PRESENTACIÓN DE CASOS

 

Osteocondroma cervical y mielopatía en niños: reporte de un caso y revisión de la bibliografía

 

Santiago Aguer, Javier Dal Lago, Matías L. Cullari, Facundo Aguirre, Eduardo Levy, Ruy Lloyd

Servicio de Patología Espinal, Hospital Británico de Buenos Aires, Ciudad Autónoma de Buenos Aires, Argentina

 

RESUMEN

El osteocondroma es el tumor benigno más común del esqueleto. La columna cervical es la ubicación más frecuente para el osteocondroma espinal. Las exostosis espinales surgen, con más frecuencia, de las vértebras cervicales, aparecen típicamente en la lámina. Aunque la mielopatía cervical es un cuadro raro, puede tener serias consecuencias neurológicas. Si se descubren lesiones asintomáticas, se puede considerar la intervención quirúrgica para prevenir el deterioro neurológico. Se detectó incidentalmente un osteocondroma cervical en una paciente de 11 años. Este se originaba en la lámina de C4 y comprimía la médula espinal. La resonancia magnética de columna cervical mostró el osteocondroma en la lámina izquierda de C4 que sobresalía en el canal, lo que reducía su diámetro. La paciente fue sometida a una resección del arco posterior de C4 y a descompresión sin fusión. A los 2 años de la cirugía, no había evidencia de recurrencia local ni síntomas neurológicos.

Palabras clave: Osteocondroma; columna vertebral; exostosis múltiple hereditaria; mielopatía: niños.

Nivel de Evidencia: IV

 

Cervical Osteochondroma and Myelopathy in Children: A Case Report and Literature Review

 

ABSTRACT

Osteochondroma is the most common benign skeletal tumor, with the cervical spine being the most frequent site for spinal osteochondromas. Spinal exostoses typically arise from the lamina of cervical vertebrae. Although rare, cervical myelopathy can occur and may lead to significant neurological consequences. Surgical intervention is often considered for asymptomatic lesions to prevent potential neurological deterioration. We report the case of an 11-year-old patient with an incidentally discovered cervical osteochondroma originating from the left lamina of C4, causing spinal cord compression. Magnetic resonance imaging (MRI) of the cervical spine revealed a lesion protruding into the canal, leading to a reduction in canal diameter. The patient underwent surgical resection of the C4 posterior arch with decompression, performed without fusion. At two years post-surgery, no local recurrence or neurological symptoms were observed.

Keywords: Osteochondroma; spine; hereditary multiple exostoses; myelopathy; children.

Level of Evidence: IV

 

INTRODUCCIÓN

El osteocondroma se destaca como el tumor benigno más común del sistema esquelético. Puede manifestarse de manera independiente o como parte de un síndrome hereditario autosómico dominante conocido como exostosis múltiple hereditaria (EMH). Esta condición afecta, sobre todo, la placa de crecimiento, aparece típicamente durante la adolescencia y su progresión cesa al alcanzar la madurez esquelética. En general, los osteocondromas no provocan síntomas y, rara vez, se malignizan. Se manifiestan predominantemente en la metáfisis de los huesos largos, solo el 1-4% aparece en la columna vertebral. Sin embargo, en casos de EMH, esta tasa aumenta a alrededor del 7-9%.1 Entre los osteocondromas espinales, la columna cervical es el sitio predominante, representan el 50-58% de los casos. Cabe destacar que el 64% de estos casos típicamente involucra los elementos posteriores de la columna. Aunque es infrecuente, el 0,5-1% de los pacientes puede tener síntomas progresivos de mielopatía o radiculopatía, que si no son diagnosticados y tratados pueden llevar a complicaciones severas.2

Se presenta a una paciente de 11 años con EMH y osteocondroma cervical, que fue sometida a una cirugía debido a la compresión de la médula. Además, se proporciona una revisión bibliográfica sobre este tema.

 

CASO CLÍNICO

   Niña de 11 años con diagnóstico de EMH que se atiende en el Servicio de Ortopedia Infantil desde 2010. Tiene múltiples lesiones en ambos brazos y piernas (Figura 1).

 

 

 

 

   Tras ser derivada al Servicio de Patología de Columna Vertebral debido a un hallazgo incidental de osteocondroma cervical en una tomografía computarizada (TC) de rutina, en mayo de 2020, la paciente no tenía síntomas cervicales. El examen neurológico reveló hallazgos normales, con reflejos presentes y signos negativos de Hoffman, clonus y Babinski. En la TC de columna cervical, se visualizó un osteocondroma ubicado en la lámina izquierda de C4, con extensión hacia el canal espinal (Figura 2). Además, se observó un osteocondroma pediculado en la pared posterior de T1, también con extensión hacia el canal espinal, junto con un osteocondroma en el proceso espinoso de C2. La resonancia magnética (RM) subsecuente de columna cervical confirmó la presencia del osteocondroma en la lámina izquierda de C4, que causaba una reducción en el diámetro del canal y tenía una señal hiperintensa en las secuencias en T2 (Figura 3).

 

 

 

 

 

 

 

   Los otros dos osteocondromas espinales detectados en la TC no provocaban un compromiso medular según la RM. Los potenciales evocados subsensitivos de las cuatro extremidades indicaron una disminución en la amplitud. Ante este cuadro clínico, se decidió someterla a una descompresión cervical posterior y la resección del arco posterior de C4 sin instrumentación (Figura 4).

 

 

 

 

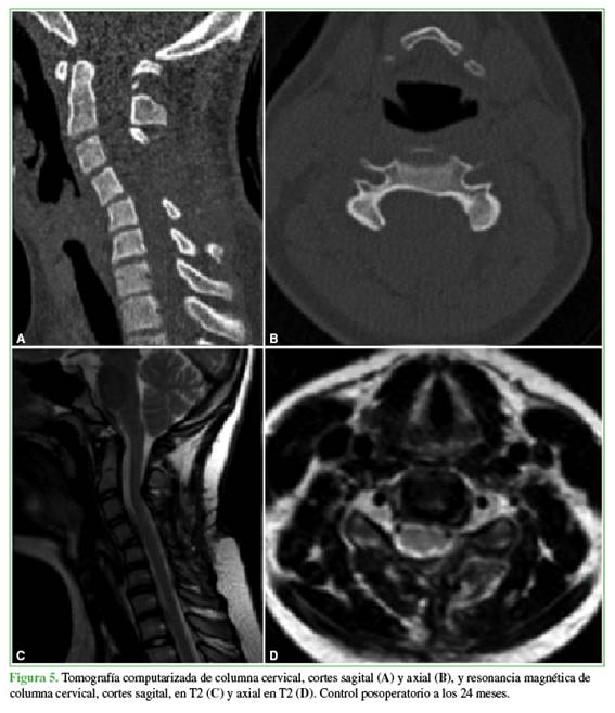
   La paciente no tuvo complicaciones neurológicas y fue dada de alta al tercer día de la cirugía. Se mantuvo la inmovilización con un collar rígido durante 2 meses. El examen patológico confirmó el diagnóstico de osteocondroma. Tres meses después de la cirugía, desarrolló una cifosis local en el segmento C4-C5 que actualmente está en observación. A los 2 años de la intervención, no hay evidencia de recurrencia local en las imágenes de TC y RM (Figura 5).

   Tanto el osteocondroma pediculado de T1 como el hallazgo en el proceso espinoso de C2 no habían cambiado con respecto a las imágenes previas, por lo que se optó por un tratamiento conservador a la fecha.

   En la actualidad, la paciente no sufre dolor y participa activamente en deportes.

 

 

 

 

DISCUSIÓN

   El primer caso documentado de mielopatía asociada con EMH fue publicado por Reid, en 1843.3 En 1907, Ochsner y Rothstein describieron el caso inicial de mielopatía cervical secundaria a EMH, que fue tratado con descompresión.4 Las exostosis espinales comúnmente se originan en las vértebras cervicales, seguidas de las regiones torácica y lumbar. Entre los niveles cervicales, C2 (29%) y C5 (24%) son los más afectados, mientras que, en nuestro caso, el compromiso era de C4 (17%).1,5 Estas exostosis típicamente surgen de la lámina y se extienden hacia afuera, y rara vez, inducen una mielopatía. La incidencia de mielopatía es notablemente baja, oscila entre el 0,5% y el 1% y, por lo general, se manifiesta durante la segunda o tercera década de la vida. La mielopatía asociada con EMH en niños es poco común. Roach y cols. evaluaron a 44 pacientes con EMH sin síntomas neurológicos mediante RM o TC, y observaron que el 38% tenía osteocondromas espinales y el 27% exhibía crecimiento hacia el canal espinal.6 Esto sugiere que la prevalencia de lesiones espinales en individuos con osteocondromatosis es potencialmente más alta que lo reportado. En consecuencia, recomiendan un monitoreo espinal anual con RM para pacientes con EMH, especialmente durante la pubertad. Nuestra paciente ya había sido diagnosticada con osteocondromas múltiples en las extremidades; sin embargo, no se había realizado un monitoreo espinal y el osteocondroma cervical fue un hallazgo incidental en una TC. Cuando las lesiones son asintomáticas, puede justificarse la cirugía para prevenir el deterioro neurológico y las opciones son laminoplastia, laminectomía aislada o laminectomía con artrodesis.7 Durante la cirugía, la ubicación de la lesión, la resección y la estabilidad residual son consideraciones críticas. Se recomienda la resección completa, inclusive la capa cartilaginosa, para minimizar el riesgo de recurrencia asociado con la escisión incompleta.8 La laminectomía es, a menudo, el enfoque preferido, y la necesidad de artrodesis posterior se evalúa caso por caso para prevenir deformidades, como la cifosis cervical.9,10

 

CONCLUSIONES

   Aunque la mielopatía cervical resultante del osteocondroma es rara, puede provocar significativas complicaciones neurológicas en pacientes con osteocondromatosis múltiple. Por lo tanto, se recomienda realizar RM anuales de la columna vertebral para identificar lesiones tempranas. Si la cirugía resulta necesaria, la laminectomía es la técnica preferida, ya sea de forma independiente o en conjunto con fusión posterior.

 

BIBLIOGRAFÍA

 

1.     Kamiya Y, Horii E, Sakai Y, Inoue H. Cervical cord compression in pediatrics with hereditary multiple exostoses: a report of two cases and review of the literature. J Pediatr Orthop B 2016;25(3):267-70. https://doi.org/10.1097/BPB.0000000000000220

2.     Giudicissi-Filho M, de Holanda CV, Borba LA, Rassi-Neto A, Ribeiro CA, de Oliveira JG. Cervical spinal cord compression due to an osteochondroma in hereditary multiple exostosis: case report and review of the literature. Surg Neurol 2006;66 Suppl 3:S7-S11. https://doi.org/10.1016/j.surneu.2006.05.057

3.     Reid J. Case of disease of the spinal cord from an exostosis of the second cervical vertebra. Lond Edinb Mon J Med Sci 1843;3:194-8.

4.     Ochsner EH, Rothstein T. XII. Multiple exostoses, including an exostosis within the spinal canal with surgical and neurological observations. Ann Surg 1907;46(4):608-16. https://doi.org/10.1097/00000658-190710000-00012

5.     Burki V, So A, Aubry-Rozier B. Cervical myelopathy in hereditary multiple exostoses. Joint Bone Spine 2011;78(4):412-4. https://doi.org/10.1016/j.jbspin.2011.02.021

6.     Roach JW, Klatt JW, Faulkner ND. Involvement of the spine in patients with multiple hereditary exostoses. J Bone Joint Surg Am 2009;91(8):1942-8. https://doi.org/10.2106/JBJS.H.00762

7.     Fukushi R, Emori M, Iesato N, Kano M, Yamashita T. Osteochondroma causing cervical spinal cord compression. Skeletal Radiol 2017;46(8):1125-30. https://doi.org/10.1007/s00256-017-2633-6

8.     Fowler J, Takayanagi A, Siddiqi I, Ghanchi H, Siddiqi J, Veeravagu A, et al. Cervical osteochondroma: surgical planning. Spinal Cord Ser Cases 2020;6(1):44. https://doi.org/10.1038/s41394-020-0292-7

9.     Akhaddar A, Zyani M, Rharrassi I. Multiple hereditary exostoses with tetraparesis due to cervical spine osteochondroma. World Neurosurg 2018;116:247-8. https://doi.org/10.1016/j.wneu.2018.05.078

10.  Veeravagu A, Li A, Shuer LM, Desai AM. Cervical Osteochondroma causing myelopathy in adults: Management considerations and literature review. World Neurosurg 2017;97:752.e5-752.e13. https://doi.org/10.1016/j.wneu.2016.10.061

 

 

ORCID de S. Aguer: https://orcid.org/0000-0001-9079-1966              

ORCID de E. Levy: https://orcid.org/0000-0002-9158-8617

ORCID de J. Dal Lago: https://orcid.org/0000-0002-0868-5505

ORCID de R. Lloyd: https://orcid.org/0000-0003-3897-3628

ORCID de F. Aguirre: https://orcid.org/0009-0008-7148-9575

 

Recibido el 4-6-2024. Aceptado luego de la evaluación el 27-7-2024 Dr. Matías L. Cullari matiaslcullari@gmail.com https://orcid.org/0000-0002-6058-6686

 

Cómo citar este artículo: Aguer S, Dal Lago J, Cullari ML, Aguirre F, Levy E, Lloyd R. Osteocondroma cervical y mielopatía en niños: reporte de un caso y revisión de la bibliografía. Rev Asoc Argent Ortop Traumatol 2024;89(6):651-656. https://doi.org/10.15417/issn.1852-7434.2024.89.6.1979

 

 

Información del artículo

Identificación: https://doi.org/10.15417/issn.1852-7434.2024.89.6.1979

Fecha de publicación: Diciembre, 2024

Conflicto de intereses: Los autores no declaran conflictos de intereses.

Copyright: © 2024, Revista de la Asociación Argentina de Ortopedia y Traumatología.

Licencia: Este artículo está bajo una Licencia Creative Commons Atribución-No Comercial-Compartir Obras Derivadas Igual 4.0 Internacional. (CC-BY-NC-SA 4.0)