

DISCUSIÓN

El condrosarcoma representa el 20-25% de los sarcomas, es la segunda neoplasia maligna más frecuente después del osteosarcoma. Se localiza principalmente en la pelvis y las regiones de los huesos largos, como el fémur y el húmero, y con menos frecuencia, en la escápula.6 El subtipo convencional es la variante más común (80-90%). La edad típica de presentación es la cuarta y quinta década de la vida. Los síntomas y signos que provoca el condrosarcoma de escápula pueden incluir dolor en el área afectada, un bulto o hinchazón visible, limitación del movimiento del hombro. A medida que la enfermedad avanza, el dolor puede intensificarse y pueden aparecer otros cuadros, como debilidad o problemas neurológicos si el tumor presiona estructuras cercanas. Se diagnostica principalmente con radiografías y TC, que muestran características, como destrucción expansiva y osteolítica, masas de tejidos blandos y calcificaciones. La biopsia por punción guiada por TC es esencial para un diagnóstico preciso.7

El condrosarcoma suele ser resistente a la radiación y la quimioterapia, por lo que la escisión quirúrgica amplia es el tratamiento más eficaz.8

La reconstrucción quirúrgica de los tumores escapulares es difícil y la localización en la glena, como en el caso presentado, es más compleja de tratar. Antes de la década de 1970, los tumores malignos en la cintura escapular se trataban con amputación, posteriormente, se utilizó la técnica de Tikhoff-Linberg para salvar extremidades, aunque los resultados fueron variables en cuanto a la función según las estructuras afectadas en la resección.9

Con el advenimiento de nuevas tecnologías, el desarrollo de una prótesis segmentaria impresa en 3D combinada con una prótesis invertida ha hecho posible lograr resultados satisfactorios, como la recuperación funcional del hombro en pacientes de mediana edad.

La reconstrucción con endoprótesis se considera el procedimiento de referencia y proporciona mejores resultados funcionales que otras técnicas reconstructivas, como la resección parcial con aloinjerto o la reconstrucción solo de tejido blando.10

A pesar de los avances, la falta de estudios de alta calidad dificulta evaluar qué métodos reconstructivos producirán los mejores resultados para poder conformar un tratamiento quirúrgico estandarizado de este tipo de tumor en la glena, dada su rareza. Sin embargo, en nuestro caso, el uso de la prótesis impresa en 3D personalizada junto con una prótesis invertida ofrece una opción reconstructiva específica que permite una rápida recuperación de la movilidad. Consideramos que este procedimiento es prometedor para la reconstrucción de defectos óseos complejos después de la extirpación de tumores malignos.

 

CONCLUSIONES

El condrosarcoma de escápula es poco frecuente; además, se han publicado pocos reportes de casos sobre este tumor en la glena, así como también del tipo de tratamiento quirúrgico. Los resultados obtenidos con una impresión 3D de la escápula combinada con una prótesis invertida en un paciente de mediana edad con condrosarcoma grado II fueron satisfactorios, con una buena movilidad funcional y respaldan su consideración en la planificación del tratamiento para este tipo de tumor. En este contexto, dada la falta de resolución quirúrgica estandarizada, creemos que el tipo de abordaje utilizado con la impresión 3D del defecto con apoyo acromial junto a una prótesis invertida ofrece una opción reconstructiva específica y prometedora para el tratamiento de defectos óseos complejos.

 

BIBLIOGRAFÍA

 

1.     Tiwari R, Devnani B, Thirunavukkarasu B, Pareek P, Daga P, Kumar A. multi-modality management of chondrosarcoma of scapula: A case report and review of literature. Cancer Treat Res Commun 2023;35:100710. https://doi.org/10.1016/j.ctarc.2023.100710

2.     MacDonald IJ, Lin C-Y, Kuo S-J, Su C-M, Tang C-H. An update on current and future treatment options for chondrosarcoma. Expert Rev Anticancer Ther 2019;19(9):773-86. https://doi.org/10.1080/14737140.2019.1659731

3.     Gazendam A, Popovic S, Parasu N, Ghert M. Chondrosarcoma: A clinical review. J Clin Med 2023;12(7):2506. https://doi.org/10.3390/jcm12072506

4.     Italiano A, Mir O, Cioff A, Palmerini E, Piperno-Neumann S, Perrin C, et al. Advanced chondrosarcomas: role of chemotherapy and survival. Ann Oncol 2013;24:2916-22. https://doi.org/10.1093/annonc/mdt374

5.     Ortiz Cruz EJ, Peleteiro Pensado M, Barrientos Ruiz I, Pozo Kreilinger JJ, Bernabéu Taboada D, Forriol F. Técnicas de la biopsia correcta en el aparato locomotor. Rev Latinoam Cir Ortop 2016;1(1):26-36. https://doi.org/10.1016/j.rslaot.2016.05.003

6.     Mayil Vahanan N, Mohanlal P, Bose JC, Gangadharan R, Karthisunda V. The functional and oncological results after scapulectomy for scapular tumours: 2-16-year results. Int Orthop 2007;31(6):831-6. https://doi.org/10.1007/s00264-006-0261-1

7.     Kiatisevi P, Thanakit V, Sukunthanak B, Boonthatip M, Bumrungchart S, Witoonchart K. Computed tomography-guided core needle biopsy versus incisional biopsy in diagnosing musculoskeletal lesions. J Orthop Surg (Hong Kong) 2013;21(2):204-8. https://doi.org/10.1177/230949901302100218

8.     Shuai Qiang, Xin-Nan Ma, Hong-Wei Wang, Song-Cen Lv. Scapula chondrosarcoma. A case report. Medicine (Baltimore) 2019;98(17):e15388. https://doi.org/10.1097/MD.0000000000015388

9.     Sánchez-Torres LJ, Santos-Hernández M. [Tikhoff-Linberg procedure]. Acta Ortop Mex 2009;23(1):35-7. [En español] PMID: 19462772

10.  Trikoupis IG, Mavrodontis II, Papadopoulos DV, Goumenos SD, Georgoulis DA, Gavriil P. 3Dprinted glenoid implant reconstruction, after partial scapulectomy for malignant tumors: a case series. Eur J Orthop Surg Traumatol 2024;34(3):1557-62. https://doi.org/10.1007/s00590-024-03839-4

 

 

ORCID de R. C. Ruiz: https://orcid.org/0000-0002-3300-0141            

ORCID de G. Alazraqui: https://orcid.org/0009-0000-0731-289X

ORCID de R. Chiaramonte: https://orcid.org/0009-0005-2438-4701

ORCID de A. López: https://orcid.org/0009-0000-0357-4403

ORCID de N. di Giuseppe: https://orcid.org/0009-0004-2969-738X

 

Recibido el 10-6-2024. Aceptado luego de la evaluación el 1-5-2025 Dr. Antonio Acosta nahuel.acosta@icloud.com https://orcid.org/0009-0004-1602-2471

 

Cómo citar este artículo: Acosta A, Ruiz RC, Chiaramonte R, di Giuseppe N, Alazraqui G, López A. Tratamiento del condrosarcoma de escápula con un implante impreso en 3D y una prótesis total invertida. Presentación de un caso. Rev Asoc Argent Ortop Traumatol 2025;90(4):353-360. https://doi.org/10.15417/issn.1852-7434.2025.90.4.1987


 

 

Información del artículo

Identificación: https://doi.org/10.15417/issn.1852-7434.2025.90.4.1987

Fecha de publicación: Agosto, 2025

Conflicto de intereses: Los autores no declaran conflictos de intereses.

Copyright: © 2025, Revista de la Asociación Argentina de Ortopedia y Traumatología.

Licencia: Este artículo está bajo una Licencia Creative Commons Atribución-No Comercial-Compartir Obras Derivadas Igual 4.0 Internacional. (CC-BY-NC-SA 4.0)