PRESENTACIÓN DE CASOS

 

Aflojamiento de la artroplastia total de rodilla asociado a sinovitis vellonodular pigmentada. Presentació́n de un caso y revisió́n bibliográfica

 

Tomás Nicolino, Juan Ignacio Pérez Abdala, Ignacio García Mansilla, Juan Astoul Bonorino

Sector Artroscopia y Prótesis de Rodilla, Instituto de Ortopedia y Traumatología “Carlos E. Ottolenghi”, Hospital Italiano de Buenos Aires, Ciudad Autónoma de Buenos Aires, Argentina

 

RESUMEN

Introducción: La sinovitis vellonodular pigmentada en pacientes sometidos a una artroplastia total de rodilla es un cuadro muy raro, de causa poco clara, que puede provocar dolor, hemartrosis o, con menos frecuencia, aflojamiento de la prótesis. Presentamos el caso de un hombre de 54 años sometido a una artroplastia total de rodilla izquierda, que evolucionó con dolor y derrame articular a los tres meses de la operación. En las radiografías, se observaron signos de aflojamiento y, ante la sospecha de infección, se indicó la revisión en dos tiempos al año de la cirugía. Se detectó alteración del tejido sinovial y se procedió a la sinovectomía radical durante el primer tiempo quirúrgico. El análisis histopatológico confirmó una sinovitis vellonodular pigmentada. A los tres años de la cirugía, la recuperación funcional y clínica era satisfactoria, sin recurrencias. Conclusión: Es esencial sospechar una sinovitis vellonodular pigmentada como alternativa diagnóstica en casos de dolor y hemartrosis, para llegar a un diagnóstico precoz y brindar un tratamiento apropiado.

Palabras clave: Sinovitis vellonodular pigmentada; artroplastia total de rodilla; revisión de artroplastia total de rodilla; hemartrosis.

Nivel de Evidencia: IV

 

Loosening of Total Knee Arthroplasty Associated with Pigmented Villonodular Synovitis. Case Presentation and Literature Review

 

ABSTRACT

Introduction: Pigmented villonodular synovitis (PVNS) in patients with total knee arthroplasty (TKA) is a rare condition with an unclear etiology that can cause pain, hemarthrosis, or, less commonly, prosthetic loosening. We present the case of a 54-year-old male patient with a left TKA who developed pain and joint effusion three months postoperatively. Radiographs showed signs of loosening, and due to suspicion of infection, a two-stage revision surgery was performed one year after the initial procedure. Pathological synovial tissue was identified, and a radical synovectomy was carried out during the first stage of revision. Histopathological analysis confirmed PVNS. At three years postoperatively, the patient exhibited satisfactory functional recovery with no signs of recurrence. Conclusion: Considering PVNS as a differential diagnosis in cases of postoperative pain and hemarthrosis is crucial for early diagnosis and appropriate treatment.

Keywords: Pigmented villonodular synovitis; total knee arthroplasty; revision total knee arthroplasty; hemarthrosis.

Level of Evidence: IV

 

INTRODUCCIÓN

  La sinovitis vellonodular pigmentada (SVNP) es una enfermedad descrita por Chassignac, en 1852, como una lesión nodular en la vaina de un tendó́n flexor de la mano.1 En 1864, se describió su forma localizada en la rodilla2. Se trata de una enfermedad benigna del tejido sinovial, de baja incidencia y con capacidad de agresió́n local, de localizació́n extra o intrarticular, esta última se puede dividir en localizada o difusa.1,2 La rodilla es la articulació́n afectada con más frecuencia, seguida de la cadera, el tobillo y el hombro.1 La verdadera etiología es desconocida, aunque se postulan como causas la inflamació́n cró́nica sinovial por microtraumatismos, la hemartrosis recurrente o los cambios metabó́licos.1 En los últimos años, creció́ el interés sobre su origen como un proceso neoplásico.1,3 En estudios genéticos, se han identificado translocaciones cromosó́micas que aumentan la expresió́n de citocinas incrementando la proliferació́n y diferenciació́n de células que componen la SVNP, como macró́fagos y otras células gigantes multinucleadas, que sintetizan moléculas que pueden destruir los tejidos.1 La presentació́n clínica típica es dolor, derrame articular y, con menos frecuencia, rigidez o tumoració́n palpable.1,2 La resonancia magnética es el estudio de elecció́n y el diagnó́stico requiere la confirmació́n mediante un análisis histopatoló́gico cuyos resultados indican hiperplasia sinovial papilar compuesta de células gigantes multinucleadas y mononucleadas similares a histiocitos con depó́sitos de hemosiderina.1,3 El tratamiento varía según la forma, las manifestaciones clínicas y la evolució́n, pero habitualmente se indica sinovectomía abierta o artroscó́pica que puede complementarse con radioterapia o terapias bioló́gicas que bloquean la señalizació́n celular.1

  En pacientes con reemplazos articulares, es posible detectar sinovitis cró́nica por reacció́n a partículas de polímero del polietileno, cemento, metal, cerámica o corrosió́n, que se asemejan a la SVNP.3-5 Sin embargo, la SVNP que se manifiesta luego de una artroplastia total de rodilla (ATR) es un cuadro muy raro y la causa no está clara.6-9 Hay numerosas hipó́tesis, algunas sostienen que la aparició́n de la SVNP tiene un origen espontáneo sin relació́n con el reemplazo de pró́tesis, con el mismo riesgo que una rodilla nativa; otras, que un estímulo irritativo sería la causa de la sinovitis cró́nica asociada a hemorragia recurrente, ocasionando depó́sitos de hemosiderina.6,7,9-11

  En estos pacientes, la SVNP puede manifestarse en un espectro clínico de dolor, hemartrosis o como aflojamiento de la pró́tesis. El tratamiento sugerido es la sinovectomía radical para minimizar el riesgo de recurrencia.6-8

  La evidencia sobre SVNP en pacientes con ATR es escasa y son todos reportes de casos. Presentamos a un paciente con aflojamiento temprano de la pró́tesis tras una ATR debido a una SVNP y una revisió́n bibliográfica al respecto.

 

CASO CLÍNICO

  Hombre de 54 años de edad que había sido sometido a una ATR derecha un año atrás, y requirió́ movilizació́n bajo anestesia al mes de la cirugía, en nuestro Centro. Consultó́ inicialmente por gonalgia izquierda severa que lo incapacitaba para sus actividades cotidianas, y que no había respondido al tratamiento conservador durante seis meses. En el examen físico, se observó́ un rango de movilidad de 0° a 100°, sin inestabilidad coronal ni sagital. El dolor preoperatorio según la escala analó́gica visual era 9/10 y el Knee Society Score preoperatorio, 44/60.12 En las radiografías de rodilla de frente y de perfil, se diagnosticó́ genu varo artró́sico (Figura 1).

  Se realizó́ una ATR izquierda por un abordaje anterior tradicional con artrotomía pararrotuliana medial. No se observaron alteraciones macroscó́picas del tejido sinovial por lo que no fue resecado. Se utilizó́ un diseño de pró́tesis cementada con estabilizació́n posterior, sin reemplazar la ró́tula (FHK®, FH ORTHO, Francia). Se logró́ una adecuada alineació́n y una rodilla estable en extensió́n, flexió́n y media flexió́n (Figura 2).

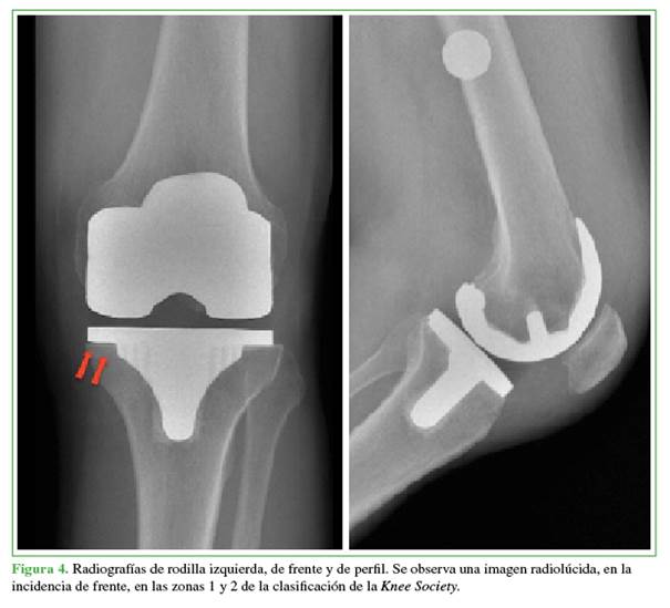
  A los tres meses de la cirugía, el paciente tenía dolor en reposo y durante la actividad, derrame articular recurrente, una masa ocupante en el receso subcuadricipital y flexió́n limitada a 90° (Figura 3). La herida estaba cicatrizada, sin eritema ni aumento de temperatura y no se detectó́ inestabilidad en los planos coronal y sagital. Como el tratamiento con analgésicos y kinesiología no tuvo éxito, a los seis meses de la operació́n, se realizó́ una artrocentesis, se obtuvo un líquido hemorrágico, sin aislamiento de germen. A los siete meses de la intervenció́n, en la radiografía de frente, de control, se observó́ una imagen radiolúcida en las zonas 1-2 de la clasificació́n de la Knee Society, sugestivas de aflojamiento temprano de la pró́tesis13 (Figura 4).

  Posteriormente, el paciente presentó́ registros subfebriles intermitentes de 37,5° C y los análisis de laboratorio indicaron un aumento de reactantes de fase aguda: velocidad de sedimentació́n globular 35 mm/h (valor normal: 2-20) y proteína C reactiva 22 mg/l (valor normal: <7). Considerando el dolor mecánico, el derrame articular y el registro subfebril, junto con la imagen radiolúcida y la alteració́n de los parámetros infecciosos, se interpretó́ el cuadro como un posible aflojamiento séptico y se optó́ por una cirugía de revisió́n en dos tiempos. El primer tiempo quirúrgico se realizó́ al año de la cirugía inicial. Se observó́ tejido sinovial hipertró́fico, hiperémico y de pigmentació́n amarronada (Figura 5). Se extrajeron ambos componentes protésicos, que estaban flojos, y se pudo ver que no había signos de desgaste del polietileno ni del material de la pró́tesis. Con una mejor exposició́n, se continuó́ con una sinovectomía radical y se tomaron múltiples muestras de hueso, tejido periprotésico e interfaz para cultivo y análisis histopatoló́gico. Se colocó́ un espaciador articulado hecho a mano, compuesto de cemento cargado con antibió́ticos, tobramicina y vancomicina. En los cultivos, se aisló́ Staphylococcus epidermidis en una sola muestra de las múltiples que se tomaron. A pesar de este hallazgo, junto con los médicos de Infectología, se administró́ un tratamiento antibió́tico según el protocolo de infecció́n periprotésica. A las tres semanas de la cirugía, el resultado del estudio anatomopatoló́gico reveló́ una SVNP (Figura 6).

 

 

 

 

 

 

 

 

 

 

 

 

 

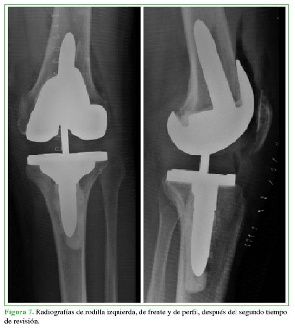
  El paciente continuó́ el tratamiento antibió́tico por siete semanas y, a la semana 10, ante la buena evolució́n clínica y el descenso de los parámetros infecciosos, se decidió́ realizar el segundo tiempo de la revisió́n. No se observaron cambios patoló́gicos en el tejido periprotésico, algo que fue confirmado mediante el análisis histopatoló́gico. Se extrajo el espaciador y se implantó́ una pró́tesis de revisió́n cementada con liner constreñido y vástagos (Triathlon®, Stryker, EE.UU.) tanto en el fémur como en la tibia (Figura 7).

 

 

 

 

  El paciente tuvo una evolució́n satisfactoria, y retomó́ sus actividades cotidianas sin dolor. A los tres años de seguimiento, tiene una ligera tumefacció́n cró́nica en el receso subcuadricipital que no causa dolor, un rango de movilidad de 0° a 110°, dolor de 2/10 según la escala analó́gica visual y un Knee Society Score de 92/90. En las radiografías, no se observan signos de aflojamiento.

 

DISCUSIÓN

  La SVNP en nuestro paciente con ATR se manifestó́ clínicamente con dolor y derrame articular recurrente a los tres meses de la cirugía y, en las radiografías, se observó́ una nueva imagen radiolúcida alrededor de la base tibial, cuadro que se interpretó́ como aflojamiento. Al año de la cirugía inicial, fue sometido a una sinovectomía radical y revisió́n en dos tiempos por sospecha de aflojamiento séptico, y el análisis histoló́gico confirmó́ el diagnó́stico de SVNP.

  Hasta donde conocemos, las publicaciones sobre SVNP en pacientes con reemplazo de rodilla son reportes de caso. Las hipó́tesis sobre la aparició́n de la SVNP en pacientes con reemplazo articular son variadas. Algunos apoyan la idea de que su aparició́n es espontánea, sin influencia de la ATR; otros sostienen que el trauma de la cirugía puede predisponer a la aparició́n de la SVNP.10,11,14 La hipó́tesis con más aceptació́n, aunque discutible, es una base de sinovitis cró́nica, por reacció́n inflamatoria, inmunoló́gica o tó́xica, sumada a hemorragias recurrentes por microtraumatismos causados por la fricció́n en tejidos blandos debido a inestabilidad clínica o subclínica, mal posicionamiento de los implantes o implantes sobredimensionados.6-8,15

  En 2004, en Alemania, se estableció́ un consenso de clasificació́n de la membrana periprotésica y neosinovial (anteriormente llamada “membrana de interfaz similar a la sinovial”), que clasifica la etiología de las fallas de implantes asépticos y sépticos mediante criterios histopatoló́gicos fácilmente reproducibles.16 La clasificació́n ha ganado reconocimiento internacional y fue ampliando los tipos de membrana identificados con sucesivas modificaciones hasta la conocida en la actualidad, que se muestra en la Tabla 1.4

 

 

 

 

  El tejido periprotésico más común identificado es aquel inducido por partículas, tipo I, caracterizado por hiperplasia sinovial con macró́fagos y células multinucleadas cargadas de partículas de polímero de polietileno, cemento, metal o de corrosió́n, con variables infiltrados linfocitarios y necrosis inducida por estas partículas.4 Otro tipo de neosinovial descrita es la membrana símil SVNP, que se caracteriza por contener partículas de desgaste, arquitectura histoló́gica vellonodular, células multinucleadas gigantes por reacció́n a cuerpo extraño y depó́sito mínimo o nulo de hemosiderina.3 Por otro lado, la membrana de la SVNP, además de la arquitectura histoló́gica vellonodular y la composició́n de células multinucleadas gigantes, mononucleadas y un estroma de fibroblastos, carece de partículas de desgaste y tiene depó́sitos claros de hemosiderina.3,6,7 A pesar de las claras diferencias histopatoló́gicas entre estas membranas, todas son membranas sinoviales enfermas que clínicamente pueden ser indistinguibles entre sí, y que provocan dolor, derrame articular y limitan la movilidad.5,6,17 A su vez, también pueden causar aflojamiento aséptico debido a la activació́n de macró́fagos con liberació́n de citocinas proinflamatorias que estimulan osteoclastos y otras células inflamatorias. La importancia de distinguir entre estas membranas radica en el riesgo de recurrencia que puede alcanzar un 50% en los casos de SVNP, mientras que, en los otros tipos, se controla más fácilmente al retirar los estímulos que la originaron.1,18

  Los casos publicados comparten algunas características con el nuestro. En todos, se afirma que la sinovial tenía características benignas durante la cirugía índice de reemplazo articular total o unicompartimental, lo que respalda el desarrollo ulterior de la SVNP.6-11,15,17,18 Las manifestaciones clínicas fueron similares: dolor de meses de evolució́n, de inicio insidioso, que se asoció́ a derrame articular, limitació́n de la movilidad y, a veces, palpació́n de tumoració́n.6,7,11 Sin embargo, a diferencia de nuestro caso que comenzó́ con sintomatología a los tres meses de la operació́n, las manifestaciones clínicas de los pacientes reportados comenzaron entre el año y medio y los nueve años del seguimiento posoperatorio. Muchos pacientes, al igual que el nuestro, fueron evaluados por sospecha de infecció́n periprotésica, fueron sometidos a artrocentesis y toma de líquido hemorrágico sin aislamiento de germen.6,9,10 Por mala respuesta al tratamiento conservador, todos fueron operados, algunos fueron sometidos a artroscopia y otros, a cirugía abierta, y se constató́ un tejido sinovial hipertró́fico irregular localizado o difuso de color marró́n o amarillento que fue resecado y, en algunos casos, se efectuó́ una revisió́n de los componentes según el diagnó́stico preoperatorio y los hallazgos intraoperatorios de aflojamiento o sospecha de infecció́n.6,7,9,17,18 Lo llamativo de casi todos los casos es que no se observó́ desgaste del polietileno, lo que apoya el concepto previo de que la membrana de la SVNP no tiene depó́sitos de partículas de desgaste en el estudio histoló́gico.6,8,9,11,15 El diagnó́stico siempre se confirmó́ con el análisis histopatoló́gico y no hubo recurrencias, aunque los tiempos de seguimiento fueron muy variables. Los hallazgos más relevantes de los casos publicados se resumen en la Tabla 2.

 

 

 

 

  Lo que preocupa de la SVNP es la recurrencia, que puede tener una forma más agresiva; y las complicaciones del tratamiento en pacientes con reemplazo articular. La tasa de recurrencia de la SVNP en una rodilla nativa depende de su forma difusa o localizada, y oscila entre el 8-30% y el 18-60%, respectivamente.1,18 Para evitar la recurrencia es fundamental efectuar una sinovectomía completa que puede complementarse con radioterapia y nuevas terapias bioló́gicas si hubo una recurrencia previa o el riesgo de que ocurra es alto.1,7 Nuestro caso fue tratado con una sinovectomía radical con revisió́n en dos tiempos por sospecha de aflojamiento séptico temprano, y no hubo recurrencias durante los tres años de seguimiento.

  Camp y cols. efectuaron una revisió́n en un tiempo por inestabilidad y aflojamiento aséptico, adicionando una sinovectomía radical y patelectomía parcial con reinserció́n del tendó́n cuadricipital por una seudoartrosis rotuliana previa.7 Estos autores enfatizan que la revisió́n de los componentes permite una sinovectomía más radical. Sin embargo, algunos realizaron una sinovectomía artroscó́pica y lograron un buen control de la enfermedad.9,11,17

  Por la pobre evidencia encontrada, los estudios publicados sobre el tratamiento de la SVNP tratada con ATR pueden contribuir a entender el manejo de casos como el nuestro. La indicació́n de ATR en estos pacientes busca controlar la enfermedad en casos severos o de recurrencia y recuperar la funció́n perdida por los daños articulares provocados.19,20 El objetivo de la cirugía es resecar todo el tejido sinovial alterado que puede estar adherido a ligamentos o tendones, lo que lleva a necesitar pró́tesis de mayor constricció́n.21 Algunos indican radioterapia o terapias bioló́gicas para evitar la recurrencia, que es del 11-13% en un promedio de seis años de seguimiento.20 Desde el punto de vista clínico y funcional, los pacientes mejoran notablemente después de la cirugía, aunque tienen un riesgo más alto de rigidez, infecció́n y algunos autores comunican un mayor riesgo de aflojamiento aséptico.22

  Pese a describir un solo caso, creemos que es fundamental ser conscientes de la existencia de la SVNP en pacientes con ATR. Hay que sospecharla siempre ante un paciente con dolor asociado a derrame articular recurrente, y es esencial distinguirla de infecciones de baja virulencia. Por lo tanto, recomendamos estudiar estos casos con radiografía y artrocentesis. Se pueden observar signos de osteó́lisis y líquido sinovial hemorrágico sin aislamiento de gérmenes. Si persisten dudas diagnó́sticas, se puede realizar una resonancia magnética usando una secuencia de sustracció́n de artefacto metálico, que puede mostrar sinovitis de señal hipointensa. Una alternativa es la artroscopia diagnó́stica que permite tomar muestras y desbridar todo el tejido sinovial patoló́gico. Sin embargo, cuando hay aflojamiento o sospecha de infecció́n, se recomienda una revisió́n con sinovectomía radical en el mismo acto quirúrgico.

 

CONCLUSIÓN

  La SVNP en pacientes con ATR es un cuadro muy raro, de causa poco clara, que altera la funció́n y satisfacció́n del paciente. Es esencial sospecharla como alternativa diagnó́stica en casos de dolor y hemartrosis para llegar a un diagnó́stico precoz y proporcionar un tratamiento apropiado.

 

Agradecimiento

Al Dr. Carlos María Autorino por su aporte de experiencia en la discusió́n del caso presentado.

 

BIBLIOGRAFÍA

 

1.     Stephan SR, Shallop B, Lackman R, Kim TWB, Mulcahey MK. Pigmented villonodular synovitis: A comprehensive review and proposed treatment algorithm. JBJS Rev 2016;4(7):e3. https://doi.org/10.2106/JBJS.RVW.15.00086

2.  Makino A, Múscolo DL, Costa Paz M, Ayerza M. Sinovitis vellonodular pigmentada localizada de rodilla: diagnó́stico con resonancia magnética y su tratamiento artroscó́pico. Rev Asoc Argent Ortop Traumatol 1997;62(2):257-63. Disponible en: https://aaot.org.ar/revista/1993_2002/1997/1997_2/620214.pdf

3.  Söder S, Sesselmann S, Aigner T , Oehler S, Agaimy A. Tenosynovial giant cell tumour (pigmented villonodular synovitis-)-like changes in periprosthetic interface membranes. Virchows Arch 2016;468(2):231-8. https://doi.org/10.1007/s00428-015-1874-9

4.     Krenn V, Morawietz L, Perino G, Kienapfel H, Ascherl R, Hassenpflug GJ, et al. Revised histopathological consensus classification of joint implant related pathology. Pathol Res Pract 2014;210(12):779-86. https://doi,org/10.1016/j.prp.2014.09.017

5.     Tosun HB, Uludağ A, Serbest S, Gümüştaş S, Erdoğdu IH. A rare case of extensive diffuse nonpigmented villonodular synovitis as a cause of total knee arthroplasty failure. Int J Surg Case Rep 2014;5(7):419-23. https://doi.org/10.1016/j.ijscr.2014.04.031

6.     Kia C, O’Brien DF, Ziegler C, Pacheco R, Forouhar F, Williams V. An unusual case of pigmented villonodular synovitis after total knee arthroplasty presenting with recurrent hemarthrosis. Arthroplast Today 2018;4(4):426-30. https://doi.org/10.1016/j.artd.2018.06.006

7.     Camp CL, Yuan BJ, Wood AJ, Lewallen DG. Pigmented villonodular synovitis diagnosed during revision total knee arthroplasty for flexion instability and patellar fracture. Knee 2016;23(2):338-41. https://doi.org/10.1016/j.knee.2015.11.007

8.     Chung BJ, Park YB. Pigmented villonodular synovitis after TKA associated with tibial component loosening. Orthopedics 2011;34(8):e418-e420. https://doi.org/10.3928/01477447-20110627-27

9.     Oni JK, Cavallo RJ. A rare case of diffuse pigmented villonodular synovitis after total knee arthroplasty. J Arthroplasty 2011;26(6):978.e9-978.e11. https://doi.org/10.1016/j.arth.2010.11.006

10.  Ballard WT, Clark CR, Callaghan JJ. Recurrent spontaneous hemarthrosis nine years after a total knee arthroplasty. A presentation with pigmented villonodular synovitis. J Bone Joint Surg Am 1993;75(5):764-7. https://doi.org/10.2106/00004623-199305000-00018

11.  Bunting D, Kampa R, Pattison R. An unusual case of pigmented villonodular synovitis after total knee arthroplasty. J Arthroplasty 2007;22(8):1229-31. https://doi.org/10.1016/j.arth.2006.11.022

12.  Insall JN, Dorr LD, Scott RD, Scott WN. Rationale of the Knee Society clinical rating system. Clin Orthop Relat Res 1989;(248):13-4. PMID: 2805470

13.  Ewald FC. The Knee Society total knee arthroplasty roentgenographic evaluation and scoring system. Clin Orthop Relat Res 1989;(248):9-12. PMID: 2805470

14.  Ma XM, Xia CY, Fu PL, Liu HM, Yu HY, He J. Unusual cases of pigmented villonodular synovitis after arthroplasty. Int J Clin Exp Med 2014;7(4):1150-4. PMID: 24955198

15.  Onodera T, Tanji H, Majima T, Kamishima T, Minami A. An unusual case of pigmented villonodular synovitis after unicompartmental knee arthroplasty. Int J Case Rep Images 2012;3(9):9-12. https://doi.org/10.5348/ijcri2012­09­173­CR

16.  Morawietz L, Gehrke T, Classen RA, Barden B, Otto M, Hansen T, et al. Vorschlag für eine Konsensus-Klassifikation der periprothetischen Membran gelockerter Hüft- und Knieendoprothesen [Proposal for the classification of the periprosthetic membrane from loosened hip and knee endoprostheses]. Der Pathologe 2004;25(5):375-84. https://doi.org/10.1007/s00292-004-0710-9

17.  Mohanlal P, Pillai D, Jain S. A rare case of pigmented villonodular synovitis after unicompartmental knee replacement: a case report. Cases J 2009;2:9076. https://doi.org/10.1186/1757-1626-2-9076

18.  Zhang Y, Joyce M, Schils J, Bauer TW. Coexisting sarcoidal granulomatous inflammation and diffuse tenosynovial giant cell tumor of the knee after a total knee replacement: a case report. Skeletal Radiol 2016;45(12):1735-40. https://doi.org/10.1007/s00256-016-2492-6

19.  Tan YC, Tan JY, Tsitskaris K. Systematic review: total knee arthroplasty (TKA) in patients with pigmented villonodular synovitis (PVNS). Knee Surg Relat Res 2021;33(1):6. https://doi.org/10.1186/s43019-021-00088-1

20.  Panciera A, Colangelo A, Di Martino A, Ferri R, Bulzacki Bogucki BD, Cecchin D, et al. Total knee arthroplasty in pigmented villonodular synovitis osteoarthritis: a systematic review of literature. Musculoskelet Surg 2024;108(2):145-52. https://doi.org/10.1007/s12306-023-00793-y

21.  Lin W, Dai Y, Niu J, Yang G, Li M, Wang F. Pigmented villonodular synovitis does not influence the outcomes following cruciate-retaining total knee arthroplasty: a case-control study with minimum 5-year follow-up. J Orthop Surg Res 2020;15(1):388. https://doi.org/10.1186/s13018-020-01933-x

22.  Casp AJ, Browne JA, Durig NE, Werner BC. Complications after total knee arthroplasty in patients with pigmented villonodular synovitis. J Arthroplasty 2019;34(1):36-9. https://doi.org/10.1016/j.arth.2018.08.041

 

 

ORCID de T. Nicolino: https://orcid.org/0000-0002-9550-3713

ORCID de J. Astoul Bonorino: https://orcid.org/0000-0001-6798-8242

ORCID de I. García Mansilla: https://orcid.org/0000-0002-7247-3734

 

Recibido el 20-5-2024. Aceptado luego de la evaluación el 14-7-2024 Dr. Juan Ignacio Pérez Abdala ignacio.perez@hospitalitaliano.org.ar https://orcid.org/0000-0002-5398-6876

 

Cómo citar este artículo: Nicolino T, Pérez Abdala JI, García Mansilla I, Astoul Bonorino J. Aflojamiento de la artroplastia total de rodilla asociado a sinovitis vellonodular pigmentada. Presentación de un caso y revisión bibliográfica. Rev Asoc Argent Ortop Traumatol 2024;89(5):528-537. https://doi.org/10.15417/issn.1852-7434.2024.89.5.1964

 

 

Información del artículo

Identificación: https://doi.org/10.15417/issn.1852-7434.2024.89.5.1964

Fecha de publicación: Octubre, 2024

Conflicto de intereses: Los autores no declaran conflictos de intereses.

Copyright: © 2024, Revista de la Asociación Argentina de Ortopedia y Traumatología.

Licencia: Este artículo está bajo una Licencia Creative Commons Atribución-No Comercial-Compartir Obras Derivadas Igual 4.0 Internacional. (CC-BY-NC-SA 4.0)