PRESENTACIÓN DE CASOS

 

Fractura del fragmento de Wagstaffe-Le Fort en un paciente con luxofractura de tobillo. Equivalente cuadrimaleolar. Reporte de un caso

 

Juan Manuel Romero Ante, Felipe Carrasco Vélez

Servicio de Ortopedia y Traumatología, Hospital Alma Máter de Antioquia, Medellín, Colombia

 

RESUMEN

Se presenta el caso de una paciente que sufre una luxofractura del tobillo izquierdo con compromiso trimaleolar, pero, en la tomografía computarizada prequirúrgica, se documenta el compromiso adicional del tubérculo de Wagstaffe-Le Fort, por lo que se decide considerarlo como un equivalente cuadrimaleolar diferente de los descritos previamente con el compromiso del fragmento anterolateral de la tibia (Tillaux-Chaput). Este caso permite un enfoque de 360° de las lesiones de tobillo que afectan la congruencia articular y se propone un análisis osteoligamentario para su tratamiento definitivo, favoreciendo las reparaciones anatómicas para disminuir la necesidad de fijaciones transindesmales sin afectar el desenlace quirúrgico.

Palabras clave: Fractura de tobillo; Wagstaffe-Le Fort; ligamento tibioperoneo anteroinferior; luxofractura trimaleolar; maléolo; cuadrimaleolar.

Nivel de Evidencia: IV

 

Wagstaffe-Le Fort Fracture in a Patient With an Ankle Fracture-Dislocation. Quadrimalleolar Equivalent. Case Report

 

ABSTRACT

In this article, we present the case of a patient who suffered a fracture-dislocation of the left ankle with trimalleolar involvement. However, the preoperative tomography revealed the additional involvement of the Wagstaffe-Le Fort tubercle, so it was decided to approach it as a quadrimalleolar equivalent different from those previously described, with involvement of the anterolateral fragment of the tibia (Tillaux-Chaput). This case allows for a 360° approach to ankle injuries that disrupt joint congruence, and an osteoligament analysis is proposed for its definitive treatment, prioritizing anatomical repairs to reduce the need for syndesmotic transfixation, without compromising surgical outcomes.

Keywords: Ankle fracture; Wagstaffe-Le Fort; anteroinferior tibiofibular ligament; trimalleolar fracture-dislocation; malleolus; quadrimalleolar.

Level of Evidence: IV

 

INTRODUCCIÓN

   La articulación del tobillo está conformada por un conjunto de estructuras óseas y ligamentarias que funcionan en perfecta armonía y permiten realizar muchas de las actividades de la vida diaria, laboral y deportiva. Su anatomía ósea está dada por la articulación de los segmentos distales de la tibia (el pilón y el maléolo medial) con el peroné (maléolo lateral) y el astrágalo dando origen a tres articulaciones: tibioperonea distal o sindesmosis tibio-astragalina y peroneo-astragalina, cada una con sus respectivos estabilizadores estáticos ligamentarios.1

   A lo largo de los años, se han descrito, en forma separada y progresiva, otras estructuras que forman parte de esta articulación. Destot2 describió el reborde posterior de la tibia, refiriéndose a este como el tercer maléolo y que hoy se conoce como maléolo de Volkmann. En 1907, Chaput3 hace referencia a la región anterolateral de la tibia o el tubérculo de Tillaux-Chaput, estructuras de vital importancia para la estabilización del tobillo, ya que sirven como punto de inserción tibial para los ligamentos que estabilizan la sindesmosis: ligamento tibioperoneo posteroinferior y ligamento tibioperoneo anteroinferior (LTPAI), respectivamente.

   La sindesmosis del tobillo se define como la articulación distal entre la tibia y el peroné, clásicamente estabilizada por el LTPAI, el ligamento tibioperoneo posteroinferior y los ligamentos interóseo y transverso.1

   En 1875, Wagstaffe describió, por primera vez, una fractura por avulsión de la región anterior del peroné. Posteriormente, en 1886, Le Fort describió las mismas fracturas verticales de la porción anteromedial del peroné que corresponde al sitio de inserción anatómica peronea del LTPAI, e introdujo, por primera vez, la descripción de las fracturas conocidas como de Wagstaffe-Le Fort.4

   En 1932, Henderson acuñó el término fractura trimaleolar para hacer referencia a las fracturas que comprometían fragmentos de los maléolos medial, lateral y el reborde posterior de la tibia o fragmento de Volkmann o maléolo posterior. Luego, en 1996, Van Laarhoven utilizó el término “cuarto maléolo” para fracturas que comprometen, además, el fragmento de Tillaux-Chaput.5 Según lo anterior, es posible entender que el compromiso dado por la desinserción tibial del LTPAI, desde el punto de vista biomecánico, puede estar representado también por las avulsiones del tubérculo de Wagstaffe-Le Fort, lo que permite referirnos a las fracturas que comprometen a los tres maléolos principales y la región anterior del peroné como equivalentes cuadrimaleolares al igual que las fracturas que comprometen la región anterolateral de la tibia distal.

   Hay pocos estudios que documenten la presencia y la caracterización de estas lesiones cuadrimaleolares y el tratamiento más recomendado. Debido a lo anterior, se presenta el caso que se documentó y se trató como un equivalente cuadrimaleolar, haciendo especial énfasis en la reparación anatómica de los componentes óseos y ligamentarios para brindar la estabilidad adecuada a la sindesmosis tibioperonea sin usar fijaciones transfixiantes en este segmento anatómico.

 

CASO CLÍNICO

   Mujer de 54 años que llegó al Servicio de Urgencias tras una caída desde una silla de 60 cm de altura aproximadamente. Refirió haber sufrido un trauma en el tobillo izquierdo únicamente y dolor intenso, tenía edema alrededor de ambos maléolos, deformidad marcada e imposibilidad para la bipedestación y la marcha. En el examen físico, las condiciones generales de la paciente eran buenas, sin heridas cutáneas, tenía equimosis alrededor de ambos maléolos, edema y deformidad en el tobillo izquierdo, dolor a la palpación de ambos maléolos, sensibilidad conservada en los territorios de los nervios sensitivos del pie, sin paresias en los flexores ni extensores de los dedos, pulsos distales y llenado capilar conservado en todos los dedos. Informó que sufría epilepsia y que la enfermedad estaba controlada adecuadamente por Neurología, negó antecedentes quirúrgicos.

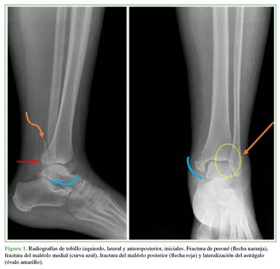
   La paciente ingresó con radiografías simples anteroposterior y lateral del tobillo izquierdo que mostraban una fractura trimaleolar con traslación lateral del astrágalo (Figura 1). Luego de analizar las imágenes, se diagnosticó luxofractura trimaleolar del tobillo izquierdo. Se procedió a la reducción cerrada con sedación farmacológica a cargo del Servicio de Medicina de Urgencias. Se la inmovilizó con una férula posterior.

   Después del procedimiento, no hubo cambios en el examen físico neurológico o vascular de la extremidad y se solicitó una tomografía computarizada simple del tobillo derecho para caracterizar las lesiones y para la planificación quirúrgica. En las imágenes de control, se observó el compromiso trimaleolar ya descrito con componente adicional en la región anteromedial y distal del peroné que correspondía a una fractura del proceso de Wagstaffe-Le Fort (Figura 2); por lo tanto, se decidió considerar el cuadro como un equivalente cuadrimaleolar. Se procedió a la osteosíntesis y reconstrucción ligamentaria de forma ambulatoria y se le dio de alta con analgésicos y recomendaciones para disminuir el edema.

   La paciente acudió al Servicio de Cirugía dos semanas después del alta. Se evaluó el estado de los tejidos blandos antes del ingreso en el quirófano y se documentó un signo de la arruga positivo sin flictenas ni lesiones que contraindicaran el procedimiento.

   La cirugía se realizó con anestesia regional, se administró profilaxis antibiótica con 2 g de cefazolina, 30 min antes de la incisión cutánea. Se ubicó a la paciente en decúbito lateral derecho y se lavó el sitio quirúrgico con jabón con alcohol y clorhexidina de acuerdo con el protocolo institucional de prevención de infecciones.

   Mediante un abordaje posterolateral al tobillo, se procedió a la reducción del maléolo posterior bajo visión directa y su posterior fijación; se continuó con la reducción y estabilización con placa anatómica en el peroné distal. Luego, se realizó el abordaje anterolateral al tobillo, se identificó el fragmento de Wagstaffe-Le Fort fracturado con su inserción ligamentaria íntegra, se estabilizó con una sutura de anclaje a su lecho óseo y se comprobó la recuperación de la tensión del LTPAI (Figura 3).

 

 

 

 

 

 

 

 

 

   Se cambió la posición de la paciente a decúbito supino, se hizo un abordaje medial al tobillo para lograr la reducción anatómica del maléolo medial y la posterior fijación con tornillos canulados. El resultado fue satisfactorio según la evaluación con el intensificador de imágenes. Se llevó a cabo la evaluación dinámica de la integridad de la sindesmosis y no se detectó un aumento del espacio claro medial luego de la maniobra de rotación externa forzada ni con la prueba de Cotton.

   La paciente quedó hospitalizada para el manejo del dolor y para una tomografía computarizada en la que se observó la reducción adecuada de las fracturas, sin pérdida de la congruencia tibio-astragalina (Figura 4). La evolución fue adecuada tras cuatro semanas sin apoyo, terapia física y luego apoyo progresivo de la extremidad. A los seis meses, tenía una marcha sin dolor y un puntaje de la AOFAS de 82. Las fracturas habían consolidado (Figura 5).

 

 

 

 

 

 

DISCUSIÓN

   Las lesiones que afectan la sindesmosis pueden comprometer la integridad ósea de la tibia o del peroné, sus respectivas estructuras ligamentarias o ambos componentes. Estas lesiones alteran la anatomía y la biomecánica del tobillo, de tal forma que, tras la estabilización quirúrgica, los ensanchamientos residuales de más de 1 mm disminuyen un 42% el área de contacto tibio-astragalino, lo que altera los patrones de apoyo y de distribución de las cargas mecánicas sobre la articulación y predispone al desarrollo de dolor a largo plazo y cambios degenerativos prematuros.6

   Se ha demostrado que la inestabilidad en rotación externa de la articulación tibio-peronea distal se incrementa un 24% con la sección del LTPAI y hasta un 11% adicional cuando hay una rotura del ligamento tibioperoneo posteroinferior;7 de esta manera, la reducción anatómica se define como la restauración fisiológica ósea del tobillo y la recuperación de la tensión fisiológica de los ligamentos que lo conforman.8

   Según la bibliografía, las fracturas con avulsión del LTPAI no son raras, se detectan hasta en el 25,8% de las lesiones de tobillo inestable que requieren manejo quirúrgico y su diagnóstico aumenta, de forma considerable, cuando se solicita una tomografía computarizada. Además, se ha demostrado una correlación entre las fracturas tipos B y C de Danis-Weber con las lesiones tipos II y III de Wagstaffe-Le Fort, respectivamente.4 Así mismo, el tamaño del fragmento avulsionado determina el tipo de fijación, aunque todavía no hay un consenso claro, los fragmentos de más de 5 mm podrían ser fijados con tornillo de 2,7 mm con arandela;9 sin embargo, para fragmentos pequeños que no pueden ser fijados mediante tornillos, el uso de suturas transóseas o suturas de anclaje para la reparación anatómica es una opción razonable, ofrece un buen sustento biológico y mecánico que debe ser considerado por los cirujanos.5

   Se ha demostrado que la estabilización ósea y ligamentaria de las lesiones inestables de tobillo permite disminuir la necesidad de fijación transindesmal hasta en el 83% de los casos.10

   En nuestro caso, presentamos una lesión equivalente cuadrimaleolar, ya que consta de una fractura del maléolo posterior tipo II de la clasificación de Bartoníček y Rammelt, una fractura del maléolo medial tipo C de la clasificación de Herscovici, una fractura de peroné tipo B de la clasificación de Danis-Weber y una fractura de peroné avulsiva del fragmento de Wagstaffe-Le Fort tipo II de la clasificación de Park.

   En esta paciente, se empleó un abordaje de 360°, así se consiguió la reducción y fijación de cada uno de los componentes logrando la reducción anatómica y evitando la fijación adicional de la sindesmosis con un sistema rígido o dinámico.

 

CONCLUSIONES

   La fractura con avulsión del LTPAI en su inserción peronea o lesión de Wagstaffe-Le Fort debe sospecharse, identificarse idealmente por tomografía computarizada y estabilizarse correctamente. Esto permitirá el manejo y el abordaje de las lesiones inestables de tobillo con una visión de 360°, logrando reconstruir apropiadamente la anatomía ósea y ligamentaria como un método de tratamiento más anatómico, que solo limitarse a “sustituir” con gestos quirúrgicos, como el uso de clamp de reducción y tornillos de situación que provocan altas tasas de mala reducción.

 

BIBLIOGRAFÍA

 

1.     Hermans JJ, Beumer A, de Jong TAW, Kleinrensink G-J. Anatomy of the distal tibiofibular syndesmosis in adults: a pictorial essay with a multimodality approach. J Anat 2010;217(6):633-45. https://doi.org/10.1111/j.1469-7580.2010.01302.x

2.     Destot E. Traumatismes du pied et rayons X. Malleoles, astragale, calcaneum, avant-pied. Paris: Masson; 1911, p.1-10.

3.     Chaput V. Les fractures malléolaires du cou-de-pied et les accidents du travail. Paris: Masson; 1907.

4.     Birnie MFN, van Schilt KLJ, Sanders FRK, Kloen P, Schepers T. Anterior inferior tibiofibular ligament avulsion fractures in operatively treated ankle fractures: a retrospective analysis. Arch Orthop Trauma Surg 2019;139(6):787-93. https://doi.org/10.1007/s00402-019-03138-2

5.     Rammelt S, Bartoníček J, Kroker L, Neumann AP. Surgical fixation of quadrimalleolar fractures of the ankle. J Orthop Trauma 2021;35(6):e216-e222. https://doi.org/10.1097/BOT.0000000000001915

6. Clare MP, Berkowitz MJ. Revision open reduction and internal fixation of ankle and syndesmosis malunions. Instr Course Lect 2019;68:265-74. PMID: 32032064

7.     Akoh CC, Phisitkul P. Anatomic ligament repairs of syndesmotic injuries. Orthop Clin North Am 2019;50:401-14. https://doi.org/10.1016/j.ocl.2019.02.004

8.     Regauer M, Mackay G, Nelson O, Böcker W, Ehrnthaller C. Evidence-based surgical treatment algorithm for unstable syndesmotic injuries. J Clin Med 2022;11(2):331. https://doi.org/10.3390/jcm11020331

9.     Diallo J, Wagener J, Schweizer C, Lang TH, Ruiz R, Hintermann B. Intraoperative findings of lateral ligament avulsion fractures and outcome after refixation to the fibula. Foot Ankle Int 2018;39(6):669-73. https://doi.org/10.1177/1071100718760273

10.  Bae KJ, Kang S-B, Kim K, Lee J, Go TW. Reduction and fixation of anterior inferior tibiofibular ligament avulsion fracture without syndesmotic screw fixation in rotational ankle fracture. J Int Med Res 2019;48(4):1-15. https://doi.org/10.1177/0300060519882550

 

 

Recibido el 21-1-2024. Aceptado luego de la evaluación el 18-4-2024 Dr. Juan Manuel Romero Ante  juanmaro04041977@gmail.com https://orcid.org/0000-0002-9390-9496

 

Cómo citar este artículo: Romero Ante JM, Carrasco Vélez F. Fractura del fragmento de Wagstaffe-Le Fort en un paciente con luxofractura de tobillo. Equivalente cuadrimaleolar. Reporte de un caso. Rev Asoc Argent Ortop Traumatol 2024;89(4):419-424. https://doi.org/10.15417/issn.1852-7434.2024.89.4.1915

 

ORCID de F. Carrasco Vélez: https://orcid.org/0000-0003-3831-5115

 

 

Información del artículo

Identificación: https://doi.org/10.15417/issn.1852-7434.2024.89.4.1915

Fecha de publicación: Agosto, 2024

Conflicto de intereses: Los autores no declaran conflictos de intereses.

Copyright: © 2024, Revista de la Asociación Argentina de Ortopedia y Traumatología.

Licencia: Este artículo está bajo una Licencia Creative Commons Atribución-No Comercial-Compartir Obras Derivadas Igual 4.0 Internacional. (CC-BY-NC-SA 4.0)