CASE PRESENTATION

 

Aneurysmal Bone Cyst with Neurological Involvement in the Spine: Report of Two Cases and Literature Review

 

Federico D. Sartor,* Sebastián Solsona,** Verónica Herrero,** Daniela Medina,* Rodrigo Birbuet,* Emmanuel Ayerra,* Cristian Illanes**

*Spine Pathology Unit, Traumatología del Comahue, Neuquén, Argentina.

**Spinal Pathology Unit, Orthopedics and Traumatology Service, “Dr. Eduardo Castro Rendón” Provincial Hospital, Neuquén, Argentina.

 

ABSTRACT

An aneurysmal bone cyst (ABC) is a benign, vascularized bone lesion with an expansile growth pattern. Its presentation with neurological involvement is rare and presents a therapeutic challenge. This article describes two clinical cases of ABC located in the thoracic spine, both with acute neurological compromise. The patients were treated with staged surgical approaches and followed for 24 months. Both achieved complete neurological recovery. Early decompression and spinal stabilization, combined with selective embolization, are highlighted as key components of effective management.

Keywords: Aneurysmal bone cyst; thoracic spine; neurological compromise; embolization; spinal surgery; tumor.

Level of Evidence: IV

 

Quiste óseo aneurismático con compromiso neurológico en la columna: reporte de dos casos y revisión bibliográfica

 

RESUMEN

El quiste óseo aneurismático es una lesión benigna y vascularizada de comportamiento expansivo. Su presentación con compromiso neurológico es infrecuente y representa un desafío terapéutico. Este artículo tiene como objetivo describir dos casos clínicos de quiste óseo aneurismático en la columna torácica con compromiso neurológico agudo, tratados mediante abordajes quirúrgicos en dos tiempos y con un seguimiento de 24 meses. Ambos pacientes tuvieron una recuperación neurológica completa. La descompresión precoz y la estabilización, junto con la embolización selectiva, se destacan como pilares del tratamiento.

Palabras clave: Quiste óseo aneurismático; columna torácica; compromiso neurológico; embolización; cirugía espinal; tumor.

Nivel de Evidencia: IV

 

INTRODUCTION

Aneurysmal bone cyst (ABC) is a rare, benign, hemorrhagic, hyperemic tumor-like disease that infrequently causes neurological involvement.1

The first published description found by the authors corresponds to Lichtenstein in 1950, who reported two clinical cases and referred to this condition as a benign pseudotumoral pathology commonly confused with giant cell tumor and occasionally with hemangiomas and osteogenic sarcomas.2

At present, the neoplastic origin of this disease and the genetic translocation that causes it are well established.3 ABC accounts for approximately 1% of all primary bone tumors and predominantly affects females (2:1).4 Most ABCs occur before the age of 20 years and can involve any bone segment. The metaphysis of long bones is the most commonly affected region. Between 10–30% of these tumors occur in the mobile spine and account for 15% of all primary spinal tumors.5 Many are asymptomatic and, therefore, underdiagnosed; spontaneous regression has also been observed.

Enneking classifies them from grade 1 to 3 according to their aggressiveness: grade 1, latent; grade 2, active; and grade 3, aggressive.6

The most frequent clinical presentation includes pain and local edema. Rarely, the initial manifestation may be a pathological fracture. Patients typically report a history of pain that does not respond to medical treatment. These are highly vascularized lesions with expansive growth, and given their lytic nature, they are prone to cause mechanical instability.7

In the spine, their distribution is as follows: lumbar spine 40%, cervical spine 30%, thoracic spine 20%, and sacral spine 10%.8 The usual topographic location in the vertebra is the posterior arch.3

Radiography, computed tomography (CT), and magnetic resonance imaging (MRI) are the complementary studies that aid in diagnosis. Radiographs reveal an osteolytic, expansile cavity. CT and MRI typically show characteristic fluid-fluid levels.8

The treatment of ABC varies depending on location and aggressiveness. Available surgical treatments include curettage or partial resection; intralesional therapies with autologous bone grafts; and, in some cases, medical therapy or radiotherapy. Complete resection with safe margins is associated with the lowest local recurrence rates and is therefore considered the treatment of choice whenever feasible.

We did not find a clear management protocol in the literature for cases presenting with progressive and disabling neurological compromise.9

The aim of this article is to describe and analyze two cases of ABC in the thoracic spine with neurological involvement.

A descriptive and retrospective study was conducted on a series of patients (2015-2022) operated on by the same surgical team at a general hospital serving as the head of a regional health network. The patients who participated in the study provided written informed consent.

Both patients were monitored for at least 24 months following surgical treatment. Follow-up consisted of interviews with the treating team 15 days after hospital discharge, at 1 month, 2 months, and then every 6 months up to 24 months. Complementary imaging studies were performed during the immediate postoperative period and every 6 months thereafter (radiographs and MRI).

Neither patient had received prior treatment for the tumor, so both cases were considered primary (Table).

 

 

 

 

 

 

 

CLINICAL CASE 1

A 9-year-old girl presented with chronic pain (>2 years) in the lower cervical and interscapular region. She denied any relevant personal or family medical history. On questioning, she reported upper back pain that did not respond to pharmacological or physical therapy.

Physical examination revealed gait disturbance with a widened base of support, bilateral patellar hyperreflexia, and paresis corresponding to the right C7 nerve root. This was manifested as weakness in the right triceps muscle (grade 4/5), as well as in the wrist flexors and extensors on the right side (grade 4/5), according to the Medical Research Council (MRC) muscle strength scale (Figure 1).10

An initial anteroposterior radiograph showed an alteration in the physiological coronal axis (Figure 2).

 

 

 

 

 

 

 

 

 

 

 

 

 

 

 

 

 

 

 

 

 

 

 

 

 

 

 

 

 

 

 

 

 

 

 

 

 

 

 

 

 

 


Complementary imaging revealed extensive vertebral involvement: at C7 (posterior arch), zones 4–7 and levels III and IV of the Weinstein-Boriani-Biagini (WBB) classification; at T1 (vertebral body), zones 10–3 and levels III and IV; and at T2 (right pedicle and posterior arch), zones 3–7 and levels III and IV.11 The lesions had an expansile cystic appearance (Figures 3 and 4). Due to the expansile nature of the lesion, a vertebral hemangioma was ruled out. The lesion was interpreted as an Enneking grade 3 ABC.

The therapeutic plan aimed to reduce bleeding risk, decompress the lesion, and stabilize the spine. Angiography revealed multiple feeding arteries arising from the paraspinal trunk. Several of these were embolized during the same procedure, although no dominant feeding artery was identified.

Forty-eight hours after embolization, the first surgical stage was performed. This involved posterior pedicle instrumentation from C5 to T5, decompression of C7, T1, and T2 (Figure 5), and tumor mass resection. Intraoperative bleeding was <500 mL.

Five days later, the second surgical stage was performed via an anterior approach, including T1 corpectomy with autologous bone graft placement.

The patient’s neurological deficit began to improve 48 hours after surgery. She currently has a normal gait without sequelae and remains under routine postoperative follow-up, with no reported complications. Histopathological examination confirmed the diagnosis and showed tumor-free surgical margins.

 

 

 

 

 

 

 

 

 

 

 

 

 

 

 

 

CLINICAL CASE 2

An 8-year-old girl presented with weakness in the lower limbs (grade 3/5 on the MRC muscle strength scale).

She reported sudden symptom onset (<72 hours) and denied any significant personal or family medical history.

On admission, anteroposterior radiography revealed absence of the pedicle image in the affected vertebra, a radiographic sign known as the “owl’s wink” (Figure 6).12

The lesion involved zones 3-6 and levels III and IV of the Weinstein-Boriani-Biagini classification.11 Complementary imaging studies showed multiple septated cysts with fluid-fluid levels. A simple bone cyst with expansile and compressive features was ruled out, as was vertebral hemangioma (Figures 7 and 8). This case was also interpreted as an Enneking grade 3 ABC.13

The therapeutic plan involved urgent spinal decompression and stabilization in the first surgical stage, followed by selective embolization to reduce bleeding risk, and then a second stage of stabilization and arthrodesis.

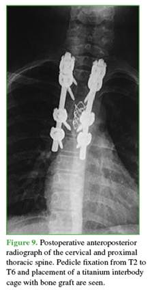
The first surgical stage was performed within 24 hours and consisted of spinal canal decompression by resection of the T4 posterior arch, followed by a costotransversectomy corpectomy using an eggshell technique to preserve the cortical rim.14 The spine was stabilized with pedicle fixation from T2 to T6.

Within the next 48 hours, angiography and embolization of the tumor’s vascular pedicle were performed.

In the second surgical stage, a titanium spacer filled  with autologous bone graft  was placed (Figure 9).

The neurological deficit resolved within the first month postoperatively. No recurrence has been observed to date. Histopathological analysis confirmed the diagnosis of ABC and clear surgical margins.

 

 

 

 

 

 

 

 

 

 

 

 

 

 

 

 

 

 

 

 

 

 

 

 

 

 

 

 

 

 

 

 

 

 

 

 

 

 

 

 

 

 

 

 

 

 

 

 

 

 

 

 

 

 

 

 

 

 

 

 

 

 

 

 

 


DISCUSSION

The primary goal of treatment in both cases was to improve neurological status and confirm the preoperative diagnosis.

Given the neurological involvement, early spinal cord decompression was essential. Secondary objectives of the surgical intervention included minimizing the number of involved spinal segments and preventing future deformities or pathological fractures.

When an ABC is suspected, the initial step should be a needle biopsy to confirm the diagnosis. Subsequent treatment options vary and may include observation—given reports of spontaneous resolution post-biopsy—pharmacological therapy (e.g., denosumab or bisphosphonates), radiotherapy, percutaneous sclerotherapy with agents such as phenol, liquid nitrogen, doxycycline, argon, bone graft, or bone substitutes, selective vascular embolization, intralesional curettage and filling, or en bloc resection with oncologic margins.3,9

In the presence of neurological compromise, we considered decompression and stabilization—either in a single or staged approach—as imperative.

In both cases, preoperative biopsy was not feasible due to the urgency of the clinical presentation. In Case 2, selective embolization was deferred because of rapidly progressing neurological deficits; treatment was later completed with an anterior corpectomy to reconstruct the anterior column. Selective embolization followed by complete tumor resection is a recommended strategy whenever feasible.

Case 1 posed a particular challenge due to the lesion spanning three vertebral levels.

We propose that surgical intervention is indicated in cases with neurological deficit or risk of pathological fracture. Non-surgical treatments are reserved for lesions that do not compromise spinal stability and, in asymptomatic cases, percutaneous sclerotherapy with agents such as calcitonin may be preferred.

A limitation of this report is the small number of cases. However, our team plans to present a larger series of patients with ABC and neurological involvement in the near future.

 

CONCLUSIONS

ABC with neurological involvement requires urgent surgical intervention. Early spinal cord decompression is critical for neurological recovery. Preoperative selective embolization is useful in reducing intraoperative bleeding and recurrence.

A two-stage complete resection is a feasible and effective strategy. Further studies with larger patient cohorts are needed to establish evidence-based therapeutic guidelines and treatment consensus.

 

REFERENCES

 

1.     Kiu A, Fung T, Chowdhary P, Jung S, Powell T, Boily M. Aneurysmal bone cyst in thoracolumbar spine. BJR Case Rep 2020;6(3):20190133. https://doi.org/10.1259/bjrcr.20190133

2.     Lichtenstein L. Aneurysmal bone cyst. A pathological entity commonly mistaken for giant-cell tumor and occasionally for hemangioma and osteogenic sarcoma. Cancer 1950;3(2):279-89. https://doi.org/10.1002/1097-0142(1950)3:2%3C279::AID-CNCR2820030209%3E3.0.CO;2-F

3.     Lanari Zubiaur F, Godoy Adaro AO, Bazán PL. Uso de denosumab para el quiste óseo aneurismático de columna. Reporte de un caso y revisión bibliográfica. Rev Asoc Argent Ortop Traumatol 2021;86(6):821-8. https://doi.org/10.15417/issn.1852-7434.2021.86.6.1121

4.     Lam Y. Bone tumors: Benign bone tumors. FP Essent 2020;493:11-21. PMID: 32573182

5.     Baima Filho FAS. Uso de denosumab en quiste óseo aneurismático: Revisión de la literatura. Revista Chilena de Ortopedia y Traumatología 2022;63(01):e51-4. https://doi.org/10.1055/s-0041-1739542

6.     Enneking WF. A system of staging musculoskeletal neoplasms. Clin Orthop Relat Res 1986;(204):9-24. PMID: 3456859

7.     Cottalorda J, Louahem D, Jeandel C, Delpont M. Quiste óseo aneurismático. EMC - Aparato Locomotor 2022;55(1):1-13. https://doi.org/10.1016/S1286-935X(22)46098-9

8.     Zileli M, Isik HS, Ogut FE, Is M, Cagli S, Calli C. Aneurysmal bone cysts of the spine. Eur Spine J 2012;22(3):593-601. https://doi.org/10.1007/s00586-012-2510-x

9.     Baigorria JF, Besse M, Rosado A, Steverlynck A, Sarotto AJ. Quiste óseo aneurismático vertebral agresivo: presentación de un caso y revisión bibliográfica. Rev Asoc Argent Ortop Traumatol 2022;87(6):804-13. https://doi.org/10.15417/issn.1852-7434.2022.87.6.1470

10.  Riddoch G. Aids to the examination of the peripheral nervous system. London: Her Majesty’s Stationary Office; 1943.

11.  Boriani S. Primary bone tumors of the spine. Spine (Phila PA 1976) 1997;22(9):1036-44. https://doi.org/10.1097/00007632-199705010-00020

12.  Ridley LJ, Han J, Ridley WE, Xiang H. Winking owl sign: Unilateral absent pedicle. J Med Imaging Radiat Oncol 2018;62(S1):168-8. https://doi.org/10.1111/1754-9485.37_12786

13.  Harrop JS, Schmidt MH, Boriani S, Shaffrey CI. Aggressive “benign” primary spine neoplasms. Spine (Phila PA 1976) 2009;34(Suppl):S39-47. https://doi.org/10.1097/BRS.0b013e3181ba0024

14.  Murrey D, Brigham CD, Kiebzak GM, Finger FG, Chewning SJ. Transpedicular decompression and pedicle subtraction osteotomy (Eggshell procedure). Spine (Phila PA 1976) 2002;27(21):2338-45. https://doi.org/10.1097/00007632-200211010-00006

 

 

S. Solsona ORCID ID: https://orcid.org/0000-0002-5974-9417           

R. Birbuet ORCID ID: https://orcid.org/0000-0003-1852-9829

V. Herrero ORCID ID: https://orcid.org/0000-0002-1317-8321           

E. Ayerra ORCID ID: https://orcid.org/0009-0006-2012-1100

D. Medina ORCID ID: https://orcid.org/0000-0002-2991-2949

C. Illanes ORCID ID: https://orcid.org/0000-0001-9638-0666

 

Received on March 5th, 2024. Accepted after evaluation on May 9th, 2024 Dr. Federico D. Sartor fedesartor@gmail.com https://orcid.org/0000-0001-6061-2445

 

How to cite this article: Sartor FD, Solsona S, Herrero V, Medina D, Birbuet R, Ayerra E, Illanes C. Aneurysmal Bone Cyst with Neurological Involvement in the Spine: Report of Two Cases and Literature Review. Rev Asoc Argent Ortop Traumatol 2025;90(3):290-297. https://doi.org/10.15417/issn.1852-7434.2025.90.3.1932

 

 

Article Info

Identification: https://doi.org/10.15417/issn.1852-7434.2025.90.3.1932

Published: June, 2025

Conflict of interests: The authors declare no conflicts of interest.

Copyright: © 2025, Revista de la Asociación Argentina de Ortopedia y Traumatología.

License: This article is under Attribution-NonCommertial-ShareAlike 4.0 International Creative Commons License (CC-BY-NC-SA 4.0).