PRESENTACIÓN DE CASOS

 

Refractura de la tuberosidad tibial anterior en un adolescente luego del tratamiento quirúrgico. Presentación de un caso y revisión bibliográfica

 

Cristina Jiménez Nava, Araceli Mena Roson, Miguel Ángel Plasencia Arriba

Servicio de Traumatología y Cirugía Ortopédica. Hospital Universitario Príncipe de Asturias, Alcalá de Henares, Madrid, España

 

RESUMEN

La refractura de la tuberosidad tibial anterior en adolescentes es una complicación infrecuente y poco descrita en la bibliografía, más aún tras un tratamiento quirúrgico. Presentamos el caso de un adolescente que sufrió una fractura de la tuberosidad tibial anterior y fue operado en nuestro centro. A los 4 meses, tuvo una recidiva después de practicar deportes. Fue sometido a una nueva intervención y los resultados han sido buenos. Aunque la refractura es una complicación rara, es importante tenerla en cuenta y saber abordarla de forma adecuada. Es necesario llevar a cabo más estudios para dilucidar los factores de riesgo que puedan influir en esta complicación.

Palabras clave: Refractura; tuberosidad tibial anterior; cirugía; adolescente.

Nivel de Evidencia: IV

 

Anterior Tibial Tuberosity Refracture in an Adolescent After Surgical Treatment. Case Report and Literature Review

 

ABSTRACT

Refracture of the anterior tibial tuberosity in adolescents is a rare complication, particularly following surgical treatment, and has been scarcely reported in the literature. We present the case of an adolescent who sustained an anterior tibial tuberosity fracture, underwent surgical treatment at our center, and experienced a refracture four months later while playing sports. The patient under-went a second surgical procedure, which yielded favorable results. Although refracture is an uncommon complication, it is essential to recognize its possibility and to be prepared to manage it effectively. Further studies are required to identify the risk factors that may contribute to its occurrence.

Keywords: Refracture; anterior tibial tuberosity; surgery; adolescent.

Level of Evidence: IV

 

INTRODUCCIÓN

   Las fracturas de la tuberosidad tibial anterior (TTA) son lesiones poco frecuentes que constituyen menos del 1% de las fracturas fisarias y menos del 3% de las fracturas pediátricas, aunque su incidencia está aumentando.1,2 Son 10 veces más frecuentes en los varones, y ocurren especialmente en la adolescencia (12-14 años), cerca de la madurez esquelética.3,4

   La clasificación más usada es la de Ogden, y el tratamiento depende del patrón de fractura. En general, los tipos IA, IB y IIA de Ogden suelen tratarse de forma conservadora y el resto, con cirugía.4,5

   Las complicaciones se han descrito extensamente en la bibliografía, sobre todo el síndrome compartimental. Sin embargo, existen escasos artículos sobre refracturas, especialmente tras un tratamiento quirúrgico.

   El objetivo de este artículo es presentar un caso de recidiva de una fractura de la TTA después de un tratamiento quirúrgico, y una revisión bibliográfica del tema.

 

CASO CLÍNICO

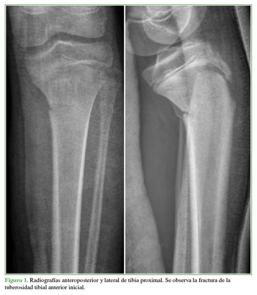
   Varón de 14 años que acudió tras una caída con la rodilla en flexión jugando al fútbol, tenía derrame articular, flexo y deformidad en varo de la rodilla. En las radiografías, se visualizó una fractura compleja de la TTA tipo IVB de Ogden (Figura 1).

 

 

 

 

 

 

 

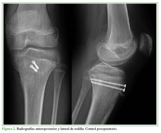
   El paciente fue operado de urgencia y se lo sometió a reducción cerrada y osteosíntesis con dos tornillos percutáneos canulados de rosca parcial, de 3,5 mm de diámetro (Figura 2). El posoperatorio inmediato transcurrió sin incidencias. Se le permitió la carga parcial desde el inicio, con ortesis en extensión y flexión gradual desde 0° hasta 90º a partir de la tercera semana, junto con ejercicios de fortalecimiento cuadricipital progresivo asistido por un fisioterapeuta. A las 12 semanas, se autorizó la reincorporación a la actividad deportiva.

 

 

 

 

 

 

 

   A los 4 meses, acudió nuevamente por dolor e impotencia funcional en la rodilla izquierda tras una hiperextensión. Tenía derrame articular, rótula ascendida y dolor en la TTA. En la radiografía, se observaba una fractura-arrancamiento de la TTA tipo IIB de Ogden. En una tomografía computarizada, se descartó el compromiso intrarticular y se confirmó la consolidación del trazo posterior de la fractura inicial (Figuras 3 y 4).

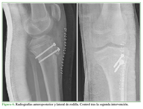
   Mediante un abordaje anterior, se extrajo el material de osteosíntesis y se realizó una osteosutura del fragmento óseo de la TTA con una sutura trenzada de poliéster no absorbible (Orthocord®, Johnson & Johnson, Madrid, España). Se crearon dos túneles perpendiculares en la tibia por los que se pasaron las suturas. A continuación, se redujo la fractura y se fijó con dos tornillos canulados de rosca parcial de 4,5 mm, bicorticales. Luego se anudaron las suturas. Para finalizar, se realizó un reanclaje del tendón rotuliano con una sutura tipo Krackow con 2 Ethibond® (Johnson & Johnson, Madrid, España) n 5 a través de dos túneles en la tibia y anudado a 30º de flexión (Figuras 5 y 6).

 

 

 

 

 

 

 

 

 

 

 

 

   El posoperatorio inmediato transcurrió sin complicaciones. Se mantuvo la inmovilización a 15º de flexión, por 3 semanas y la descarga. Después, se permitió iniciar la carga y la flexión progresivas con ortesis articulada hasta llegar a 90º en 3 semanas más.

   Cuatro meses después, el paciente tenía un rango de movilidad completo, sin dolor, y la carga era total (Figura 7). A los 6 meses, retomó su actividad física habitual y no refirió ninguna limitación para ello.

 

 

 

 

 

DISCUSIÓN

   El centro de osificación secundario de la epífisis proximal de la tibia se desarrolla en los primeros días de vida. La TTA tiene un centro de osificación separado y suele aparecer entre los 7 y 12 años.6 Estos centros de osificación tienen diferentes funciones: el primero proporciona crecimiento y forma; mientras que el segundo es el sitio de inserción del tendón rotuliano. Su fusión tiene un patrón de orden establecido, lo último en cerrarse es la TTA, en torno a los 14 años en las niñas y los 16 años en los niños.3

   Las fracturas de la TTA, por lo general, se producen en un contexto deportivo, especialmente con salto, ya que los mecanismos de la lesión más frecuentes son dos: contracción del cuádriceps con la rodilla extendida (en el ápex del salto) o flexión pasiva rápida con el cuádriceps contraído (al aterrizar).5 La fisis proximal de la tibia comienza a fusionarse desde posterior hacia anterior; por lo tanto, el patrón de fractura depende de la madurez esquelética alcanzada y de los grados de flexión de la rodilla en el traumatismo. En general, afecta la TTA junto con la epífisis proximal cuando se produce a más de 30º de flexión (Figuras 8 y 9).7,8

   Las fracturas de la TTA, a pesar de ser raras, cada vez, son más frecuentes. Se han descrito, sobre todo, en el caso de las fracturas con componente fisario o metafisario posterior, ya que el tipo IV no fue descrito hasta 1985, por Ryu y Debenham, y el tipo V, en 2003, por McKoy y Stanitski;9 por lo que antes se las englobaba en las fracturas de la tibia proximal y se las clasificadas según Salter y Harris.10

 

 

 

 

 

 

   La primera clasificación fue descrita por Watson-Jones, en 1976,11 aunque la más utilizada es la publicada por Ogden, en 1980,12 a la que Ryu y Debenham, y McKoy y Stanitski añadieron los tipos IV y V, respectivamente (Figura 10).9,13

 

 

 

 

 

   Se han descrito numerosas lesiones asociadas, como compromiso del ligamento cruzado anterior, avulsión del tendón cuadricipital y rotuliano (2%) o lesiones meniscales (2%).2,10,14,15 Pero la lesión más importante es el síndrome compartimental, dada la cercanía de la arteria tibial anterior recurrente, su frecuencia oscila entre el 4%, según Pretell-Mazzini y cols.,16 y el 20%, según Frey y cols., y Polakoff y cols.15

   En cuanto al diagnóstico, es preciso tomar radiografías anteroposterior y lateral de rutina. Si se sospecha una fractura intrarticular o recidivas, como en nuestro paciente, es útil hacer una tomografía computarizada. La resonancia magnética está indicada cuando se sospechan lesiones ligamentarias o meniscales.

   El objetivo terapéutico es restaurar el aparato extensor de la rodilla y la superficie articular, así como reparar las estructuras intrarticulares afectadas.

   El tratamiento conservador se reserva para fracturas tipo I o II de Ogden con desplazamiento <2 mm o pacientes muy inmaduros esqueléticamente.9,17

   Se han descrito muchas técnicas quirúrgicas, pero no se ha demostrado la superioridad de ninguna de ellas. Las más extendida es la reducción abierta o cerrada y la colocación de tornillos de rosca parcial (de un diámetro medio de 4-4,5 mm) para aportar compresión. Se puede utilizar el artroscopio para asistir la reducción de los fragmentos articulares y evitar una artrotomía. Si hay un extenso compromiso del periostio, se recomienda su reparación, ya que aporta estabilidad. También, es preciso reanclar el tendón rotuliano cuando hay afectación concomitante. No obstante, hay otras opciones, como la fijación con agujas (para pacientes más jóvenes con mayor riesgo de lesión fisaria),2 bandas de tensión y combinaciones; así como la osteosíntesis con placa, descrita principalmente para las fracturas tipo IV de Ogden.4

   Casi siempre es preciso retirar el material de osteosíntesis debido a las molestias que produce el roce con las cabezas de los tornillos, se recomienda mantenerlo hasta el cierre fisario.16,18

   La tasa global de complicaciones es de alrededor del 28%, y hasta el 56% se relaciona con dolor anterior o bursitis por el implante. La segunda complicación más común es la refractura (5%) y ocurre principalmente en las fracturas tipos III, IV y V de Ogden. También se han descrito otras complicaciones menos frecuentes, como infección, recurvatum y seudoartrosis (<1%).3

   La refractura de la TTA tratada inicialmente con cirugía es una complicación rara y existe poca bibliografía sobre ello. Esta complicación dificulta la reconstrucción del aparato extensor de la rodilla.19 Además, es fundamental realizar una fijación estable (para poder retomar las actividades habituales) y respetar la fisis a fin de evitar complicaciones, como un cierre fisario.18

   Varios autores han descrito una asociación entre una tasa más alta de complicaciones y afectación metafisaria posterior, incluye el síndrome compartimental y la refractura.3,10,20 En el estudio de Brey y cols., se demuestra una asociación estadísticamente significativa entre dicha afectación y la refractura; sin embargo, el tratamiento inicial fue conservador, por lo que los resultados no son comparables.10

   En 2018, Valenzuela y cols. publicaron un caso de refractura tras la cirugía, aunque de características diferentes de las de nuestro caso, ya que se trataba de una evolución posoperatoria tórpida que condujo a la retracción del tendón y al arrancamiento de la TTA de forma crónica.19 En nuestro paciente, ocurrió tras una evolución satisfactoria inicial.

   Según la bibliografía, el período medio recomendable para reiniciar el deporte es de, al menos, 3 meses,3 por lo que no estaría justificado argumentar el fracaso de la osteosíntesis por un mal cumplimiento. Por otro lado, podríamos pensar que la osteosíntesis con dos tornillos de 3,5 mm fue exigua, pero no disponemos de estudios suficientes que avalen esta hipótesis. Por ello, pensamos que precisaríamos más estudios para poder concluir cuál(es) puede(n) ser la(s) causa(s) del fracaso de estas osteosíntesis.

 

CONCLUSIONES

   La refractura de la TTA es una complicación infrecuente en la evolución de este cuadro, pero que se debe tener en cuenta en estos pacientes, ya que es crucial hacer un tratamiento quirúrgico definitivo que permita al paciente reanudar su actividad física con seguridad, añadiendo gestos que aumenten la estabilidad y descarguen tensión en el tendón rotuliano, si es preciso.

   Es necesario llevar a cabo más estudios, ya que existen todavía muchas variables por definir que nos ayuden a identificar los factores de riesgo relacionados con estas complicaciones.

 

BIBLIOGRAFÍA

 

1.     Koivisto ST, Laaksonen T, Ahola JA, Helenius I, Stenroos A. Epidemiology and management of proximal tibia fractures in children and adolescents: a population-based study based on the Kids’ Fracture Tool. Acta Orthop 2022;93:826-30. https://doi.org/10.2340/17453674.2022.4879

2.     Formiconi F, D’Amato RD, Voto A, Panuccio E, Memeo A. Outcomes of surgical treatment of the tibial tuberosity fractures in skeletally immature patients: an update. Eur J Orthop Surg Traumatol 2020;30(5):789-98. https://doi.org/10.1007/s00590-020-02629-y

3.     Rodriguez I, Sepúlveda M, Birrer E, Tuca MJ. Fracture of the anterior tibial tuberosity in children. EFORT Open Rev 2020;5(5):260-7. https://doi.org/10.1302/2058-5241.5.190026

4.     Pedrazzini A, Maserati I, Cesaro G, Visigalli A, Casalini D, Bertoni N, et al. Tibial tubercle avulsion fracture during sport activities in adolescent: a case report. Acta Biomed 2022;92(S3):e2021571. https://doi.org/10.23750/abm.v92iS3.12580

5.     Ares O, Seijas R, Casas-Duhrkop, Catala J. Fractura de la tuberosidad anterior de la tibia en el adolescente. Acta Ortop Mex 2012;26(2):121-4. PMID: 23323303

6.     Beaty JH, Kumar A. Fractures about the knee in children. J Bone Joint Surg Am 1994;76:1870-80. https://doi.org/10.2106/00004623-199412000-00016

7.     Jakoi A, Freidl M, Old A, Javandel M, Tom J, Realyvasquez J. Tibial tubercle avulsion fractures in adolescent basketball players. Orthopedics 2012;35(8):692-6. https://doi.org/10.3928/01477447-20120725-07

8.     Borch-Madsen P. On symmetrical bilateral fracture of the tuberositas tibiae and eminentia intercondyloidea. Acta Orthop Scand 1954;24(1-4):44-9. https://doi.org/10.3109/17453675408988551

9.     McKoy BE, Stanitski CL. Acute tibial tubercle avulsion fractures. Orthop Clin North Am 2003;34(3):397-403. https://doi.org/10.1016/s0030-5898(02)00061-5

10.  Brey JM, Conoley J, Canale ST, Beaty JH, Warner WC Jr, Kelly DM, et al. Tibial tuberosity fractures in adolescents: is a posterior metaphyseal fracture component a predictor of complications? J Pediatr Orthop 2012;32(6):561-6. https://doi.org/10.1097/BPO.0b013e318263a370

11.  Mostofi SB. Fracture classifications in clinical practice. London: Springer-Verlag London; 2006.

12.  Ogden JA, Tross RB, Murphy MJ. Fractures of the tibial tuberosity in adolescents. J Bone Joint Surg Am 1980;62(2):205-15. PMID: 7358751

13.  Ryu RK, Debenham JO. An unusual avulsion fracture of the proximal tibial epiphysis. Case report and proposed addition to the Watson-Jones classification. Clin Orthop Relat Res 1985;(194):181-4. PMID: 3978913

14.  Frey S, Hosalkar H, Cameron DB, Heath A, David Horn B, Ganley TJ. Tibial tuberosity fractures in adolescents. J Child Orthop 2008;2(6):469-74. https://doi.org/10.1007/s11832-008-0131-z

15.  Polakoff DR, Bucholz RW, Ogden JA. Tension band wiring of displaced tibial tuberosity fractures in adolescents. Clin Orthop Relat Res 1986;209(209):161-5. PMID: 3731588

16.  Pretell-Mazzini J, Kelly DM, Sawyer JR, Esteban EMA, Spence DD, Warner WC, et al. Outcomes and complications of tibial tubercle fractures in pediatric patients: A systematic review of the literature: A systematic review of the literature. J Pediatr Orthop 2016;36(5):440-6. https://doi.org/10.1097/BPO.0000000000000488

17.  Abalo A, Akakpo-numado KG, Dossim A, Walla A, Gnassingbe K, Tekou AH. Avulsion fractures of the tibial tubercle. J Orthop Surg (Hong Kong) 2008;16(3):308-11. https://doi.org/10.1177/230949900801600308

18.  Little RM, Milewski MD. Physeal fractures about the knee. Curr Rev Musculoskelet Med 2016;9(4):478-86. https://doi.org/10.1007/s12178-016-9370-7

19.  Valenzuela ML, López Soto V, Molina IL. Cirugía de rescate en casos de desplazamiento secundario crónico de la tuberosidad tibial anterior en la adolescencia: a propósito de un caso. Rev Soc Andal Traumatol Ortop 2018;35(1):49-53. Disponible en: http://www.revista.portalsato.es/index.php/Revista_SATO/article/view/61/pdf

20.  Andrews KA, Gillette M, Shah RV, Mckean LA, Sanford CG. Type IV tibial tubercle fracture-Salter-Harris type II variant. J Surg Case Rep 2019;2019(7):rjz209. https://doi.org/10.1093/jscr/rjz209

 

 

ORCID de A. Mena Roson: https://orcid.org/0000-0002-8128-2649

ORCID de M. Á. Plasencia Arriba: https://orcid.org/0009-0004-3226-7428

 

Recibido el 25-3-2024. Aceptado luego de la evaluación el 19-5-2024  Dra. Cristina Jiménez Nava  crisjnava@gmail.com https://orcid.org/0009-0000-3487-1689

 

Cómo citar este artículo: Jiménez Nava C, Mena Roson A, Plasencia Arriba MÁ. Refractura de la tuberosidad tibial anterior en un adolescente luego del tratamiento quirúrgico. Presentación de un caso y revisión bibliográfica. Rev Asoc Argent Ortop Traumatol 2024;89(6):637-646. https://doi.org/10.15417/issn.1852-7434.2024.89.6.1938

 

 

Información del artículo

Identificación: https://doi.org/10.15417/issn.1852-7434.2024.89.6.1938

Fecha de publicación: Diciembre, 2024

Conflicto de intereses: Los autores no declaran conflictos de intereses.

Copyright: © 2024, Revista de la Asociación Argentina de Ortopedia y Traumatología.

Licencia: Este artículo está bajo una Licencia Creative Commons Atribución-No Comercial-Compartir Obras Derivadas Igual 4.0 Internacional. (CC-BY-NC-SA 4.0)