PRESENTACIÓN DE CASOS

 

Lesión del nervio interóseo anterior secundaria a una fractura diafisaria de húmero en un adulto

 

Gonzalo Viollaz, Juan Ramallo

Servicio de Traumatología y Ortopedia, Hospital Británico de Buenos Aires, Ciudad Autónoma de Buenos Aires, Argentina

 

RESUMEN

Las fracturas diafisarias de húmero en los adultos pueden acompañarse de lesiones en el nervio radial (hasta el 17% de los casos). Sin embargo, es extremadamente infrecuente la afectación del nervio mediano luego de estas fracturas. Presentamos a un paciente adulto que sufrió una lesión en continuidad del nervio mediano luego de una fractura cerrada de húmero, con compromiso fundamental de las fibras correspondientes al nervio interóseo anterior. Se detallan la presentación clínica, el tratamiento y la evolución.

Palabras clave: Nervio interóseo anterior; fractura de húmero; adultos.

Nivel de Evidencia: IV

 

Anterior Interosseous Nerve Syndrome Secondary to Diaphyseal Humerus Fracture in Adults

 

ABSTRACT

Diaphyseal fractures of the humerus are associated with radial nerve injuries in up to 17% of adult patients. However, median nerve involvement is rarely reported. We present a median nerve injury affecting primarily fibers of the anterior interosseous nerve in the context of a humerus diaphyseal fracture in an adult patient. This report focuses on the clinical presentation, treatment, and evolution.

Keywords: Anterior interosseous nerve; humeral fracture; adults.

Level of Evidence: IV

 

INTRODUCCIÓN

   Las fracturas de húmero pueden asociarse con lesiones nerviosas. El compromiso del nervio radial representa la complicación neurológica más frecuente luego de la fractura de un hueso largo.1 También, se han descrito, con menos frecuencia, lesiones del nervio interóseo anterior, rama del nervio mediano, secundarias a fracturas supracondíleas en los niños.2 Sin embargo, resulta excepcional la aparición de una parálisis del nervio mediano tras una fractura diafisaria cerrada de húmero en un adulto.

   Solo encontramos dos reportes publicados que describen esta lesión, por lo que el objetivo de este artículo es comunicar un caso de parálisis del nervio interóseo secundaria a una fractura diafisaria de húmero, su presentación y tratamiento.

 

CASO CLÍNICO

   Hombre de 50 años, sin antecedentes patológicos de relevancia, que acudió a la consulta con un diagnóstico de fractura cerrada del húmero izquierdo de 24 horas de evolución, una actitud anormal de la mano ipsilateral e incapacidad para cerrar el puño, de inicio súbito, luego de una caída. No había sufrido lesiones en otro sitio anatómico y el examen de la columna cervical no reveló alteraciones destacables.

   En el examen físico, se observó la actitud en extensión de los dedos pulgar e índice, con incapacidad de flexión activa en la articulación interfalángica del pulgar e interfalángica distal del índice (M0 del Medical Research Council), pero con un efecto tenodésico conservado en todos los dedos, comprobando la continuidad musculotendinosa.

   Se corroboró la movilidad activa en el resto de los dedos, la muñeca, el codo y el hombro, con una limitación menor esperable, producto del dolor generado por la fractura de húmero.

   El signo de Tinel en el recorrido en los nervios del brazo y antebrazo fue negativo. La sensibilidad estaba levemente afectada en el territorio mediano (S4 del Medical Research Council) (Figura 1). El examen vascular no reveló alteraciones.

 

 

 

 

   Los hallazgos se interpretaron como una lesión cerrada del nervio mediano con daño fundamental de las fibras correspondientes al nervio interóseo anterior (inervación del músculo flexor largo del pulgar, flexor profundo de los dedos índice y mayor, pronador cuadrado).

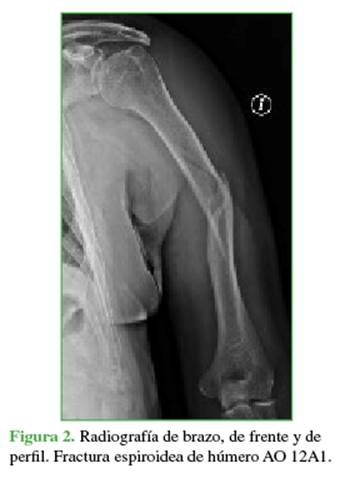
   Las radiografías de húmero, de frente y de perfil mostraron una fractura diafisaria del húmero izquierdo (OTA/ AO 12A1; Figura 2).

 

 

 

 

   El cuadro se interpretó como una lesión por tracción del nervio mediano tipo I-III de la clasificación de Sunderland, con afectación principal de las fibras correspondientes al nervio interóseo anterior. Se decidió el tratamiento quirúrgico de la fractura mediante osteosíntesis con un clavo endomedular, y se optó por una conducta expectante para la lesión neurológica.

   En el primer control a los siete días de la cirugía, se observó un esbozo de movilidad interfalángica del pulgar e índice (M1 del Medical Research Council). Las heridas cicatrizaron correctamente y el paciente comenzó la terapia física a las dos semanas de la cirugía.

   Durante el seguimiento, se comprobó la mejoría funcional progresiva y constante en la flexión activa del pulgar e índice. La fractura consolidó a las nueve semanas de la intervención (Figura 3).

 

 

 

 

   Cuatro semanas después de la operación, se realizó un estudio neurofisiológico que incluyó una electromiografía y pruebas de velocidades de la conducción nerviosa para evaluar el grado de lesión y el pronóstico definitivo. Se confirmó una lesión axonal en continuidad tipo II-III de Sunderland, de los fascículos correspondientes al flexor largo del pulgar y el flexor profundo del índice con abundante reinervación.

   Tras 12 semanas, el cierre del puño y la pinza punta-punta se habían restaurado, con abducción y elevación funcional del hombro en el mismo control clínico (Figuras 4 y 5).

 

 

 

 

 

 

 

 

 

DISCUSIÓN

   Las lesiones nerviosas secundarias a fracturas son complicaciones frecuentes en el húmero. El 2-17% de los casos tiene lesiones en el nervio radial que están relacionadas con el íntimo contacto que presenta el nervio en su recorrido.1

   Asimismo, se ha descrito el compromiso del nervio interóseo anterior en el 6-16% de las fracturas supracondíleas de húmero en la población pediátrica, lo que representa la complicación asociada más frecuente de estas fracturas.3

   Sin embargo, la parálisis del nervio mediano luego de una fractura cerrada de húmero en adultos representa casos aislados.

   En 2013, Pongowski y Panasiuk describieron la parálisis del nervio interóseo anterior luego de una fractura supracondílea de húmero en una mujer de 24 años.4 En el mismo año, Tanagho y cols. publicaron una complicación similar secundaria a una fractura del húmero proximal en una paciente de 87 años.5

   Solo se han publicado dos descripciones de fracturas diafisarias: una de Manicol, en 1978, en un paciente de 10 años,6 y otra de Apergis y cols., en 1998, en un paciente de 19 años.7 Ambos casos eran trazos transversos/oblicuos cortos con cabalgamiento de un segmento óseo medial al otro.

   En 1978, Sunderland describió cómo podían diferenciarse los fascículos del nervio interóseo anterior desde su emergencia hasta el plexo braquial. En su recorrido, estas fibras nerviosas se ubican en la porción posterolateral del nervio, y son especialmente propensas a la compresión y tracción.8 Por último, como observó Vincelet sobre fracturas supracondíleas provocadas en laboratorio, el nervio interóseo posterior podría verse más afectado en estas fracturas, porque posee una porción fija a la membrana interósea que dificultaría el deslizamiento del nervio luego de la tracción.

   Otra controversia surge de la necesidad de explorar estas lesiones. En el caso del nervio radial, las opiniones son contrapuestas, se sugiere la exploración temprana para llegar a un diagnóstico rápido e indicar un manejo precoz.9,10 Sin embargo, quienes recomiendan la conducta expectante sostienen que la recuperación espontánea es lo más frecuente, con resultados similares incluso luego de una exploración tardía. Por esta razón, sugieren la conducta expectante por 16-18 semanas.11-13 En todos los casos reportados, la restauración funcional fue espontánea entre el tercero y sexto mes, sin la decisión de explorar.

   Siguiendo la experiencia previa en las lesiones del nervio radial luego de estas fracturas, optamos por la observación de estas lesiones durante un tiempo prudencial.

   Finalmente, no solicitamos estudios electrofisiológicos cuando el paciente ingresó, sino a la tercera semana de la lesión para mejorar la cuantificación de la lesión.14

 

CONCLUSIONES

   Por la limitada experiencia con esta lesión y su presentación infrecuente, no es posible concluir cuál es el mejor manejo. Sin embargo, consideramos prudente la observación y la conducta expectante sin apertura del foco, salvo si hay una lesión vascular, un posible cabalgamiento según las imágenes radiográficas o exposición ósea/herida penetrante. Asimismo, creemos que los estudios neurofisiológicos son útiles para comprobar el diagnóstico clínico y facilitar el seguimiento evolutivo para la toma de decisiones.

 

BIBLIOGRAFÍA

 

1.     Shao YC, Harwood P, Grotz MRW, Limb D, Giannoudis PV. Radial nerve palsy associated with fractures of the shaft of the humerus: a systematic review. J Bone Joint Surg Br 2005;87(12):1647-52. https://doi.org/10.1302/0301-620X.87B12.16132

2.     Spinner M, Schreiber SN. Anterior interosseous-nerve paralysis as a complication of supracondylar fractures of the humerus in children. J Bone Joint Surg Am 1969;51:1584-90. PMID: 5357177

3.     Cramer KE, Green NE, Devito DP. Incidence of interosseous nerve palsy in supracondylar humerus fractures in children. J Pediatr Orthop 1993;13(4):502-5. https://doi.org/10.1097/01241398-199307000-00015

4.     Pongowski B, Panasiuk M. Anterior interosseous nerve palsy after supracondylar fracture of humerus in adult. Case report. Orthop Traumatol Rehabil 2013;15(4):363-8. https://doi.org/10.5604/15093492.1073836

5.     Tanagho A, Elgamal T, Ansara S. Anterior interosseous nerve palsy as a complication of proximal humerus fracture. Orthopedics 2013;36(10):e1330-2. https://doi.org/10.3928/01477447-20130920-29

6.     Manicol MF. Roentenographic evidence of median-nerve entrapment in a greenstick humeral fracture. J Bone Joint Surg Am 1978;60(7):998-1000. PMID: 701352

7.     Apergis E, Aktipis D, Giota A, Kastanis G, Nteimentes G, Papanikolaou A. Median nerve palsy after humeral shaft fracture: Case report. J Trauma 1998;45(4):825-6. https://doi.org/10.1097/00005373-199810000-00040

8.     Sunderland S. Nerves and nerve injuries. 2nd ed. New York: Churchill Livingstone; 1978, p. 656-90.

9.     Foster RJ, Swiontkowski MF, Bach AW, Sack JT. Radial nerve palsy caused by open humeral shaft fractures. J Hand Surg Am 1993;18(1):121-4. https://doi.org/10.1016/0363-5023(93)90255-2

10.  Dabezies EJ, Banta CJ 2nd, Murphy CP, d´Ambrosia RD. Plate fixation of the humeral shaft for acute fractures, with and without radial nerve injuries. J Orthop Trauma 1992;6(1):10-3. PMID: 1556609

11.  Larsen LB, Barfred T. Radial nerve palsy after simple fracture of the humerus. Scand J Plast Reconstr Surg 2000;34(4):363-6. https://doi.org/10.1080/028443100750059156

12.  Bumbasirević M, Lesić A, Bumbasirević V, Cobeljić G, Milosević I, Atkinson HDE. The management of humeral shaft fractures with associated radial nerve palsy: a review of 117 cases. Arch Orthop Trauma Surg 2010;130(4):519-22. https://doi.org/10.1007/s00402-009-0951-4

13.  Ekholm R, Ponzer S, Törnkvist H, Adami J, Tindermark J. Primary radial nerve palsy in patients with acute humeral shaft fractures. J Orthop Trauma 2008;22(6):408-14. https://doi.org/10.1097/BOT.0b013e318177eb06

14.  Bergquist ER, Hammert WC. Timing and appropriate use of electrodiagnostic studies. Hand Clin 2013;29:363-70. https://doi.org/10.1016/j.hcl.2013.04.005

 

 

Recibido el 7-2-2024. Aceptado luego de la evaluación el 5-5-2024  Dr. Gonzalo Viollaz gonzaloviollaz@gmail.com https://orcid.org/0000-0002-4573-883X

 

Cómo citar este artículo: Viollaz G, Ramallo J. Lesión del nervio interóseo anterior secundaria a una fractura diafisaria de húmero en un adulto. Rev Asoc Argent Ortop Traumatol 2024;89(4):425-430. https://doi.org/10.15417/issn.1852-7434.2024.89.4.1923

 

ORCID de J. Ramallo: https://orcid.org/0000-0001-7907-5854

 

 

Información del artículo

Identificación: https://doi.org/10.15417/issn.1852-7434.2024.89.4.1923

Fecha de publicación: Agosto, 2024

Conflicto de intereses: Los autores no declaran conflictos de intereses.

Copyright: © 2024, Revista de la Asociación Argentina de Ortopedia y Traumatología.

Licencia: Este artículo está bajo una Licencia Creative Commons Atribución-No Comercial-Compartir Obras Derivadas Igual 4.0 Internacional. (CC-BY-NC-SA 4.0)